Cookie Consent byPrivacyPolicies.comdépassement - Eugenol

dépassement

scala

02/11/2011 à 16h38

Bonjour,

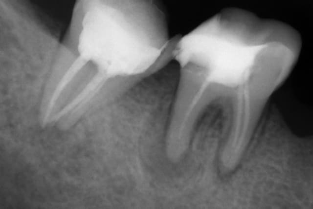
Je récupère une patiente avec un nécro sur la 47.
J'effectue le TR: sur la DP je suis à l'apex, la MV je suis à 4mm de l'apex mais je n'arrive pas à progresser et sur la ML je ne vois pas l'apex à la radio mais je dépasse clairement de 3mm.
La patiente a des douleurs au toucher dela table alvéolaire interne, à la pression et des démangeaisons!
J'ai désobturé le canal ML et j'y ai mis de l'hydroxyde de calcium.

Qu'en pensez vous?
Je suis un peu perdue, ça ne mettait encore jamais rrivé de dépasser.

Melouki n 19760411 150806552 1 luut05 - Eugenol

ju

02/11/2011 à 20h35

bonsoir, pas de 5 et une 6 bientôt à extraire...
Quel est le plan de traitement?


Utilisateur banni

02/11/2011 à 22h16

Bonsoir,
En matière de dépassement je les pratiques volontaire avec lime fine dans ce genre d'infection. La création de plaie osseuse favorise une inflammation et donc l'afflux de défense sur site, pour les apex je regarde à nouveau. Sinon 47 et 46 sauvable, rtr peut être uniquement à voir avec l'abt laquelle donnera des résultat, sinon curetage, ou resec en complément.


Utilisateur banni

02/11/2011 à 22h19

J'arrive bien à voir des choses mais impossible de copier l'image pour remettre des annotations dessus.
Sinon demande un cone beam, pour la plupart de mes rtr j'en demande.


Utilisateur banni

02/11/2011 à 22h22

voici ce que je vois

Sans titre is8zr9 - Eugenol

G-P

02/11/2011 à 23h51

Achète toi un localisateur d'apex électronique (90€ en chine).


Smile beach jgh0a1 - Eugenol
Céramik

03/11/2011 à 02h40

3 jolis implants...

--
Céramik


scala

03/11/2011 à 10h14

Avant d'extraire la 6 je vais déjà tenter le RTE.


scala

03/11/2011 à 10h14

Problèmes financiers...


Utilisateur banni

03/11/2011 à 15h43

Ce serait en effet plus sympa pour le patient de faire un retraitement et si nec une resec ou curetage si rtr insuffisamment efficace.


Smile beach jgh0a1 - Eugenol
Céramik

04/11/2011 à 02h07

Shadow écrivait:
----------------
> Ce serait en effet plus sympa pour le patient de faire un retraitement et si nec
> une resec ou curetage si rtr insuffisamment efficace.

La radio est limite (angulation), mais
la 46 ne survivera pas à une endo et resec et curetage, les racines sont faibles au départ.

La 47 est OK, pas plus, mais solide ?
Manque la 45.
Comme portrait, c'est pas bien rose...

Les 3 implants, c'est un des choix...

Tu as une pano ?





--
Céramik