Tous les forums
avez vous un cerec
18/11/2011 à 00h09
Il est vrai qu'à ce prix, il est possible de préférer une voiture sport, mais avec les radars le Cerec parait mieux placé ;)
Merci de me rassurer, Marcus et Wakrap, je me demandais si mes compos n'étaient pas plus proches de l'aspect naturel par leur propriétés mimétiques et leurs sculptures, sans être un as pour autant, que certains onlays CFAO visualisés sur le Net.
Je n'ai pas encore vu de belles réalisations avec le Cerec et j'espère bien qu'il soit possible d'en obtenir, avis aux amateurs...il faudrait lancer un concours comme il en existe pour les stratifications de composites!
Si l'exigence esthétique est haute, il est toujours possible de transmettre l'empreinte optique à un labo de qualité afin d'obtenir une ferrari, mais ce serait dommage de disposer du matériel de réalisation au cabinet performant et d'être incapable de s'en servir de manière optimale.
Cela peut même justifier des honoraires différents selon le degré de finition en fonction de la demande du patient et de l'exigence du praticien.
Une question de néophyte, dans la mesure où les préparations sont censées être juxta ou supra-gingivales, vous arrive t'il d'avoir encore recours dans certaines situations au fil de rétraction?
18/11/2011 à 03h19
Plus jamais de fil, en tout cas pour moi, parfois je fais une provisoire minute et j'utilise le traxodent pour stopper toute sécrétion et obtenir une légère rétraction qui est suffisante pour l'empreinte. Avantage aussi, pas d'anesthésie.
Pour obtenir un très beau résultat reproductible je ne vois pas d'autre option que l'emax, à condition de réduire la couronne et ensuite de stratifier une épaisseur à visée esthétique en particulier au niveau incisal.
C'est un vrai boulot de technicien, c'est long à faire, il faut un petit espace labo et du stock de matos pour la stratification.
Je vois mal comment ça pourrait être rentable pour un praticien qui fait les choses lui-même et laisse son fauteuil libre pendant ce temps.
18/11/2011 à 11h08
vali écrivait:
--------------
> Voila, tout est dans le titre.
>
> Et aussi combien d’élément faites vous en moyenne par jour.
>
> merci
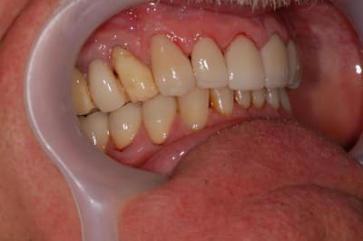
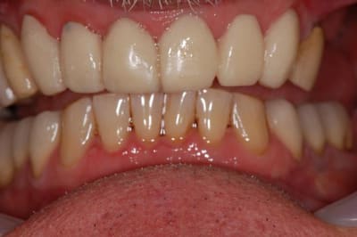
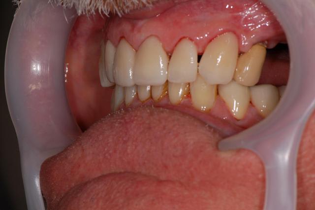
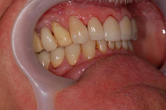
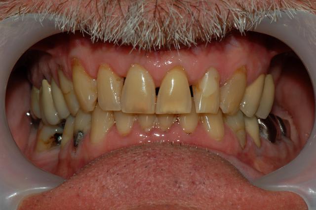
oui, 2 à 3 éléments, je fais mes cas de prothèses masticatoires en copié collé, tel ce cas que je n'ai pas terminé au maxillaire, 3 implants en secteur 2 étant en nourrice.
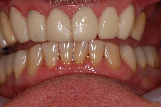
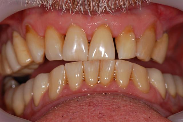
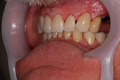
Jusqu'à présent,il a été réalisé avec le cerec les 6 antérieures au maxillaire, après éclaircissement laser assisté, et à la mandibule, les molaires et prémolaires secteurs 3 et 4.
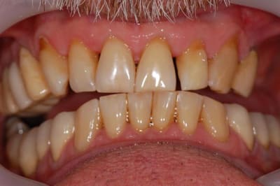
Les photos des antérieures ont été faites le jour de la pose, dès que je revois mon patient, j'en referai afin de voir l'intégration gingivale de ces pièces.
Le collage à été fait avec du Z100 réchauffé tel que le préconise l'école Suisse.
--
"je préfère vivre en optimiste et me tromper, que vivre en pessimiste et avoir toujours raison"
emma
18/11/2011 à 14h07
J'ai deux questions :
-La réhabilition prothétique antérieur est un désir du patient ou une forte suggestion du praticien ?
-Pourquoi n'as tu pas commencé par le secteur postérieur?
18/11/2011 à 16h44
Comment ça il n'y a pas de belles réalisations...
Moi, je les trouves belles les miennes ;-)
teethsurfer écrivait:
---------------------
> Je n'ai pas encore vu de belles réalisations avec le Cerec et j'espère bien
> qu'il soit possible d'en obtenir, avis aux amateurs...
18/11/2011 à 16h57
Je vous préviens immédiatement je suis néophyte!!!!! je n'ai jamais vu un cerec à moins d'un mètre, son utilisation reste donc pour moi très évasive… Cette machine me fascine au plus haut point!! ce serait mon rêve…. vivement l'adf que j'aille voir ça de plus prêt…. en attendant de pouvoir (dans quelques décennies) en faire l'acquisition. Néanmoins une question me taraude…:
Quid de l'occlusion???
18/11/2011 à 17h44
levm écrivait:
--------------
> J'ai deux questions :
> -La réhabilition prothétique antérieur est un désir du patient ou une forte
> suggestion du praticien ?
c'est vrai, je me demande pourquoi ce patient n'a pas trouvé son sourire top, mais que je suis blonde!!! c'est sa petite jeune femme qui en avait mare de faire des bisous dans ce contexte.
> -Pourquoi n'as tu pas commencé par le secteur postérieur?
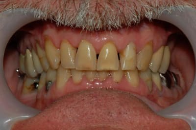
lis correctement mon post et tu comprendras: les secteurs postérieurs 1 et 2 sont en standby pour cause d'intégration implantaire, le patient avait subi une énorme perte de chance à cause de son dentiste qui préférait attendre plutôt que d'agir, résultat des courses sinus lift et greffe auto et allogène avec un délai de plusieurs mois avant d'implanter et encore le même délai avant de mettre en charge, regarde bien la première photo, il y avait beaucoup de travail afin de réhabilité cette bouche, les secteurs postérieurs 1 et 2 sont en provisoires, le partiel réhabilitant le secteur 2 ne peut pas être porté en ce moment afin de ne pas prendre de risque sur les trois implants qui viennent d'être posés.
--
"je préfère vivre en optimiste et me tromper, que vivre en pessimiste et avoir toujours raison"
emma
18/11/2011 à 17h55
emma écrivait:
--------------
> c'est vrai, je me demande pourquoi ce patient n'a pas trouvé son sourire top,
> mais que je suis blonde!!! c'est sa petite jeune femme qui en avait mare de
> faire des bisous dans ce contexte.
Et bien fait lui aussi une épilation laser de la moustache alors ! :-)
18/11/2011 à 19h05
@ emma
Je n'avais jamais entendu parler d'un collage au Z100. Peux-tu m'en dire plus, quel avantage et quel inconvénient ?
18/11/2011 à 20h14
@emma :
-On m'a toujours appris que pour réhabiliter l'antérieur il fallait s'occuper des calages postérieurs .
-Ca n'enleve rien à la qualité de ton travail .
18/11/2011 à 20h22
wakrap écrivait:
----------------
> @ emma
>
> Je n'avais jamais entendu parler d'un collage au Z100. Peux-tu m'en dire plus,
> quel avantage et quel inconvénient ?
wakrap, c'est la discussion qu'on a eu la semaine dernière pour le collage des pièces prothétiques. Y a pas qu'le Cerec dans la vie ! (fil : faut il couronner systématiquement les dents dépulpées)
Si la pièce n'est pas trop épaisse et assez translucide, et à condition d'avoir une bonne lampe bien puissante, on peut utiliser du composite conventionnel comme composite de collage à la place d'un dual en photopolymérisant au travers. Il est plus chargé et donc plus résistant, et en plus les excès ne coulent pas et sont plus faciles à retirer tout autour puisqu'ils ne durcissent pas tant qu'on n'a pas passé la lampe. Mais comme il est moins fluide, il faut le ramollir: pour cela, on peut le réchauffer.
Le Z100 est un composite d'ancienne génération, mais on s'en fout car il ne va pas en surface. En revanche, il a l'avantage d'être déjà très thixotrope par lui même, c'est à dire qu'il se moule bien dans les cavités quand on l'y tasse, beaucoup mieux que les nanochargés de dernière génération comme le Filtek surprem XTE de la même marque : 3M ESPE
18/11/2011 à 20h46
Merci Emma et Vali, je reconnais que vos réalisations sont plus esthétiques que celles que j'ai vu sur le net et cela me rassure, ce sont des Emax?
Il est dommage que certains praticiens se contentent du minimum et le montrent sur Youtube, cela discrédite le Cerec.
Est-il possible pour un débutant d'obtenir ces résultats avec la formation de base ou bien faut-il longtemps galérer avant d'y arriver après avoir franchi plusieurs niveaux?
Emma, pourquoi avoir monté les facettes (à moins que ce soient des couronnes?) sur des modèles en plâtre alors que les arcades sont modélisées en numérique?
Tu chauffes le Z100 avec le réchauffeur de Bisico?
19/11/2011 à 02h27
teethsurfer écrivait:
---------------------
> Merci Emma et Vali, je reconnais que vos réalisations sont plus esthétiques que
> celles que j'ai vu sur le net et cela me rassure, ce sont des Emax?
> Il est dommage que certains praticiens se contentent du minimum et le montrent
> sur Youtube, cela discrédite le Cerec.
>
> Est-il possible pour un débutant d'obtenir ces résultats avec la formation de
> base ou bien faut-il longtemps galérer avant d'y arriver après avoir franchi
> plusieurs niveaux?
>
> Emma, pourquoi avoir monté les facettes (à moins que ce soient des couronnes?)
> sur des modèles en plâtre alors que les arcades sont modélisées en numérique?
> Tu chauffes le Z100 avec le réchauffeur de Bisico?
Je reposte pour la 3e ou 4e fois...
www.cadstar.org
Voir photo et vidéo sur le cerec...
--
Céramik
19/11/2011 à 10h21
teethsurfer écrivait:
>
> Est-il possible pour un débutant d'obtenir ces résultats avec la formation de
> base ou bien faut-il longtemps galérer avant d'y arriver après avoir franchi
> plusieurs niveaux?
Je possède le CEREC depuis 5 ans et pour arriver à reproduire mes provisoires exécutées en occlusion masticatoire, telles que je les ai présentées ci dessus, il m'a fallu 5 ans et le nouveau CEREC, j'attends avec impatience la version 4.0 que Sirona tarde à me procurer.
>
> Emma, pourquoi avoir monté les facettes
sur des modèles en plâtre alors que les arcades sont modélisées en numérique?
j'ai fais une empreinte de positionnement afin de monter sur articulateur adaptable type ARTEC et de pouvoir réaliser mes facettes en emax dans de bonnes conditions.
Donc je résume, empreinte optique en mode reproduction, réalisation des facettes ou des couronnes les unes après les autres, essayage sur le modèle de positionnement, maquillage essayage en bouche et collage au Z100 réchauffé à 55°C
> Tu chauffes le Z100 avec le réchauffeur de Bisico?
exactement, un peu cher (dans les 400€) mais tellement pratique, rien à voir avec les produits flow qui coulent et sont terribles à gérer au niveau des excès.
--
"je préfère vivre en optimiste et me tromper, que vivre en pessimiste et avoir toujours raison"
emma
19/11/2011 à 10h28
Grenouillette écrivait:
-----------------------
Néanmoins une question me taraude…:
> Quid de l'occlusion???
comme je le dis ci dessus je fais de l'occluso_masticologie;);) (néologisme de mon mentor et néanmoins ami JC MONIN)
la meilleure façon de reproduire les provisoires exécutées pour rééquilibrer la fonction masticatoire quoi de plus pratique et fiable que la CFAO, le logiciel du CEREC est tout à fait adapté à ce concept, c'est d'ailleurs pour ça que je me le suis procuré.
Si tu veux en parler avec moi passe au stand de DHT, à l'ADF, je me ferai un plaisir de te rencontrer.
--
"je préfère vivre en optimiste et me tromper, que vivre en pessimiste et avoir toujours raison"
emma
19/11/2011 à 10h45
levm écrivait:
--------------
> @emma :
> -On m'a toujours appris que pour réhabiliter l'antérieur il fallait s'occuper
> des calages postérieurs .
> -Ca n'enleve rien à la qualité de ton travail .
Je n'ai pas touché aux faces palatines des antérieures, de plus, le calage est fait par des temporaires équilibrées en fonction masticatoire à droite et un partiel fonctionnel à gauche, le patient avait envie d'une réhabilitation de son sourire le plus rapidement possible et dans la mesure où ça ne me posait pas de problèmes j'ai adhéré à ses exigences.
>
--
"je préfère vivre en optimiste et me tromper, que vivre en pessimiste et avoir toujours raison"
emma
19/11/2011 à 11h15
Pour mémoire...et pour ceusses qui n'ont pas le courage de fouiller dans eugénol grâce au moteur de recherche en haut à gauche avec la loupe...^^
http://www.eugenol.com/sujets/392618-cerec-cote-pratique-et-technique?page=1