Tous les forums
appareil photo
30/11/2011 à 06h03
danteyeah écrivait:
-------------------
> maz écrivait:
> -------------
> >
> > pour denteyeah, c'est le flash qui est réglé en sous ex dans ce cas là,
> puisque
> > je suis en manuel à 1/200 à f/19, l'exposition du boitier n'est pas modifiable
>
> En fait non, si tu règles la valeur d'exposition (de-2 à +2, par fraction de
> 1/3) pour des réglages systématique, le posemètre de ton boitier calculera
> l'exposition en fonction de ce réglage et le flash lui sera asservit, certes tu
> peux aussi faire un réglages d'exposition sur ton flash, mais c'est le boitier
> qui aura le dernier mot.
Ça dépend de ton système.
Avec le canon mr14x, tu peux tavailler en ettl, ou bien en manuel, autre mode que je ne connais pas.
Avec le e ttl, tu peux aussi jouer sur le flash en 1/3 + ou -
--
Céramik
30/11/2011 à 06h23
TiGabi écrivait:
----------------
> Cela fait environ deux mois que j'ai fait cet achat (Canon 600D + obj. 100 mm
> USM Canon + flash annulaire Metz) : je le regrette beaucoup car...
>
> ...j'ai pris 375 clichés en deux mois :D Je suis amoureux de mon appareil, je
> l’appelle "mon bébé" et je ne supporte pas que quelqu'un d'autre ose la toucher
> (oui, c''est une fille). Je la sors dès que possible : pour le suivi des cas,
> expliquer aux parents, pour partager sur nonol ou à la fac, et surtout pour le
> plaisir de photographier, tout simplement.
> Mon assistante soupire parfois car je lui consacrerai soit-disant "trop de
> temps" : je pense qu'elle est juste jalouse !
C'est un beau joujou, qu devient rapidement indispensable !
Je fais environ 5000 photo par an, et j'en efface pas mal aussi !
Tes photo sont très bien.
--
Céramik
01/12/2011 à 20h45
danteyeah écrivait:
-------------------
> Pierre-E écrivait:
> ------------------
> > pour le flash, regarde sur eBay.
> >
> > J'ai pris un annulaire à LED de marque "DELTA", à 70€ de mémoire, il est très
> > bien.
>
> Curieux de voir le résultat que tu obtiens avec ça, aurais-tu l'un ou l'autre
> clichés à nous soumettre pour étayer tes dires, merci. Peut ton faire varier
> l'intensité des LED d'un site à l'autre du flash, et avec quoi est-ce compatible
> ?
C'est compatible avec tout je pense.
En revanche on ne peut faire varier l'intensité des LED.
Tu le trouveras en cherchant sur la Baie "delta macro flash". 80€.
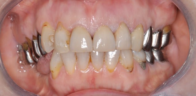
Voilà un exemple, fait à f/22, 320ISO, 1/60sec, 85mm Nikkor, j'ai juste croppé l'image.
Sur la photo il faut regarder 11/21/22, ne pas s'arrêter sur les restaurations de quelques collets, qui ont été refaits, évidemment.
01/12/2011 à 23h14
il y a trois trucs qui me gènent là dedans :
tu as croppé l'image, donc elle était plus large au début
320 iso, 1/60ème
tout cela semble montrer un manque de lumière
peut tu faire une photos de 2 dents (au rapport de grandissement de 1), sans qu'elle soit cropée et sans monter au delà de 400 iso ?
02/12/2011 à 00h04
Dis donc, Maz, je sais ce qu'est un gros pet, un tir groupé, mais cropé avec un ou deux p, j'ignore ce que ça veut dire.
02/12/2011 à 00h06
Pierre-E écrivait:
> Voilà un exemple, fait à f/22, 320ISO, 1/60sec, 85mm Nikkor,
1/60 c'est un peu lent, d'où le flou de bougé surtout visible dans le secteur postérieur, pourquoi une vitesse si lente: un choix perso ou une syncro flash imposée par le fabricant?
02/12/2011 à 00h16
Marc Apap écrivait:
-------------------
> Dis donc, Maz, je sais ce qu'est un gros pet, un tir groupé, mais cropé avec un
> ou deux p, j'ignore ce que ça veut dire.
pas grand chose, je l'ai d'ailleurs écrit une fois avec un p, et une autre avec deux p, parce que de toutes façons, c'est un anglichiesme barbare
ça veut dire recadrer l'image, dire crop"p"er viens de l'utilisation intensive de logiciels de retouche d'image piratés, en anglais (to crop)
parce que si ils sont pas piratés, pourquoi les utiliser en anglais ?
02/12/2011 à 13h30
Depuis le temps que je tâte à acheter, ça y est c'est fait:
Canon: eos600D, Objectif 100mm (non stabilisé), et flash MR14EX + carte 16Go et Etui pour l'appareil.
J'ai commandé ça sur amzon pour 1600€ après avoir lu tout vos conseils... j'espère ne pas être déçu (surtout entre le 60mm ou le 100mm, ne faisant pas de chir et entre le flash sigma et le canon).
Pouvez-vous m'indiquer les réglages de base pour les photos en bouche (j'avoue que j'ai la flemme de chercher même si ils ont été cités 30 fois?
02/12/2011 à 13h43
cocobret écrivait:
------------------
> Depuis le temps que je tâte à acheter, ça y est c'est fait:
> Canon: eos600D, Objectif 100mm (non stabilisé), et flash MR14EX + carte 16Go et
> Etui pour l'appareil.
>
> J'ai commandé ça sur amzon pour 1600€ après avoir lu tout vos conseils...
> j'espère ne pas être déçu (surtout entre le 60mm ou le 100mm, ne faisant pas de
> chir et entre le flash sigma et le canon).
>
> Pouvez-vous m'indiquer les réglages de base pour les photos en bouche (j'avoue
> que j'ai la flemme de chercher même si ils ont été cités 30 fois?
Super achat, ne change rien.
Le 60 mm , pas un bon choix selon moi...mais bon, c'est juste mon idée.
Commence par :
Iso 200
Mode manuel
F 25-29
1/200 vitesse
Flash en Ettl
Si trop foncé, ou trop pale, ajuste le f stop, rien d'autre (pour l'instant)
Have fun.
--
Céramik
02/12/2011 à 13h54
cocobret écrivait:
> Pouvez-vous m'indiquer les réglages de base pour les photos en bouche (j'avoue
> que j'ai la flemme de chercher même si ils ont été cités 30 fois?
Voici les miens:
Syncro flash à 1/250,
f 16 à 18 ( pour un 60mm, donc 18 à 20 pour ton 100; pour augmenter la qualité des clichés mieux vaut maitriser la mise au point et la profondeur de champ en avant et arrière de ce point et ainsi de se permettre de conserver une valeur de f la plus basse possible).
Mode manuel avec sous exposition systématique de 1/3 ( une vielle habitude de l'époque argentique, pour saturer un peu la couleur, ça me plait, mais les gouts et les couleurs.....).
Réglage du tube de flash droit (ou gauche) inférieur au gauche (ou droit), fait plusieurs clichés en variant cette différence afin de pouvoir bien mettre en évidence les états de surface.
04/12/2011 à 13h19
maz écrivait:
-------------
> il y a trois trucs qui me gènent là dedans :
>
> tu as croppé l'image, donc elle était plus large au début
> 320 iso, 1/60ème
>
> tout cela semble montrer un manque de lumière
>
> peut tu faire une photos de 2 dents (au rapport de grandissement de 1), sans
> qu'elle soit cropée et sans monter au delà de 400 iso ?
Je travaille en mode ouverture, que je fixe à 22.
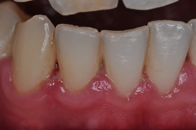
Voilà le plus près que j'aie en stock.
Oui la gencive est rouge, c'est un jeune qui m'a fait une GUNA.
Mais c'est que de l'iso 320 et 1/60.
Notez que les stries sur l'incisive, c'est naturel.
A posteriori, je constate que je n'étais pas dans le bon plan, c'est trop flou. j'avais séché les papilles, c'est pour dire si ça suintait....
Au final ce flash, pour ce que je fais avec me va très bien.
Autre exemple les 2 piliers.
J'ai recadré là, mais sans toucher à la largeur. j'ai juste enlevé en vertical.
04/12/2011 à 13h56
bon, ben je savais pas qu'on pouvait faire d'aussi bonnes photos avec un éclairage comme ça ! :D
04/12/2011 à 15h07
ouais mais ça c'est parce que je suis une bête !
Enfin, trêve de bétise, un flash annulaire ça reste des LED. Après si on veut du décalage à l'allumage de flash ou modifier la répartition de la lumière sur le flash oui il faut acheter plus haut de gamme.
Mais globalement ce petit flash j'en suis ravi, je conseille.
06/12/2011 à 21h08
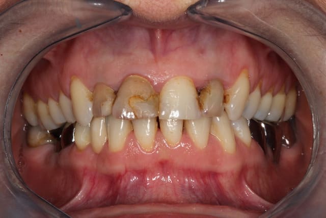
voici une de mes première photo avec mon appareil magique qui sait faire des belles photos même si tu sais rien faire de tes mains...
07/12/2011 à 14h19
Merci, mais il me reste encore à résoudre les problèmes d'odeur qui gène les patients quand je me rapproche trop...
07/12/2011 à 15h01
Je pensais avoir fait 350 photos en deux mois : je viens de regarder, je me suis trompé...
J'ai conservé presque toute ma santé mentale.