Cookie Consent byPrivacyPolicies.comPERTE OSSEUSE AUTOUR DES IMPLANTS - Eugenol

PERTE OSSEUSE AUTOUR DES IMPLANTS

flicflac

24/12/2011 à 21h26

La cause du problème des pertes osseux au niveau des implants?
Stress=perte osseuse
Bactériens=péri-impALANTITE
Le design des implants? certain perde de l'os plus facilement??

Un implant est moins résistant qu'une dent naturelle à l'attaque bactérienne, pas d'attache dans la portion trans-épithélial contrairement à la dent avec le cement hemi-desmosomes...

Comment entretenir la portion transgingival pour un implant au site molaire par exemple. Tout au plus le patient peut se rendre à la jonction prothétique-et-début de la portion trans-épithélial.
Le contour sous gingivale de la portion transmuqueuse n'est pas nettoyable...si foulage alimentaire dans cette portion, les dégats se feront de facon exponentielle.

La pose de pilier anatomique améliore-t-elle la situation?
Si épaisseur gingivale est de 3mm, la portion buccal ne peut pas être entretenue jusqu'a cette profondeur...

La pose de pilier trans-muqueux de faible diamètre (switch plattform) ne rend-t-il pas le compte bactérien inférieur en sous-gingivale étant donné la surface disponible moindre pour ceux-ci??

La carie est à la dent, ce que la portion trans épithélial est à l'implant...

Quand perte d'os de plus du tiers des spires= perte sévère sans solution autre que la dépose.

Si perte moindre... nettoyage-désinfection-polissage des spires-
est-ce qu'il existe des méthodes scientifiquements prouvées???

J'attends vos réponses, ceux plus expérimentés peuvent nous guidé


flicflac

24/12/2011 à 22h29

après 54 vues, toujours sans réponses... le diner est bien arrosé... bon réveillon


Rorschachwhite tx6rqr - Eugenol
Candide Candida

25/12/2011 à 02h16

C'est compliqué ..

CC.

Schema recapitulatif perte osseuse pfdd5a - Eugenol

flicflac

25/12/2011 à 02h33

C 1 début.
Biomécanique: atrophie de décharge???


Pépélaratiche

25/12/2011 à 07h36

La perte osseuse autour des implants est un truc qui m a fait chier pdt des années aussi...

Qd on a peu d os on a une muquese fine de mauvaise qualité...
On nous disait qu il fallait greffer du conjonctif pour tenter de récupérer non pas une muquese mais de la gencive attachée...
Certes...alors vous vous lancez à corps perdu ds les prélèvements de conjonctifs à distance ( pas tjs indolores en post op ces fameux prélèvements )avec svt pour seul résultat une "réussite" mitigée car plus svt que de mesure vous avez une plus longue poche qu autre chose
Jusqu au jour où j ai rencotré un praticien qui m a dit : "Epaissis SYSTEMATIQUEMENT ton mur osseux vestibulaire car tu vas non seulement récupérer de l os mais en cadeau tu recevras un gros paquet de gencive attachée et protectrice"

En fait un mur vestbibulaire trop fin ( même si ton implant est bien dedans lors de la pose ) va souffrir sur le plan mécanique à terme car il reste trop peu de place pour laisser cet os se nourrir de proche en proche donc trop eu de place pour laisser passer aussi le vasculaire

Depuis que j épaissis systématiquement mes murs vesibulaires, les patients ont une gencive attachée péaisse ferme et savent entretenir sans se faire mal

Joyeux Noël de la part de Pp


PS Et de fait épaissir préventivement est bcp plus facile que d attendre la survenue des ennuis et de tenter la correction a posteriori ;-)


flicflac

25/12/2011 à 10h47

Pépélaratiche, tu épaissis avec l'os de forage ou..., tu mets une membrane...avec vis de couverture ou pilier de guérison...
merci Pépé et joyeux Noel


Pépélaratiche

25/12/2011 à 12h25

flicflac écrivait:
------------------
> Pépélaratiche, tu épaissis avec l'os de forage ou..., tu mets une
> membrane...avec vis de couverture ou pilier de guérison...
> merci Pépé et joyeux Noel


Je ne te parle pas d épaissir un peu avec de l os de forage mais d épaissir massivement avec un matériau de comblement auquel bien sûr tu peu mélanger ton os de forage qui contient des messagers très intéressant

En mourant les cellules ossseuses que tu as coupées lors de ton forage vont larguer des BPM et assurer la présence de collagène qui sont les deux plus puissants stimulatreus de l ossification

Je pose des PRFs et repuis peu des membranes de collagène pour augmenter ma source de collagène disponible sur place pour aider le biomatériau à ossifier.

Il faut un biomat qui est un mélange deux produits : un à résorption rapide qui va recruter rapidement les ostéoblates et un à résorption lente qui va te maintenir le volume le tps que tout devienne de l os

Perso NANOBONE depuis plusieurs années avec très très grande satisfaction

Joyeux Noël à toi aussi

Pp


Blason dql7mj - Eugenol
growler

25/12/2011 à 13h24

allez, cadeau:



1. Brägger U, Häfeli U, Huber B, Hämmerle CH, Lang NP. Evaluation of postsurgical crestal bone levels adjacent to non-submerged dental implants. Clin Oral Implants Res 1988 Aug;9(4):218-24.

2. Tarnow DP, Magner AW, Fletcher P. The effect of the distance from the contact point to the crest of bone on the presence or absence of the interproximal dental papilla. J Periodontol 1992;63:995-996.

3. Tarnow DP, Cho SC, Wallace SS. The effect of inter-implant distance on the height of inter-implant bone crest. J Periodontol 2000;71:546-549.

4. Tarnow D, Elian N, Fletcher P, Froum S, Magner A, Cho SC et al. Vertial distance from the crest of bone to the height of the interproximal papillla between adjacent implants. J Periodontol 2003;74:1785-1788.

5. Choquet V, Hermans M, Adrianenssens P, Daelemans P, Tarnow DP, Malevez C. Clinical and radiographic evaluation of the papilla level adjacent to single-tooth dental implants. A retrospective study in the maxillary anterior region. J Periodontol 2001;72:1364-1371.

6. Davarpanah M, Szmukler-Moncler S, Khoury PM. Le concept de platform-switching et ses implications. Implant 2008;14(3):185-198.

7. Leonardo MR, Borges AT, Martins-Junior W, de Queiroz AM, Assed S. Vertical alveolar crest bone maintenance around implants in two-stage surgery: an in situ study in dogs. Braz Dent J. 2008;19(2):103-8.

8. Sarment DP, Meraw SJ. Biological space adaptation to implant dimensions. Int J Oral Maxillofac Implants. 2008 Jan-Feb;23(1):99-104.

9. Cappiello M, Luongo R, Di Iorio D, Bugea C, Cocchetto R, Celletti R. Evaluation of peri-implant bone loss around platform-switched implants. Int J Periodontics Restorative Dent. 2008 Aug;28(4):347-55.

10. Weng D, Nagata MJ, Bell M, Bosco AF, de Melo LG, Richter EJ. Influence of microgap location and configuration on the periimplant bone morphology in submerged implants. An experimental study in dogs. Clin Oral Implants Res. 2008 Nov;19(11):1141-7.

11. Quirynen M, van Steenberghe D. Bacterial colonization of the internal part of two-stage implants. An in vivo study. Clin Oral Implants Res. 1993;4:158-161.

12. Persson LG, Lekholm U, Leonhardt A, Dahlen G, Lindhe J. Bacterial colonization on internal surfaces of Branemark system implant components. Clin Oral Implants Res. 1996;7:90-95.

13. Davarpanah M, Szmukler-Moncler S, Molloy S, Jakubowicz-Kohen B, Caraman M, Khoury PM et al. Théorie et pratique de la mise en charge immédiate. Paris : Quintessence International, 2007.


14. Broggini N, McManus LM, Hermann JS, Medina R, Schenk RK, Buser D, Cochran DL. Peri-implant inflammation defined by the implant-abutment interface. J Dent Res. 2006 May;85(5):473-8.

15. Wallace SS. Significance of the biologic width, with respect to root-form implants. Dent Implantol Update 1994;5:25-29.

16. Lazzara RJ, Porter SS. Platform switching: a new concept in implant dentistry for controlling postrestorative crestal bone levels. Int J Periodontics Restorative Dent 2006;26:9-17.

17. Zipprich, Holger / Weigl, Paul / Lange, Bodo / Lauer, Hans-Christoph. Erfassung, Ursachen und Folgen von Mikrobewegungen am Implantat-Abutment-Interface. Implantologie 15 (2007), Nr. 1, Seite 31-46.

18. Quek HC, Tan KB, Nicholls JI. Load fatigue performance of four implant-abutment interface designs: effect of torque level and implant system. Int J Oral Maxillofac Implants. 2008 Mar-Apr;23(2):253-62.

19. King GN, Hermann JS, Schoolfield JD, Buser D, Cochran DL. Influence of the size of the microgap on crestal bone levels in non-submerged dental implants: a radiographic study in the canine mandible. J Periodontol. 2002 Oct;73(10):1111-7.

20. Broggini N, McManus LM, Hermann JS, Medina RU, Oates TW, Schenk RK, Buser D, Mellonig JT, Cochran DL. Persistent acute inflammation at the implant-abutment interface. J Dent Res. 2003 Mar;82(3):232-7.

21. He FM, Liu L, Zhang K, Chen S, Hu JA. Histological observation of the interface of oral epithelium and titanium implant with titanium dioxide on the surface. Zhejiang Da Xue Xue Bao Yi Xue Ban. 2002 Aug;31(6):444-447.

22. Abrahamsson I, Berglundh T, Lindhe J. The mucosal barrier following abutment dis/reconnection. An experimental study in dogs. J Clin Periodontol. 1997 Aug;24(8):568-72.

23. Welander M. Abrahamsson I, Berglundh T. The mucosal barrier at implant abutments of different materials. Clin Oral Implants Res. 2008 Jul;19(7):635-41. Epub 2008 May 19.

24. Cappiello M, Luongo R, Di Iorio D, Bugea C, Cocchetto R, Celletti R. Evaluation of peri-implant bone loss around platform-switched implants. Int J Periodontics Restorative Dent. 2008 Aug;28(4):347-55.

25. Hürzeler M, Fickl S, Zuhr O, Wachtel HC. Peri-implant bone level around implants with platform-switched abutments: preliminary data from a prospective study. J Oral Maxillofac Surg. 2007 Jul;65(7 Suppl 1):33-9.

26. Schrotenboer J, Tsao YP, Kinariwala V, Wang HL. Effect of microthreads and platform switching on crestal bone stress levels: a finite element analysis. J Periodontol. 2008 Nov;79(11):2166-72.

27. Herman et al. Journal of Periodontology. 2006;71:1412-24.

28. Abrahamsson I, Berglundh T. Tissue characteristics at microthreaded implants: an experimental study in dogs. Clin Implant Dent Relat Res. 2006;8(3):107-13.

29. Lee DW, Choi YS, Park KH, Kim CS, Moon IS. Effect of microthread on the maintenance of marginal bone level: a 3-year prospective study. Clin Oral Implants Res. 2007 Aug;18(4):465-70. Epub 2007 Apr 18.

30. Schrotenboer J, Tsao YP, Kinariwala V, Wang HL. Effect of microthreads and platform switching on crestal bone stress levels: a finite element analysis. J Periodontol. 2008 Nov;79(11):2166-72.

31. Akça K, Cehreli MC. A photoelastic and strain-gauge analysis of interface force transmission of internal-cone implants. Int J Periodontics Restorative Dent. 2008 Aug;28(4):391-9.

32. Duyck J, Ronold HJ, Van Oosterwyck H, Naert I, Vander Sloten J, Ellingsen JE. The influence of static and dynamic loading on marginal bone reactions around osseointegrated implants: an animal experimental study. Clin Oral Implants Res. 2001 Jun;12(3):207-18.

33. Brink J, Meraw SJ, Sarment DP. Influence of implant diameter on surrounding bone. Clin Oral Implants Res. 2007 Oct;18(5):563-8. Epub 2007 Jun 21.

34. Ding X, Liao SH, Zhu XH, Zhang XH, Zhang L. Effect of Diameter and Length on Stress Distribution of the Alveolar Crest around Immediate Loading Implants. Clin Implant Dent Relat Res. 2008 Sep 9.

35. Van Assche N, Collaert B, Coucke W, Quirynen M. Correlation between early perforation of cover screws and marginal bone loss: a retrospective study. J Clin Periodontol. 2008 Jan;35(1):76-9.

36. Jeong SM, Choi BH, Li J, Kim HS, Ko CY, Lee SH. Influence of abutment connections and plaque control on the initial healing of prematurely exposed implants: an experimental study in dogs. J Periodontol. 2008 Jun;79(6):1070-4.

37. Feuerstein O, Zeichner K, Imbari C, Ormianer Z, Samet N, Weiss EI. Temperature changes in dental implants following exposure to hot substances in an ex vivo model. Clin Oral Implants Res. 2008 Jun;19(6):629-33. Epub 2008 Mar 26.

il résulte de cette recherche que j'ai fait (et qui peut certainement être aisément complétée) que le succès des traitements implantaires est directement lié à la préservation du contact os-implant et à celui de l'os péri-implantaire. Différentes études ont montré que pour préserver l'os péri-implantaire, outre le contrôle de plaque, il fallait privilégier l'utilisation de connectiques stables mécaniquement et étanches (connexion conique par exemple), diminuer les forces dynamiques latérales excessives, augmenter le diamètre des implants tout en conservant suffisamment d'os autour des implants, déporter la jonction implant-pilier du rebord osseux péri-implantaire ( platform-switching ), éviter autant que possible le démontage des piliers entre la mise en fonction de l'implant et la pose prothétique et utiliser des matériaux de piliers favorables à l'établissement d'une attache épithélio-conjonctive par hémidesmosomes. La prise en compte de la notion de l'espace biologique dans le positionnement de l'implant est indispensable à la compréhension de phénomènes de remaniement osseux péri-implantaire qui influence le soutien des tissus mous et donc l'esthétique.


@+


flicflac

25/12/2011 à 14h12

déporter la jonction implant-pilier du rebord osseux péri-implantaire, alors pourquoi les implants one stage sont en perte de vitesse, la jonction est déporté de l'os encore plus qu'un platform swiching qui le fait de quelque fraction de mm. de plus la connectivité est top; il n'y en a pas...
merci growler pour tes pistes très intéressantes
joyeux Noel


Utilisateur banni

25/12/2011 à 14h20

growler écrivait:
-----------------
> allez, cadeau:

merci de ce cadeau


> il résulte de cette recherche que j'ai fait (et qui peut certainement aisément
> être complétée) que le succès des traitements implantaires est directement lié à
> la préservation du contact os-implant et à celui de l'os péri-implantaire.
> Différentes études ont montré que pour préserver l'os péri-implantaire, outre le
> contrôle de plaque, il fallait privilégier l'utilisation de connectiques stables
> mécaniquement ( connexion conique ), diminuer les forces dynamiques latérales

les images radio du travail mécanique de la connexion serait différentes dans une réhabilitation totale implanto-porté de celles présentées pour les unitaires.


> excessives, augmenter le diamètre des implants tout en conservant suffisamment
> d'os autour des implants, déporter la jonction implant-pilier du rebord osseux
> péri-implantaire ( platform-switching ), éviter autant que possible le démontage
> des piliers entre la mise en fonction de l'implant et la pose prothétique et
> utiliser des matériaux de piliers favorables à l'établissement d'une attache
> épithélio-conjonctive par hémidesmosomes.

c'est l'avantage de la mise en place des piliers définitif multi-unit en MCI



La prise en compte de la notion de
> l'espace biologique dans le positionnement de l'implant est indispensable à la
> compréhension de phénomènes de remaniement osseux péri-implantaire qui influence
> le soutien des tissus mous et donc l'esthétique.
>
>
> @+
>


Blason dql7mj - Eugenol
growler

25/12/2011 à 15h20

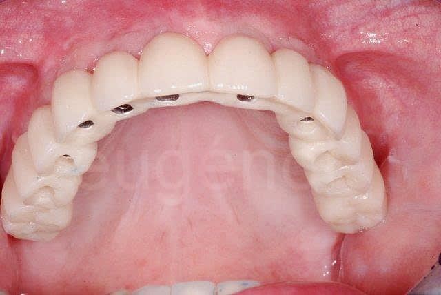
effectivement, j'aime bien les piliers multis sur les implants à connexion conique interne car une fois mis en place, on peut démonter la prothèse autant que souhaité sans compromettre l'adhésion des cellules épithéliales sur le pilier (par exemple pour adapter une prothèse provisoire au fil de la cicatrisation ou réaliser la maintenance d'une prothèse de long terme). Le souci c'est de choisir convenablement du premier coup le jour de la chirurgie la hauteur de pilier conique qui conviendra exactement à la hauteur des tissus en fin de cicatrisation et on peut aisément se retrouver avec un pilier trop enfoui comme pas assez, obligeant ainsi à démonter le pilier pour en mettre un autre (on perd ainsi le bénéfice de l'absence de démontage). je n'aime pas beaucoup lorsque la jonction prothèse-pilier en transvissée se trouve être trop infra-gingival. Je préfère qu'elle se situe très légèrement en infra-gingival voire en juxta.
J'apprécie particulièrment le fait que chez Dentium il existe aussi plusieurs diamètres de piliers "multi": 4.5 et 5.5 mm car bien souvent les marques proposent plusieurs hauteurs mais qu'un seul diamètre.
Dans le cas ci-dessous, on peut voir la cicatrisation à 3 mois post-op avec au moins un pilier multi trop sous-gingival à mon goût (ici pose des implants 3 mois après les extractions)

sinon l'impératif de base a été énoncé par PP:
une bonne épaisseur d'os autour de l'implant (des crêtes osseuses d'au moins 7 mm sont loin d'être systématiquement présentes).

Provisoire dhzgui - Eugenol
Cicat deuhnx - Eugenol

flicflac

25/12/2011 à 17h13

J'aime pas beaucoup les porta-faux aux maxillaires supérieures.Sous le temporaire, passage de soie avec enfileuse??
Quel sera le typre de prothèses finales: full zircone, céramo-métallique, en 2 morceaux ou 1 morceau??
Bravo pour l'angulation de tes multi-unit
Joyeux Noel


Fresh watermelon 640x562 udulqz - Eugenol
gulguch

25/12/2011 à 17h40

flicflac écrivait:
------------------
> déporter la jonction implant-pilier du rebord osseux péri-implantaire, alors
> pourquoi les implants one stage sont en perte de vitesse, la jonction est
> déporté de l'os encore plus qu'un platform swiching qui le fait de quelque
> fraction de mm.

... avec du 1 temps chir j'ai moins de perte primaire; on malmène moins la jonction épithéliale avec piliers, empreintes..


Smile beach jgh0a1 - Eugenol
Céramik

25/12/2011 à 17h55

Bravo Growler pour ce cas !
Superbe.

...
Céramik


albert

25/12/2011 à 19h08

Bravo et merci, on est dans du fiable et reproductible. Je préfère de beaucoup.


209209668 fh2mys - Eugenol
fredo667

27/12/2011 à 13h52

C'est bien, je trouve le débat élevé sur ce post qui pointe un vrai probleme qui nous touche tous.
C'est dommage que ce soit pendant les vacances, mais je pense que ça va encore rebondir longtemps.


flicflac

27/12/2011 à 19h05

Il ne faut pas oublier, à part quelques cas unitaire... on a à faire à des patients qui ont perdues des dents et l'hygiène n'est pas toujours au rendez-vous...
Les patients full édentés ont la .chance d'avoir une flore différentes...moins pathogène
En partiellement édenté, souvent besoin assainissement paro... et les implants ne sont pas dans un milieu optimum...
HYGIÈNE ET SUIVIt RAPPROCHÉ sont nécessaires.
importance du pilier trans-muqueux????
pou ce qui est de l'effet rebond... je vais essayer de m'en charger.
heureux temps des fêtes


flicflac

02/01/2012 à 19h23

Le switch platform avec connexion type astra (conique) vont-ils devenir des incontournables? Astratech proclame que la perte osseuse de plus de 0.3mm la première année est inacceptable.
Jusqu'où l'hygiène est-elle possible... je ne crois pas qu'il est possible pour le patient d'entretenir très sous gingivale au niveau de la portion trans-muqueuse... de plus on dit que la dépose trop fréquente de la portion transmuqueuse brise une certaine homéopathie....comme le disait Growler: l'établissement d'une attache épithélio-conjonctive par hémidesmosomes. Biohorizons on mit sur le marché un pilier transmuqueux avec le même principe que le collet de leur implant (laser lok) pour créer un attache..
http://www.biohorizons.com/documents/L02008.pdf


flicflac

07/01/2012 à 22h56

.,


Smile beach jgh0a1 - Eugenol
Céramik

08/01/2012 à 00h47

flicflac écrivait:
------------------
> .,

Oups....

--
Céramik


Blason dql7mj - Eugenol
growler

08/01/2012 à 09h47

moi ce que j'aimerais pouvoir disposer c'est d'un système qui permette l'élaboration pré-op d'un pilier multi sur mesure:
scan, réalisation virtuelle de la dent prothétique et du placement de l'implant, de cela on en tirerait un guide chirurgical et la réalisation d'un pilier multi (type atlantis par exemple) qui serait donc posé le jour de l'implantation. On réaliserait alors la prothèse en transvissé quand bon nous semblerait sans avoir jamais eu besoin de démonter le pilier. je rêve ?


Photo pluton1b h9n4ea - Eugenol
pluton

08/01/2012 à 10h03

growler écrivait:
-----------------
> moi ce que j'aimerais pouvoir disposer c'est d'un système qui permette
> l'élaboration pré-op d'un pilier multi sur mesure:
> scan, réalisation virtuelle de la dent prothétique et du placement de l'implant,
> de cela on en tirerait un guide chirurgical et la réalisation d'un pilier multi
> (type atlantis par exemple) qui serait donc posé le jour de l'implantation. On
> réaliserait alors la prothèse en transvissé quand bon nous semblerait sans avoir
> jamais eu besoin de démonter le pilier. je rêve ?

non, mais c'est impossible ou presque avec un système à vis...

parce que techniquement avec le beopenplan tu peux faire ta plannif avec montage des dents en tirer le guide chir et même concevoir ta prothèse provisoire
le seul truc, c'est qu'il faut: un implant n'ayant pas de limite d'enfouissement (en sur et sous crestal) et être libre au niveau positionnement du moignon ou du multiunit sur 360° pour palier aux erreurs de positionnement lors de la "transposition" du virtuel au réel (plannif vs chirurgie)

rassures toi, cet implant existe bien...et rien qu'avec les caractéristiques que je viens d'énoncer, y a drmarcus qui va rappliquer...;-)
mais tu sais aussi ce que j'en pense...on en avait (rapidement) parlé au téléphone....;-))


Logo m4n3gc - Eugenol
drmarcus

08/01/2012 à 10h38

growler écrivait:
-----------------
> moi ce que j'aimerais pouvoir disposer c'est d'un système qui permette
> l'élaboration pré-op d'un pilier multi sur mesure:
> scan, réalisation virtuelle de la dent prothétique et du placement de l'implant,
> de cela on en tirerait un guide chirurgical et la réalisation d'un pilier multi
> (type atlantis par exemple) qui serait donc posé le jour de l'implantation. On
> réaliserait alors la prothèse en transvissé quand bon nous semblerait sans avoir
> jamais eu besoin de démonter le pilier. je rêve ?

Bien non ne rêves pas! Pluton sait qu'il existe, mais j'aimerais bien savoir ce qu'il en pense :-))))?????
Après il faut un temps d'adaptation pour maitriser toutes les subtilités ou astuces.
Par ailleurs j'apprécierai beaucoup de voir l'utilisation que vous pourriez en faire avec des yeux nouveaux. Je suis sur que bcp de choses comme ton reve sont encore possibles.
J'ai une idée à ce sujet d'ailleurs mais il me manque l'essentiel: le cas clinique!


--
"La vis est à l'implant ce que la carie est à la dent!" (Pozzi)


Photo pluton1b h9n4ea - Eugenol
pluton

08/01/2012 à 12h05

au niveau chir, pour l'instant que du bien...;-)
mes assistantes le "surnomme" le MD10....(le Moins de Dix minutes)
pour la prothèse, c'est encore trop tôt pour te le dire, on verra dans quelques mois...mais j'en ai déjà posé 5 et sincèrement c'est très sympa...;-)
pour vous montrer le "rêve" de growler...moi ce qui me manque...c'est l'imprimante...mais je pense que dans l'année....;-))


Logo m4n3gc - Eugenol
drmarcus

08/01/2012 à 14h23

pluton écrivait:
----------------
> au niveau chir, pour l'instant que du bien...;-)
> mes assistantes le "surnomme" le MD10....(le Moins de Dix minutes)
> pour la prothèse, c'est encore trop tôt pour te le dire, on verra dans quelques
> mois...mais j'en ai déjà posé 5 et sincèrement c'est très sympa...;-)
> pour vous montrer le "rêve" de growler...moi ce qui me manque...c'est
> l'imprimante...mais je pense que dans l'année....;-))

Je te laisse faire alors... mais iconographie bien (comme d'habitude :-))) ) Je pense à autre chose, reproductible et facile comme le système!
Pour 2 implants une dent à un an de recul c'est trop top je vais reproduire et publier le cas maintenant!
Perso quand cela ne concerne au maxi qu'une hemimandibule on apelle ça les implants express.

--
"La vis est à l'implant ce que la carie est à la dent!" (Pozzi)