Cookie Consent byPrivacyPolicies.comUn cas comme je les aime (2).. - Eugenol

Un cas comme je les aime (2)..

EloD

28/09/2011 à 16h31

Arnaud Go écrivait:
-------------------
Je préfère rester sur le
> banc que monter sur l'estrade.

...et en plus , moi j'ai l'vertige!
et puis, hé ho ! à kikilai le joujou ?
Même si il faut attendre un peu, à tout seigneur, tout honneur.


1 eugenol dmj5np - Eugenol
Dancha

28/09/2011 à 17h15

Arnaud Go écrivait:
-------------------
>.. Je préfère rester sur le
> banc que monter sur l'estrade.

EloD écrivait:
--------------
> ...et en plus , moi j'ai l'vertige!
> ..

D'abord, ce n'est pas monter sur l'estrade mais descendre dans l'arène !
Ne vous inquiétez pas, personne ne vous mordra...

Daniel


1 eugenol dmj5np - Eugenol
Dancha

28/09/2011 à 17h29

takamatika écrivait:
--------------------
> ..
> TMA 0.16

TMA d'accord, mais ici c'est du .018 (0,45mm).
La portée est un peu trop grande pour du .016 (0,41mm) que je réserve personnellement aux accrochages sur molaires.

J'ai commencé par .018 acier, ça marche aussi très bien mais préfère le TMA qui me semble plus sûr.

> Sans préforage

Exact, ce sont des vis autoforeuses de 5mm de long et 2mm de diamètre utilisées en chirurgie maxillo-faciale.

> Oui avec un adhésif autocollant automordançant

Pas en ce qui me concerne, j'utilise autre chose pour coller un bouton sur les couronnes des dents incluses. Un bon point à celui ou celle qui trouvera.., mais ça m'étonnerait que vous trouviez..

Daniel


belette

28/09/2011 à 19h18

dancha dit"j'utilise autre chose pour coller un bouton sur les couronnes des dents incluses...mais ça m'étonnerait que vous trouviez.."

Avant, c'était de la résine auto de labo.

^ ... ^
Ô"""Ô
= o =


1 eugenol dmj5np - Eugenol
Dancha

28/09/2011 à 19h31

Le fil utilisé comme ressort pour tracter la caine s'appelle "CT8-1" = Cortical, TMA, terminaison en forme de "8", 1 bras.

S'il n'y avait qu'une seule boucle et une seule vis, on ne pourrait avoir qu'un contrôle "2D", avec deux vis on obtient un contrôle "3D".

Après une incision d'environ 10 mm en fond de vestibule et rugination du périoste, une vis avec sa connectique est placée très simplement à l'aide du tournevis adéquat..
La seconde vis est enfilée dans la boucle restante et la plaie est laissée sans points de suture, la pression musculaire étant suffisante pour la coaptation des berges de la plaie. Quasiment pas de suite opératoire, uniquement un antalgique type paracétamol..

Daniel



1 eugenol dmj5np - Eugenol
Dancha

28/09/2011 à 19h32

belette écrivait:
-----------------
> dancha dit"j'utilise autre chose pour coller un bouton sur les couronnes des
> dents incluses...mais ça m'étonnerait que vous trouviez.."
>
> Avant, c'était de la résine auto de labo...
>

Chut !

Daniel


takamatika

28/09/2011 à 20h21

Dancha écrivait:
----------------
> belette écrivait:
> -----------------
> > dancha dit"j'utilise autre chose pour coller un bouton sur les couronnes des
> > dents incluses...mais ça m'étonnerait que vous trouviez.."
> >
> > Avant, c'était de la résine auto de labo...
> >
>
> Chut !
>
> Daniel

Personnellement j'utilise la même colle pour mes BK: colle photo avec adhésif hydrophile, ça tient bien chez moi (mordançage acide)


1 eugenol dmj5np - Eugenol
Dancha

28/09/2011 à 20h35

takamatika écrivait:
--------------------
>
> Personnellement j'utilise la même colle pour mes BK: colle photo avec adhésif
> hydrophile, ça tient bien chez moi (mordançage acide)

Moi aussi j'utilise aussi la même colle pour les braquets et les boutons enfouis sur les couronnes des dents incluses, ce que je disais c'est que ce n'était pas de "l'adhésif autocollant automordançant" mais "autre chose".

Daniel


takamatika

28/09/2011 à 21h06

Dancha écrivait:
----------------
> takamatika écrivait:
> --------------------
> >
> > Personnellement j'utilise la même colle pour mes BK: colle photo avec adhésif
> > hydrophile, ça tient bien chez moi (mordançage acide)
>
> Moi aussi j'utilise aussi la même colle pour les braquets et les boutons enfouis
> sur les couronnes des dents incluses, ce que je disais c'est que ce n'était pas
> de "l'adhésif autocollant automordançant" mais "autre chose".
>
> Daniel

J’ai dit autocollant automodançant car on peut l'utiliser mais moi j'utilise un adhésif hydrophile (photo), en plus avec le décollement de la muqueuse palatine il y'a très peu de saignement


Ico v for vendetta08 jzhpep - Eugenol
Arnaud Go

28/09/2011 à 21h13

Dancha,
Des question du fond de la classe !

J'ai loupé l'épisode du labo, pourquoi une telle résine et quel adhésif après mordançage utilises-tu ?

À quoi sert la rugination du périoste ?

L'activation tu la fais à quelle fréquence et comment ? En tirant-repliant la chaînette ancrée sur la dent ?


1 eugenol dmj5np - Eugenol
Dancha

28/09/2011 à 21h30

Arnaud Go écrivait:
-------------------
> J'ai loupé l'épisode du labo, pourquoi une telle résine et quel adhésif après mordançage utilises-tu ?

Relis exactement ce qu'a écrit Belette à ce sujet.

> À quoi sert la rugination du périoste ?

Je me suis mal exprimé : ce sont les tissus mous qui sont repoussés à l'aide d'une rugine pour mettre l'os à nu jusqu'à l'endroit où on veut mettre les vis.

Daniel


1 eugenol dmj5np - Eugenol
Dancha

29/09/2011 à 10h54

Arnaud Go écrivait:
-------------------
> L'activation tu la fais à quelle fréquence et comment ? En tirant-repliant la
> chaînette ancrée sur la dent ?

Le fil TMA garde sa forme, il suffit de raccourcir au fur et à mesure le fil de ligature qui émerge de la gencive au niveau de la canine. En gros tous les deux mois et à la demande si ça va plus vite et qu'il irrite la joue.
C'est tout.

Daniel


Fresh watermelon 640x562 udulqz - Eugenol
gulguch

29/09/2011 à 11h55

Dancha écrivait:
----------------
> Arnaud Go écrivait:
> -------------------
> > J'ai loupé l'épisode du labo, pourquoi une telle résine et quel adhésif après
> mordançage utilises-tu ?
>
> Relis exactement ce qu'a écrit Belette à ce sujet.
>
Allez, si je n'abuse pas, (et meme si j'abuse) quelle marque la résine?


Ico v for vendetta08 jzhpep - Eugenol
Arnaud Go

29/09/2011 à 16h53

Je n'ai pas la réponse sur le pourquoi de la colle de labo et j'aimerais savoir les marques d'adhésif/colle que tu utilises.


1 eugenol dmj5np - Eugenol
Dancha

29/09/2011 à 23h02

gulguch écrivait:
-----------------
> Allez, si je n'abuse pas, (et même si j'abuse) quelle marque la résine?

Unifast.

Arnaud Go écrivait:
-------------------
> Je n'ai pas la réponse sur le pourquoi de la colle de labo et j'aimerais savoir
> les marques d'adhésif/colle que tu utilises.

Tu n'as pas compris le rôle de cette résine ?
Relis encore une fois le message de Belette, il est clair !
En orthodontie, il faut quelquefois savoir sortir des sentiers battus..

Daniel


Ico v for vendetta08 jzhpep - Eugenol
Arnaud Go

30/09/2011 à 03h49

belette écrivait:
-----------------
> dancha dit"j'utilise autre chose pour coller un bouton sur les couronnes des
> dents incluses...mais ça m'étonnerait que vous trouviez.."
>
> Avant, c'était de la résine auto de labo.

Bon je ne vois pas d'explication mais ce n'est pas grave, merci quand même.


Fresh watermelon 640x562 udulqz - Eugenol
gulguch

30/09/2011 à 11h20

Bon de deux choses l'une, soit Dancha utilise de la résine auto pour être en harmonie avec son style minimaliste: des vis chir au lieu d'implants ortho, des brackets danchamon. Faire tout avec rien, une forme d'élégance. Une protestation silencieuse contre l'industrie dentaire et ses modes.
Soit peut être la résine donne de meilleurs résultats? Je me souviens que Rochette, un autre inventeur, utilisait du Sevriton, une résine du passé pour ses bridges collés.


EloD

30/09/2011 à 13h45

J'ai pas bien saisi le but du forum.
C'est le jeu des devinettes?


1 eugenol dmj5np - Eugenol
Dancha

30/09/2011 à 14h42

gulguch écrivait:
-----------------
> Bon de deux choses l'une,.. des vis chir au lieu d'implants ortho, des brackets danchamon...

Non, les 2, avec des nuances :
Lorsque j'ai commencé à vouloir utiliser des ancrages osseux il y a plus de 15 ans, les implants ortho n'existaient pas (on n'en parlait pas encore), je n'ai trouvé que les vis chirurgicales. J'avais fait le dessin d'un prototype d' implant orthodontique comme ceux qu'on trouve maintenant partout mais reculé devant le coût qui m'était demandé par le fabricant de matériel de chirurgie maxillo-faciale.
J'ai donc utilisé des vis existantes et j'en suis heureux car je me suis rendu compte ensuite des limites anatomiques des implants trans-muqueux. Si j'en avais développé, j'aurais été coincé par la nécessité de rentabiliser mon choix..
Les danchamons c'est pareil, recherche d'une attache sans information pour les cas de dérive dentaires suite à des problèmes paro.

> Une protestation
> silencieuse contre l'industrie dentaire et ses modes.

Un peu aussi cela.

> Soit peut être la résine donne de meilleurs résultats?

C'est plus souple, ça se place directement après mordançage (pas besoin d'un adhésif) et surtout ça s'enlève de l'émail beaucoup plus facilement que du composite, ce qui fait que la dépose est très rapide... et pour un coût défiant toute concurrence.

EloD écrivait:
--------------
> J'ai pas bien saisi le but du forum.
> C'est le jeu des devinettes?

Je répond simplement aux questions au fur et à mesure qu'elles sont posées.
Ne crois-tu pas qu'il est plus intéressant de comprendre le pourquoi des choses que d'appliquer bêtement une technique ?

La suite de la traction de la canine incluse incessamment..

Daniel


belette

30/09/2011 à 15h44

Arnaud Go écrivait: Bon je ne vois pas d'explication mais ce n'est pas grave, merci quand même.

"Avant" , ça veut dire qu'il faut faire des recherches dans l'historique .
Voir " Gentil berger allemand " en 2007


^ ... ^
Ô"""Ô
= o =


Ico v for vendetta08 jzhpep - Eugenol
Arnaud Go

30/09/2011 à 16h04

C'est un jeu d'énigme en fait... OK !
Je n'hésite pas à chercher moi-même des informations mais concentrer tous les renseignements afférents sur un même fil ça évite de se disperser.

Alors je donne la réponse à ma question : Unifast avec mordançage sans primer. L'adhésif lui je ne l'ai pas trouvé.


1 eugenol dmj5np - Eugenol
Dancha

30/09/2011 à 16h58

Détails de la technique chirurgicale. Ce sont les vues d'un placement dans la symphyse, mais le principe est le même pour l'apophyse zygomatique.

Daniel

2c pgruov - Eugenol
1a sz6xey - Eugenol
1b wq6wur - Eugenol
1d hlusgk - Eugenol
1c qymrql - Eugenol

Img 0812 mvp6i0 - Eugenol
jeamba

30/09/2011 à 17h25

Bonjour Dancha et bravo c'est du grand art. Je n'ai pas suivi la totalité du post mais j'ai bien compris la technique ainsi que le fil et son diamètre mais je ne sais pas (ça été dit peut être) quel est la référence de tes vis, qui les commercialise, leur diamètre et longueur ?
J'ai un cas qui est sûrement traitable par ta technique, je voudrais savoir où placerais-tu ton fil et si possible des conseils. La dent de sagesse va être extraite bientôt
Merci pour les renseignements.

R1 axvg5v - Eugenol

1 eugenol dmj5np - Eugenol
Dancha

30/09/2011 à 20h54

jeamba écrivait:
----------------
> quelle est la référence de tes vis, qui les
> commercialise, leur diamètre et longueur ?
> J'ai un cas qui est sûrement traitable par ta technique, je voudrais savoir où
> placerais-tu ton fil et si possible des conseils. La dent de sagesse va être
> extraite bientôt..

Ce sont des vis autoforeuses de 5mm de long et 2mm de diamètre utilisées en chirurgie maxillo-faciale.

Tu les trouves chez Tekka (tél. 0478569700), ref. VA2HL5, et aussi chez Deltex mais je n'ai pas la référence sous la main.

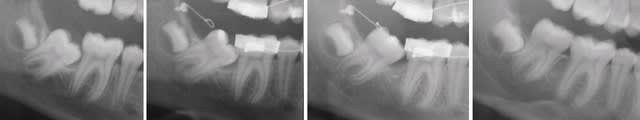
Pour le redressement de ta molaire enclavée, es-tu sûr de devoir virer la 48 ?
Dans ce cas-ci qui ressemble beaucoup au tien, on l'a conservée.
La connectique était un CLO (Cortical Ligature, terminaison en forme de O).

Daniel

Divers clo vis rvscpr - Eugenol
Redressement molaires1 re9hms - Eugenol

Img 0812 mvp6i0 - Eugenol
jeamba

30/09/2011 à 21h48

Et c'est toujours un fil en TMA? Si oui, comment peux-tu le torsader ?
Merci.


123...