Cookie Consent byPrivacyPolicies.comQuels compo stratifié pas trop cher pour se faire plaisir et - Eugenol

Quels compo stratifié pas trop cher pour se faire plaisir et débuter ?

Bebe 038 nf8eum - Eugenol
danteyeah

21/05/2015 à 03h30

maz écrivait:
-------------
> On peut faire du mono-teinte en ayant un résultat correct
>
> Je ne sais pas à quel point les patients se rendent compte de la différence a
> partir du moment ou la teinte et la forme sont corrects (au moins sur les dents
> pas trop caractérisées)

Tout a fait vrai, ils s'en foutent. C'est un caprice de praticien.
Très joli morpho au passage.


Bebe 038 nf8eum - Eugenol
danteyeah

21/05/2015 à 03h34

chicot29 écrivait:
------------------
> tu utilises des moules d'angles comme moi ou tu les fais à partir d'une clef
> d'un wax up ?

Des moules d'angles???? Une spécialité de mollusque bretonne?? :-)))))


>
> Putain, 43 euros l'angle on est vraiment trop cons de les faire à ce tarif. ca
> me prend à peine plus de temps de faire l'endo, de tout raser et de faire un ic
> ceram.

Il a un petit côté marseillais notre chicot des fois ;-)


Capture d  cran 2015 03 12 12.28 - Eugenol
chicot29

21/05/2015 à 10h11

danteyeah écrivait:
-------------------

> > Putain, 43 euros l'angle on est vraiment trop cons de les faire à ce tarif.
> ca
> > me prend à peine plus de temps de faire l'endo, de tout raser et de faire un
> ic
> > ceram.
>
> Il a un petit côté marseillais notre chicot des fois ;-)

Endo, taille empreinte provisoire sur 2 incisives : 1H et ca c'est réglé comme du papier à musique.

2 angles 1h de rdv car ca n'est pas réglé comme du papier à musique. -))))


Bebe 038 nf8eum - Eugenol
danteyeah

22/05/2015 à 03h44

chicot29 écrivait:
------------------
> danteyeah écrivait:

> > Il a un petit côté marseillais notre chicot des fois ;-)
>
> Endo, taille empreinte provisoire sur 2 incisives : 1H et ca c'est réglé comme
> du papier à musique.

Bin.... Sont où les IC/CCM, promis dans le premier jet de réponse ? Une petite pointe de mauvaise fois....à la marseillaise :-))))

>
> 2 angles 1h de rdv car ca n'est pas réglé comme du papier à musique. -))))

Propose un éclaircissement dentaire avant compo ., ça permettra de plus facilement intégrer le mono teinte et tu restera rentable ;-))))


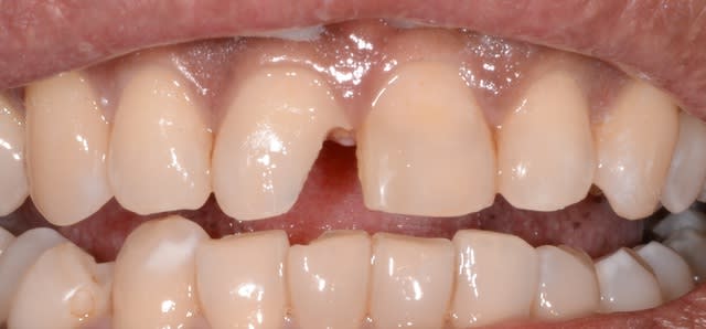
voorzitterst

10/03/2016 à 19h36

Merci pour vos conseils.

Un cas avec du G-aenial AE + A2
La 21 a été faite il y a 4 ans, j'essaye de la motiver pour des facettes.

Dsc 4185 rxpla6 - Eugenol
Dsc 4187 rkbii5 - Eugenol

Dsc05680 medium aphmfg - Eugenol
BasArtDentaire

10/03/2016 à 20h05

Joli résultat.
J'aime bien le G-eanial dans sa consistance et son rendu.


Capture d  cran 2015 03 12 12.28 - Eugenol
chicot29

10/03/2016 à 21h04

voorzitterst écrivait:
----------------------
> Merci pour vos conseils.
>
> Un cas avec du G-aenial AE + A2
> La 21 a été faite il y a 4 ans, j'essaye de la motiver pour des facettes.

Signes le protocole CNSD MGEN. Si c'est un prof pas besoin de le motiver pour des facettes. Il sera "solvabilisé" pour 2 ic cerams. -)

Endo taille provisoires empreinte : 1H 30
Pose 15 mn.

Tu as déjà assez perdu de temps et d'argent comme ca avec tes compos. Fini de jouer. LOL !


voorzitterst

11/03/2016 à 00h20

Pas de mgen chez moi!

Et pas beaucoup ic ceram car pas en France.

Cela fait dix fois qu elle refait faire cette dent (seulement deux fois par moi).


1...45