Cookie Consent byPrivacyPolicies.comcompo antérieur - Eugenol
maz

29/10/2011 à 10h47

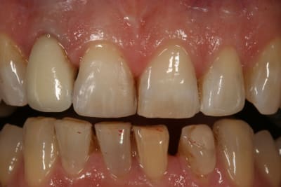
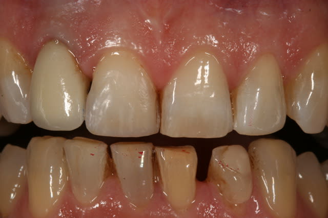
un cas traité cette semaine par un compo

le patient est partit content, et je suis satisfait aussi, mais ou j'aimerais quand même avoir fait mieux (surtout pour me faire plaisir d'ailleurs)

quelqu'un sait comment on peut faire de fines craquelures en composite ?
mes stries blanches verticales font un peu gros paté

Divers 061 gsvxfr - Eugenol
Divers 062 azgkwn - Eugenol
Img 9763 ncmpiz - Eugenol

Smile beach jgh0a1 - Eugenol
Céramik

29/10/2011 à 17h41

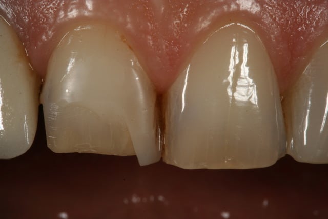
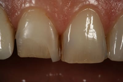
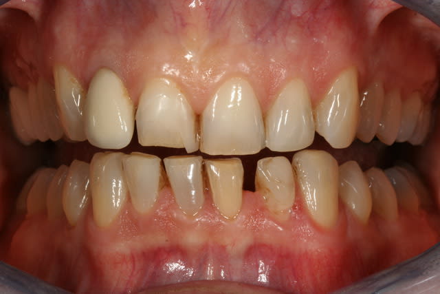
Ton compo est très bien
Manque juste un peu dans la portion distal pour fermer
le triangle noir, sinon, ça va très bien.

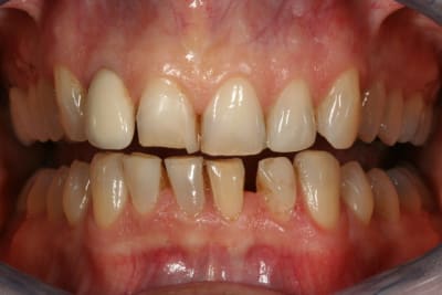
Tu es trop difficile, il reste bien d'autres choses à faire dans cette bouche...voir photo

--
Céramik

2011 10 29 093523 juopqm - Eugenol

maz

30/10/2011 à 01h48

tu as raison, je fais le bilan bientôt, le compo c'était la première fois ou je le voyais, en urgence, et j'ai juste répondu à cette demande

d'ailleurs, satisfait du compo, il m'a dit qu'il allait falloir s'occuper des incisives du bas, et si il veut boucher le diastème, ça va être dur de faire un truc bien


Utilisateur banni

30/10/2011 à 21h13

Pour le compo, je travail avec le coffret miris et j'ajoute différent kuraray et evoflow. Pour faire des stries j'emploie ma sonde fine et n'hésite pas à repasser plusieurs fois à différente vitesse pour obtenir le rendu partiellement escompté. Attention il faut photopolymériser aussi sec car le matériaux flue et s'étale rapidement.
Sinon pas mal comme compo, je ne sais pas combien de temps il a fallu pour le faire, généralement un antérieur sans trop de difficulté me prend une bonne demi heure.
Il y a toujours le problème des biseaux qu'il ne faut pas hésiter faire très longs, et le joint de surface. Je finis au pop on mais j'ai remarqué que l'illusion chromatique est meilleure avant finition au pop on, seulement il y a une légère sur-épaisseure.
En attendant une prochaine photo, bonne continuation.


maz

30/10/2011 à 23h23

j'utilise le enamel HRI, les colorants sont de la même consistance que les autres compos, c'est à dire ferme, donc dur à utiliser à la sonde

je crois qu'ils existent aussi en flow, il faudrait que je me renseigne

je met plutôt plus d'une heure quand je fais un truc comme ça, surtout quand j'ai pas fait faire de wax up avant et que je monte un compo pas collé pour faire une clé silicone pour monter ma face palatine

pour le biseau, je le fait court et en quart de rond, méthode vanini
je sais qu'il y a d'autres écoles pour des biseaux droits et courts ou longs


doctyoni

31/10/2011 à 00h01

Et tu prends le tarif sécu ?


maz

31/10/2011 à 00h06

l'inévitable question !

cette fois là, oui

je commence à faire payer du HN là dessus, mais j'attends d'avoir des resultats plus reproductibles pour le systématiser

il y a aussi le fait que je m'amuse énormément à le faire, et que du coup, je préfère ne pas être rentable là dessus que sur autre chose

quand je fais un devis, je prends une petite empreinte, et je marque wax up sur le devis, ce qui fait que c'est légal


Grueavatar nptrc9 - Eugenol
Le Choixpeau magique

31/10/2011 à 01h04

Maz je trouve que ton résultat est top, effectivement tes tentatives de coloration sont un peu ratées et n'apportent pas grand chose.
Sur dentaltown tu pourras trouver Jason Smithson qui se fera un plaisir de répondre à tes questions, si lui ne sait pas personne ne saura.
Il va te dire qu'aucun système de composite unique ne permet de traiter tous les cas, donc si les effets spéciaux du HFO ne te plaisent pas, prends les chez qqun d'autre (tetric color par exemple).


200106 10150128247663588 709988587 6466236 5598391 n d7mksb - Eugenol
hallboy

31/10/2011 à 01h46

Je viens de faire un TP stratificaton avec le nouveau GC (gaenial) dont les prix me semblent plus abordable que le coffret MIRIS ou HFO . resultat surprenant sans trop de grosses difficultés. par contre Si on veut rentabiliser, entre la seance empreinte, le wax et la realistion c'est 200 euros pour le premier compo et 50 pour chacun de ceux qui suivent...


maz

31/10/2011 à 09h26

merci pour les conseils, je vais aller voir sur dentaltown

pour le compo, j'ai été lobotomisé deux fois, une fois par l'académie du sourire, une autre fois chez vanini himself, et du coup, j'ai tout le HFO
(on a triché, on l'a acheté à deux et on s'est partagé les compules de toutes les teintes de colorants dont on utilise peu de quantités)

ce qui est plaisant avec le HFO c'est le concept qui est prévu pour du début à la fin, de l'analyse de la dent à la restauration, et qui bien utilisé rend la chose moins artistique et plus prédictible

mais je n'ai rien contre y ajouter quelques autres "couleurs", faut juste pouvoir pratiquer assez pour intégrer tout ça


Grueavatar nptrc9 - Eugenol
Le Choixpeau magique

31/10/2011 à 11h45

maz écrivait:
-------------
> pour le compo, j'ai été lobotomisé deux fois, une fois par l'académie du
> sourire, une autre fois chez vanini himself, et du coup, j'ai tout le HFO
> (on a triché, on l'a acheté à deux et on s'est partagé les compules de toutes
> les teintes de colorants dont on utilise peu de quantités)

Tu vas avoir le deuxième effet kiss cool quand tu vas arriver à la date de péremption et que tu vas tout balancer à la poubelle...


maz

31/10/2011 à 14h16

je sais, c'est le premier truc que j'ai regardé quand je les ai reçues, c'est entre 2013 pour les plus proches à 2014 voire 2015 pour les autres

et oui, ça me fera mal au cul quand j'en mettrais certaines à la poubelle !!


maz

06/11/2011 à 00h04

j'ai commencé à regarder ce que jason smithson postait sur dentaltown, et sa formation en ligne qui est très bien faite

il est tout simplement hallucinant sur les compo postérieurs, j'avais encore jamais vu jusqu'à ce point là !

par contre, il préconise un congé quart de rond sur les bords des préparations, ce que je fais en antérieur pour la transition compo/dent, mais je trouve ça un peu mutilant sur les postérieures.
encore que si je faisais ce qu'il fait, je n'hésiterais pas à parfaire mes cas avec un congé périphérique !

c'est complètement inutile de faire de telles choses sur les postérieures, mais pourtant j'ai envie d'essayer ...

j'attends d'arriver au bout des 30 pages de "resins du jour" avant de poster quoi que ce soit, mais c'est marrant de voir les posts bien argumentés de john kanka


M xowzvs - Eugenol
orvieto2

06/11/2011 à 10h19

hallboy écrivait:
-----------------
> Je viens de faire un TP stratificaton avec le nouveau GC (gaenial) dont les prix me semblent plus abordable que le coffret MIRIS ou HFO . resultat surprenant sans trop de grosses difficultés. par contre Si on veut rentabiliser, entre laseance empreinte, le wax et la realistion c'est 200 euros pour le premier compo et 50 pour chacun de ceux qui suivent...


___________________________________________

Par hallboy , samedi 21 mai 2011 à 14:23

"il n'y a pas de moyen legaux pour les compos."


http://www.eugenol.com/sujets/392721-liste-de-ce-qui-est-hn?page=6

__________________________________________

Bonjour,

Que mettre sur la facture que demande le patient après le compo stratifié ?
Je ne demande qu'à en refaire . Le HN , pas de problème . Mais quoi écrire avec un signature en dessous quand on est conventionné ?


maz

06/11/2011 à 10h27

c'est facile, tu comptes un wax up après une mini empreinte de la zone le jour du devis

et d'ailleurs, dès qu'il s'agit d'un compo antérieur, on fait presque toujours une clef en silicone palatine, et le wax up est pleinement justifié


Marque a3 orange fyvhyq - Eugenol
Marc Apap

06/11/2011 à 12h13

maz écrivait:
-------------
> c'est facile, tu comptes un wax up après une mini empreinte de la zone le jour
> du devis
>
> et d'ailleurs, dès qu'il s'agit d'un compo antérieur, on fait presque toujours
> une clef en silicone palatine, et le wax up est pleinement justifié

C'est surtout un excellent moyen d'apporter une valeur ajoutée considérable à un acte banal et de justifier ainsi des honoraires HN élevés. Parce qu'hormis des cas très particuliers (qui sont plutôt des indications de restaurations indirectes), ce n'est vraiment pas sorcier de reconstituer une dent à main levée, même en stratification avec un composite photopolymérisable : il suffit d'un peu d'expérience et d'une bonne connaissance des matériaux qu'on utilise.
Seulement, 40,97 € pour une petite demi-heure de boulot, il y a en a qui ne trouvent pas ça rentable. C'est certain que dans les pays où les gens qui vont chez le dentiste sont ceux qui ont les moyens de payer, ce problème ne se pose pas, puisqu'on leur facture 4 ou 5 fois plus sans souci pour personne (cf la Suisse d'où viennent tous ces brillants - et fort sympathiques il faut le reconnaître - conférenciers)


Björn

06/11/2011 à 12h36

Marc Apap écrivait:
-------------------

> Seulement, 40,97 € pour une petite demi-heure de boulot, il y a en a qui ne
> trouvent pas ça rentable.


Et toi, tu trouves ça rentable?


Marque a3 orange fyvhyq - Eugenol
Marc Apap

06/11/2011 à 12h45

Pas vraiment, mais je me rattrape sur autre chose dont le prix élevé est justifié pour le service rendu.
Faire un wax up et une clé, dans l'immense majorité des cas est pour moi totalement inutile techniquement et n'apporte rien au patient à court ou moyen terme, sauf si on ne sait pas modeler un composite. Ca a uniquement une vertu pédagogique pour le débutant. Ce n'est pas pour moi, une raison valable pour augmenter des honoraires pas assez élevés. (Je m'attendais bien à ta question : ici, les gens ont des comportements tellement stéréotypés que l'on sait d'avance qui va poser quelle question !)


RépondreCiter
Björn

06/11/2011 à 12h59

Marc Apap écrivait:
-------------------
> Pas vraiment, mais je me RATTRAPE sur autre chose dont le prix élevé est
> justifié pour le service rendu.

Quelle "autre chose dont le prix élevé est justifié pour le service rendu"?

Tu prends combien, pour une "petite demie-heure" de couronne céramique+ic (en faisant une division tu vas trouver le prix de ta demie-heure, ne fais pas semblant de ne pas comprendre... ;-) )

Quand tu dis que tu te "rattrapes", que se passerait-il si tu étais dans un cabinet avec beaucoup de travail mais peu de "choses dont le prix élevé est justifié pour le service rendu"?
Tu ferais du surtraitement pour faire des "choses dont le prix élevé est justifié pour le service rendu"?
Ou bien des wax up et du HN?
Ou tu fermerais ton cabinet?


Au sujet des "réactions stéréotypées", c'est très marrant venant de ta part...


Marque a3 orange fyvhyq - Eugenol
Marc Apap

06/11/2011 à 13h03

Je ferai sans doute comme beaucoup de mes copains qui ne fréquentent pas eugénol ou ne viennent pas s'y plaindre : je ferai beaucoup plus de prothèse que je n'en pose, mais à un prix moins élevé parce que j'aurais beaucoup plus de patients. Et au final, j'aurai un CA et un bénéfice encore plus élevé que ceux que j'ai dans mon cabinet de région parisienne.


Björn

06/11/2011 à 13h16

Björn écrivait:
---------------
>
> Quelle "autre chose dont le prix élevé est justifié pour le service rendu"?
>


Tu n'as pas répondu...


Ico v for vendetta08 jzhpep - Eugenol
Arnaud Go

06/11/2011 à 17h07

Chacun de nous est stéréotypable dans ce cas-là.

Björn soulève de vrais problèmes, inutile de le stigmatiser parce que c'est tabou.

Il y a de plus en plus de praticiens qui ont du mal à joindre les deux bouts, il ne faut pas s'étonner à ce que la question fric revienne fréquemment.

Travailler bien et fermer son cab n'est pas je pense une solution, beaucoup heureusement arrivent à joindre les deux bouts parce qu'ils ont une bonne organisation et de la bouteille donc une bonne vitesse de travail. D'autres, je ne dirai pas les plus nombreux, chacun a son opinion et ne veut pas porter opprobre sur ses pairs, en faisant un travail, j'emploierai un mot familier, perfectible.

- Pour les compos hors de prix, la solution frigidaire est pas mal pour la péremption, bon faut gérer et sortir le compo à l'avance aussi.
- Pour les wax-up vous faîtes une clé transparente pour les strates finales ? C'est peut-être une bonne aide pour ceux qui en éprouvent le besoin, ton compo est terrible (la remarque sur la partie distale est bonne et une légère différence de teinte de masse, mais bon faut pas exagérer non plus, c'est très bien). Mes compos n'atteignent pas toujours ce mimétisme faut que je farfouille dentalmachin.com en somme.


M xowzvs - Eugenol
orvieto2

06/11/2011 à 19h16

Marc Apap écrivait:
------------------- Pas vraiment, mais je me rattrape sur autre chose dont le prix élevé est justifié pour le service rendu.



Ca ne suffit plus pour moi .

Le coût de fonctionnement du cabinet a grimpé en flèche . Si je fais comme ça ,il va me rester en 19 et 27 % du CA pour moi . C'était différent il y a seulement 2 ou 3 ans.
J'exerce en omni-pratique. Le carnet de rv est plein, le cabinet aux normes ,avec une assistante.


Marque a3 orange fyvhyq - Eugenol
Marc Apap

06/11/2011 à 20h28

Je trouve surprenant que le coût de fonctionnement de ton cabinet ait grimpé en flèche en seulement deux ou trois ans. Il y a quelque chose de pas clair. C'est quoi ?


maz

06/11/2011 à 20h34

Arnaud Go écrivait:
-------------------

> - Pour les wax-up vous faîtes une clé transparente pour les strates finales ?

non, un silicone juste pour monter la face palatine à la bonne place

> C'est peut-être une bonne aide pour ceux qui en éprouvent le besoin, ton compo
> est terrible (la remarque sur la partie distale est bonne et une légère
> différence de teinte de masse, mais bon faut pas exagérer non plus, c'est très
> bien). Mes compos n'atteignent pas toujours ce mimétisme faut que je farfouille
> dentalmachin.com en somme.

j'ai bien peur que dentalespace, au moins la dernière fois ou j'y suis allé, n'était pas du tout au top sur ce sujet (un confrère qui explique qu'il faut mettre un compo opaque pour masquer le noir de la cavité buccale ...)

pour ce qui est de dire que la clef en silicone est inutile, je ne suis pas d'accord du tout, je pense qu'il n'est pas possible de faire un bon compo antérieur sans
en effet, tout ce joue au niveau des épaisseurs, et c'est impossible de faire ça de façon reproductible, méthodique, sans avoir monté sa face palatine puis ses faces proximales en premier
inutile de dire que pour caractériser un bord libre, si on a pas monté sa face palatine et son bord libre pile au bon endroit, toute caractérisation est vouée à l'échec.

après, qu'on dise que faire ce genre de compo est peu utile en soi, par rapport au cout pour le patient, ou à son bénéfice je peux comprendre.
personnellement je suis persuadé qu'un bon compo comme ça vaut 10 fois mieux qu'une couronne, car lorsqu'il y aura un échec avec le compo, on pourra le réparer ou au pire le refaire, à un cout bien inférieur à celui de la couronne
alors qu'un échec de couronne, c'est une endo ou resection apicale, une nouvelle couronne au minimum, et au pire un bridge ou un implant

pour mes dents, celui qui me mettra une couronne devant alors qu'un simple compo sous lequel ma dent sera intacte suffit (et dont le wax up m'aura couté deux fois moins cher que la couronne) n'est pas né

je pourrais rajouter par rapport à l'intérêt du wax up que les promoteurs de la technique de stratification ne sont pas français, et n'ont pas eu besoin de l'excuse d'une nomenclature obsolète pour dire que la clef palatine est indispensable


12