Cookie Consent byPrivacyPolicies.comAPN 2011 - Eugenol
Avatar hjdsnm - Eugenol
TiGabi

04/10/2011 à 00h32

Bonjour,

Quelqu'un pourrait-il me dire les produits de référence pour faire de très bonnes photos intra-buccales actuellement : boîtier, objectif, flash.

J'hésite entre faire un achat entièrement pro (un "gros" reflex) ou un achat semi-pro : dans ce second cas, je serai intéressé par les compacts à objectifs interchangeables comme le Sony NEX-5N. Pensez- vous que l'on puisse faire de très bonnes photos avec ce type d'appareil (je ne pense pas que l'on puisse y monter un flash annulaire et le choix d'objectifs est restreint).

Merci pour tout conseil.

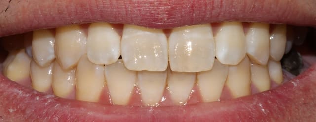
Ci-dessous, le mieux que j'arrive à faire avec mon "vieux" bridge.

P1020052 nayx9x - Eugenol

Photo pluton1b h9n4ea - Eugenol
pluton

04/10/2011 à 00h50

amha, si tu veux pas être déçu...faut passer direct au reflex + objo macro + flash annulaire...

les 2 voies les plus classiques Canon et Nikon...

pour le boitier, un "simple" entrée de gamme suffit...chez canon par ex le 1100D, ou alors un 500D ou mieux (mais plus cher ensuite...550D, voir 600D, etc... çà dépend de ton budget...)

pour l'objo, y a les classiques 100mm macro (stabilisés ou non...) mais faut un peu de recul...c'est parfait pour des photos de chir, mais si c'est toi qui les prends, çà oblige à se lever du siège...

les 50mm macro voir 60mm sont plus adaptés pour çà...mais moins bien pour la chir...

reste un outsider à ne pas négliger: le 70mm sigma certainement très polyvalent...à tester...

et pour le flash, soit de la même marque que le boitier, soit sigma (pour le Canon, mais déconseillé sur Nikon) soit Metz (qui marche sur tout)

voilà un petit topo rapide...;-)


Smile beach jgh0a1 - Eugenol
Céramik

04/10/2011 à 01h02

Je suis en reflex, boitier simple, pas pro (trop lourd)

Canon 450D, 105mm Sigma, Flash annulaire MR14-X.

Le flash et 105 mm macro date de 2003-2004 (environ)

Le 450D (boitier) date de 2008 je crois, en remplacement d'un 300D mort au combat, après 5 ans.

Je crois que c'est un système de base assez performant, si tu veux plus, faut passer en mode pro, lentille canon 100 mm
et 60D ou 7D (ou les équivalents chez Nikon D7000 ou bien D300s (environ, je ne suis pas Nikon))

--
Céramik


levm

04/10/2011 à 02h08

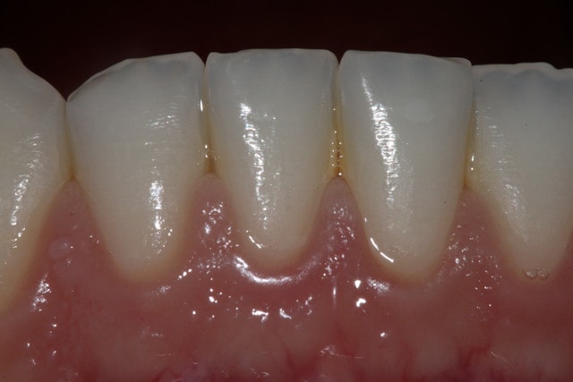
J'ai un Eos 500D et juste un objectif macro 100mm USM F2,8 . Pas encore de flash annulaire mais j'arrive à me débrouiller avec mes réglages .
Au niveau des prix , Le 500 D n'est pas trop cher surtout en occasion .
L'objectif , il faut compter 400 à 500 euros

Img 4957 jtt86v - Eugenol

Smile beach jgh0a1 - Eugenol
Céramik

04/10/2011 à 03h34

levm écrivait:
--------------
> J'ai un Eos 500D et juste un objectif macro 100mm USM F2,8 . Pas encore de flash
> annulaire mais j'arrive à me débrouiller avec mes réglages .
> Au niveau des prix , Le 500 D n'est pas trop cher surtout en occasion .
> L'objectif , il faut compter 400 à 500 euros


c'est OK, mais tu n'arriveras pas à faire photo d'arcade,
manque de lumière, donc de profondeur de champs.


--
Céramik


levm

04/10/2011 à 03h57

En réalité , j'utilise le flash (mais celui intégré au boitier)
Mes parametres sont :
F20
1/100 s
et avec flash.
Pour des photos d'arcade , on peut s'en sortir même si je suis d'accord ça reste moins bien qu'avec le flash annulaire .

Img 4939 hcqdtc - Eugenol

Smile beach jgh0a1 - Eugenol
Céramik

04/10/2011 à 05h20

Ton objectif fait de l'ombre, ton flash est trop en arrière.
C'est pas si mal, mais tellement mieux avec un vrai flash.

Je pense que le Metz est nettement moins $$ que le Canon.
Ceci dit, j'adore mon Canon Mr-14X, après 8 ans et des milliers , voir 20,000 + photo, il fonctionne comme un neuf, c'est du très bon matos.


--
Céramik


Avatar hjdsnm - Eugenol
TiGabi

04/10/2011 à 09h47

Merci pour vos conseils.


Ico v for vendetta08 jzhpep - Eugenol
Arnaud Go

04/10/2011 à 12h34

Ceci dit Gabi en détail ta photo de ton bridge est très belle.

Tu voulais concilier l'utile à l'agréable avec l'appareil de Sony qui a l'air d'être la nouvelle bombe en boîtier à taille réduite.

Je lis à chaque fois que les utilisateurs font la mise au point délicate en déplaçant leur appareil. N'y a-t-il aucun système d'autofocus suffisamment performant en macro et acceptant également les images réfléchies sur les miroirs ?


Avatar hjdsnm - Eugenol
TiGabi

04/10/2011 à 14h27

Est-ce qu'un filtre polarisant supprimerait les reflets que l'on voit sur la photo de Levm ?


levm

04/10/2011 à 17h32

Non mais il parait qu'avec du papier calque au niveau du flash limite justement ce genre d'effet .


Grueavatar nptrc9 - Eugenol
Le Choixpeau magique

04/10/2011 à 18h25

TiGabi écrivait:
----------------
> Est-ce qu'un filtre polarisant supprimerait les reflets que l'on voit sur la
> photo de Levm ?

Jamais essayé mais ça bouffe de la lumière, et en macro on en manque souvent.


Grueavatar nptrc9 - Eugenol
Le Choixpeau magique

04/10/2011 à 18h27

pluton écrivait:
----------------
> reste un outsider à ne pas négliger: le 70mm sigma certainement très
> polyvalent...à tester...

Y a aussi le 85 micro Nikon, pas essayé (j'ai un 105), mais en théorie ça devrait vraiment le faire.

>
> et pour le flash, soit de la même marque que le boitier, soit sigma (pour le
> Canon, mais déconseillé sur Nikon) soit Metz (qui marche sur tout)

Pourquoi Sigma déconseillé en Nikon ???


Bagheera tudzjy - Eugenol
bagheerra

04/10/2011 à 20h31

Attention à la taille du capteur du boitier. Sans trop rentrer dans les détails (j'en suis incapable), un petit capteur comme le mien (boitier D5000) doit avoir un objectif à focale réduite d'1/3 environ pour avoir un résultat identique à un grand capteur équipé d'un objectif standard. Il y a donc une conversion à faire.

A part ça, on me propose un pied inclinable qui permet de positionner l'APN au dessus de la tête du patient, sans y toucher, et donc de libérer les mains du praticien (pour tenir le miroir, la soufflette ou autre). Est-ce utile ?


Photo pluton1b h9n4ea - Eugenol
pluton

04/10/2011 à 20h36

Le Choixpeau magique écrivait:
------------------------------
> pluton écrivait:
> ----------------
> > reste un outsider à ne pas négliger: le 70mm sigma certainement très
> > polyvalent...à tester...
>
> Y a aussi le 85 micro Nikon, pas essayé (j'ai un 105), mais en théorie ça
> devrait vraiment le faire.

oui, si tu es en Nikon...

>
> >
> > et pour le flash, soit de la même marque que le boitier, soit sigma (pour le
> > Canon, mais déconseillé sur Nikon) soit Metz (qui marche sur tout)
>
> Pourquoi Sigma déconseillé en Nikon ???

pose donc la question à growler...il te répondra galère pour le gérer, et problème d'équilibre des teintes...;-)


Avatar hjdsnm - Eugenol
TiGabi

05/10/2011 à 13h36

Que pensez-vous de :

- Boitier Canon 550D : 525 euros
Le 600D, plus récent, coute 57 euros de plus.
http://www.amazon.fr/Canon-550D-Reflex-Mpix-Bo%C3%AEtier/dp/B0037KM2II/ref=sr_1_2?s=electronics&ie=UTF8&qid=1317806805&sr=1-2

- Objectif Sigma 70 mm de la gamme "pro" EX : 463 euros
Un bon choix ?
http://www.amazon.fr/Sigma-Objectif-Macro-70mm-Canon/dp/B000GPHQWO/ref=sr_1_7?s=electronics&ie=UTF8&qid=1317807187&sr=1-7

- Flash annulaire Sigma : 367 euros
http://www.amazon.fr/Sigma-Flash-annulaire-EM-140--TTL/dp/B00064XR6Y/ref=sr_1_9?s=electronics&ie=UTF8&qid=1317806641&sr=1-9

(Total = 1355 euros)

Merci.


Photo pluton1b h9n4ea - Eugenol
pluton

05/10/2011 à 14h11

çà m'a l'air d'être une config sympa...;-)

le 70mm sigma était extrêmement bien noté dans le chasseur d'image consacré à la macro...
pour avoir un 60mm et un 100mm canon le 60 était un poil court mais pratique en restant assis, le 100mm parfait pour la chir...le 70mm, çà doit être un bon compromis...;-)

oublies pas une bonne carte mémoire...;-)


Grueavatar nptrc9 - Eugenol
Le Choixpeau magique

05/10/2011 à 14h20

pluton écrivait:
----------------
> oui, si tu es en Nikon...

Oui, je ne crois pas avoir lu que la recherche se limitait à Canon.

> pose donc la question à growler...il te répondra galère pour le gérer, et
> problème d'équilibre des teintes...;-)

Je n'ai pas constaté de problème de ce genre.


Photo pluton1b h9n4ea - Eugenol
pluton

05/10/2011 à 15h16

Le Choixpeau magique écrivait:
------------------------------

> Je n'ai pas constaté de problème de ce genre.

c'est pourtant ce qui a motivé son passage au Metz...mais çà peut être aussi lié au boitier...je suis pas spécialiste Nikon, je disais juste "attention"...;-)


levm

05/10/2011 à 22h51

TiGabi écrivait:
----------------
> Que pensez-vous de :
>
> - Boitier Canon 550D : 525 euros
> Le 600D, plus récent, coute 57 euros de plus.
> http://www.amazon.fr/Canon-550D-Reflex-Mpix-Bo%C3%AEtier/dp/B0037KM2II/ref=sr_1_2?s=electronics&ie=UTF8&qid=1317806805&sr=1-2
>
> - Objectif Sigma 70 mm de la gamme "pro" EX : 463 euros
> Un bon choix ?
> http://www.amazon.fr/Sigma-Objectif-Macro-70mm-Canon/dp/B000GPHQWO/ref=sr_1_7?s=electronics&ie=UTF8&qid=1317807187&sr=1-7
>
> - Flash annulaire Sigma : 367 euros
> http://www.amazon.fr/Sigma-Flash-annulaire-EM-140--TTL/dp/B00064XR6Y/ref=sr_1_9?s=electronics&ie=UTF8&qid=1317806641&sr=1-9
>
> (Total = 1355 euros)
>
> Merci.


Je te conseille de prendre le 100mm USM macro , il est vraiment bien .


Avatar hjdsnm - Eugenol
TiGabi

06/10/2011 à 00h19

levm écrivait:
--------------
> Je te conseille de prendre le 100mm USM macro , il est vraiment bien .

Celui ci ? => http://www.amazon.fr/Canon-EF-Macro-objectif-100-2-8/dp/B00005KHRX


levm

06/10/2011 à 00h22

Oui , c est celui là même que j'ai .


Photo pluton1b h9n4ea - Eugenol
pluton

06/10/2011 à 09h34


absolument pas mac,
t'as qu'a demander à growler, noah aussi...on avais eu une bonne discussion sur le sujet à Lyon pendant la session de chir muco...et tous les deux avaient pris un Metz pour ces raisons...
maintenant le matériel évolue continuellement et ce qui est vrai pour une génération d'apn peut changer pour la suivante...


Modérateur

06/10/2011 à 10h07

bon, arrêtez d'étaler votre affection réciproque en public tous les 2, c'est indécent ;)


Avatar hjdsnm - Eugenol
TiGabi

06/10/2011 à 10h26

Je crois avoir compris qu'il n'y a pas de système de stabilisation dans le boîtier ?
Sur les fiches techniques, je ne vois non plus mention d'une stabilisation pour les objectifs.
N'est-ce pas un élément important pour de la macro ?


12...