Cookie Consent byPrivacyPolicies.comAnesthésie ostéo-centrale - Eugenol

Anesthésie ostéo-centrale

maxoubidou

28/11/2011 à 11h03

Bonjour

Je souhaiterai avoir votre avis sur l'anesthésie ostéo-centrale (type quick sleeper par exemple).

Merci d'avance.


bf

28/11/2011 à 19h29

absolument génial , 2 fauteuils = 2 QS


maxoubidou

28/11/2011 à 19h35

Merci.
l'utilises-tu seulement pour anesthésier les molaires mandibulaires ou dans tout les cas de figure?


ZORBECA

28/11/2011 à 19h38

maxoubidou écrivait:
--------------------
> Merci.
> l'utilises-tu seulement pour anesthésier les molaires mandibulaires ou dans tout
> les cas de figure?


Contacter emma!


maxoubidou

28/11/2011 à 19h41

? qui est-ce ?


Avatar hjdsnm - Eugenol
TiGabi

28/11/2011 à 19h53

J'ai loué un QuickSleeper V4 un mois au cabinet, en test. Je trouve le système excellent : efficace, rapide, confortable pour le patient. Si j'étais en omnipratique, je le garderai de façon certaine.

Par contre pour des petits en dessous de 6 ans, le système n'est pas adapté : trop gros et bruyant, difficile de bien viser la zone cible, 2 bris d'aiguille.
Si ils sortent un QuickSleeper avec l'encombrement d'un SleeperOne, je le prendrai mais en l'état l'appareil ne me semble pas adapté à de la pédo.

Je me répète : pour de l'omnipratique, fonce, appareil génial. Il faut un peu s'investir pour comprendre et maîtriser le système.


roucoulou

28/11/2011 à 20h00

Vu le prix, je préfère attendre de voir ce que va donner l'anestésio de W&H.
2 fois moins cher et se branche directement sur le micromoteur.


Capture d  cran 2015 03 12 12.28 - Eugenol
chicot29

28/11/2011 à 22h11

J'ai 2 fauteuils et 2 qs. Ben ça fait chier leurs aiguilles qui se bouchent et qui forent que dalle.
Par contre avec l'aiguille wh ça envoie grave en trans corticale. Même si le système wh est conçu pour tourner dans l'autre sens.


letop

28/11/2011 à 23h23

2 fauteuils 2 QS
j l'utilise dans tous les cas possibles mandibule et maxillaire c'est du 100% de resultat immediat et sans suite operatoire
en ce qui concerne les aiguilles bouchées chicot29 ça peut arriver c'est rare et c'est souvent à la suite d'un mauvais angle au cours de la rotation il faut faire un module de perfectionnement!!

la comparaison avec l'anesthesio de WH n'est pas possible; aves l'anesthesio on ne pratique que la transcorticale sans controle electronique de la vitesse de rotation et l'injection manuelle à cliquet est brutale!! rien à voir avec l'injection à controle electronique du Quicksleeper4.


Capture d  cran 2015 03 12 12.28 - Eugenol
chicot29

29/11/2011 à 00h56

J'ai pas dit que ça marchait pas, ce que je dis c'est que c'est aléatoire. Par contre avec l'aiguille wh, le biseau est plus long et l'aiguille plus costaud qu'une transcort s et ça rentre comme dans du beurre, j'en suis à ma 10 e me et aucun échec.


Bebe 038 nf8eum - Eugenol
danteyeah

29/11/2011 à 03h33

QS depuis 4 ans, déjà satisfait du temps des transcorticales, et carrément conquis depuis l'arrivé des ostéo centrales.
Et si en plus comme le dit Chicot29, les aiguilles WH facilitent les trans, il n'y a plus à hésiter........Achètes!


Capture d  cran 2015 03 12 12.28 - Eugenol
chicot29

29/11/2011 à 09h44

pour l'anesthésie de la gencive attachée l'aiguille wh ca le fait pas (lumière de l'aiguille à 2mm du bout)


burnax

29/11/2011 à 10h44

Quelles indications pour l'utilisation de l'ostéocentale et l'utilisation de l'ostéocentrale avec l'aiguille wh ?

Merci


aphut

29/11/2011 à 13h39

chicot29 écrivait:
------------------
> J'ai pas dit que ça marchait pas, ce que je dis c'est que c'est aléatoire. Par
> contre avec l'aiguille wh, le biseau est plus long et l'aiguille plus costaud
> qu'une transcort s et ça rentre comme dans du beurre, j'en suis à ma 10 e me et
> aucun échec.

J'ai demandé à faire un essai au cabinet du système WH.
Qu'en pense tu, à part le fait, que tu as, à priori une bonne pénétration de la corticale.
D'ailleurs celle ci est elle douloureuse?
Le fait de ne pas pouvoir contrôler ton injection, je veux dire par là, uniquement cran de 0,1ml, t'as t il posé des problèmes.
Niveau ergonomique la prise te semble t elle satisfaisante.
Merci pour tes lumières.


Capture d  cran 2015 03 12 12.28 - Eugenol
chicot29

29/11/2011 à 16h54

1 : c'est pas pour l'osteocentrale mais pour la transcorticale (aiguille courte pénétration perpendiculaire aux axe des dents dans l'espace inter dentaire )
2 : aucune douleur ressentie par le patient.
3 : Je n'ai essayé que l'aiguille wh avec le QS pas avec le systeme wh et ça marche à tous les coups....... enfin !

L'aiguille est grosse , le biseau doit faire 2 3 mm, aucun problème de pénétration. La lumière de l'aiguille est d'un diametre plus important qu'une trans-cort s QS donc injection plus facile. D'autre part le cache-aiguille wh me semble plus pratique que celui du QS car celui ci est gênant surtout quand on enfonce l'aiguille jusqu'à la garde (risque de toucher la gencive)
J'attend le systeme complet wh en test.
PS : je n'ai que 2 QS 3 les leasings n'étant pas finis ca ma fait chier de rempiler pour le 4. Question de principes !))))


003 penrd2 - Eugenol
Cingulum

02/12/2011 à 12h08

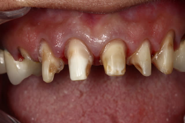
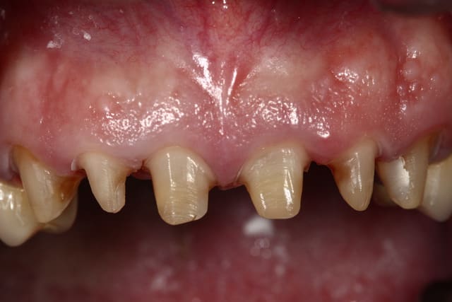
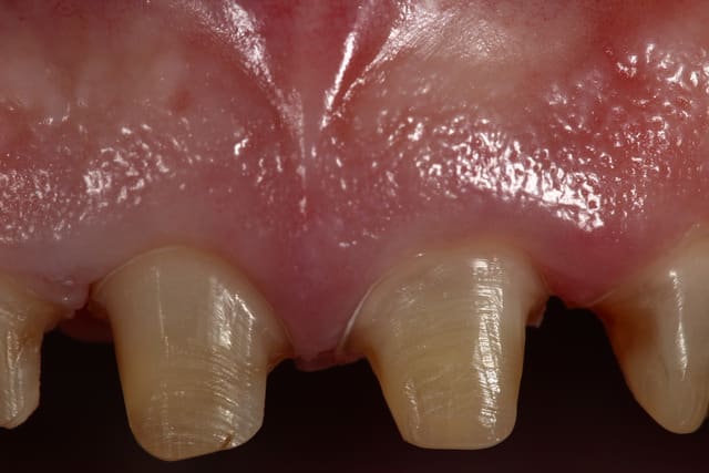
Exemple de ce que permet l'ostéocentrale...
ce matin deux patients à la suite, avec préparation sur dents vitales de 13 à 23 (loi des séries...)
ici QS3 ;)
Un site d'injection entre 11 et 21, angulé à 65°, une carpule de 1/100000
-> Anesthésie de 13 à 23 durant au moins 1 heure...
pas ou peu d'anesthésie de la lèvre.

Pour ma part jamais eu de nécrose. Je pense que les nécroses sont un problème de technique ou d'utilisation de 1/80000...




--
Dr Cingulum
-----Ancien interné----
----Attaché à l'apex----
http://www.clinic-all.fr/ formation par passion

Img 0319 drtilc - Eugenol
Img 0318 r1kdkn - Eugenol
Img 0307 swbn0v - Eugenol

baroud69

02/12/2011 à 12h28

Tu arrives à avoir une anesthésies des canines et réalisant une ostéocentrale entre les centrales ?

Tu arrives à chopper la branche alvéolaire supéro-antérieure du nerf maxillaire ?

Je suis interressé ^^ bien que malgré deux mois d'essai, j'ai eu de plus mauvais résultats avec les QS qu'avec mon aiguille classique (même en palatin).


003 penrd2 - Eugenol
Cingulum

02/12/2011 à 12h45

baroud69 écrivait:
------------------
> Tu arrives à avoir une anesthésies des canines et réalisant une ostéocentrale
> entre les centrales ?
>

Dans 75% des cas... parfois les canines se réveillent vite


> Tu arrives à chopper la branche alvéolaire supéro-antérieure du nerf maxillaire
> ?

Oui, l'angulation est cruciale. Trop incliné tu sors dans le canal et tout ton produit passe dans la circulation
Pas assez angulé, et hop tu sors de la corticale

>
> Je suis interressé ^^ bien que malgré deux mois d'essai, j'ai eu de plus mauvais
> résultats avec les QS qu'avec mon aiguille classique (même en palatin).

Je pense qu'il faut en manger, et se forcer à en faire, avoir de échecs (ligament, douleur, purge etc...) avant d'être a l'aise...




--
Dr Cingulum
-----Ancien interné----
----Attaché à l'apex----
http://www.clinic-all.fr/ formation par passion


Grueavatar nptrc9 - Eugenol
Le Choixpeau magique

02/12/2011 à 13h14

Cingulum je suis un peu étonné pour le coup du 1/100 000èmen le formateur nous avait dit que quand on augmentait les vasos l'anesthésique diffusait moins et que le territoire d'anesthésie était plus étroit.
Perso quand je fais une endo pour une dent je met du 1/100 000ème pour la durée, par contre quand je fais restau de plusieurs dents je met 1/200 000ème pour la diffusion.
Autant je trouve que le QS est extra pour une ou deux dent (et au maxillaire antérieur c'est sympa parce que les anesthésies traditionnelles sont souvent doulouresues), autant je n'ai jamais été convaincu par l'anesthésie diffuse, ça endort souvent bien une ou deux dents, mais au delà c'est trop aléatoire.
Le coup de l'anesthésie mandibulaire qui endort de 33 à 43 pour un détartrage, ça marche, mais pas plus de 5-10 minutes le vent dans le dos...
(sympa tes matinées !)


ceel

02/12/2011 à 13h16

ça vous deprime pas de voir les cas de cingulum toujours parfait ?
je n'arrive jamais à réaliser des prépas aussi jolies. j'ai acheté des loupes. j'espère que cela va être un peu mieux !


Marque a3 orange fyvhyq - Eugenol
Marc Apap

02/12/2011 à 13h27

Les loupes, c'est comme le reste : ça aide un peu ceux qui savent déjà, mais ça ne fait pas le travail à leur place. Pire, les loupes qui grossissent trop font faire beaucoup d'erreurs au début.
C'est ton geste que tu dois parfaire, sa justesse, la précision n'est pas une affaire de loupes, mais de maîtrise du mouvement dans les 3 dimensions.


003 penrd2 - Eugenol
Cingulum

03/12/2011 à 00h15

Le Choixpeau magique écrivait:
------------------------------
> Cingulum je suis un peu étonné pour le coup du 1/100 000èmen le formateur nous
> avait dit que quand on augmentait les vasos l'anesthésique diffusait moins et
> que le territoire d'anesthésie était plus étroit.
> Perso quand je fais une endo pour une dent je met du 1/100 000ème pour la durée,
> par contre quand je fais restau de plusieurs dents je met 1/200 000ème pour la
> diffusion.
> Autant je trouve que le QS est extra pour une ou deux dent (et au maxillaire
> antérieur c'est sympa parce que les anesthésies traditionnelles sont souvent
> doulouresues), autant je n'ai jamais été convaincu par l'anesthésie diffuse, ça
> endort souvent bien une ou deux dents, mais au delà c'est trop aléatoire.
> Le coup de l'anesthésie mandibulaire qui endort de 33 à 43 pour un détartrage,
> ça marche, mais pas plus de 5-10 minutes le vent dans le dos...
> (sympa tes matinées !)

J'utilise du 1/100000 de 3M, et j'ai une efficacité très bonne, on va dire 85% du temps de canine a canine avec une seule carpule au maxillaire et a la mandibule...
Jamais ressenti le besoin du 1/800000
Est ce la qualité de l'anesthésique, ou la position de l'aiguille au moment de l'injection, ou autre chose je ne saurais dire...


--
Dr Cingulum
-----Ancien interné----
----Attaché à l'apex----
http://www.clinic-all.fr/ formation par passion


Bebe 038 nf8eum - Eugenol
danteyeah

04/12/2011 à 04h47

Cingulum écrivait:
------------------
> Le Choixpeau magique écrivait:
> ------------------------------
> > Cingulum je suis un peu étonné pour le coup du 1/100 000èmen le formateur nous
> > avait dit que quand on augmentait les vasos l'anesthésique diffusait moins et
> > que le territoire d'anesthésie était plus étroit.
> > Perso quand je fais une endo pour une dent je met du 1/100 000ème pour la
> durée,
> > par contre quand je fais restau de plusieurs dents je met 1/200 000ème pour la
> > diffusion.
> > Autant je trouve que le QS est extra pour une ou deux dent (et au maxillaire
> > antérieur c'est sympa parce que les anesthésies traditionnelles sont souvent
> > doulouresues), autant je n'ai jamais été convaincu par l'anesthésie diffuse,
> ça
> > endort souvent bien une ou deux dents, mais au delà c'est trop aléatoire.
> > Le coup de l'anesthésie mandibulaire qui endort de 33 à 43 pour un détartrage,
> > ça marche, mais pas plus de 5-10 minutes le vent dans le dos...
> > (sympa tes matinées !)
>
> J'utilise du 1/100000 de 3M, et j'ai une efficacité très bonne, on va dire 85%
> du temps de canine a canine avec une seule carpule au maxillaire et a la
> mandibule...
> Jamais ressenti le besoin du 1/800000
> Est ce la qualité de l'anesthésique, ou la position de l'aiguille au moment de
> l'injection, ou autre chose je ne saurais dire...
>
J'obtiens à peu près le même résultat que toi en antérieur avec du 1/100 000.....mais en transcorticales .
En osteocentrales, avec du 1/200 000, c'est tout juste si les latérales sont anesthésiées 15 min. comme cela a été dit plus haut.


003 penrd2 - Eugenol
Cingulum

04/12/2011 à 11h56


quelle différence fais tu entre transcorticales et ostéocentrale entre 11 et 21 ... ???

pour moi transcort c'est aiguille courte, dans le palais entre 5 et 6 ou en retro molaire dans le trigone...
Ostéocentrale c'est aiguille longue dans un septum....
Entre 11 et 21 en vestibulaire et aiguille longue avec 1/100000 injection lente j'ai 70-80 % du temps anesthésie des canines... je ne l'ai pas quand je sens que je suis tombé dans un canal large et que l'anesthésie se barre dans la circulation sanguine...
Il faut que le produit reste dans l'os et diffuse dans l'alvéolaire... c'est plus dur à la mandibule a cause de l'os peu épais, ça m'est arrivé souvent de perforer la corticale linguale... ce qui au passage n'a aucune conséquence... :)

Je suis étonné aussi pour les nécroses, car pour les onlays et facettes, couronne sur dent pulpées je revoies les patients à j+7 et j'ai jamais eu de nécrose... ( 3 ans de QS...) je veux bien être né sous une bonne étoile mais quand même :)

par contre il m'a fallu du temps, pour ne plus me tapper de ligament aie!, d'avoir une purge intraosseuse aie ! de boucher l'aiguille flut!... ;)


--
Dr Cingulum
-----Ancien interné----
----Attaché à l'apex----
http://www.clinic-all.fr/ formation par passion


Humator t9r5wy - Eugenol
humator

04/12/2011 à 16h12

pour cingulum:

1- je ne pense pas que ton anesthésique file en sanguin: simplement dans le TCL qui entoure les vaisseaux. (heureusement d’ailleurs, car l’anesthésique, de surcroit avec adré, ne doit pas aller en circulation!)
2- je ne vois toujours pas l'énorme intérêt du QS, surtout pour un cas semblable, ou des para apicales bien menées sont très efficaces, durables et peu douloureuses.
3- jolies préparations, comme toujours!

--
N.Hum


12