Cookie Consent byPrivacyPolicies.comdevoir de confraternité - Eugenol

devoir de confraternité

dentiste68

14/11/2011 à 00h28

L'AD est sous l'autorité du dentiste et se doit de respecter le secret médical, il en va certainement de même pour le code de déontologie. A mon avis.
Une AD est-elle apte à juger par elle-même le travail d'un dentiste? C'est une autre question.
Parce que si c'est le dentiste qui le souffle à son AD, j'crois pas que ça compte ;-)


Brackets

14/11/2011 à 03h19

ça reste quand même une situation délicate.


--
De retour en France :(


ameli

14/11/2011 à 12h20

dentiste68 écrivait:
--------------------
> L'AD est sous l'autorité du dentiste et se doit de respecter le secret médical,

Oui.
Mais dans la réalité, ce sont des femmes, ce qui n'est pas un défaut ;)
Je ne suis pas certain que, confrontés à une dérive, femmes et hommes réagissent de la même manière. Est-ce une conséquence d'une éducation "sexuellement" orientée ? Une femme aura davantage de compassion, sera plus réactive, plus interventionniste, moins tolérante.
Je ne suis pas certain de ce que j'affirme là, mais c'est une constatation : face à une maltraitance, à une injustice ressentie comme telle, à une souffrance quelconque, elles réagissent plus fort. Elles ne pardonnent pas.
Je réceptionne bien davantage de dossiers "plaintes et signalements" en provenance de femmes que d'hommes, bien au-delà de la représentativité des sexes dans les services. Et il en était de même au service contrôle sécu.
Au point parfois qu'elles "surréagissent". Mais ça vaut mieux que de ne pas réagir.

Avec une AD, le secret médical a des fuites, dans le but louable de protéger un patient. C'est fautif, évidemment, mais tant pis... et c'est tout de même à surveiller.
Et je signale aussi que les AD dénoncent (à l'ARS) sous couvert de conservation de l'anonymat les manquements à l'hygiène-sté de leur patron, bien plus souvent que les patients qui ne se rendent compte de rien. Acte de vengeance après une frustration ?, oui, certainement parfois, mais le problème, c'est qu'elles n'ont pas forcément tort...


01 ukhwbq - Eugenol
Bobby

14/11/2011 à 15h30

king_zoulou écrivait:
---------------------
> Et à qui est-on censé "dénoncer" ?
> Au CDO ?

Ils devraient mettre une boîte aux lettres comme ça au CDO^^

http://www.tripteaser.fr/uploads/reportage/292/Z2Wo6ydDYp_3.jpg


jaung

14/11/2011 à 17h27

perso, il m'est arrivé de me retrouver confronté a des cas tres acrobatique. Il me semble que informer le patient en lui expliquant que " ce n'est pas le choix thérapeutique que j'aurais choisit" lui permet de comprendre sans non plus increminer un confrère. Et je ne parle que de cas hors limites.
Libre au patient de se tourner vers qui il veut, un soupcon d'honneté... on est pas des hommes politiques.


Image ag8nh7 - Eugenol
vali

14/11/2011 à 23h26

Le probleme enfin il me semble c'est que les patients sont complètements désœuvrés et ne savent pas vers qui ce tourner.
personne ne leur dis qu'ils y a des organismes qui peuvent les aidés alors parfois c'est très dur et la je parle juste pour moi.
Je pense à des cas ou les gens sont très très vulnérables des personnes âgées.
Bon bref de toute façon tous ça aparement ne me regarde pas.
Juste petit parenthèse sur certains cas il n'y a pas besoin d'être CD pour voir que quelque chose cloche vraiment et je parle pas de petit cas iatrogène mais de foutage de gueule avéré (pardon de m'exprimé ainsi) après quand je vois mon prat que j'adore ne pas se mouiller, je suis en colère et j'ai du mal à me regardé dans la glace .
J'ai souvent eu envie de faire quelque chose mais je fais comme lui je me tais même lorsque certaines petites Mamies pleure dans mes bras.
J'espère que chacun trouvera l'équilibre entre confraternité et intégrité.
Merci pour vos réponse.




jaung écrivait:
---------------
> perso, il m'est arrivé de me retrouver confronté a des cas tres acrobatique. Il
> me semble que informer le patient en lui expliquant que " ce n'est pas le choix
> thérapeutique que j'aurais choisit" lui permet de comprendre sans non plus
> increminer un confrère. Et je ne parle que de cas hors limites.
> Libre au patient de se tourner vers qui il veut, un soupcon d'honneté... on
> est pas des hommes politiques.


Ico v for vendetta08 jzhpep - Eugenol
Arnaud Go

14/11/2011 à 23h59

Cette discussion est intéressante et pose généralement la question du curseur pour un praticien atteint de iatrogénite aigüe.
- Est-ce bon de mettre de l'huile sur le feu ?
- Cela va-t-il nuire à la profession en général ?
- Cela ne va-t-il pas empirer les choses de soulever le problème ?
- A-t-on le droit de dénoncer, adroitement ou non, et à qui ?

Pourquoi ne pas évoquer pour poser des repères les textes qui régissent nos rapports ?
Code de déontologie - Titre 4 : Devoirs de confraternité 
Les chirurgiens-dentistes doivent entretenir entre eux des rapports de bonne confraternité.  
En cas de dissentiment d'ordre professionnel entre praticiens, les parties doivent se soumettre à une tentative de conciliation devant le président du conseil départemental de l'ordre. 
Les chirurgiens-dentistes se doivent toujours une assistance morale.
Il est interdit de calomnier un confrère, de médire de lui, ou de se faire l'écho de propos capables de lui nuire dans l'exercice de sa profession.

Mais cela reste tout-de-même assez bague à mon goût. Si on jette un coup d'œil sur les rapports avec les praticiens conseils et experts juste avant dans le code, cela apporte des indices sur les rapports qui doivent régir nos relations :

Article R4127‐253 : Le chirurgien‐dentiste exerçant un contrôle ne doit pas s'immiscer dans le traitement.  
Toutefois, si au cours d'un examen il se trouve en désaccord avec son confrère ou si un élément utile à la conduite du traitement a été porté à sa connaissance, il doit le lui
signaler confidentiellement.
...Il doit être très circonspect dans ses propos et s'interdire toute appréciation auprès du malade. 

Le chirurgien‐dentiste expert doit, avant d'entreprendre toute opération
d'expertise, informer de sa mission la personne qu'il doit examiner.  Il doit s'abstenir, lors de l'examen, de tout commentaire.

Concernant l'article R4127-202 du code de la santé publique il n'a aucune incidence sur les rapports de confraternité :
Le chirurgien-dentiste, au service de l'individu et de la santé publique, exerce sa mission dans le respect de la vie et de la personne humaine.
Il est de son devoir de prêter son concours aux actions entreprises par les autorités compétentes en vue de la protection de la santé.

Mais bon celui qui érige la délation en véritable profession y trouvera probablement matière à l'inspiration.


ameli

15/11/2011 à 18h57

Arnaud Go écrivait:
-------------------
> - Est-ce bon pour de mettre de l'huile sur le feu ?

Les conséquences de nos informations techniques ne sont pas notre problème, mais celles du patient. Nous DEVONS l'informer de façon neutre et complète, pas juger s'il y a du feu ou de l'huile. C'est la loi, et c'est aussi du simple respect.

> - Cela va-t-il nuire à la profession en général ?

Laisser travailler des nuisibles reconnus ne va certainement pas aider à la réputation de la profession.

> - Cela ne va-t-il pas empirer les choses de soulever le problème ?

!!!
Faire celui qui n'a rien vu...
Ne rien dire empêchera-t-il le nuisible de poursuivre son oeuvre : non.

> - A-t-on le droit de dénoncer, adroitement ou non, et à qui ?

En règle générale, non.
Mais on a un devoir de franchise envers le patient.

> Code de déontologie - Titre 4 : Devoirs de confraternité 
> Les chirurgiens-dentistes doivent entretenir entre eux des rapports de bonne
> confraternité.  

Je ne vois pas où placer la confraternité dans un rapport entre un praticien traitant et son patient. On est là dans un rapport strictement médical patient-praticien, pas dans un rapport amical de praticien à praticien.
On discute et on donne un avis strictement médical, un diagnostic et des éclaircissements au patient, pas à un confrère.
Ce que le patient fait de notre avis ne nous regarde pas.

> En cas de dissentiment d'ordre professionnel entre praticiens,

... et il n'y a pas de dissentiment, puisqu'il n'y a pas de rapports entre confrères !

>Il est interdit de calomnier un confrère, 

On ne médit pas : on donne une explication scientifique au patient.

> sur les rapports avec les praticiens conseils et experts juste avant dans le
> code, cela apporte des indices sur les rapports qui doivent régir nos relations

La comparaison est fallacieuse, car il ne s'agit pas de praticiens "traitants-interventionnistes" qui doivent obligatoirement expliquer et "éclairer" avant d'entamer un acte quelconque. Un DC, lui, n'a pas à éclairer le patient, ça lui est interdit, car il ne fait pas d'actes ; il est juste observateur, et c'est son seul rôle ; et c'est un rôle qu'il est tenu d'annoncer au patient. Le contexte est donc opposé et non similaire.

> Concernant l'article R4127-202 du code de la santé publique il n'a aucune
> incidence sur les rapports de confraternité :
> Le chirurgien-dentiste, au service de l'individu et de la santé publique, exerce
> sa mission dans le respect de la vie et de la personne humaine.

Exact, pas de rapport avec la confraternité, mais c'est un rappel important : nous avons un devoir de protection du patient, de respect du patient et de ses maux. Nous sommes au service des individus et de la population, et non au service des confrères.
Selon cet article, la priorité d'un soignant est la santé publique, pas la protection d'un confrère maladroit et/ou inconscient.
Cette hiérarchie (actée par ce texte) dans nos devoirs place la confraternité un gros cran en dessous de la santé publique.
Or, des dévastations dentaires comme on en voit parfois (peu, mais elles existent), c'est un problème de santé publique.


Grueavatar nptrc9 - Eugenol
Le Choixpeau magique

15/11/2011 à 20h02

vali écrivait:
--------------
> J'espère que chacun trouvera l'équilibre entre confraternité et intégrité.

C'est pourtant d'une seule et même chose qu'il s'agit.
Si tu as du respect pour ton patron et tu vois qu'il préfère "ne pas se mouiller", demande lui une fois en tête à tête pourquoi il fait ainsi, ça va peut être t'ouvrir d'autres horizons.


titecarie

19/11/2011 à 05h15

Un nouveau cas se présente.

Dans toutes les réponses, il y en a qui consistait en :
" si tu préviens le patient ça risque de se retourner contre toi".
J'étais tout à fait consciente de se risque et je ne me suis pas mouillée sur plusieurs "clients" de mon voisin (je ne dirais plus confrère, ça m'écorche)

Voilà le nouveau cas :
un patient avec 4 implants maxillaires, 1 en périimplantite et surtout 1 quasi transnasal... (pas dans le sinus, non mais vraiment dans une position que je n'avais jamais vu et d'une longueur... je crois que c'est un implant pour cheval)
Bref, j'avais dit à se patient que je n'y connaissais rien en implant et qu'il devait retourner voir mon très cher voisin.

Il est allé voir un ORL qui lui a balancé : "Elle y connait peut être rien en implant d'accord, mais elle a des yeux et dans ce cas ya pas besoin de jumelle pour se rendre contre du danger de cet implant"
Voilà ce qu'est venu me répéter texto le patient, en rajoutant qu'il ne me tenait pas pour responsable, mais qu'il pensait quand même pouvoir avoir confiance et que j'ai couvert une faute d'un confrère.
En pour conclure : "tous pareil, à vous protéger"

J'avoue, j'ai eu du mal à l'encaisser celle là.

Je crois qu'il n'y a pas de vrai solution à ce problème, prévenir peut se retourner contre nous, ne rien dire aussi.

On ne peut pas dire à chaque patient avec problème qu'il a été mal traité car tout dentiste peut faire une erreur, mais malheureusement on en couvre des praticiens sans conscience qui ne font que des atrocités... ralala


Truffe

19/11/2011 à 09h14

Bonjour,
je pense que certains, comme Améli, ont déja bien résumé les choses, mais je vais donner un Xeme avis. D'ailleurs, je te remercie d'avoir poster ce sujet, car cela m'oblige un peu à réfléchir et c'est intéressant de voir les différents avis.
Nous n'avons pas à débiner un confrère ni a le couvrir : nous avons à apporter le meilleur à notre patient.
C'est a dire à l'informer sur son état et sur les risques.
ex : je n'y connais rien en implant, mais je pense qu'il pourrait y avoir un problème avec celui-ci. Je vous conseille de retourner voir Dr MainGauche, ou de consulter Dr Enquij'aitouteconfiance, mon correspondant. Tu peux même lui donner un courrier (cher confrère... description du truc..., je m'inquiète du risque d'infection ou de ch'ai pas quoi, que faut il faire ?)Le courrier peut être lu par Dr Maingauche ou Dr Enquij'aitouteconfiance.
Le patient peut ( DOIT) être prévenu qu'il peut y avoir un problème, sans que tu lui dise que le confrère est un porc.
Imagine que chaque patient est ton père, ta mère, ta sœur, ton frère, ton conjoint, ton enfant ou toi ! As tu envie de savoir que Dr Maingauche est nul ? Cela avance t il a quelque chose pour toi, en tant que patiente ? non, je pense, pour ma part. Et en plus, je considèrerais que cela rabaisse le praticien à un niveau bien bas d'émettre un tel avis.
Par-contre, si tu me dit, a moi, qui suis ta patiente, que le tenon planté entre les racines de ma 46, peut m'apporter des pb, cela me confirme que je ne suis pas folle si je ressent des douleurs. Si en plus tu me dit qu'il y a plusieurs solutions : extraire la dent, déposer le tenon en reprenant le ttt et en traitant la lésion au MTA, ou voir Dr Machinquiestpluscompétant, ou ne rien faire car c'est mon corps, là je pense que tu me prends en considération, que tu t'y connais et que en plus tu connais tes limites.
Même si c'est Dr Enquij'aitouteconfiance ou Dr Machinquiestpluscompetant qui s'occupe de moi, je me rappellerai que Dr Tit'carie semble compétente et qu'en plus elle est humainement valable puisqu'elle m'a prise en considération, qu'elle n'a pas craché sur Dr Maingauche, mais qu'elle a fait pour moi ce qui lui semblait le meilleur.
Le but, c'est que le patient soit traité au top. Il peut être suffisamment intelligent pour déconseiller Dr Maingauche et suffisamment procédurier pour l'attaquer.
Si tu ne dit rien, tu est complice de Maingauche et en plus, tu n'a pas traité ton patient correctement car tu lui dois bons soins ET informations.
Et TOI, que désires tu vraiment, comment veux tu te voir dans la glace ? En délatrice ? En collabo ? cela peut aussi te permettre de trouver comment tu te positionneras dans tes relations professionnelles.
Ce n'est pas drôle d'être installée près du Dr Maingauche, mais, au moins, il ne vient pas de prendre sa retraite, lui, et les patients qui viennent te voir ont bien un petit doute. Pres de chez moi, il y a son frère qui vient de fermer son cabinet, et nous voyons débarquer ses patients, qui avaient toute confiance en lui. Nous nous devons de les informer et là on peut passer pour la dentiste aux dents longues. Tant pis, les patients sont libres de penser et de consulter qui ils veulent, mais je me dois de les informer.
Autre chose, connais tu qq'un au conseil de l'ordre, avec qui tu peux discuter et demander conseil personnellement ? Cela peut être bien utile parfois, voir sympa. Si non, présente toi aux prochaines élections ordinales ,et tu seras aux première loges pour savoir ce qu'il faut faire. Connais tu tes voisins? Que font ils, eux, dans cette situation? Et tes correspondants, le fameux ORL? Rien, ne t'empêche de l'appeler pour lui demander conseil, discuter. Fais partie d'un maximum d'associations de ta maison dentaire et tu seras dans un réseau de gens avec lesquels tu pourras échanger, et en plus tout le monde sera bien content de voir une jeune arriver !
Qu'aucun gaucher ne se sente visé par mes propos !!!


Avatar 46 aoi1yc - Eugenol
HononLulu

19/11/2011 à 19h23

titecarie écrivait:
-------------------


> On ne peut pas dire à chaque patient avec problème qu'il a été mal traité car
> tout dentiste peut faire une erreur, mais malheureusement on en couvre des
> praticiens sans conscience qui ne font que des atrocités... ralala

Non, on n'a pas à le faire, en revanche comme cela t'a été conseillé, tu dresses un état des lieux, complet. Sans jamais juger la personne qui a réalisé l'acte.
Ainsi tu es honnête vis à vis du patient et tu ne passeras plus pour une bille vis à vis de l'ORL, ou plus grave, du patient.

Remplace certains mots qui te viennent à la bouche par des formules policées.
Exemple :
une endo merdique --> un soin perfectible
Un implant dans le sinus/fosse nasale --> un positionnement "délicat" qui pourrait poser problème par la suite.


Img 3657 cwjvqm - Eugenol
alapex

19/11/2011 à 20h18

@Truffe et Hononlulu , ça s'appelle la positivité . c'est ce qu'il faut appliquer .
Un bémol pour Truffe , tu ne peux pas être d'accord avec Ameli .


Björn

19/11/2011 à 20h22

Truffe écrivait:
----------------
.
>
> Autre chose, connais tu qq'un au conseil de l'ordre, avec qui tu peux discuter
> et demander conseil personnellement ? Cela peut être bien utile parfois, voir
> sympa. Si non, présente toi aux prochaines élections ordinales ,et tu seras aux
> première loges pour savoir ce qu'il faut faire.


Ouais c'est ça, c'est super sympa l'ordcnsd ou cnsdordre...


king_zoulou

19/11/2011 à 23h10

Tu veux dire CNSDésordre


Img 3657 cwjvqm - Eugenol
alapex

19/11/2011 à 23h19

Björn écrivait:
---------------
> Truffe écrivait:
> ----------------
> .
> >
> > Autre chose, connais tu qq'un au conseil de l'ordre, avec qui tu peux discuter
> > et demander conseil personnellement ? Cela peut être bien utile parfois, voir
> > sympa. Si non, présente toi aux prochaines élections ordinales ,et tu seras
> aux
> > première loges pour savoir ce qu'il faut faire.
>
>
> Ouais c'est ça, c'est super sympa l'ordcnsd ou cnsdordre...



Hi , hi ,hi ...


Ico v for vendetta08 jzhpep - Eugenol
Arnaud Go

20/11/2011 à 01h00

Truffe donne une ligne de conduite à tenir assez satisfaisante intellectuellement. Il a du nez.


Little shop of horrors brzqjx - Eugenol
chatondecarte

21/11/2011 à 23h02

Y a quand même des fois on s'est dur de rester confraternel!!

Implant qui drift yqt32j - Eugenol

Ico v for vendetta08 jzhpep - Eugenol
Arnaud Go

22/11/2011 à 00h02

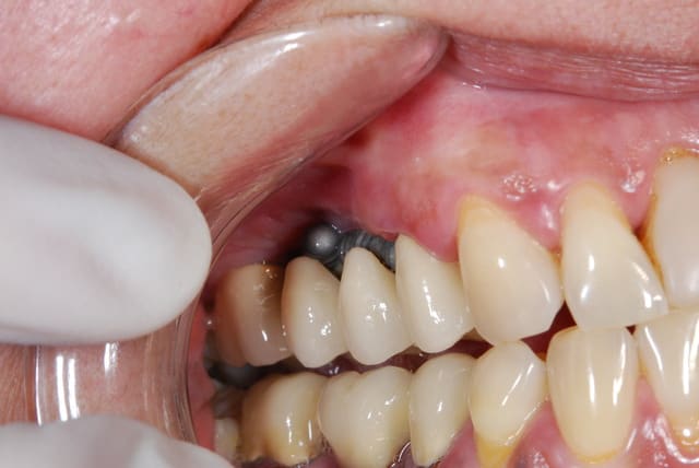
C'est une limace qui nous regarde sous le bridge ?


Image ag8nh7 - Eugenol
vali

22/11/2011 à 11h21

hiiiiiii!!!!!!!,
mais c'est quoi cette horreur alors la, je veux savoir.
amalgame????


Little shop of horrors brzqjx - Eugenol
chatondecarte

22/11/2011 à 23h04

vali écrivait:
--------------
> hiiiiiii!!!!!!!,
> mais c'est quoi cette horreur alors la, je veux savoir.
> amalgame????


Un élément de réponse

Implant qui drift depose wdnofp - Eugenol

dentiste68

22/11/2011 à 23h15

Non... mais lui... c'est pas pareil... il faut pas le dénoncer... faut l'enfermer... après lui avoir coupé les mains... bien entendu!


Ico v for vendetta08 jzhpep - Eugenol
Arnaud Go

22/11/2011 à 23h16

C'est Nono le petit robot ?

Il bouffe des clous, remarque ça évite d'avoir de la nourriture sous le bridge, c'est pas con à la réflexion.


baroud69

23/11/2011 à 12h00

Hypothèse:

Il fout deux implants,

Ça foire,

Il les laisse,

Fait un bridge de 4 dents,

J'ai bon ?


baroud69

23/11/2011 à 12h01

Doublon..

Au bout de 30 sec j'ai craqué j'ai ré-appuyé sur le bouton ^^


1...45