Cookie Consent byPrivacyPolicies.comUn cas comme je les aime (2).. - Eugenol

Un cas comme je les aime (2)..

1 eugenol dmj5np - Eugenol
Dancha

13/10/2011 à 21h19

belette écrivait:
-----------------
> Pourrait-on coller directement sur la face vestibulaire de cette 13, le fil qui
> sort de la gencive? Y'a pas plus simple là!

C'est ce que proposait déjà Arnaud. Un peu brutal pour la 13 !

Daniel


1 eugenol dmj5np - Eugenol
Dancha

14/10/2011 à 12h47

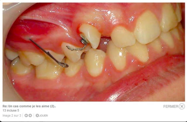
Voici ce qui a été fait pour corriger la rotation.

Un simple fil droit en NiTi .012, collé sur la face vestibulaire de la 13 et dont la partie distale passe sous le fil TMA qui est replié sur lui-même et activé non plus en vestibulaire mais en lingual pour compenser la force exercée en vestibulaire par le NiTi.
Celui-ci peut glisser librement sous le TMA, ce qui est important pour ne pas gêner le mouvement de rotation et le déplacement vers l'arrière de la face vestibulaire de la 13
S'il ne pouvait pas le faire, ce serait la couronne de la 13 qui, elle, se déplacerait en mésial.
Est-ce que tout le monde comprend cela où est-ce qu'il faut un dessin (n'y voyez aucune marque de mépris de ma part, c'est juste une question que je pose) ?

Ce système simplissime peut également être utilisé dans tous les cas où l'on rencontre une forte rotation. Je l'utilise par exemple au début d'un traitement lorsqu'une prémolaire a fait éruption à 90° ou plus. Son extrémité est alors fixé d'une manière suffisamment lâche pour pouvoir glisser.

Daniel

13 incluse 7 mpbtcf - Eugenol

Icon poker h4nm2d - Eugenol
jeff

14/10/2011 à 15h29

question stupide, puisque système a fonctionné : j'aurai eu peur que le TMA 018 ne soit pas assez rigide pour empêcher le 0.12 d'aller se planter dans la joue.

Je note l'astuce pour les prémolaires en forte rotation, en tout cas.


1 eugenol dmj5np - Eugenol
Dancha

14/10/2011 à 16h07

C'est simple, jeff, le TMA est activé en direction linguale en fonction de la tension du NiTi pour que, en fin de compte, l'ensemble des deux fils soient à distance minimum de la gencive. Ni contact avec la gencive, ni débordement vers la joue.

Daniel


inset

14/10/2011 à 16h49

très très astucieux Dancha, et surtt très simpliste, si j'ai bien compris le fil 012 coulisse à l'intérieur de l'œillet du fil TMA, la rotation est ainsi assurée.

cependant certaines questions me tracassent tjrs:
1. le fil O12 va donner une rotation mais en plus une translation distale, de la 13, comment y pallier?


2.je ne vois pas de force égressive pour mettre à la 13 d'atteindre le niveau du plan d'occlusion?

Merci Dancha pour le partage.

Bien à vous
Inset


belette

14/10/2011 à 16h50

je vois pas bien la boucle que tu as faite sur le niti, côté TMA , je sais tu vas dire c'est juste une boucle, mais moi je voudrais bien la voir...

^ ... ^
Ô"""Ô
= o =


1 eugenol dmj5np - Eugenol
Dancha

14/10/2011 à 19h11

inset écrivait:
---------------
> 1. le fil O12 va donner une rotation mais en plus une translation distale, de la
> 13, comment y pallier?

Pourquoi y aurait-il une translation distale ?

> 2.je ne vois pas de force égressive..

Je l'ai dit hier, à 16h43 :
"Après cette phase-ci, on la fera égresser avant la finition."

belette écrivait:
-----------------
> je vois pas bien la boucle que tu as faite sur le niti, côté TMA , je sais tu
> vas dire c'est juste une boucle, mais moi je voudrais bien la voir...

Voilà. Vue latérale et occlusale, puis vues de l'avancement de la correction. On voit bien le recul du NiTi par rapport au CT8-1. Sur le dernier cliché, la qualité du brossage a valu au patient un sérieux savon de ma part..

Daniel

13 incluse 8 gumwgt - Eugenol
13 incluse 9 cdjeqx - Eugenol

inset

14/10/2011 à 22h30

je retire la traction distale; il n'yen aura pas puisque le fil ne tire pas sur la dent, il est bloqué avec le TMA, c la couroune qui fera gentiment sa rotation, astucieux

Merci pour le partage
Inset


inset

14/10/2011 à 22h30

:)


Ico v for vendetta08 jzhpep - Eugenol
Arnaud Go

15/10/2011 à 05h55

J'ai la même excitation infantile qu'au Trivial Pursuit à chercher la réponse.

Tu décomposes tes mouvements mais multiplies les séquences : égression, rotation, alignement final.

Les deux dernières pourraient-elles être réalisées en une ?
- Attache classique V sur 13 qui nécessiterait d'être déjà plus égressée (davantage d'étape 1).
- Assurer la jonction au TMA-CLO par un fil rectangulaire plus souple collé à ce dernier et placé dans la position finale souhaitée.


belette

15/10/2011 à 12h49

C'est possible de coller 2 fils sans soudures ?
^ ... ^
Ô"""Ô
= o =


1 eugenol dmj5np - Eugenol
Dancha

15/10/2011 à 14h54

Arnaud Go écrivait:
-------------------
>> Les deux dernières pourraient-elles être réalisées en une ?
> - Attache classique V sur 13 qui nécessiterait d'être déjà plus égressée

> (davantage d'étape 1).
> - Assurer la jonction au TMA-CLO par un fil rectangulaire plus souple collé à ce
> dernier et placé dans la position finale souhaitée.

Pourquoi un fil rectangulaire ?

J'aurais pu effectivement continuer le mouvement avec le CT8-1 avec une composante d'égression, mais j'ai préférer traiter la rotation parce que c'est ça qui me semblait prioritaire.

Il m'est arrivé de coller un fil à un autre fil mais ce n'est pas très facile, il faut ligaturer serré avec des boucles et j'aime ce qui est simple et rapide à mettre en oeuvre.

Si la mécanique et la biomécanique t'intéresse, sache qu'il en sera largement question lors du cours que je fais avec mon associé le jeudi 24 novembre à Paris sous l'égide de la Société Française d'Orthopédie Dento Faciale dans le cadre de ses séances de formation continue. Il est encore possible de s'inscrire.
C'est un cours non commercial, je montre ce que je fais et je dis ce que je pense.
Il est intitulé :
"Vis d’ancrage versus plaques vissées.
Les mini-vis corticales courtes sous-muqueuses."
"Le but du cours est de permettre aux participants d’être capables de placer eux-mêmes des ancrages osseux polyvalents pour tous les cas cliniques rencontrés."
Ce sera toute la journée : conférences le matin - TP l'après-midi avec placement des vis et réalisation des connectiques.
Renseignements : http://sfodf.org/spip.php?article10

http://www.europa-organisation.com/mailing/SFODF/sfodf_181011.html

Daniel


Ico v for vendetta08 jzhpep - Eugenol
Arnaud Go

16/10/2011 à 00h02

belette écrivait:
-----------------
> C'est possible de coller 2 fils sans soudures ?

Un dentiste célèbre à l'époque avait sorti il y vingt ou trente ans une électro-soudeuse de bouche. Un ancien dont j'étais le collaborateur m'a raconté avoir assisté à une consultation où la patiente était venu des États-Unis pour régler un problème difficilement soluble autrement (attelle ou bridge complet).

L'idée du fil rectangulaire était pour le torque.
Pour adoucir les forces et si on ne peut pas le placer optimalement, un bracket .22 et dès que c'est dégagé un bracket .18, l'idée étant de ne pas toucher au fil collé à l'autre. Mais tu dis que c'est galère de coller et la solution de coller un fil à un autre n'est pas très élégante.

Alors j'imagine autre chose en modifiant le matériel de départ :
Une troisième vis à terminaison bracket (si ça n'existe pas, coller le bracket à la vis une fois placée) qui permet de donner une deuxième position plus figée au TMA, qu'on règle en position vestibulaire classique. La première position revient à ton cas présenté quand le TMA n'est pas dans la gorge de la troisième vis.

Question sur la rotation que tu as jugée prioritaire : est-ce pour limiter une récidive de rotation ? Une dent qu'on égresse puis qu'on fait tourner aurait une tendance à la récidive du dernier mouvement : la rotation. Alors qu'une dent qu'on aura fait tourner puis égresser n'ingressera pas ?
Deuxième question sur le cours, à la Sfodf, ce n'est pas trop collet monté avec des qualifiés qui méprisent les omnis ou les simples exclusifs (j'en ai rencontré pas mal malheureusement, souvent des gars d'ailleurs) ?

Vis d ancrage idtjht - Eugenol

1 eugenol dmj5np - Eugenol
Dancha

17/10/2011 à 13h59

Arnaud Go écrivait:
-------------------
>
> L'idée du fil rectangulaire était pour le torque.
>

J'avais compris.. Penses-tu qu'une action de torque soit vraiment nécessaire ?
Et si c'était vraiment le cas, ne penses-tu pas qu'on pourrait essayer d'en faire avec le TMA tel qu'il existe ? Avec les deux vis, on a bien la possibilité de réaliser une action "3D".

> Une troisième vis à terminaison bracket (si ça n'existe pas, coller le bracket à
> la vis une fois placée) qui permet de donner une deuxième position plus figée au
> TMA, qu'on règle en position vestibulaire classique. La première position
> revient à ton cas présenté quand le TMA n'est pas dans la gorge de la troisième
> vis.

Oui, ça existe avec une tête en forme de braquet (j'écris "braquet" à la française et non "bracket" car c'est au départ un mot de chez nous que les Anglo-Saxons nous ont piqué pour nous le rendre avec une orthographe massacrée).
Tout est possible, mais si on suit ton raisonnement, où est l'intérêt d'avoir mis au départ deux vis sous-muqueuses dans la crête infrazygomatique ?
On en aurait placé deux entre les racines des dents voisines. C'est ce que j'ai fait un temps (voir le cas que Belette a retrouvé - je n'ai pas le temps de le rechercher).
Mais avec ça on n'aurait pas pu utiliser un fil léger avec une action de si grande amplitude qui ne nécessite aucune activation.
D'autre part il n'est pas toujours possible de les mettre à ce niveau là car il faut trouver suffisamment d'os de bonne qualité sous une gencive attachée. Un dernier inconvéniant est leur manque de fiabilité, les pertes ne sont pas négligeables.
En fond de vestibule, la fiabilité est extrême et on a une action du fil de grande amplitude avec des forces légères.

>
> Question sur la rotation que tu as jugée prioritaire : est-ce pour limiter une
> récidive de rotation ? Une dent qu'on égresse puis qu'on fait tourner aurait une
> tendance à la récidive du dernier mouvement : la rotation. Alors qu'une dent
> qu'on aura fait tourner puis égresser n'ingressera pas ?

Un peu de tout ça et aussi parce que je pouvais difficilement espérer, en l'égressant directement, la mettre en bonne occlusion avant de corriger, au moins en partie, cette rotation.

> Deuxième question sur le cours, à la Sfodf, ce n'est pas trop collet monté avec
> des qualifiés qui méprisent les omnis ou les simples exclusifs

Je n'ai pas l'habitude de traiter avec mépris mes Confrères sur ce forum en leur faisant remarquer qu'il leur manque des bases. Pourquoi serait-ce différent de vive voix ?
Il n'est pas prévu non plus de coller des étiquettes sur le front des gens pour indiquer leur cursus..

Daniel


1 eugenol dmj5np - Eugenol
Dancha

18/10/2011 à 17h13

Suite et fin :

Au bout de quelques temps le fil NiTi est supprimé, une cale en composite est réalisée sur la couronne de 13 pour permettre d'y accrocher le CT8-1, lui-même déplié et orienté vers le bas pour exercer une force égressive. L'inflammation gingivale autour de 13 va disparaître rapidement dès le retour au brossage correct. Noter qu'à la fin du mouvement, le CT8 n'est pas déformé, il a gardé l'activation qui lui avait été donnée.

Un danchamon remplace ensuite la cale, l'extrémité du CT8 y est enfilée sous tension pour terminer de corriger la petite rotation résiduelle.

La 13 est enfin dégagée de toute attache, il ne restera plus que le CT8-1 à déposer. Celui-ci est à nouveau replié, pour ne pas gêner cette fois, en attendant son élimination..

Daniel

13 incluse 11  pxk44y - Eugenol
13 incluse 10  dkxn7r - Eugenol
13 incluse 12  qmewkx - Eugenol

inset

18/10/2011 à 21h05

merci Dancha
vivement le prochain épisode. ;)


1 eugenol dmj5np - Eugenol
Dancha

18/10/2011 à 21h11

J'enfonce le clou, mais voici le message qui vient d'arriver cet après-midi dans les boites mail des membres de la SFODF (formation ouverte également aux non-membres) :

http://www.europa-organisation.com/mailing/SFODF/sfodf_181011.html

Daniel


Ico v for vendetta08 jzhpep - Eugenol
Arnaud Go

19/10/2011 à 03h49

Tu es allé un peu vite sur la finition après nous avoir fait tant languir sur la première partie de cette enquête digne d'Agatha Christie.

Les pliures sont-elles faites à la 139 ou tu utilises une autre pince plus fine car il n'y a pas beaucoup de place.

PS: la remarque sur l'ambiance ne t'était pas destinée comme tu l'avais compris, c'était une réminiscence de souvenirs désagréables avec quelques individus.


1 eugenol dmj5np - Eugenol
Dancha

19/10/2011 à 11h33

Arnaud Go écrivait:
-------------------
> Tu es allé un peu vite sur la finition après nous avoir fait tant languir sur la
> première partie de cette enquête digne d'Agatha Christie.
>

Désolé d'avoir dû un peu expédier la fin mais je me suis fait piéger par le temps. J'ai une activité intense au cabinet et je me rends compte que le 24 novembre arrive à grands pas..

> Les pliures sont-elles faites à la 139 ou tu utilises une autre pince plus fine
> car il n'y a pas beaucoup de place.

Pince 139, pince de Tweed et beaucoup le pousse-ressort.

> PS: la remarque sur l'ambiance ne t'était pas destinée comme tu l'avais compris,
> c'était une réminiscence de souvenirs désagréables avec quelques individus.

La SFODF est une société créée pour les amoureux de l'orthodontie et il n'y est jamais fait référence au titre des membres. Elle est composée aussi bien d'omnipraticiens qui ont comme hobby l'ODF que d'exclusifs, de spécialistes qualifiés ou même de chirurgiens maxillo-faciaux.
Pour être membre adhérent il faut être parrainé par deux membres titulaire et pour devenir titulaire il faut y avoir présenté des travaux personnels acceptés en commission.
L'atmosphère des cours y respire habituellement le respect mutuel.

Daniel


EloD

19/10/2011 à 14h30

> L'atmosphère des cours y respire habituellement le respect mutuel.
>

J'y ai même vu un étudiant en 4e de cecsmo (d'une fac nordiste) avouer qu'il n'avait jamais manipulé de fil niti. Et je précise que c'était il y a 1 ou 2 ans...mais pas en 1940!! Qu'est ce qu'on rigole à la sfodf!

Sinon, combien de temps pour la mise en place de cette canine ?
et combien de temps laisses tu le CT8-1 après correction ?


1 eugenol dmj5np - Eugenol
Dancha

19/10/2011 à 18h36

EloD écrivait:
--------------
> combien de temps pour la mise en place de cette canine ?

15 mois.

> et combien de temps laisses tu le CT8-1 après correction ?
>

Une paire de mois pour être sûr de ne plus en avoir besoin puis le temps qu'il faut pour trouver un créneau de RV pour l'enlever.

Daniel


EloD

20/10/2011 à 00h17

Merci Dancha. Tu as dis que l'effraction gingivale était moins importante qu'avec une vis à tête supra-gingivale mais le fil est mouvant pendant un certain temps d'ou un risque accru de percolation bactérienne. As tu eu des cas d'inflammation gingivale en sorti de fil ?


1 eugenol dmj5np - Eugenol
Dancha

20/10/2011 à 13h15

EloD écrivait:
--------------
> Merci Dancha. Tu as dis que l'effraction gingivale était moins importante
> qu'avec une vis à tête supra-gingivale

Exact.

> mais le fil est mouvant pendant un
> certain temps d'où un risque accru de percolation bactérienne. As tu eu des cas
> d'inflammation gingivale en sorti de fil ?

Non, il ne bouge pas car il est immédiatement mis sous tension.
D'autre part, la pression musculaire des joues et des lèvres suffit pour réaliser une coaptation des berges de la plaie qui évite les points de suture. La cicatrisation est étonnement rapide.

Daniel


1 p3qrc4 - Eugenol
Bjc.

02/11/2011 à 00h29

Au vu du résultat, je ne pense pas que l’emplacement de collage du bouton soit très bien choisi
Mais bon …

Collage bouton rpfru8 - Eugenol

1 p3qrc4 - Eugenol
Bjc.

02/11/2011 à 18h19

Ce qui me fait me poser la question :
Pourquoi un bouton plutôt qu’un anneau ?

Notre ami daniel n’est pas bête. Il avait une raison. S’il avait mis anneau, il l’aurait collé ailleurs. Il a du penser que le fil torsadé sur un bouton, lui donnerait la rigidité qui permettrai une traction latérale (transversale)

Oui mais voilà, la force de traction a tordu le fil au niveau du bouton, ce qui a entrainé une traction avec rotation, comme avec un anneau.

Erreur de bricolage ?

@+ Bjc.