Cookie Consent byPrivacyPolicies.com14ans...et ensuite? - Eugenol

14ans...et ensuite?

Maké

07/12/2011 à 12h00

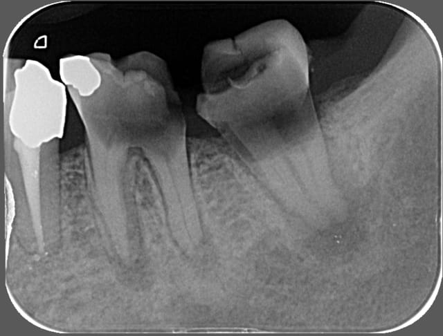
Jeune fille 14s 10mois se présente au cabinet en urgence pour douleur secteur 3.

En bouche: abcès fistulisé vestibulaire en regard de 36. Couronne extremement délabré. 46 Dans le meme état mais pas d'abcès.

Pas de 37 ni de 35 en bouche. Les autres 7 et 5 sont présentes.

En urgence: cavité d'accès, parage canalaire, rinçage hypo et reconstitution pré endo. Prescription augmentin.

Pour cet patiente, j'ai prévu de faire endo inlay core et couronne provisoire de labo en attendant la fin de la croissance.

Est-ce un bon choix? Le pronostic de la dent vaux t'il le coup d'essayer?

Devenir de la 37? va t'elle faire son éruption? Ou est-elle morte dans l'oeuf?

Pour mon endo, des conseils particuliers à me donner? les apexs ont l'air fermés...Un protocol précis pour mettre toutes les chances de notre coté dans ce genre de cas extrême?

Merci à vous !!

p.s. dsl j'ai pas l'apex mesial, radio difficile à prendre à cause de la douleur.

36 14ans n31jou - Eugenol

el diablo

07/12/2011 à 12h17

Oulaa!!! Une dent comme ca elle part tout de suite chez moi!!!! que le gamin ait 14 ans ou non.


dent2669

07/12/2011 à 12h27

Pour moi le pronostic est compromis par l'atteinte furcatoire pas pour la difficulté de bien réussir ton endo !!

Et même pour une gamine de 14 ans, je n'aurai pas de pitié à extraire cette dent vu l'état général de sa bouche...


marco17

07/12/2011 à 12h40

exo pour moi aussi et après l'ODF se charge des espaces !!


Index vakr2r - Eugenol
pgc

07/12/2011 à 12h42

Maké écrivait:
--------------

>
> Devenir de la 37? va t'elle faire son éruption? Ou est-elle morte dans l'oeuf?
>

Ne t'inquiète pas pour la 37 qui est parfaitement saine et qui fera son éruption normalement.

Pour 36 si tu as de la motivation et de la coopération en quantité cela se tente. Les lésions fistulisées répondent bien à l'endo, les foyers fermés un peu moins. Tu auras à gérer la limite mésiale de la cavité de carie qui est très basse.
Si la coopération est faible ( 75% des cas dans ce contexte?) tu extrais proprement la dent. Tu penses bien que si elle a laissé dauber cette dent à ce point, ainsi que 46, c'est qu'il y a un problème, soit de peur, soit de déni, soit de négligence (dans cet ordre!)
Il est inutile de faire subir de longues séances de soins à un patient qui nous annonce dès le début (de façon implicite) qu'il n'ira pas au bout du traitement. La 37 est très immature pour presque 15 ans et n'aura pas trop de mal à se mettre en place de 36, spontanément. La furcation du germe de 37 est à peine minéralisée. Y a-t-il un germe de 38?

Tu parles de couronne provisoire de labo en attendant la fin de la croissance, cela me parait être une erreur. Je ne donne pas trois mois à ton patient pour oublier que la couronne n'est que provisoire. Puis la provisoire restera bientôt dans un caramel et la dent sera fichue. Il est préférable à mon avis de faire une couronne définitive et de prévenir qu'elle sera à refaire dans quelques années.
Le provisoire qui dure n'est pas une option à mon avis pour ce cas.


Dsc01433 2 qnf68y - Eugenol
Ramasoft

07/12/2011 à 13h34

9 chances sur 10 qu'elle ne reviendra pas si les douleurs ont disparues.
Et même si elle revient 99% de chances pour qu'elle ne fasse même pas la reconstitution de la dent qui te reviendra à extraire (toujours en urgence) dans un délai +/- variable.

C'est le métier qui rentre ...


Index vakr2r - Eugenol
pgc

07/12/2011 à 13h57

donc en résumé:

Conservation? possible.
Extraction: préférable!

Maké écrit "En urgence: cavité d'accès, parage canalaire, rinçage hypo et reconstitution pré endo. Prescription augmentin."

Ce n'est pas une procédure d'urgence. C'est déjà un parti-pris pour la conservation.En particulier la reconstitution pré-endo est une perte de temps et d'argent si le patient ne donne pas suite. De plus la contrainte minime que représente cet acte (garder la bouche ouverte, garder champ opératoire au propre) peut être déjà extrêmement désagréable pour un patient qui souffre d'un abcès douloureux et l'orienter vers l'extraction pour se débarrasser de son problème au plus vite, ou au pire décider de ne pas revenir au prochain RV.

L'urgence c'est: ouvrir/prescrire AB.

Puis 2 minutes de speech: "vous avez tel problème, je vous propose telle solution, mais la décision vous appartient bien entendu. RV + 10 jours si vous voulez bien et vous me ferez part de votre décision".

Ceci dans l'intérêt bien compris des deux parties.


Grueavatar nptrc9 - Eugenol
Le Choixpeau magique

07/12/2011 à 14h31

pgc écrivait:
-------------
> Ce n'est pas une procédure d'urgence. C'est déjà un parti-pris pour la
> conservation.En particulier la reconstitution pré-endo est une perte de temps et
> d'argent si le patient ne donne pas suite. De plus la contrainte minime que
> représente cet acte (garder la bouche ouverte, garder champ opératoire au
> propre) peut être déjà extrêmement désagréable pour un patient qui souffre d'un
> abcès douloureux et l'orienter vers l'extraction pour se débarrasser de son
> problème au plus vite, ou au pire décider de ne pas revenir au prochain RV.
>
> L'urgence c'est: ouvrir/prescrire AB.

Je suis 100% d'accord avec cette partie.
Cependant, il y a de nouvelles recommandations qui sont sorties qui disent que ce tableau clinique n'est pas une indication d'AB.
Donc en urgence, il faut faire la préparation canalaire complète (il est possible que l'anesthésie soit folklorique), et mettre un CaOh... Je te laisse imaginer le pourcentage de confrères qui vont faire vraiment comme ça, mais après les experts ont décidés qu'il devait en être ainsi.
A noter que sauf oedème de quinck suite à la prise d'AB je ne crois pas qu'un patient ait déjà poursuivi son dentiste pour prescription d'AB non recommandé, par contre des poursuivis pour non prescription il y en a un paquet... après chacun fait comme il le sent...


RépondreCiter
Index vakr2r - Eugenol
pgc

07/12/2011 à 14h43

Les recommandations des experts sont passionnantes. Mais nous on a les mains dans le moteur. Ces recommandations sont simplement ridicules dans le cas présent. Que ce soit pour l'endo ou pour la chir il faut refroidir la lésion et les AB sont parfaitement indiqués dans ce cas. On prescrit tous les mêmes AB depuis très longtemps, d'ailleurs il n'y a pas eu de nouvelle molécule AB depuis 30 ans, OK? Donc avec amox ou spiramycine + métronidazole il n'y aura pas de lézard avec les résistances aux antibiotiques.

Les experts se soucient fort peu de la clinique. Tu veux faire un parage canalaire complet dans le sang et le pus sur un patient qui souffre et qu'on ne peut pas anesthésier? il faut arrêter les conneries. De l'hydroxide de calcium sur une lésion en pleine flambée infectieuse? Mais il sera neutralisé en 20 minutes.
Recommandations des Experts à venir: renouveler l'hydroxide de calcium toutes les vingt minutes. Si le dentiste s'y refuse, la recommandation est de le traîner devant un tribunal.


marco17

07/12/2011 à 18h28

regarde cette belle évolution :

vu en urgence pour pulpite 07/2010

plus de nouvelles jusqu'à lundi ( le 05/12/11 )





00053 x 2011 12 05 13 38 30 4 hoqowv - Eugenol
00053 x 2010 07 29 10 46 23 4 uy0f86 - Eugenol

Avatar 46 aoi1yc - Eugenol
HononLulu

07/12/2011 à 19h07

33,44€ + 33,44/2 €
L'est pas belle la vie ??


Images nv3xcf - Eugenol
au fond du canal

07/12/2011 à 19h55

extraction et ODF c'est tout


Pierre2 tep0nh - Eugenol
endomontreal

07/12/2011 à 20h52

Ce que j'ai lu:
"Les experts se soucient fort peu de la clinique. Tu veux faire un parage canalaire complet dans le sang et le pus sur un patient qui souffre et qu'on ne peut pas anesthésier? il faut arrêter les conneries. De l'hydroxide de calcium sur une lésion en pleine flambée infectieuse? Mais il sera neutralisé en 20 minutes.
Recommandations des Experts à venir: renouveler l'hydroxide de calcium toutes les vingt minutes. Si le dentiste s'y refuse, la recommandation est de le traîner devant un tribunal."

Ma réponse:
Il ne faut quand même pas pousser mémé dans les horties

Premièrement il n'y a pas à anesthésier, car il ne s'agit pas d'une pulpite mais d'une nécrose. Il n'y a qu'a confirmer cela avec un vitalomètre si cela peut te rassurer

Il n'y a pas s'énerver avec un parage dans le pus (car, à en juger par la radiographie, il n'y a plus de sang et la pulpe est en état de liquéfaction) ça n'est pas si terrible.

À 14 ans les molaires ont des canaux qui ne sont pas difficiles à localiser et leur diamètre est trés large, cela ne devrait pas être très long de débrider, d'irriger, de sécher, de placer un Ca(OH)2 et une obtuation provisoire. L'hydroxyde devra probablement être changé une fois par semaine pendant quelques temps.

Si cela est trop te demander pourquoi ne pas référer le cas à un endodontiste plûtot que de mutiler la gamine?


Index vakr2r - Eugenol
pgc

07/12/2011 à 21h15

endomontreal écrivait:
----------------------

>
> Premièrement il n'y a pas à anesthésier, car il ne s'agit pas d'une pulpite mais
> d'une nécrose. Il n'y a qu'a confirmer cela avec un vitalomètre si cela peut te
> rassurer.

ce que j'ai lu moi:
Maké écrivait: "En bouche: abcès fistulisé vestibulaire en regard de 36. Couronne extremement délabré.
....
p.s. dsl j'ai pas l'apex mesial, radio difficile à prendre à cause de la douleur."


J'en déduis que la patiente souffre au moment précis de la consultation. Je pense donc qu'il est préférable de traiter l'infection (drainage/AB) avant de faire l'endo. Personnellement je n'aime pas travailler sur un patient qui souffre. Une dent infectée en phase de suppuration active peut-être assez douloureuse.
>
> Il n'y a pas s'énerver avec un parage dans le pus (car, à en juger par la
> radiographie, il n'y a plus de sang et la pulpe est en état de liquéfaction) ça
> n'est pas si terrible.
Dans ce contexte précis je pense qu'il y a des liquides (pus, sang) dans les canaux, tout au long de l'acte. Je pense avoir bien compris en voyant la radio que la pulpe n'était plus vivante depuis longtemps. Devant un tel tableau clinique et une telle radiographie, je m'épargne le ridicule de faire un test de vitalité, merci.

>
> À 14 ans les molaires ont des canaux qui ne sont pas difficiles à localiser et
> leur diamètre est trés large, cela ne devrait pas être très long de débrider,
> d'irriger, de sécher, de placer un Ca(OH)2 et une obtuation provisoire.
Dans ce contexte l'irrigation et le débridage devrait être assez rapides. Je pense que le séchage prendra un peu plus de temps.

> L'hydroxyde devra probablement être changé une fois par semaine pendant quelques
> temps.
je dois dire ici que je ne suis un fan de l'hydroxyde de calcium mais c'est un autre débat. Ces séquences "poses et déposes de pansement" sont harassantes pour certains patients et sont démotivantes. Je préfère une séquence courte (où on soulage la douleur) et une plus longue (où l'endo est faite une bonne fois pour toute).
>
> Si cela est trop te demander pourquoi ne pas référer le cas à un endodontiste
> plûtot que de mutiler la gamine?
Je pense que tu ne vois pas de quelle clientèle on parle. Il s'agit ici de soigner les patients et non de s'en débarrasser en leur demandant de faire quelque chose (consulter un endo exclusif) qu'il ne feront pas (trop loin, trop de délai, trop cher).
J'envoie deux ou trois patients en endo exclusive par an et je m'assure de leur motivation.
Cette patiente qui à 15 ans se retrouve dans cet état de délabrement pour deux molaires n'est peut-être pas la candidate idéale.

Je rappelle que je donnais un avis sur le cas que présente Maké et non sur un de mes patients. Ah, et "ortie" ne prend pas de h. Quand bien même on y enverrait la Mémé.


Ico v for vendetta08 jzhpep - Eugenol
Arnaud Go

07/12/2011 à 21h30

Beaucoup de nos patients en France sont totalement je m'en foutiste et n'iront pas au bout du traitement de cette dent qui n'est pas l'endo mais sa reconstruction. Quand c'est le cas on reprend notre tunique de barbier-dentiste et c'est rendre service malheureusement de le mutiler.

Et pour l'ortho faut pas rêver, c'est extrêmement difficile de réaliser un mouvement de translation de molaire. J'en avais traité un dans le cadre d'un centre CHU et c'était très décevant (mais bon, le praticien n'était peut-être pas bon).

Heureusement on arrive à en motiver...

Dans ce cadre et dans l'exemple ainsi donné. J'ai été surpris des nouveaux protocoles :

Mettre un crampon et mettre en forme endodontique une dent nécrosée symptomatique n'est pas un exercice aisé, contez-moi vos expériences.

Car j'ai peur en faisant ce qu'il faudrait faire que la douleur durant l'acte soit trop importante.


Grueavatar nptrc9 - Eugenol
Le Choixpeau magique

07/12/2011 à 23h35

marco17 écrivait:
-----------------
> regarde cette belle évolution :
>
> vu en urgence pour pulpite 07/2010
>
> plus de nouvelles jusqu'à lundi ( le 05/12/11 )

J'ai les mêmes, mais où j'avais été assez bête pour faire les endos...


Grueavatar nptrc9 - Eugenol
Le Choixpeau magique

07/12/2011 à 23h38

endomontreal écrivait:
----------------------
> À 14 ans les molaires ont des canaux qui ne sont pas difficiles à localiser et
> leur diamètre est trés large, cela ne devrait pas être très long de débrider,
> d'irriger, de sécher, de placer un Ca(OH)2 et une obtuation provisoire.

Pas très long, c'est combien de temps ?

Même question pour un abcès sur une 27 d'un patient de 60 ans sous un bridge complet avec un gros tenon.

> Si cela est trop te demander pourquoi ne pas référer le cas à un endodontiste
> plûtot que de mutiler la gamine?

En tant qu'endodontiste, combien d'urgences en première intention vois-tu par semaine (je veux parler de vrais urgences, qui n'ont pas encore été vues par un confrère) ?


Index vakr2r - Eugenol
pgc

08/12/2011 à 00h09

Un endo exclusif ne voit pas ce type de cas et c'est tout à fait compréhensible puisque ce n'est pas sa patientèle-type.
Quand ils arrivent chez lui ils sont passé par chez nous où ils ont été soulagés/rassurés/médiqués/motivés et prévenus du cadre financier dans lequel ils s'engagent.

+1 pour la dent douloureuse à mettre sous digue c'est exactement ce que je voulais dire.

La restriction des indications antibiotiques est parfaitement compréhensible dans l'optique de commencer à maîtriser les résistances bactériennes aux AB mais là on commence à toucher à l'os (c'est le cas de le dire). l'"interdiction" de mettre sous AB nous placent (nous omnipraticiens) dans des situations délicates. L'instrumentation d'une dent nécrosée peut être assez douloureuse quand les instruments commencent à pousser des matériaux ou des liquides en direction de l'apex (surtout sur les foyers fermés). Personnellement je ne m'aventure qu'exceptionnellement dans un canal si la dent n'est pas anesthésiée, et qui sait faire proprement une anesthésie sur une lésion active? Pas moi. Je réserve ça aux retraitements sur des dents tout à fait asymptomatiques. Je n'aime pas voir les patients sursauter ou commencer à transpirer pour ce genre de geste.
L'anesthésie dans le but d'extraire la dent est douloureuse pour le patient et peut être faite avec plus de douceur (et plus d'efficacité) si le foyer bactérien a été refroidi par ABthérapie. Je redis que ce ne sont pas nos prescription Amox/Birodo qui génèrent des résistances bactériennes. Car ou c'est cette préoccupation qui incite les experts à limiter les prescriptions AB, ou bien ce sont de sordides considérations budgétaires dans lesquelles nous n'avons pas à entrer.


Pierre2 tep0nh - Eugenol
endomontreal

08/12/2011 à 04h28

Bonjour Pgc

Je tenais à te faire mes excuses, je viens de prendre connaissance de ton message de 12 :57 (que je n’avais pas lu) dans lequel tu as recommandé d’ouvrir cette dent. Je ne pouvais en effet pas concevoir que tu puisses envisager de te débarrasser d’une patiente souffrant d’un abcès aigu en te contentant de lui filer une prescription d’AB. Une simple ouverture permet l’évacuation des gaz de putréfaction et dans bien des cas cela suffit à soulager instantanément le patient.
Il arrive cependant que cette ouverture, à elle seule ne suffise pas et c’est là ou l’on pourrait donner raison à Maké lorsqu’il a et débridé, irrigué et séché. En général, le parage jusqu’à une lime acier de calibre 15 suffit pour permettre l’évacuation du pus. Si le pus sort, pas besoin AB.

Reste la question soulevée du manque de motivation et celle du manque de moyens financiers. Cela ne semblait ne pas être un problème pour Maké, et sa question concernait uniquement l’aspect technique du cas.

Le Ca(OH) 2 fonctionne à merveille, je te parle là avec 20 ans de recul (sans vouloir te paraître condescendant). Dans un cabinet comme le nôtre, il n’y a pas que le remplacement de Ca(OH)2 qui est harassant ou démotivant pour le patient, mais si cela peut lui rendre service, alors…

Pour le vocabulaire d’« Horties », autant pour moi, la prochaine fois, lorsque je survolerai mon clavier, je ferai bien attention là ou je mettrai les doigts au risque de me les faire mordre.

HAOUCH !

Sans rancune


Pierre2 tep0nh - Eugenol
endomontreal

08/12/2011 à 05h56

Bonjour Choixpeau magique,

Pour répondre à ta question, dans la situation de la demoiselle de 14 ans, l'intervention ne me prend pas plus de 15 à 20 minutes.
Pour le monsieur de 60 ans, il me manque trop de données pour pouvoir te répondre, il faut que tu m'aides un peu plus: le tenon est-il coulé? Usiné? Long ou court? Est-il en acier? En alliage? S’il est en alliage de quel type? Précieux ou semi-précieux? Est-il passif ou actif? Est-ce un pivot à la fibre de carbone ou autre? Les canaux du monsieur de 60 ans sont-ils obturés au N2 ou à la gutta? Il se trouve que tu as raison et qu'il existe effectivement des situations cliniques ou l'on n’a pas le choix que de prescrire AB et de faire revenir le patient.

Au risque de te décevoir, je n'ai pas le titre de spécialiste, alors j'ignore ce qui se passe dans un cabinet de spécialiste comme tel. Cependant plusieurs confrères me font suffisamment confiance et me recommandent des patients présentant des cas cliniques plutôt complexes. Combien en première intention? Je n'ai pas fait le compte, mais les patients que je vois ont souvent mal et sont difficiles à anesthésier. Et pour être honnête avec toi, il arrive parfois que les "vraies urgences" comme tu dis soient en fait celles qui ont été vues au préalable par des confrères bien intentionnés.


Maké

08/12/2011 à 10h30

Je vais me clarifier.

J'ai fais la parage car la dent étant tellement délabré bah j'avais l’accès direct aux canaux sans fraiser. J'ai juste virer tout le plafond pulpaire.

La dent n'était pas douloureuse, seul les tissus alentours l'étaient. La fistule ayant fais son travail de décompression.

A aucun moment je n'ai fais souffrir la patiente.

Quand je dis parage, c'est passage de lime 15/20 et basta. Je n'ai pas mis en forme encore. C'est juste pour virer les débris dentinaire qui traînaient dans les canaux et faire passer mieux mon hypo.

Mais j'avoue, le post m'as un peu calmé sur mes ardeurs de pourfendeur de justice ou tout le monde voudrait soigner leurs dents avec la même motivation... Ça me parait tellement aberrant de laisser pourrir littéralement sa bouche que je crois que tout le monde pense pareil...

Le métier qui rentre comme qui dirait :)


Maké

21/12/2011 à 18h01

Je viens aux nouvelles!

J'ai revu la patiente, oui elle est revenue et est très motivée!

Mon parage a fait son effet, fistule disparue, aucun suintement à l'apex après la mise en forme.

J'ai obturé et on va bien voir le resultat...Je préfère tenter le coup! Si ça marche pas tant pis, mais j'ai vu des cas avec des lésions similaires guérir ad integrum. La taille de la lésion si elle est strictement d'origine endo ne me parait pas être un facteur de pronostic de reussite du traitement.

p.s. oui je sais je dépasse en mésial :(

Endo1 fye5ff - Eugenol

Father ted 280 422484a zg0rur - Eugenol
Oméga

21/12/2011 à 19h08

Si la patiente est motivée et le reste, ça se tente.
Et les lésions endo, quelque soit leur taille ou leur localisation peuvent disparaitre complètement en quelques mois si le traitement endo a bien fonctionné.
Après se pose la question de conserver une dent qui, même couronnée, a une durée de vie réduite sur une arcade bien jeune où l'on peut faire de l'odf et mettre en place une dent saine.
Mais ce n'est que mon avis.


Avatar 46 aoi1yc - Eugenol
HononLulu

21/12/2011 à 19h46

C'est joli, avec quoi as-tu obturé ?


Index vakr2r - Eugenol
pgc

21/12/2011 à 23h25

C'est du beau travail, c'est dommage que ça dépasse en peu en mésial. Si c'est de la gutta (apparemment c'est le cas?) ça va peut-être poser problème.
Tiens nous au courant.


12