Cookie Consent byPrivacyPolicies.comQuels compo stratifié pas trop cher pour se faire plaisir et - Eugenol

Quels compo stratifié pas trop cher pour se faire plaisir et débuter ?

Marque a3 orange fyvhyq - Eugenol
Marc Apap

20/06/2012 à 15h30

danteyeah écrivait:
-------------------

> Pour les patients..... ça s'éduque quelque soit l'âge, ou ça fini en PC.

Tu veux dire au PC ?


Bebe 038 nf8eum - Eugenol
danteyeah

21/06/2012 à 04h09

Marc Apap écrivait:
-------------------
> danteyeah écrivait:
> -------------------
>
> > Pour les patients..... ça s'éduque quelque soit l'âge, ou ça fini en PC.
>
> Tu veux dire au PC ?

Faut pas tout " Melancher" Marc (je suis Alsacien, on a un petit accent), la politique je laisse ça a ceux qui savent.


Bebe 038 nf8eum - Eugenol
danteyeah

23/05/2013 à 03h54

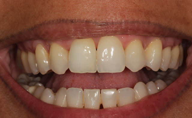
Up sur ce fil, pour parler du Renamel de Cosmedent en Incisal, comme le recommandait Choixp. pour palier au manque de luminosité des teintes email du Gaenial.
Je passe outre la prise de tête pour se le procurer (finalement c'est plus simple par la Grande Bretagne, que par les USA).
Ici un cas de fracture d'une 21 avec exposition pulpaire (précédemment posté en pédo):

image 1: pansement composite avant endo
image 2: combo strat. après endo tout en Gaenial: A2/A1/TE/JE et tescera blanc. Photo prise à 7 jours. Patient moyennement satisfait.
image 3: retrait de la couche de JE, puis retouche au TE et Renamel LI (light incisal), avec reprise de la morphologie, photo prise à la fin du travail, d'où la déshydratation visible sur 11 et 22. A voir dans 7 js.

Le Renamel est non seulement plus lumineux mais il est aussi beaucoup plus facile à polir (c'est même mieux que le Micerium HFO, mais bon tenu dans le temps à voir) et offre une belle palette de possibilité pour jouer avec les microgéographies, l'utilisation de "cire" de modelage (ici Micérium...on se refait pas ;-)), est un plus pour assouplir ce composite, et bizarrement la spatule à suffit au modelage, et il n'y pas eu besoin du pinceau silicone.

Bon le patient n'est toujours pas satisfait, d'autant plus que son hygiène est déplorable (ça saute pas aux yeux à première vue), et qu'après un détartrage/surfacage autour de la 11, on se retrouve avec un retrait papillaire important. On va lui apprendre à se brosser les dents, en espérant que l'esthétique rose récupère, il est jeune alors avec un peu de bol!
Au final je recommande chaudement ce composite ce composite qui donne effectivement au Gaenial la capacité d'être utilisé comme un "vrai" stratifié.

 mg 8265 omdno2 - Eugenol
 mg 8275 pzzub5 - Eugenol
 mg 8282 thhrhq - Eugenol

S2y2o1v7q53ws4r5wy6ou8czrpom - Eugenol
pxav

23/05/2013 à 09h51

Très joli, bravo, et merci du partage.

--
xbk
"Si tous ceux qui croient avoir raison n'avaient pas tort, la vérité ne serait pas loin" Dac Pierre


maz

23/05/2013 à 10h16

Superbe compo !

C'est quoi la cire a modeler ?

J'ai commandé aussi une seringue du renamel microfill, testé sur un cas seulement.
Il est effectivement relativement facile à manipuler et a polir par rapport au HRi UE

Mon premier essai n'a pas été aussi concluant que le tient


doagui

23/05/2013 à 11h34

Ton travail est très impressionnant !

Si je peux me permettre, je préfère par contre la 1ere version, car il me semble que le résultat obtenu avec le nouveau composite est peut-etre trop "blanc" (d'autant plus si effectivement les adjacentes sont déshydratées, ça risque de s'accentuer encore lorsqu'elles auront repris leur teinte habituelle).

Ceci dit les 2 composites sont superbes et franchement le patient est un chieur si rien de tout ce que tu as fait ne lui convient.


maz

23/05/2013 à 11h39

mon cas de renamel microfill

pas aussi réussi que le tien

la différence c'est que mon patient est content !

Avant vxobrs - Eugenol
Apr s niheme - Eugenol

Bebe 038 nf8eum - Eugenol
danteyeah

23/05/2013 à 12h00

maz écrivait:
-------------

>
> C'est quoi la cire a modeler ?

Modeling resin de Bisco (pas Micerium comme écrit plus haut, j'ai fauté), chez Bisico.


Bebe 038 nf8eum - Eugenol
danteyeah

23/05/2013 à 14h03

doagui écrivait:
----------------
> Si je peux me permettre, je préfère par contre la 1ere version, car il me semble
> que le résultat obtenu avec le nouveau composite est peut-etre trop "blanc"

Non, la photo est trompeuse car le renamel capte énormement la lumière:le flash est bien reflété sur l'émail naturel, par contre le compo semble plus le difuser, il récupère alors plus de lumière. Pour l'instant à la fin de la scèance le composite avait l'air encore trop sombre, j'attends le résultat après ré hydratation, on verra bien


Bebe 038 nf8eum - Eugenol
danteyeah

23/05/2013 à 14h14

maz écrivait:
-------------
> mon cas de renamel microfill
>
> pas aussi réussi que le tien
>
> la différence c'est que mon patient est content !

Belle morpho, bien vue la caractérisation "milky", il y a un souci en profondeur 1 à 2 teinte trop sombre: soit joint de colle trop épais, soit choix de composite trop foncé (UD4 ici peut être).
Pour le patient, bah il est jeune et con, ça lui passera ou il se passera de moi, pas grave.


maz

23/05/2013 à 22h53

oui, tu as tout à fait raison, je me suis chié sur le choix de la dentine, trop sombre

pareil, j'ai mis de l'ambre sur le bord libre alors que j'aurais du mettre un truc blanc

j'en fais trop peu souvent où je prends le temps


Bebe 038 nf8eum - Eugenol
danteyeah

11/06/2013 à 01h40

Pour Doagui: un cliché après 1 semaine ou 2, avec réhydratation et un peu d'hygiène.
Photo dans le "jus", permettant de voir la teinte dans la "vrai" vie, avec le bavou et tout ;-).
Toujours persuadé que la teinte du compo est trop clair?

 mg 8320 jwk0un - Eugenol

Egy194 ietbqd - Eugenol
tristanavi

11/06/2013 à 20h52

Composite testé aujourd'hui pour modifier les canines en latérales après éclaircissement interne de 11 et ambulatoire sur le reste.Sur les conseils lus sur ce post j 'ai utilisé le G aenial de Gc .Eh bien c'est pas mal du tout.Merci a vous.

Img 2691 xadsbz - Eugenol
Img 3233 gd1nbq - Eugenol
Img 3235 dyomyf - Eugenol
Img 3234 ybsoxs - Eugenol

Nouveau image bitmap fz77zh - Eugenol
Sethef

12/06/2013 à 00h18

Vous m'impressionnez...
Encore un truc à apprendre, ça s'arrête jamais! ;-)


(j'ai fait un cas récemment de ce genre, bien loin de votre niveau néanmoins.
J'utilise le Filtek, mais j'ai l'impression que ça reste tout de même très basique comme compo. Vous avez des avis d'experts?
Je vois le patient la semaine prochaine, je prendrais une photo.)


Bebe 038 nf8eum - Eugenol
danteyeah

12/06/2013 à 03h03

tristanavi écrivait:
--------------------
> Composite testé aujourd'hui pour modifier les canines en latérales après
> éclaircissement interne de 11 et ambulatoire sur le reste.Sur les conseils lu
> sur ce post j 'ai utilisé le G aenial de Gc .Eh bien c'est pas mal du tout.Merci
> a vous.

Très belle démonstration du gradient thérapeutique, impressionnant comme le dit sethef.


Egy194 ietbqd - Eugenol
tristanavi

12/06/2013 à 14h48

..


Capture d  cran 2015 03 12 12.28 - Eugenol
chicot29

12/06/2013 à 16h04

Moi je me fais plaisir sur l'eau en kite. Donner raison à la sécu et ses tarifs d'un autre age en faisant des compos stratifiés au prix d'un amalgame au pouce, jamais.


Darmon - Eugenol
Latin

12/06/2013 à 17h31

Nickel pour les canines. Est-ce que tu peux nous montrer une photo intrabuccale pour nous montrer comment tu as géré la cuspide palatine des PM1? Et que vas-tu suggérer à ta patiente pour son tatouage périchéilique?


Bebe 038 nf8eum - Eugenol
danteyeah

12/06/2013 à 17h35

chicot29 écrivait:
------------------
> Moi je me fais plaisir sur l'eau en kite. Donner raison à la sécu et ses tarifs
> d'un autre age en faisant des compos stratifiés au prix d'un amalgame au pouce,
> jamais.
Hihi du pur chicot29, parfaitement dans son rôle, et qui a totalement raison de ce point de vue.
Cependant en y regardant bien le plan de traitement de tristavani est entièrement HN ( rien d'opposable ici (pas de cavité), ce sont 2 facettes compo directes et un eclairssissement facturé avec tact et mesure. Et avant de s'assurer d'avoir une maîtrise du sujet et un pronostic valable, bin faut bien s'entraîner non?

Pour le kite, t'as mille fois raison, moi c'était plutôt VTT DH, mais cela a laissé trop de séquelles, donc abstention maintenant. À moins de 10 minutes de la plage des lecques, faudrait tout de même que je test le kite (se débrouiller en wake, et assurer en snowboard, ça aide?)


Egy194 ietbqd - Eugenol
tristanavi

12/06/2013 à 20h18

je confirme que le traitement est HN .J 'ai une patiente super contente et du coup moi aussi. Et cela ne m 'empêche pas de sortir mon gun des années 90 quand le vent dépasse 30 noeuds .J 'ajoute que la valorisation horaire est meilleure que des cas de prothèse traditionnelle comme celui ci.Je préfère de pas compter les heures.

Md cop001 a7umc9 - Eugenol
Md cop026 nwdile - Eugenol
Md cop025 ygt8lg - Eugenol

Egy194 ietbqd - Eugenol
tristanavi

12/06/2013 à 20h28

Pour Latin, je n 'ai pas touché aux prémolaires, les cuspides sont toujours là mais jamais bien visibles et leurs faces V ressemblent aux canines ça nous suffit.Pour le tatouage labiale je laisse ça aux spécialistes !


Capture d  cran 2015 03 12 12.28 - Eugenol
chicot29

13/06/2013 à 12h38

danteyeah écrivait:
-------------------
> chicot29 écrivait:
> ------------------
> > Moi je me fais plaisir sur l'eau en kite. Donner raison à la sécu et ses
> tarifs
> > d'un autre age en faisant des compos stratifiés au prix d'un amalgame au
> pouce,
> > jamais.
> Hihi du pur chicot29, parfaitement dans son rôle, et qui a totalement raison de
> ce point de vue.
> Cependant en y regardant bien le plan de traitement de tristavani est
> entièrement HN ( rien d'opposable ici (pas de cavité), ce sont 2 facettes compo
> directes et un eclairssissement facturé avec tact et mesure. Et avant de
> s'assurer d'avoir une maîtrise du sujet et un pronostic valable, bin faut bien
> s'entraîner non?
>
> Pour le kite, t'as mille fois raison, moi c'était plutôt VTT DH, mais cela a
> laissé trop de séquelles, donc abstention maintenant. À moins de 10 minutes de
> la plage des lecques, faudrait tout de même que je test le kite (se débrouiller
> en wake, et assurer en snowboard, ça aide?)


Bien sur, ca ne devrait etre qu"une formalité. Cours obligatoires cependant il y a des erreurs à ne pas faire qui peuvent faire mal.))))))


Capture d  cran 2015 03 12 12.28 - Eugenol
chicot29

13/06/2013 à 12h53

En plus il y a des groupies qui te prennent en photo, ici une jeune fille d'une 20 aine d'années qui est venu me demander mon adresse mail sur la plage pour me l'envoyer. Bon de loin elle ne s'imaginait pas que c'était un vieux crouton qui envoyait des tricks, elle a du être décue ! ))))))

Photos maman 2013 115 en4xbj - Eugenol

Nouveau image bitmap fz77zh - Eugenol
Sethef

13/06/2013 à 15h47

Bon, du coup, vous m'avez donné envie.
Du matin, au Filtek, 2 gros compos proximaux à revoir sur 22.
Manque de teinte émail au point de contact mésial.

Img 2657 a6r1nj - Eugenol
Img 2659 qfl7mk - Eugenol
Img 2658 mlc9dl - Eugenol

Bebe 038 nf8eum - Eugenol
danteyeah

07/11/2013 à 01h35

maz écrivait:
-------------
>
> tu annonces quelle durée de vie au patient ? tu entretiens comment ?

Petit up de ce post, après avoir vu ça cette aprem. J'ai pensé à ton message maz.

C'est un composite stratifié d'angle fait il y a 18 mois au Gaenial. Le patient a sauvagement attaqué ses ongles, et a explosé toute la parti vestibulaire du composite: on remarque que le collage est plus solide que le composite lui même, par contre bizarrement la liaison entre le composite issu de la clé palatine (du JE) et le composite dentinaire (A1, A2) a laché nette (y aurait-il un problème de cohérence entre les masse email et dentine?).

Donc pour répondre à maz, ici durée de vie 18 mois; mais réparation (30' pas plus) facile contrairement à un chip, facette, CCC Emax.

Edit: le patient a été averti que si il revenait avec une hygiène aussi déplorable la prochaine fois, je me contenterais de reconstruire la dent au chewing-gum ;-)

Img 0704 ixwmcr - Eugenol
Img 0705 ln7tte - Eugenol