Cookie Consent byPrivacyPolicies.comCadeau d'Alapex... - Eugenol

Cadeau d'Alapex...

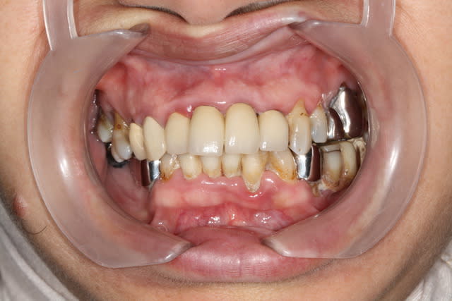
Img 3657 cwjvqm - Eugenol
alapex

29/11/2011 à 11h40

Et oui , bientôt Noël c'est normal .
Je vous présente un cas que je viens de finir , il n'était prêt pour l'ADF . C'est un cas complet où j'ai pu exprimer mon art dans tous les domaines , endo , paro , ortho , prothèse .
J'avoue être pleinement satisfait mais j'accepte par avance et sans limitation vos remarques car le but d'un forum est de partager , voire de progresser .
C'est un sujet libre d'eugénologie afin que la modération soit conciliante .
Merci à tous .

Img 0489 pnvcrq - Eugenol
Img 0490 w0okq8 - Eugenol
Img 0491 rtobst - Eugenol
Img 0492 hj59ul - Eugenol
Img 0499 goz11a - Eugenol

Avatar transparent iqadnc - Eugenol
adhoc

29/11/2011 à 11h50

  


Cuisinier2 vnbbxx - Eugenol
jeff2

29/11/2011 à 12h06

Super boulot alapex, tu fais honneur à notre convention..


Casque beotien a3jo39 - Eugenol
beotien

29/11/2011 à 12h20

superbe résultat


Utilisateur banni

29/11/2011 à 12h30

Des soins sécu...
Un peu élitiste quand même, pas à la porté du premier venu.

--
http://soundcloud.com/narik/tracks
♪ ♪♪♪ d-.-b ♪♪♪ ♪


003 penrd2 - Eugenol
Cingulum

29/11/2011 à 12h39

on voit que tu as fait Clinic-All toi :)


--
Dr Cingulum
-----Ancien interné----
----Attaché à l'apex----
http://www.clinic-all.fr/ formation par passion


Img 3657 cwjvqm - Eugenol
alapex

29/11/2011 à 12h40

Euh , c'était "Panic All"...)))


Marque a3 orange fyvhyq - Eugenol
Marc Apap

29/11/2011 à 12h42

Quand Il voit ça, Allah peste !


G-P

29/11/2011 à 12h44

Joli !


Utilisateur banni

29/11/2011 à 13h18

Il aurait mieux fait d'aller à la pêche...

--
http://soundcloud.com/narik/tracks
♪ ♪♪♪ d-.-b ♪♪♪ ♪


Avatar 46 aoi1yc - Eugenol
HononLulu

29/11/2011 à 13h53

Alapex, hum...... l'écarte lèvres, c'est mieux dans l'autre sens ;-)))))


Avatar 46 aoi1yc - Eugenol
HononLulu

29/11/2011 à 13h55

Sinon, respect !!
Tu fais des formations ?


Rape p0as4f - Eugenol
rapelapente

29/11/2011 à 13h59

alapex écrivait:
----------------
> Je vous présente un cas que je viens de finir , il n'était prêt pour l'ADF .

Quel dommage, tu aurais pu le présenter sur le stand CNSD comme démonstration des bienfaits de la convention MGEN!


200106 10150128247663588 709988587 6466236 5598391 n d7mksb - Eugenol
hallboy

29/11/2011 à 14h50

Sur le plastoc pour les tofs, le trou pour le nez c'est un trou pour le menton, alors!!!!???


Blason dql7mj - Eugenol
growler

29/11/2011 à 15h00

pourquoi tu as fait une élongation coronaire sur 32 ? c'est du sur-traitement non ?


Img 3657 cwjvqm - Eugenol
alapex

29/11/2011 à 15h21

Merci à tous pour vos encouragements tout d'abord . C'est très agréable de récolter des lauriers après des années d'efforts opiniâtres , ça donne un sens à notre passion .

Je me propose de commenter avec vous le traitement complet et point par point , ce débat doit rester ouvert et si Pharma75 veut intervenir c'est avec plaisir .
De même si FLB veut créer un nouveau pseudo qu'il tiendra secret...
Je serais comblé si Björn pouvait compléter , Améli également s'il sort de la sieste .

Bon je réponds donc à l'élongation coronaire de la 32 . Cela m'a semblé nécessaire après le traitement ortho de la 11 , l'équilibration est à la fois diagonalement réussie et très harmonieuse . Il ne s'agit donc pas d'un surttt , d'ailleurs ce n'était pas dans le devis et il n'y eut pas de surcoût pour la patiente .


Images dx3jo2 - Eugenol
Dr snow

29/11/2011 à 15h29


perso, j'ai 5 photos mais où sont celles de fin de TT ???
--
Dr Snow


RépondreCiter
belette

29/11/2011 à 15h40


Les 5 photos exposent une faim de traitement...

Quel est le contexte ? Soins à l'étranger ? et dans quelles conditions ?
Je ne crois pas une seconde que cela a été fait en France.

^ ... ^
Ô"""Ô
= o =


RépondreCiter
Img 3657 cwjvqm - Eugenol
alapex

29/11/2011 à 15h41

Dr snow écrivait:
-----------------
>
> perso, j'ai 5 photos mais où sont celles de fin de TT ???
> --
> Dr Snow



J'ai tout scellé ce matin .


Rape p0as4f - Eugenol
rapelapente

29/11/2011 à 15h45

belette écrivait:
-----------------

> Je ne crois pas une seconde que cela a été fait en France.
>
>

My bet is: Romania


Img 3657 cwjvqm - Eugenol
alapex

29/11/2011 à 15h45

"Je ne crois pas une seconde que cela a été fait en France. "


J'exerce en France .


belette

29/11/2011 à 15h49


Mais tout le monde peuvent pas être de France...

^ ... ^
Ô"""Ô
= o =


Images dx3jo2 - Eugenol
Dr snow

29/11/2011 à 15h50

...


Avatar transparent iqadnc - Eugenol
adhoc

29/11/2011 à 16h14

les autres images d'alapex sont groupées dans un gif animé a frames subliminaux, snow. Il te faut donc des lunettes stroboscopiques pour mesurer l’entièreté du genie technique alapexien.


Casque beotien a3jo39 - Eugenol
beotien

29/11/2011 à 16h18

adhoc écrivait:
---------------
> les autres images d'alapex sont groupées dans un gif animé a frames subliminaux,
> snow. Il te faut donc des lunettes stroboscopiques pour mesurer l’entièreté du
> genie technique alapexien.


tu as raison j'utilise un verre rouge et un blanc effectivement maintenant je vois tout rosé et en 3D
encore bravo Alapex, je suis fier d’être de ta promo