Cookie Consent byPrivacyPolicies.comUn cas comme je les aime (2).. - Eugenol

Un cas comme je les aime (2)..

1 eugenol dmj5np - Eugenol
Dancha

01/10/2011 à 12h51

jeamba écrivait:
----------------
> Et c'est toujours un fil en TMA? Si oui, comment peux-tu le torsader ?

C L O =
- Cortical (contre la corticale osseuse)
- Ligature (fil à ligatures, ici du .012 soit 0,3mm)
- Terminaison en forme de O (et non en forme de 8 ou autre).

Ce fil à ligatures est en acier mou, le toron est facile à faire.
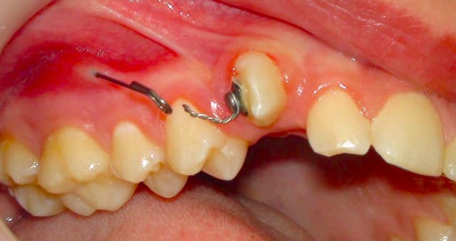
C'est le même que celui qui est accroché au bouton collé sur la canine et qui est replié sur lui-même en forme de crochet à son émergence de la gencive pour permettre la traction du CT8-1.
Il peut être déplié pour tester la tension du ressort et à nouveau replié à la bonne longueur. Il est raccourci au fur et à mesure du rapprochement de la dent incluse.

Daniel


1 eugenol dmj5np - Eugenol
Dancha

01/10/2011 à 13h46

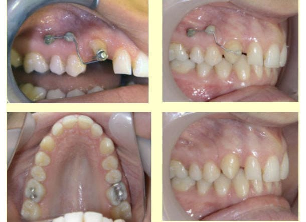
Reprenons l'histoire de cette canine incluse..
Nous avons vu que le dégagement muqueux avait fait apparaître sa face palatine, c'est là qu'a été collé le bouton.
Sa traction vestibulaire a tout naturellement entraîné une rotation parasite de la dent et, lorsqu'elle fait éruption, sa position n'est vraiment pas idéale !
Nous pourrions appareiller d'une manière conventionnelle pour la placer correctement, mais nous allons continuer avec le même dispositif sans toucher aux autres dents.
Comment ? Je vous laisse trouver..

Je ne pourrai sans doute pas me brancher sur eugénol avant quelques jours pour vous montrer l'astuce que j'ai utilisée, mais je suis certain que d'ici là l'un ou l'autre d'entre vous l'aura trouvée, celle-là ou une autre..

Daniel

13 incluse 0  msplo5 - Eugenol
13 incluse 5  pfopl3 - Eugenol
13 incluse 6  fwvgfj - Eugenol

Images 1 qtgoxf - Eugenol
ciwil

01/10/2011 à 20h21

une plaque palatine type Hawley avec un ressort fermé pour remettre la 13 dans le droit chemin ?
ps: pour déposer les mini-vis, tu incises dès l'émergence du fil TMA ou il te suffit de le tirer une fois les vis parties ?


1 eugenol dmj5np - Eugenol
Dancha

01/10/2011 à 21h19

Pas de plaque palatine ni de collage quelconque sur les autres dents.
Pour la dépose, on en parlera plus tard si tu veux bien.

Daniel


Fresh watermelon 640x562 udulqz - Eugenol
gulguch

02/10/2011 à 01h08

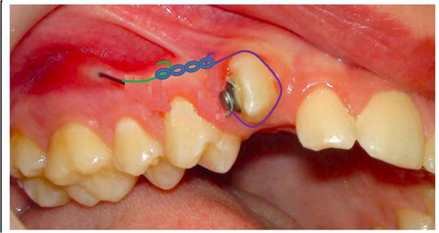
Un elastique courant dans une gorge de danchamon, faisant le tour de la dent dans le sens bouton-mesial-vestib-accochage de la ligature?


1 eugenol dmj5np - Eugenol
Dancha

02/10/2011 à 11h18

Il y a de l'idée, mais on peut encore mieux, continue dans le même sens !
A bientôt.

Daniel


Ico v for vendetta08 jzhpep - Eugenol
Arnaud Go

02/10/2011 à 13h14

Tu plies ton fil TMA en le plaçant en V comme s'il était attaché à des attaches sur d'autres dents, tu tractes, et poses une attache V dès que c'est possible. Quid du couple sur le fil ?


1 eugenol dmj5np - Eugenol
Dancha

11/10/2011 à 19h33

gulguch écrivait:
-----------------
> Un élastique courant dans une gorge de danchamon, faisant le tour de la dent
> dans le sens bouton-mésial-vestib-accrochage de la ligature?


Arnaud Go écrivait:
-------------------
> Tu plies ton fil TMA en le plaçant en V comme s'il était attaché à des attaches
> sur d'autres dents, tu tractes, et poses une attache V dès que c'est possible.
> Quid du couple sur le fil ?

Le système proposé par gulguch manque de contrôle, celui d'Arnaud est trop brutal pour la 13, le fil se déformerait, mais vous y êtes presque quand même !

La solution (simple) qui permet un bon contrôle avec une force légère est un peu un mélange des deux.

Je suis sûr que vous allez la trouver !

Daniel


inset

12/10/2011 à 02h38

au cours de l'étape chirurgicale est ce que vous fraisez la direction/trajet de la traction pour mieux guider la canine? ou cela ne set il a rien?
merci


1 eugenol dmj5np - Eugenol
Dancha

12/10/2011 à 14h38

inset écrivait:
---------------
> au cours de l'étape chirurgicale est ce que vous fraisez la direction/trajet de
> la traction pour mieux guider la canine?

Quasiment jamais.

Pour ce cas-ci, vous n'arrivez pas à imaginer un système collé directement sur la face vestibulaire de la 13 et accroché au CT8-1 qui soit à la fois plus souple que le TMA .018 et plus directif qu'un élastique ?

Daniel


belette

12/10/2011 à 14h42

Dancha écrivait: La solution (simple) qui permet un bon contrôle avec une force légère est un peu un mélange des deux.
Je suis sûr que vous allez la trouver !

Est ce que la solution ressemble à celle que tu nous avais déjà montrée?
http://www.eugenol.com/sujets/140240-a-vos-meninges-4-pour-le-plaisir?page=2#post_140868

^ ... ^
Ô"""Ô
= o =...ou bien tu as inventé un nouveau truc ?

Rotation canine r4nqzo - Eugenol

1 eugenol dmj5np - Eugenol
Dancha

12/10/2011 à 14h55

belette écrivait:
-----------------
>..
> = o =...ou bien tu as inventé un nouveau truc ?

C'est autre chose : un système collé directement sur la face vestibulaire de la 13 et accroché au CT8-1 qui est à la fois plus souple que le TMA .018 et plus directif qu'un élastique..
Vous ne voyez pas ?
Un peu d'imagination !!

Daniel


inset

12/10/2011 à 16h30

voici ce que j'aurais utilisé comme moyen pour faire pivoter la canine au cas ou un collage est interdit

Image1 uwkst6 - Eugenol

1 eugenol dmj5np - Eugenol
Dancha

12/10/2011 à 17h30

inset écrivait:
---------------
> voici ce que j'aurais utilisé comme moyen pour faire pivoter la canine au cas ou
> un collage est interdit

Le collage n'est pas interdit sur la 13, on va simplement la mettre en place sans prendre appui sur les autres dents.

Bravo pour ton dessin, tu maîtrises !
Qu'est ce c'est, ce qui est accroché au bouton et qui fait le tour de la dent ?
Tu ne crains pas que ça glisse sur la couronne et ne se sauve ?

Daniel


inset

12/10/2011 à 17h42

je les maintiendrais à la dent par des points de composite fluide,
si non ce sont des 'bouts' de fil en TMA OU EN ACIER 018/016


1 eugenol dmj5np - Eugenol
Dancha

12/10/2011 à 20h59

inset écrivait:
---------------
> je les maintiendrais à la dent par des points de composite fluide,
> si non ce sont des 'bouts' de fil en TMA OU EN ACIER 018/016

Ce bout de TMA ou d'acier, il est actif ou passif ?
S'il est collé, quel intérêt à faire le tour de la couronne ?
S'il est actif, ne trouves-tu pas que 018/16 est un peu trop gros ?

Daniel


inset

13/10/2011 à 03h58

je l'aurais plié passif, les stops en composite c juste pour que le fil ne glisse pas, je l'ai construit de la sorte (il fait le tour de la dent) pour avoir un moment donc une rotation, c le meme principe qu'un élastique qui fait le tour d'une dent pour corriger la rotation, mais en plus rigide, enfin je crois,

Amicalemnt
Inset


Avatar transparent iqadnc - Eugenol
adhoc

13/10/2011 à 13h29

Tres ingenieux et tres bien fait , inset (les points de composite sont en effet importants!).
La canine va faire sa rotation, mais apres, il faut qu'elle descende, la p'tiote! Peut on faire confiance a la nature suppposée bienveillante ( joueuse, c'est sur!)?
Bravo pour ce cas.


belette

13/10/2011 à 14h14

oui faut qu'elle descende la petiote, mais faudrait aussi qu'elle ne recule pas ...
^ ... ^
Ô"""Ô
= o =


belette

13/10/2011 à 14h17

...donc à la place d'un bout de chainette, je mettrais un truc qui pousse,(ressort ou autre?) plutôt qu'un truc qui tire.
^ ... ^
Ô"""Ô
= o =


inset

13/10/2011 à 15h59

merci adhoc,une fois la rotation effectuée, je placerai un fil NITI avec des Danchamons de 15 à 11 (je ne maitrise pas bien les Danchamons mais ca sera une occasion pour apprendre.
j'attends l'avis de Dancha sur ce système (rotattion canine), je sens que comme même quelque chose manque, mais koi?


1 eugenol dmj5np - Eugenol
Dancha

13/10/2011 à 16h08

inset écrivait:
---------------
> merci adhoc,une fois la rotation effectuée, je placerai un fil NITI avec des
> Danchamons de 15 à 11 (je ne maitrise pas bien les Danchamons mais ca sera une
> occasion pour apprendre.
> j'attends l'avis de Dancha sur ce système (rotation canine), je sens que comme
> même quelque chose manque, mais koi?

Tu es sur la bonne voie, mais tu peux simplifier.
Quand à la finition, il me semble avoir dit qu'on allait se débrouiller pour ne pas toucher aux autres dents.

Daniel


1 eugenol dmj5np - Eugenol
Dancha

13/10/2011 à 18h13

Finalement, quel serait l'avantage de ton dispositif par rapport à l'élastique collé de gulguch ?
C'est le même principe, non ?

Le remarque de Belette est tout à fait judicieuse, il y aurait à ce niveau un manque de contrôle..

Et je crains bien qu'il soit irréalisable car la partie du fil accrochée à la chaînette viendrait immanquablement en vestibulaire blesser la joue, ce que ne ferait pas l'élastique de gulguch.

Mais tu es quand même sur la bonne voie !
Simplifie et tu trouveras !

Daniel


1 eugenol dmj5np - Eugenol
Dancha

13/10/2011 à 18h43

adhoc écrivait:
---------------

> La canine va faire sa rotation, mais après, il faut qu'elle descende, la p'tiote!

Après cette phase-ci, on la fera égresser avant la finition.

Daniel


belette

13/10/2011 à 19h48

Pourrait-on coller directement sur la face vestibulaire de cette 13, le fil qui sort de la gencive? Y'a pas plus simple là!
Après, il suffirait de quelques coups de pince danchabiles, pour mener cette dent en bonne place...
^ ... ^
Ô"""Ô
= o =