Cookie Consent byPrivacyPolicies.comcompo antérieur - Eugenol
maz

06/11/2011 à 20h47

.


maz

06/11/2011 à 20h47

mais quand on parle d'indications de compo et de techniques indirectes, je pense qu'on imagine pas ce qu'on peut faire avec le compo

c'est tout le problème d'une technique et d'un matériau qui est a présenté des problèmes à ses débuts
une fois que ça marche, les gens déçus par la technique/le matériau ont du mal à y revenir, ce qui est tout à fait normal

un exemple de ce que peuvent faire des spécialistes en la matières, ici le suisse D Dietschi

Compo avant ox4j4e - Eugenol
Compo apr s bv2mfy - Eugenol

Marque a3 orange fyvhyq - Eugenol
Marc Apap

06/11/2011 à 20h54

Tu l'auras compris, je ne partage pas complètement ton point de vue. Si la dent est vraiment très très délabrée, un composite n'est pas vraiment la meilleure solution à moyen terme, sauf chez un enfant. Si elle l'est peu, sauf cas extrêmement particulier, je reste intimement convaincu qu'on peut fort bien se débrouiller sans toute cette mise en scène, avec un résultat plus qu'acceptable par le patient.
Jadis, on prenait la moitié d'un moule odus qu'on remplissait de composite chemopolymérisable. On avait de merveilleux résultats immédiats, mais il fallait faire très vite à cause de la prise du produit; Aujourd'hui, avec les composites de différentes opacités et photo polymérisables, on a des matériaux assez fermes et tout le temps qu'on veut pour ne pas se compliquer la vie avec une clé.
Tu te vois faire une empreinte et une clé chez un gamin qui arrive avec sa dent pétée et qui ne veut qu'une chose, qu'on la lui répare le plus vite possible ?
Je persiste et signe pour dire que ça a une vertu pédagogique, mais que l'on peut parfaitement obtenir un excellent rendu sans cela. Sauf que ça fait quand même plus chic de sortir tout un attirail pour pondre un travail banal (le plus dur en stratification, ce n'est pas la face palatine, c'est la finition et le polissage de la face occlusale).
Et pour reprendre un sujet qui m'est cher, je ne comprends pas cette furieuse tendance que tout le monde a dans notre profession, à compliquer les choses et donc à les rendre plus chères pour le patient, au lieu de rechercher les techniques de soins alliant le meilleur rapport qualité prix. Comme si nous étions dans le commerce de luxe au lieu de la santé publique. Je parle de qualité au meilleur prix, pas de prix bas pour une qualité médiocre.

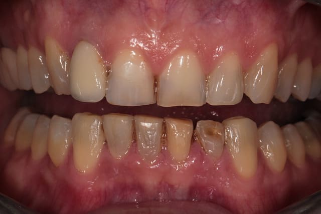
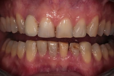
Entre temps, tu as posté ces images. Je ne sais pas si elles sont de toi, mais dans le cas présent, nous sommes face à une situation particulière, qui n'a rien à voir avec ce dont je parle (trauma ou légères retouches). Ces restaurations sont complexes et il est évident que dans ce cas, un wax up s'impose, ne serait-ce que pour prévisualiser les résultats. Maintenant, si tu me demandes quelle est la meilleure façon de procéder, je ne suis pas tout à fait sûr que pour moi, ce soit de réaliser des restaurations directes face à un tel problème.
Je trouve parfaitement légitime ici, de faire payer un travail HN car cela n'a rien à voir avec une réparation banale. Certes, le coût sera inférieur à des céramiques et cela rejoint la philosophie que je défends quelques lignes plus haut. La seule interrogation est : quel sera le devenir à 3-5 ans, par rapport à des reconstitutions en céramique ?
Désolé, je n'avais pas lu que c'était DD qui avait fait le travail. Ca ne m'étonne pas. J'ai fais un TP avec lui, il est super. Mais il se fait payer, à la fois comme dentiste, mais aussi comme conférencier. Pour lui arriver à la cheville, il faut se lever matin. C'est comme si je te montre un champion de tennis ou un coureur qui fait le 100 mètres en moins de 10 secondes. C'est possible, ouais, mais pour 1 % ou moins de la population mondiale. Alors, c'est bien pour rêver, mais faut être un minimum réaliste.


003 penrd2 - Eugenol
Cingulum

06/11/2011 à 21h35

pour ceux qui ont un compte facebook:
http://www.facebook.com/photo.php?v=210335099030406#!/media/set/?set=a.156419391090561.39232.100001675047807&type=1



--
Dr Cingulum
-----Ancien interné----
----Attaché à l'apex----
http://www.clinic-all.fr/ formation par passion


maz

06/11/2011 à 21h55

je suis d'accord en partie :
- sur la limite entre direct et indirect, sauf qu'on ne la place pas au même endroit
- et sur le resultat acceptable esthétiquement parlant
tu as raison en disant qu'on peut faire un compo correct et durable sans clef, par contre je ne pense pas qu'on puisse faire un compo qui mime bien la dent naturelle sans cette clef.
tout dépend de l'exigence esthétique, du patient et du dentiste

je ne suis pas du tout d'accord sur le fait que sortir cet attirail soit pour faire chic, et cette partie pourrait être mal prise si on ne se connaissait pas ;)
je deteste en effet ceux qui essaient d'en mettre plein la vue au patient avec des trucs inutiles, mais là je suis persuadé du bien fondé de ma démarche.
même si je sais que tu privilégie une démarche de qualité la plus simplifiée possible
je pense donc que sur ce point on ne tombera jamais parfaitement d'accord !

pour la durée de vie du compo à 3-5 ans, c'est là que je pense qu'on peut tabler sur une bien meilleure durée de vie
pour avoir vu des cas suivis qui ont plus de 15 ans
pour avoir vu hier pascal magne qui expliquait que des cas de facette qu'il a montré, il les ferait aujourd'hui en compo
je pense que ça peut durer, dans une bouche bien entretenue, et avec un petit coup de rebrillantage de temps en temps à la surface

ensuite tu as raison, le cas que je viens de montrer est horriblement dur à réaliser, il est justement fair pour rêver et j'aime bien rêver ; et du haut des mes 30 ans, je me dis que je pourrais progresser tranquillement toute ma carrière sur le sujet sans m'ennuyer


Marque a3 orange fyvhyq - Eugenol
Marc Apap

06/11/2011 à 22h26

maz écrivait:
-------------
et du haut des
> mes 30 ans, je me dis que je pourrais progresser tranquillement toute ma
> carrière sur le sujet sans m'ennuyer
>
Tu as raison, c'est ce qui compte : l'envie de toujours apprendre et faire mieux.


Ico v for vendetta08 jzhpep - Eugenol
Arnaud Go

07/11/2011 à 00h03

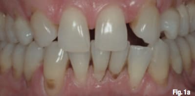
Maz je n'avais pas saisi la raison du wax-up, ce n'est du qu'à mon ignorance.

Je comprends parfaitement le besoin d'être bien guidé en lingual lorsque le manque de substance en hauteur est important, dans ces cas mon compo part souvent au Sud ou au Nord et je suis obligé de sortir la rugby pour un bon dégrossissage ou d'en remettre une couche.

Dans le cas de la première photo le soutien lingual n'était peut-être pas aussi nécessaire, en as-tu vraiment éprouvé le besoin ? Cependant la nécessité de prendre autre chose que la charité de l'assurance-maladie justifie pleinement la prescription du wax-up ou autre astuce. C'est triste mais moins que de faire l'aumône.

Comment gères-tu l'urgence esthétique ? Ce n'est pas évident.


Bebe 038 nf8eum - Eugenol
danteyeah

07/11/2011 à 11h15

maz écrivait:
-------------
> j'utilise le enamel HRI, les colorants sont de la même consistance que les
> autres compos, c'est à dire ferme, donc dur à utiliser à la sonde

Le HRI doit être chauffé avant utilisation (réchauffeur, fournit à prix d'or chez Bisico, évidement!), une fois chaud il est très malléable et peut se travailler à la sonde.
Pour tes stries blanche, utilise une lime endo fine (K8 ou mieux si tu as K6), porte le colorant (Milky, dans ce cas apparemment) avec la pointe de la lime et étire le, n'hésite pas à retoucher à la fraise si tu estime en avoir trop (on repasse une couche de bis gma: colle seule, après meulage). Sur tes photos on voit que t'as fait fait deux gros pâtés quand même, et ce sera encore plus flagrant quand les dents se seront réhydratées. Si tu doit reprendre essaye de faire des stries moins parallèle. En distal ton coin de matriçage était trop épais, essaye ceux en plastique souple (chez Wam), et pourquoi ne pas avoir polie et retouché en mésial les grosses taches marron (peut être même début de carie). Pour les colorant, ceux de Micerium sont effectivement trop ferme (même chauffé), tu peux sans soucis les remplacer par des Tecera (toujours Bisico).
Pour ce qui est des honoraires....tout travail mérite salaire, si on ne se fait payer se qu'on vaut, on finit par valoir ce qu'on nous paye. Mais tout est notion de relativité, et si tu envisage de bien gagner ta vie avec des composites, il te faut un niveau à la Vanini and Co, ce qui n'est pas légion comme le dit Marc A.


Bebe 038 nf8eum - Eugenol
danteyeah

07/11/2011 à 11h22

.


Bebe 038 nf8eum - Eugenol
danteyeah

07/11/2011 à 11h29

.


maz

07/11/2011 à 15h03

Arnaud Go écrivait:
-------------------
> Comment gères-tu l'urgence esthétique ? Ce n'est pas évident.

souvent en urgence, je fais un cvi, le fuji equia, avec une matrice tenue au doigt
ça me prend 5 min, et je peux prévoir le compo ou les reconstitutions indirectes tranquillement

merci pour les conseils danteyeah, je vais essayer en les chauffant (je viens de récupérer un chauffeur bisico en test pour 3 mois, je faisais sans jusqu'à maintenant)
et avec une sonde


maz

22/01/2014 à 16h58

j'ai revu le patient, qui entre temps à fait un ttt ortho en bas (fermé les diastèmes en créant une béance !)
et qui est maintenant décidé puisqu'on va faire éclaircissement et refaire la 12

Pour le moment je suis content du vieillissement du compo enaHRi, que je n'ai pas retouché depuis 2011 ou je l'avais fait.

Compo 11 aw14t3 - Eugenol

12