Cookie Consent byPrivacyPolicies.comEt dans ce cas, que proposeriez-vous ? - Eugenol

Et dans ce cas, que proposeriez-vous ?

Zorglub

07/12/2011 à 18h17

A part engueuler celui qui n'a pas dépisté les caries...

Pano eco aldina 2011 wa71xd - Eugenol

Avatar 46 aoi1yc - Eugenol
HononLulu

07/12/2011 à 18h35

Chez moi les orthos ne "voient" pas les caries, les patients pensent être suivis par les orthos.....
Heureusement mes correspondants adressent tous les ans leurs patients à leur omnipraticien...


Zorglub

07/12/2011 à 18h50

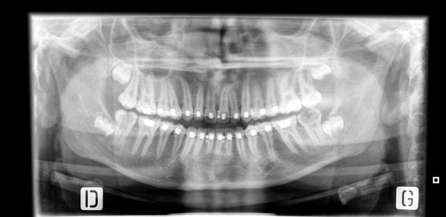
En principe, chez moi aussi mais dans ce cas précis, cela interpelle...

Faut-il conserver ces 37 et 47 ?


Zorglub

08/12/2011 à 12h50

Pas d'avis ?


003 penrd2 - Eugenol
Cingulum

08/12/2011 à 12h59

je proposerai la mise en place des 8 ... sans hésiter mais il faut la coopération d'un odf ...


--
Dr Cingulum
-----Ancien interné----
----Attaché à l'apex----
http://www.clinic-all.fr/ formation par passion


Grueavatar nptrc9 - Eugenol
Le Choixpeau magique

08/12/2011 à 13h18

Il y a quand même un gros soupçon de MIH, ne tapez pas sur les orthos les dents étaient peut être déjà comme ça avant même de sortir.


Smile beach jgh0a1 - Eugenol
Céramik

08/12/2011 à 13h49

Chez moi, si tx ortho, minimum 2 suivis par an, idealement 3.

Bye bye les 7.


--
Céramik


Img 3657 cwjvqm - Eugenol
alapex

08/12/2011 à 13h57

Zorglub écrivait:
-----------------
> A part engueuler celui qui n'a pas dépisté les caries...


C'est peut-être aller vite en besogne , le petit chéri est peut-être un petit cochon bourré de coca et de bonbons qui raconte n'importe quoi à sa maman .
Comme quoi l'éducation thérapeutique...


Pépélaratiche

08/12/2011 à 13h59

Zorglub écrivait:
-----------------
> Pas d'avis ?

Vire les 7

Elle ont des racines côniques et trop trop délabrées

Mieux vaut encore essayer de laisser les 8 les remplacer

Pp


Zorglub

08/12/2011 à 20h12

Je vois que mon plan de traitement proposé à la patiente semble suivi par tous.

Virer 37 et 47 et espérer que les 38 et 48 vont développer de belles racines...


1 eugenol dmj5np - Eugenol
Dancha

08/12/2011 à 22h15

Si tu vires 37 et 47, comment comptes-tu empêcher l'égression de 17 et de 27 qui se retrouveront sans antagoniste ?

Daniel


Avatarfac v6b7jd - Eugenol
DCDV

10/12/2011 à 13h35

+1 trop tôt pour les retirer !

il a quel âge ?
combien de temps de ttt odf ?
peut être que l'ortho lui fait la guerre pour le brossage !


--
dcdv !