Cookie Consent byPrivacyPolicies.comattachement en zircone - Eugenol

attachement en zircone

Img 2951 flo3gr - Eugenol
molinarius

07/12/2011 à 13h48

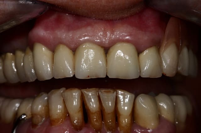
voici une petite réalisation

c'est le début en la matière, attachement bredent vario 3 mini SV (glissiere)
Parallélisé, integré et modelisé via le soft et unsiné avec la fraiseuse numérique...
Je précise que je ne fais que réaliser et suivre un plan de traitement validé par un cd ....

Photo 1 gcykol - Eugenol
Photo 2 nc2z6t - Eugenol
Att i0duwm - Eugenol

Img 2951 flo3gr - Eugenol
molinarius

07/12/2011 à 13h49

en avez vous déja fais et si oui quel retour en avez vous.?


Kon nx3ojp - Eugenol
Kon

07/12/2011 à 17h38

j'ai du mal à saisir l’intérêt.


Img 2951 flo3gr - Eugenol
molinarius

07/12/2011 à 18h00

patiente 32 ans , pas assez fortunée pour faire des implants, sachant qu'en antagoniste on
lui refait 5 cZR . éviter les crochets premièrement , faire des dents ajustées sur le bloc incisif
dans le future stellite et avoir une bonne armonie entre les dents résine et les céramique et pas de liseret noir dans 6 mois ....

Mais là n'était pas ma question :)


Olieve

07/12/2011 à 18h02

J'espère que cette patiente a un complet inférieur....


Img 2951 flo3gr - Eugenol
molinarius

07/12/2011 à 18h12

Olieve écrivait:
----------------
> J'espère que cette patiente a un complet inférieur....


tu en as déjà posés ?


Olieve

07/12/2011 à 18h53

Non, je n'oserais pas... j'ai déjà eu un bridge en zircone qui a cassé. D'autres confrères aussi. Je ne bannis pas le zircone pour autant, mais je reste prudent quand à ses indications.

En plus une glissière....

Pour le cas que tu nous montres, des couronnes céramo-métallique avec épaulement céramique, attachement et fraisage sur les faces palatines me semblent plus sûres. Et tout aussi esthétiques dans ce cas-çi.

Une patiente de 32 ans, à qui il reste juste ces quelques dents et qui a peu de moyens financiers ne devrait pas être emmenée sur des voies aussi expérimentales.....

Ceci dit, ton travail à l'air super top !


003 penrd2 - Eugenol
Cingulum

07/12/2011 à 19h32

c'est génial.. mais aucun sens...
De la zircone pour faire de la zircone...
le liserer noir c'est pas le métal, c'est la récession sur une dent dépulpée


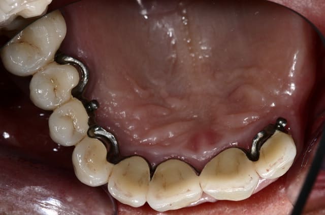
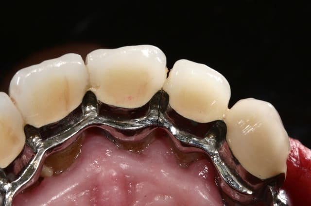
- tu vas avoir assez de place pour mettre la partie femelle plus la dent sur 24 ?
- La partie plastique femelle elle va pas aimer la zircone, prévoir de les changer tout les 2 mois
- risque de fracture important
- coût élevé, qui aurait été mieux investi en implant...
- Le stellite il va etre en zircone lui aussi.. ? ha non ça c'est pour l'année prochaine...
- Pas d'appuis sur 17 ?
- Attachement rigide ne permettant pas de bascule, avec un édentement libre... ça va se desceller/casser au choix

en exemple un cas qui à 7 ans...
je vois pas en quoi le métal pose problème...
Si c'est pour avoir de la zircone et un stellite derrière...
si c'est pour la précision de l'usinage... autant usiner du CrCo.. ou du titane...

Et un exemple de casse..
j'ai des cas comme ça qui ont cassé, entre deux dents j'ose pas imaginer en Zircone...

mais bon je dois commencer à me faire vieux pour dire que des trucs comme ça faut pas le faire... :)


--
Dr Cingulum
-----Ancien interné----
----Attaché à l'apex----
http://www.clinic-all.fr/ formation par passion

Img 5006 xe8hdi - Eugenol
Img 5011 h7fagj - Eugenol
Img 9459 wcla8f - Eugenol
Img 5010 y4edla - Eugenol
Img 5014 mudptn - Eugenol
Img 5016 h9onao - Eugenol
Img 9461 iaxqbb - Eugenol

Img 2951 flo3gr - Eugenol
molinarius

07/12/2011 à 21h22

Cingulum écrivait:
------------------
> c'est génial.. mais aucun sens...
> De la zircone pour faire de la zircone...
> le liserer noir c'est pas le métal, c'est la récession sur une dent dépulpée

oui enfin bon plus de problème de liseret noir avec des CCC .....


>
> - tu vas avoir assez de place pour mettre la partie femelle plus la dent sur 24
> ?
Dans la mesure ou c'est moi qui ai positionné les attachement avec la simulation de la dent
par dessus grâce au soft oui de ce point de vue la aucun souci..
> - La partie plastique femelle elle va pas aimer la zircone, prévoir de les
> changer tout les 2 mois
C 'est à voir .. la zircone polie n'abrase pas plus que le métal....
> - risque de fracture important
au niveau du zircone? ce sont des glissière donc pas sure .. regarde bien la photo ce sont des attachements court et large
> - coût élevé, qui aurait été mieux investi en implant...
et bien ça dépend ... le temps que j'aurais passé a faire des contournement à l'ancienne aurait certainement couté cher , dans le cas présent, tout est parallélisé par l'ordi et donc aucune divergence possible
> - Le stellite il va etre en zircone lui aussi.. ? ha non ça c'est pour l'année
> prochaine...
Non pas en zircone .. mais pour info ça existe ...Yves probst en a déjà réalisé ( pour le fun)
> - Pas d'appuis sur 17 ?
si ! appuis impératif!!
> - Attachement rigide ne permettant pas de bascule, avec un édentement libre...
bascule?? ba non pas de bascule justement y a appuis sur la 17
> ça va se desceller/casser au choix
>
> en exemple un cas qui à 7 ans...
> je vois pas en quoi le métal pose problème...
> Si c'est pour avoir de la zircone et un stellite derrière...
> si c'est pour la précision de l'usinage... autant usiner du CrCo.. ou du
> titane...
>
> Et un exemple de casse..
> j'ai des cas comme ça qui ont cassé, entre deux dents j'ose pas imaginer en
> Zircone...

rho c'est terrible ca !! depuis bientôt 2 ans que j usine de la zircone pas de casse !!
certe c'est un peu court comme délai mais j espère que dans 5 ans si le ratio de casse ne dépasse pas celui du métal , tu et vous changerez d'avis à ce sujet !!!
Combien de temps allons nous subir les début en plus pas si chaotique d'un matériau
fort prometteur ....
>
> mais bon je dois commencer à me faire vieux pour dire que des trucs comme ça
> faut pas le faire... :)

faut rester jeune! et ne pas camper sur ses positions :)

quand au fait que mes posts concerne principalement la zircone, excuse moi , j'ai un outils
j ai investi , je n'invente rien , j explore les possibilités de la machine et des softs ..
et pour l'instant elle n'usine pas de travers et ne foire jamais rien ...
Alors que des coulées des soudures etc etc , la fiabilité.... désolé de te contredire ce n'est pas la qu'on la trouve désormais...
Oui usiné du métal, du titan , du chrome cobalt ... attends toi à ce que le tarif des prothèses
s'envolent car ça coute bonbon , un disque de titan , un disque de chrome cobalt et la bête à usiner derrière ...

Je posterais le stellite fini , que je vais d'ailleurs usiné lui aussi .. pas en zircone je te rassure :)
>
>
> --
> Dr Cingulum
> -----Ancien interné----
> ----Attaché à l'apex----
> http://www.clinic-all.fr/ formation par passion


003 penrd2 - Eugenol
Cingulum

08/12/2011 à 19h23

C'était pas une critique sur ton travail...au contraire je pense que tu maîtrises les outils numérique..

c'est plus une inquiétude et des non sens...
on veut tout faire en zircone...
des bridges collés,
des attelles...
des attachements... sans tenir compte des spécificités de la Zircone...

Quand tu dis zircone poli... hummm, tu vas polir ton attachement ?
demande au ortho comment les gens apprécient les boîtiers céram. Franchement j'ai très peur pour l'usure des parties plastiques...


--
Dr Cingulum
-----Ancien interné----
----Attaché à l'apex----
http://www.clinic-all.fr/ formation par passion


Img 2951 flo3gr - Eugenol
molinarius

08/12/2011 à 21h18

Cingulum écrivait:
------------------
> C'était pas une critique sur ton travail...au contraire je pense que tu
> maîtrises les outils numérique..

Merci
>
> c'est plus une inquiétude et des non sens...
> on veut tout faire en zircone...
> des bridges collés,
> des attelles...
> des attachements...

Et bien chasser le métal de la bouche c'est un non sens ???
migrer vers d'autre horizons .... on a fait le tour du métal ? non ?


sans tenir compte des spécificités de la Zircone...

Justement si ! maintenant les machine outils tiennent compte des spécificités de la Zircone !!! C''est la GROSSE différence !! j'en suis à 40 blocs de zircone .... un bloc c'est environ 25 éléments ... 2 éléments casses !!! c'est quand même pas la fin du monde !!
mais la chose la plus importante c'est la qualité de la zircone et la conception des structures...
>
> Quand tu dis zircone poli... hummm, tu vas polir ton attachement ?

Oui mais pas de manière classic , durant le fraisage ... cad comme un fraisage avec une bague jaune et une bague blanche .... pas avec un polissoir
> demande au ortho comment les gens apprécient les boîtiers céram. Franchement
> j'ai très peur pour l'usure des parties plastiques..

Elle s'useront c'est indéniable .... plus ? à voir... si comme tu le dis au bout d'un mois mais peut être au bout de 6 ou 8 .. et dans ce cas on est pas très loin de l'usure classic sur du métal !!
>
>
> --
> Dr Cingulum
> -----Ancien interné----
> ----Attaché à l'apex----
> http://www.clinic-all.fr/ formation par passion


aldo74

08/12/2011 à 21h47

le chalenge mécanique semble très intéressant ,mais je ne vois pas l'intérêt du risque d'autant que rien ne sera réparable en cas de pépin .
mais si c'est pour faire avancer la science...et que la patiente est d'accord


Bebe 038 nf8eum - Eugenol
danteyeah

08/12/2011 à 21h54

molinarius écrivait:
--------------------

> Elle s'useront c'est indéniable .... plus ? à voir... si comme tu le dis au
> bout d'un mois mais peut être au bout de 6 ou 8 .. et dans ce cas on est pas
> très loin de l'usure classic sur du métal !!


Finalement tant mieux si les parties femelles s'usent plus, cela permettra de faire un contrôle du patient tous les 3 mois (et quelques cupules en plastic ne vont pas le ruiner), et cela te permettras de nous tenir au courant de l'évolution de cette "expérience".

Sinon t'as cité Probst sur ce post. Amusant qu'il soit connu à l'autre bout de la France. J'avais bossé avec lui à mes début, avant de voler...disons... vers des cieux plus clément.


Img 2951 flo3gr - Eugenol
molinarius

08/12/2011 à 22h13

danteyeah écrivait:
-------------------
> molinarius écrivait:
> --------------------
>
> > Elle s'useront c'est indéniable .... plus ? à voir... si comme tu le dis au
> > bout d'un mois mais peut être au bout de 6 ou 8 .. et dans ce cas on est pas
> > très loin de l'usure classic sur du métal !!
>
>
> Finalement tant mieux si les parties femelles s'usent plus, cela permettra de
> faire un contrôle du patient tous les 3 mois (et quelques cupules en plastic ne
> vont pas le ruiner), et cela te permettras de nous tenir au courant de
> l'évolution de cette "expérience".
>
> Sinon t'as cité Probst sur ce post. Amusant qu'il soit connu à l'autre bout de
> la France. J'avais bossé avec lui à mes début, avant de voler...disons... vers
> des cieux plus clément.

En matière de fraisage, c est une reference,


Logo qw3xdt - Eugenol
dds

09/12/2011 à 00h12

Et tu fais du full zircone ou tu as stratifié dessus?
Sinon, là je vois pas trop l'intérêt mais bon, tu fais ce qu'on te demande...

--
Normal is not something to aspire to, it's something to get away from


Img 2951 flo3gr - Eugenol
molinarius

09/12/2011 à 11h37

aldo74 écrivait:
----------------
> le chalenge mécanique semble très intéressant ,mais je ne vois pas l'intérêt du
> risque d'autant que rien ne sera réparable en cas de pépin .

Détrompes toi tout est sauvgardé ! Archivé et peut etre refraiser immédiatement!


> mais si c'est pour faire avancer la science...et que la patiente est d'accord

Patiente prevenue et partante !

On arrive à l empreinte numérique ! Si c est pour faire
Des couronnes coulee ou autre civ !! Non faut avancer
Avec de nouveau materiaux ! E max , zircone etc


Logo qw3xdt - Eugenol
dds

09/12/2011 à 12h11

molinarius écrivait:
--------------------
> aldo74 écrivait:
> ----------------
> > le chalenge mécanique semble très intéressant ,mais je ne vois pas l'intérêt
> du
> > risque d'autant que rien ne sera réparable en cas de pépin .
>
> Détrompes toi tout est sauvgardé ! Archivé et peut etre refraiser immédiatement!

Sauvegardé et refraisé oui; mais du coup tu dois redémonter tes couronnes; donc traumatisme pour les dents...

>
> > mais si c'est pour faire avancer la science...et que la patiente est d'accord
>
> Patiente prevenue et partante !

Reste à savoir comment on lui a présenté ça...
"Vous allez expérimenter un truc, ça risque de péter, mais on redéposera les couronnes, et on vous refait tout, car tout est sauvegardé?"

>
> On arrive à l empreinte numérique ! Si c est pour faire
> Des couronnes coulee ou autre civ !! Non faut avancer
> Avec de nouveau materiaux ! E max , zircone etc

Je croyais que tu n'aimais pas les emax?

--
Normal is not something to aspire to, it's something to get away from


Img 2951 flo3gr - Eugenol
molinarius

09/12/2011 à 12h39

dds écrivait:
-------------
>
> Sauvegardé et refraisé oui; mais du coup tu dois redémonter tes couronnes; donc
> traumatisme pour les dents...
>
> >
> > > mais si c'est pour faire avancer la science...et que la patiente est
> d'accord
> >
> > Patiente prevenue et partante !
>
> Reste à savoir comment on lui a présenté ça...
> "Vous allez expérimenter un truc, ça risque de péter, mais on redéposera les
> couronnes, et on vous refait tout, car tout est sauvegardé?"

non pas vraiment , on lui dit il faut mettre des implants mais ca coute XXXXX euros .. elle aurait bien aimé hélas
son salaire n'excede pas 3 chiffres ...
Alors on lui a proposé une alternative , éviter les crochets, donc des attachements , et de belles CCC qui s'accorderont bien avec les dents du commerce qui ont été choisies
Le prat à fait un effort tarifaire conscéquent, elle soigne la famille de la patiente depuis longtps .
Et le labo à aussi fait un effort tarifaire pour satisfaire sa cliente fidèle
Tout le monde y gagne

Quand au fait que le travail soit enregistré , c'est un plus ...
Je ne m'en sert pas souvent car je n ai pas souvent de casse , mais si demain nu prat me demande une urgence pour X
raison , un accident , une casse , un descellement , et bien au pire je lui sort un provisoire dans l heure au mieux les céramque dans les 36 heures ...

>
> >
> > On arrive à l empreinte numérique ! Si c est pour faire
> > Des couronnes coulee ou autre civ !! Non faut avancer
> > Avec de nouveau materiaux ! E max , zircone etc
>
> Je croyais que tu n'aimais pas les emax?

... je n'aime pas la comparaison récurente non justifiée ..
on me balance que la zircone est opaque et que l'emax ne l'est pas ....
C'est faut à l'heure actuelle ceux qui disent ca en sont resté à du procera et ce sont fait une idée fausse dumoins plus du tout d'actualitée ...
J ai choisi la zircone et l'usinage numérique l'emax n'estr ni plus ni moins qu un coméstique ... les gouts et les couleur....
On peut monter de l emax sur de la zircone.. j ai reçu dans mon labo il y quelques temps maintenant le technicien de chez ivoclar qui m'a effectivement dit que l'alliance était très bien .. et au passage il était admiratif devant le systeme d'usinage ..



>
> --
> Normal is not something to aspire to, it's something to get away from


Logo qw3xdt - Eugenol
dds

09/12/2011 à 13h40

molinarius écrivait:
--------------------
> ... je n'aime pas la comparaison récurente non justifiée ..
> on me balance que la zircone est opaque et que l'emax ne l'est pas ....
> C'est faut à l'heure actuelle ceux qui disent ca en sont resté à du procera
> et ce sont fait une idée fausse dumoins plus du tout d'actualitée ...

Ce n'est pas qu'avec le procéra que c'est opaque...

> J ai choisi la zircone et l'usinage numérique l'emax n'estr ni plus ni moins
> qu un coméstique ... les gouts et les couleur....

Cosmétique oui, mais sans armature zircone c'est encore mieux...

> On peut monter de l emax sur de la zircone.. j ai reçu dans mon labo il y
> quelques temps maintenant le technicien de chez ivoclar qui m'a effectivement
> dit que l'alliance était très bien .. et au passage il était admiratif devant le
> systeme d'usinage ..

L'emax Press, c'est encore mieux que de l'emax ZirPress...
Et avec juste de l'emax sans zircone, tu peux faire des bridges jusqu'au prémo, donc pourquoi s'en priver??

--
Normal is not something to aspire to, it's something to get away from


Logo qw3xdt - Eugenol
dds

09/12/2011 à 14h04

molinarius écrivait:
--------------------

> non pas vraiment , on lui dit il faut mettre des implants mais ça coute XXXXX
> euros .. elle aurait bien aimé hélas
> son salaire n’excède pas 3 chiffres ...
> Alors on lui a proposé une alternative , éviter les crochets, donc des
> attachements , et de belles CCC qui s'accorderont bien avec les dents du
> commerce qui ont été choisies
> Le prat à fait un effort tarifaire conséquent, elle soigne la famille de la
> patiente depuis longtps .
> Et le labo à aussi fait un effort tarifaire pour satisfaire sa cliente fidèle
> Tout le monde y gagne


Sinon l'expérimentation animale, normalement c'est le patient qui est payé!! Pas l'inverse ;-)
Tu fais aussi l'amovible? Sinon faudrait lui personnaliser un peu les dents avec des colorants pour que ça s'accorde un peu.


Autre chose, un effort tarifaire, c'est combien? Sur un total de combien de k€? On peut parler pognon sur un forum, non?

--
Normal is not something to aspire to, it's something to get away from


Img 2951 flo3gr - Eugenol
molinarius

09/12/2011 à 17h30

dds écrivait:
-------------

>
>
> Sinon l'expérimentation animale, normalement c'est le patient qui est payé!! Pas
> l'inverse ;-)

Experimentation ? 2 attachements 4 ccc.. faut pas pousser ...
Est ce que tout ceux qui posent des prothèse en métal d'ascensseur( low cost) se posent la questiobn de l'expérimentation??
> Tu fais aussi l'amovible? Sinon faudrait lui personnaliser un peu les dents avec
> des colorants pour que ça s'accorde un peu.
teinte A3 uniforme .. tu veux que je caractétrise quoi ?
quand au stéllite il est en cour d'usinage lui aussi mais
rassures toi il est pas en zircone !! huhu
>
>
> Autre chose, un effort tarifaire, c'est combien? Sur un total de combien de k€?
> On peut parler pognon sur un forum, non?
ba pour parler pognon y a le MP pour ca ..
mais je pense que tu serais surpris du cout ;)
>
> --
> Normal is not something to aspire to, it's something to get away from


003 penrd2 - Eugenol
Cingulum

09/12/2011 à 18h37

Ne m'en veut pas molinarius, je suis plutôt en général pour faire avancer la dentisterie..
Je fait du tout céram depuis 11 ans et plus que ça depuis 6-8 ans...
L'outil numérique et ce qu'il permet de faire est génial,
mais je pense que c'est un mauvais choix d'utiliser la Zircone dans un cas comme ça...

Avancer l'esthétique alors que tu vas avoir tout le secteur incisif sur une selle... j'attends de voir les photos en bouche...

Avancer l'absence de métal, alors que derrière il y a un châssis métallique, c'est un non sens...

Faire des attachements de précision qui sont sur-dimensionnés par rapport à ceux en métal... et dire que tu les polis...ils vont avoir des arrêtes coupantes tes attachements..les parties plastiques vont s'user très vite... crois moi...

Maintenant c'est le dentiste qui va voir la patiente rappliquer tous les mois... parceque le super truc en zircone ... ben y tiens pas...
Et une fois que ça va être scellé, et même si ça casse pas... si les parties femelles sont à changer tout les mois... tu fais quoi , tu démontes tout ?

Tu dis que c'est numérique on peut ré-usiner... pour cela il faut arriver à fraiser toute l'armature zircone sans toucher au pilier dessous, surtout au niveau des limites.. difficile... de plus si on refait, c'est qu'il faut changer quelque chose....

Je pense que tu as une vision très technique de la chose... L'outils est très bon, la précision, le design, la réalisation tout est bien.
Mais l'indication est mal posé....

Cela n'est que mon avis... on en reparle dans 5 ans ... ?



--
Dr Cingulum
-----Ancien interné----
----Attaché à l'apex----
http://www.clinic-all.fr/ formation par passion


Img 2951 flo3gr - Eugenol
molinarius

09/12/2011 à 19h59

Cingulum écrivait:
------------------
> Ne m'en veut pas molinarius, je suis plutôt en général pour faire avancer la
> dentisterie..
> Je fait du tout céram depuis 11 ans et plus que ça depuis 6-8 ans...
> L'outil numérique et ce qu'il permet de faire est génial,
> mais je pense que c'est un mauvais choix d'utiliser la Zircone dans un cas comme
> ça...

LIBRE A TOI DE LE CROIRE c'est à ça que servent ces forums et je ne t'en veux pas du tout ... bien au contraire , me confronter à des gens compétents ne peux que
>
> Avancer l'esthétique alors que tu vas avoir tout le secteur incisif sur une
> selle... j'attends de voir les photos en bouche...
oui je l'avance toujours :) ce sera toujours plus beau que de la ccm avec un liseret ...
et des dents ajustées
>
> Avancer l'absence de métal, alors que derrière il y a un châssis métallique,
> c'est un non sens...
du métal oui mais pas derrière le bloc incisif ... et pas de crochets
>
> Faire des attachements de précision qui sont sur-dimensionnés par rapport à ceux
> en métal... et dire que tu les polis...ils vont avoir des arrêtes coupantes tes
> attachements..les parties plastiques vont s'user très vite... crois moi...

Je l ai déjà dit pour l'usure, on verra dans le temps , en ce qui concerne les attachements , ils ne sont absolument pas sur-dimensionnés!! j'ai la bibliothèque officiel de bredent !!
pour preuve, les parties femelles je les commande chez eux
>
> Maintenant c'est le dentiste qui va voir la patiente rappliquer tous les mois...
> parceque le super truc en zircone ... ben y tiens pas...

tiens j'ai déjà entendu ça mainte et mainte fois concernant les attachements,
la misère des cupules teflon qu'on nous réclame au labo .. :)
"y en a pas des plus forte ?? parceque même les neuves elles tiennent plus "
Sans doute la partie mâle en métal est usée ??


> Et une fois que ça va être scellé, et même si ça casse pas... si les parties
> femelles sont à changer tout les mois... tu fais quoi , tu démontes tout ?

oui mais que ce soit de la zircone ou sur du métal ... tu fais quoi ? ce n 'est pas en rapport avec le choix du matériau
>
> Tu dis que c'est numérique on peut ré-usiner... pour cela il faut arriver à
> fraiser toute l'armature zircone sans toucher au pilier dessous, surtout au
> niveau des limites.. difficile... de plus si on refait, c'est qu'il faut changer
> quelque chose....
Je ne comprends pas bien ce que tu veux dire ... sous entendrais tu que la zircone
collerait bien finalement ? ;p
>
> Je pense que tu as une vision très technique de la chose... L'outils est très
> bon, la précision, le design, la réalisation tout est bien.
> Mais l'indication est mal posé....

Oui , à force d'en faire , j'en ai passé du temps à faire des contournements fraisés
avec ma vieille fraiseuse , c'est beau , ça brille , ça ajuste , et 4 ans après ça ne ressemble plus à rien , c'est devenue terne, les attachements s'uses et la je ne parle pas de la partie teflon .... ( bon la tu vas me sortir un cas qui a 10 ans et qui est nickel ?) :):)

Donc un peu de neuf , "un coup de pompe" dans les vieilleries :) ça fait du bien :)

>
> Cela n'est que mon avis... on en reparle dans 5 ans ... ?
là je suis d'accord pour laisser le temps au temps et voir le résultat .. c'est d'ailleurs pour ça que je demandais si quelqu'un(e) en avait déjà fais ...

Bon devant la levée de bouclier je pense que non :):) c'est pas grave ....


give me five quand même :)

>
>
>
> --
> Dr Cingulum
> -----Ancien interné----
> ----Attaché à l'apex----
> http://www.clinic-all.fr/ formation par passion


Danse in dente

11/02/2016 à 16h06

bonjour, je relance le sujet des attachements externes sur zircone!
avez vous des solutions? passez vous systématiquement sur du céramométal dans les cas de prothèses composites?


Img 2951 flo3gr - Eugenol
molinarius

13/02/2016 à 15h51

possibilité de faire la structure en biohpp ( peek céramisé) avec les attachements. et de recouvrir cette structure de composite chargé en céramique .


12