Cookie Consent byPrivacyPolicies.comQuels compo stratifié pas trop cher pour se faire plaisir et - Eugenol

Quels compo stratifié pas trop cher pour se faire plaisir et débuter ?

003 penrd2 - Eugenol
Cingulum

07/11/2013 à 11h26

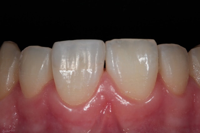
un cas fait hier, Enamel HRI pour la dentine et Esthelite pour l'émail
Comme pour les silicones ne pas hésiter a mélanger les compos...


--
Dr Cingulum
-----Ancien interné----
----Attaché à l'apex----
http://www.clinic-all.fr/ formation par passion

 mg 4969 hoogwr - Eugenol
 mg 4970 cgglkd - Eugenol
 mg 4974 gaieh6 - Eugenol
 mg 4964 xwszyy - Eugenol

Bebe 038 nf8eum - Eugenol
danteyeah

07/11/2013 à 16h41

Cingulum écrivait:
------------------

> Comme pour les silicones ne pas hésiter a mélanger les compos...

+1, le cas de l'angle pété au dessus, c'est Gaenial JE en palatin (l'ancien), Shofu Beautiful 2 A3 (plus opaque que le GC)/ Gaenial A2 en dentine, Gaenial TE en opalescent et Renamel microfil IM en email…..et c'est pas pour finir du stock ;-)

Dis donc cingulum, t'aurais pas tendance à finir au Biscover? parceque ça brille un max.


003 penrd2 - Eugenol
Cingulum

07/11/2013 à 17h17

Démasqué ;)


--
Dr Cingulum
-----Ancien interné----
----Attaché à l'apex----
http://www.clinic-all.fr/ formation par passion


200106 10150128247663588 709988587 6466236 5598391 n d7mksb - Eugenol
hallboy

07/11/2013 à 17h30

les zone brunes pox gingivales tu les as polies a quoi ?


003 penrd2 - Eugenol
Cingulum

07/11/2013 à 17h35

bagues rouges, puis disque, puis meulette

--
Dr Cingulum
-----Ancien interné----
----Attaché à l'apex----
http://www.clinic-all.fr/ formation par passion


Bebe 038 nf8eum - Eugenol
danteyeah

06/01/2014 à 19h09

"Petit cas" pour la rentrée toujours en Gaenial+Microfill, et j'ai fait joujou avec mon p'tit laser que j'ai eu pour Noel ;-).

Par contre occlusion complexe, on verra bien combien de temps ça tiendra.

2014 01 06 0006 kdbwrc - Eugenol
2014 01 06 0001 hm8pwf - Eugenol
2014 01 06 0004 uvc4e0 - Eugenol
2014 01 06 0005 z7xrqu - Eugenol

Capture d  cran 2015 03 12 12.28 - Eugenol
chicot29

06/01/2014 à 20h59

C'est toi qui ne va pas tenir, vu les tarifs de merde imposés par la sécu pour ce genre de travail. A force de nous faire des quenelles à chaque négociation conventionnelle ca va finir par chier vraiment pour la sécu.


Logo vuaztn - Eugenol
mac

06/01/2014 à 21h05

c'est quoi ton laser?


maz

07/01/2014 à 00h57

un cas de ena HRI, avec mes doigts sur la photo ;-)

2013 11 15 img 2626 inx91m - Eugenol
2013 11 15 img 2624 vy2yv7 - Eugenol
     zqp7i7 - Eugenol

Bebe 038 nf8eum - Eugenol
danteyeah

07/01/2014 à 02h47

chicot29 écrivait:
------------------
> C'est toi qui ne va pas tenir, vu les tarifs de merde imposés par la sécu pour
> ce genre de travail. A force de nous faire des quenelles à chaque négociation
> conventionnelle ca va finir par chier vraiment pour la sécu.

Eh oui l'ami, mais je suis sponsorisé par madame…..ah l'avantage d'être un beau gosse…mouarff ;-).

Sinon le patient avait un devis de facettes céramique/ortho/implanto initiale pour plus d'un an de son salaire, je ne lui en veux pas de ne pas avoir accepté, et j'ai fait ma BA pour la semaine. Il passera au claquos pour les molaires mandibulaires manquantes, pour l'instant.


Bebe 038 nf8eum - Eugenol
danteyeah

07/01/2014 à 02h50

mac écrivait:
-------------
> c'est quoi ton laser?

NV micolaser Philips (Discus), 4ième ou 5ième essais.


Bebe 038 nf8eum - Eugenol
danteyeah

07/01/2014 à 02h54

maz écrivait:
-------------
> un cas de ena HRI, avec mes doigts sur la photo ;-)

Du bien bel ouvrage, c'est quand même jouissif non?

En augmentant encore le chanfrein vestibulaire, on ne devrait plus du tout voir la délimitation dent saine/composite.


Marque a3 orange fyvhyq - Eugenol
Marc Apap

07/01/2014 à 14h20

J'ai vu ce laser deux fois et je l'ai même essayé... sur une pomme à Chicago.
dans les 3-4000$ aux US, 5000 € au moins en europe. Le pb, c'est aussi le consommable car on change d'embout jetable à chaque fois je crois. Quant à la puissance ???
L'ergonomie est top puisque c'est un truc pas plus gros qu'un stylo.


MasterCone

10/01/2014 à 13h18

C'est beau ce que vous faites et je vais me remettre à la stratification moi aussi (pas fait de Miris depuis la fac) mais dites, les artistes, vous utilisez quoi comme instruments particuliers pour affiner vos sculptures ? Vos petits préférés c'est lesquels ? (car vous ne faites pas ça qu'à la bonne vieille spatule à bouche i presume).


john33

10/01/2014 à 16h01

Le kit d'instruments LM Arte est tiptop pr les compo, tu associe à un T Pen (genre de pinceau avec une pointe silicone qui n'accroche pas au compo)


rodking59

10/01/2014 à 16h55

chicot29 écrivait:
------------------
> Moi je me fais plaisir sur l'eau en kite. Donner raison à la sécu et ses tarifs
> d'un autre age en faisant des compos stratifiés au prix d'un amalgame au pouce,
> jamais.
retour à la dure réalité des chiffres !!!


Bebe 038 nf8eum - Eugenol
danteyeah

15/01/2014 à 02h22

Marc Apap écrivait:
-------------------
> J'ai vu ce laser deux fois et je l'ai même essayé... sur une pomme à Chicago.
> dans les 3-4000$ aux US, 5000 € au moins en europe. Le pb, c'est aussi le
> consommable car on change d'embout jetable à chaque fois je crois. Quant à la
> puissance ???
> L'ergonomie est top puisque c'est un truc pas plus gros qu'un stylo.

Je dois être au 20ième essais ou plus, j'peux plus m'en passer, c'est peut être l'effet "gamin dingue de son nouveau joujou". Pour la puissance (en coupe) je n'en exploite pour l'instant que la moitié (entre 1,2 et 1,6 W), il y'a donc encore de la marge, donc cela semble plus que suffisant comme puissance. Pour le consommable, c'est re stérilisable à froid c'est tout, mais reste réutilisable. Initialement les embouts livrés (un capuchon plastique intégrant un aimant de centrage et un fin fil optique) ne sont pas stérile, mais est-ce nécessaire pour "blaser" du tissus muqueux?
Quand a l'ergonomie…..si tous nos instruments avaient la même……c'est parfait.

En conclusion, très emballé, avec 2 bémols:primo, le doute autour de la qualité de stérilisation des embouts, et secundo, le prix 2X plus cher en Europe qu'aux USA, donc si on peut le chercher la bas faut pas s'en priver, et consommable en sus (livré avec 20 embouts, c'est tout)


Bebe 038 nf8eum - Eugenol
danteyeah

19/05/2015 à 03h22

Petit retour nostalgique sur ce fil, suite au passage en contrôle (2 ans après), d'une gamine de 14 ans maintenant qui s'était bousillé la 11 dans la cour de récrée. C'est toujours du GC et du Rénamel (Light, et pour le coup un poil trop clair), et ça vieillit bien (ça va rassurer Maz).

 mg 8321 itysqh - Eugenol
 mg 8323 mykrrf - Eugenol
 mg 8337 gvk66r - Eugenol
 mg 8338 fghgau - Eugenol
Img 7776 zfdpip - Eugenol
Img 7777 oigkom - Eugenol

Capture d  cran 2015 03 12 12.28 - Eugenol
chicot29

19/05/2015 à 09h23

Superbe.

Pour répondre à la question initiale du post : tu prends n'importe lequel, c'est pas trop cher ! Et toi cochon de dentiste quoi que tu fasses tu auras toujours une image de plus en plus déplorable dans les merdias -))))))

La secu te taxe cqumcs - Eugenol

Bebe 038 nf8eum - Eugenol
danteyeah

20/05/2015 à 02h59

Chicot toujours aussi prévisible ;-)......... Et fidèle à son mantra, mais merci d'être présent.

Ah pour la petite histoire à l'époque ce cas était HN......depuis on a pris la CCAM dans la gueule, et ton "mantra" me rattrape l'ami :-(

Pour l'image dans les médias c'est simple j'arrête la télé et Nonol à dose homéopathique, et la vie paraît plus rose;-)..... Heureux le simple d'esprit.......toussa toussa.


Capture d  cran 2015 03 12 12.28 - Eugenol
chicot29

20/05/2015 à 17h14

danteyeah écrivait:
-------------------
> Chicot toujours aussi prévisible ;-)......... Et fidèle à son mantra, mais merci
> d'être présent.
>
> Ah pour la petite histoire à l'époque ce cas était HN......depuis on a pris la
> CCAM dans la gueule, et ton "mantra" me rattrape l'ami :-(
>
> Pour l'image dans les médias c'est simple j'arrête la télé et Nonol à dose
> homéopathique, et la vie paraît plus rose;-)..... Heureux le simple
> d'esprit.......toussa toussa.

HN pourquoi ? parceque c'était un accident ?

Bon moi je ne me fais pas chier que du mono teinte, j'ai assez mal au cul comme ca !-))))

Capture d e cran 2015 05 20 15.11 - Eugenol

maz

20/05/2015 à 19h01

On peut faire du mono-teinte en ayant un résultat correct

Je ne sais pas à quel point les patients se rendent compte de la différence a partir du moment ou la teinte et la forme sont corrects (au moins sur les dents pas trop caractérisées)

  rp6shw - Eugenol
    g3qqbv - Eugenol
   shcdj7 - Eugenol

Capture d  cran 2015 03 12 12.28 - Eugenol
chicot29

20/05/2015 à 23h35

tu utilises des moules d'angles comme moi ou tu les fais à partir d'une clef d'un wax up ?

Putain, 43 euros l'angle on est vraiment trop cons de les faire à ce tarif. ca me prend à peine plus de temps de faire l'endo, de tout raser et de faire un ic ceram.


maz

21/05/2015 à 01h03

ceux là je les ai faits à la main

je testais de faire sans rien (sans digue, sans clef, sans wax, sans stratif...)
au final, ça marche pas mal, j'aurais juste du faire la clef palatine, ça m'aurait fait gagner du temps.


Bebe 038 nf8eum - Eugenol
danteyeah

21/05/2015 à 03h19

chicot29 écrivait:
------------------

> HN pourquoi ? parceque c'était un accident ?
>
Parce qu'en NGAP, la reconstitution d'angle (ici les deux) n'existait pas. Aujourd'hui c'est opposable à 86€.....merci Yobi:-(


> Bon moi je ne me fais pas chier que du mono teinte, j'ai assez mal au cul comme

J'ai pas dit le contraire, mais tu avouera que la denture de la gamine donne plus envie de s'investir que la denture de chèvre de ton patient (si si la ressemblance est frappante ;-))). Et effectivement la majorité des compo sont mono ou bi teinte, la stratification est devenu un luxe ou un chalenge ou encore une source d'image pour venir titiller du chicot sur Nonol:-))))))