Cookie Consent byPrivacyPolicies.comnouveaux implants Anthogyr : AXIOM PX - Eugenol

nouveaux implants Anthogyr : AXIOM PX

3f3boxni50k58rq7e9ce9ddqrxgk - Eugenol
dentiste57

06/01/2012 à 15h12

voici le dernier né de la gamme Axiom d'Anthogyr.
il est commercialisé depuis le premier janvier de cette année sauf pour ceux qui ont effectué les essaies cliniques (j'en faisais pas partie--snif!), ceux là pouvaient le commander avant.

les plus:
il a un corps conique et des spires beaucoup plus agressives pour augmenter la stabilité primaire.
son diamètre au niveau du col est légèrement réduit ce qui limite la compression crestal.
on conserve exactement la même connectique que son grand frère l'Axiom REG donc aucun changement pour la prothèse et bien entendu on conserve aussi le platform switching.

le moins:
à éviter sur les os de type D1

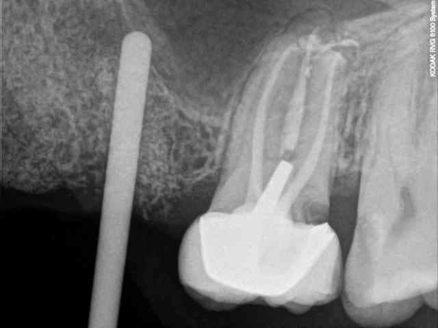
le cas que je vous présente date d'hier, il n'a rien d'extraordinaire, alors soyez indulgents, c'était juste pour le plaisir de partager ça avec vous.

Dsc 3124 o770pg - Eugenol
Dsc 3125 n6cbac - Eugenol
Dsc 3129 yumnw9 - Eugenol
Dsc 3132 ucpbew - Eugenol
Dsc 3136 eiwlit - Eugenol
Dsc 3139 bvofye - Eugenol
Dsc 3141 yvf5mt - Eugenol
Dsc 4211 cgpytz - Eugenol
Dsc 4212 xoxdky - Eugenol
Dsc 4214 gesujq - Eugenol

3f3boxni50k58rq7e9ce9ddqrxgk - Eugenol
dentiste57

06/01/2012 à 15h24

la suite...

je posterai les commentaires des photos plus tard, là, faut que j'aille bosser...

1- la nouvelle boite
2- foret pointeur (génial comme outil, bien mieux que la fraise boule)
3- ostéotomie-condensation
4- le nouveau foret diam 2-2.4
5- axiom PX
6- vis de cica avec les repères de hauteur
7-8-9-10-11- les radios

merci

Dsc 4217 horkhr - Eugenol
Dsc 4218 gwn0sd - Eugenol
Dsc 4219 uqfzi2 - Eugenol
Dsc 4224 dukim2 - Eugenol
Dsc 4229 zyzvss - Eugenol
Dsc 4231 pjh7u7 - Eugenol
R6 fecajx - Eugenol
R7 snvttn - Eugenol
R9 ngcw1u - Eugenol
R10 lzb6ik - Eugenol
R15 tmuqly - Eugenol

laurent 02

06/01/2012 à 16h14

Bravo!
Interêt de l'axiom PX / axiom normal dans ce cas? C'était pour essayer? Et alors la différence: plus facile ou mieux ou ...


Blason dql7mj - Eugenol
growler

06/01/2012 à 19h44

impec! la trousse permet ausi de poser les axiom classique ?

easy implant adopte le même concept avec le nouveau master C (la connexion est compatible astra et la trousse inchangée):
http://www.easyimplant.com/fre_FR/catalogue-produits?module=catalogue&action=produits.listing&&id_gam=499&id_ctg=153


3f3boxni50k58rq7e9ce9ddqrxgk - Eugenol
dentiste57

06/01/2012 à 21h33

laurent 02 écrivait:
--------------------
> Bravo!
> Interêt de l'axiom PX / axiom normal dans ce cas? C'était pour essayer? Et alors
> la différence: plus facile ou mieux ou ...

l’intérêt est surtout lié à la stabilité primaire puisque c'est un implant plus spécifiquement dédié aux MCI.

ici, tu l'as compris, ce n'est pas vraiment nécessaire excepté pour la 2 ième prémolaire où l'extraction est très récente (2 mois à peine) et où l'alvéole à été comblée par un biomatériaux.


pour growly;
oui, la boite chir est utilisable aussi bien avec les axiom REGular que PX. donc, pour ceux qui voudraient acheter un boite chir en Axiom, il vaut mieux s'acheter celle ci.


Photo pluton1b h9n4ea - Eugenol
pluton

06/01/2012 à 23h20

joli D57...;-)

une toute petite interrogation quand même...tu dis que le diamètre au col a été légèrement réduit pour limiter la compression, bien...sauf que çà affine celui-ci...quid des tests de résistance mécanique qui étaient l'un des points forts du système axiom...?


aldo74

06/01/2012 à 23h28

très propre,
gaffe quand même sous la couronne en distal.


Smile beach jgh0a1 - Eugenol
Céramik

06/01/2012 à 23h42

Joli , même les photos sont ok !

Ah oui, gaffe avec la 26, gros bobo en distal.




--
Céramik


3f3boxni50k58rq7e9ce9ddqrxgk - Eugenol
dentiste57

07/01/2012 à 00h11

la 26 oui, j'ai vu . mais aussi la 27 en mésiale...

ah oui!
j'allais oublier! ils ont ajouter 2 longueurs supplémentaire à la gamme qui n'allait que jusqu'à 14mm. maintenant on peut avoir des 16 et 18 mm.
c'est pratique pour les implants que l'on place en biais le long des sinus.


flicflac

07/01/2012 à 04h00

C'est une copie de l'active de Nobel, avec double spire.
La macro morphologie du col me semble ordinaire à comparé à Laser-lok ou microsprire...style Astra et autres


Photo pluton1b h9n4ea - Eugenol
pluton

07/01/2012 à 08h37

flicflac écrivait:
------------------
> C'est une copie de l'active de Nobel, avec double spire.
> La macro morphologie du col me semble ordinaire à comparé à Laser-lok ou
> microsprire...style Astra et autres

hein???
mdr...par analogie, oui de toutes façons c'est un clou...PTR....;-)))
la forme, les spires, la conicité de l'implant est différente, de même que la connexion, l'état de surface, etc...
donc ce sont...2 implants différents...mais comme ils ont la même fonction...ils ont forcément quelques similitudes...quelques vagues ressemblances...


flicflac

07/01/2012 à 18h52

Il s'agit de 2 connections conique?
Pluton mdr veut dire quoi?
est-ce que tu connais d'autres implants à double spires?


Fresh watermelon 640x562 udulqz - Eugenol
gulguch

07/01/2012 à 19h32

pluton, réponds lui des tas, Mis, AlphaBio, plein d'autres.


Smile beach jgh0a1 - Eugenol
Céramik

07/01/2012 à 19h51

mdr
Mort De Rire

ah ces Québécois, faut toujours tout expliquer...

--
Céramik


3f3boxni50k58rq7e9ce9ddqrxgk - Eugenol
dentiste57

07/01/2012 à 20h04

vous dites comment alors chez vous ?


Photo pluton1b h9n4ea - Eugenol
pluton

07/01/2012 à 22h08

gulguch écrivait:
-----------------
> pluton, réponds lui des tas, Mis, AlphaBio, plein d'autres.
oui entre autres et sans trop chercher loin, y a aussi drive, tekka, Implant Direct, dentium, keystone, bioteck, etc...
à ma connaissance 1 seul avec triple spire: zimmer screwvent (tapered ou non)...NB, les autres implants de chez zimmer sont en double spire aussi (les one piece, le swissplus)
bref, y a foule en double spire...

pour la connexion: totalement différente même si conique...Leone c'est aussi conique, mais çà n'a là non plus rien à voir...;-)

tu mélanges tout flicflac...

merde, quand j'y songe, je suis en train de devenir une vraie encyclopédie des implants...j'ai même pas eu à réfléchir plus de 3 sec pour vous sortir çà...;-)


flicflac

07/01/2012 à 22h41

je suis tout mélangé, en effet, j'essais de me dé-mélanger.
En Europe la diversité implantaire est de loin beaucoup plus
diversifié. Ici il y a Nobel en perte de vitesse , Astratech en hausse, Straumann stagne, Biohorizons en hausse, Zimmer en baisse, 3I stagne, Bicon?? ,Mis, Ankyloss et Implant direct que j'oubliais sûrement en croissance exponentielle


Smile beach jgh0a1 - Eugenol
Céramik

08/01/2012 à 00h46

flicflac écrivait:
------------------
> je suis tout mélangé, en effet, j'essais de me dé-mélanger.
> En Europe la diversité implantaire est de loin beaucoup plus
> diversifié. Ici il y a Nobel en perte de vitesse , Astratech en hausse,
> Straumann stagne, Biohorizons en hausse, Zimmer en baisse, 3I stagne, Bicon??
> ,Mis, Ankyloss et Implant direct que j'oubliais sûrement en croissance
> exponentielle
>

Attend de voir débarquer les implants coréen...ou bien du Brésil, etc...
Il y a des centaines de marque d'implants.

Je cherche un implant avec la connection Astra, mais avec des spires plus aggressives, et disponible chez moi....




--
Céramik


Fresh watermelon 640x562 udulqz - Eugenol
gulguch

08/01/2012 à 01h20

Céramik écrivait:
-----------------
> Je cherche un implant avec la connection Astra, mais avec des spires plus
> aggressives, et disponible chez moi....
>
>
>
>
> --
> Céramik

Dentium.


Photo pluton1b h9n4ea - Eugenol
pluton

08/01/2012 à 01h24

sauf que je suis pas sûr que dentium soit dispo chez lui...ni même eurotecknika...et encore moins easy...


Smile beach jgh0a1 - Eugenol
Céramik

08/01/2012 à 03h32

pluton écrivait:
----------------
> sauf que je suis pas sûr que dentium soit dispo chez lui...ni même
> eurotecknika...et encore moins easy...

non, non, et non...
Dentium est aux USA, Antogyr veux tenter le coup (peut-être), mais rien du tout au Canada...

Pffft et dire que des cd français veulent venir bosser dans mon coin, c'est le désert en implanto, marché trop petit...pas de choix, et tarif (sauf ID) super cher...400$ pour un Astra (sans ristourne)...sauf que là, ils sont en train de me faire un prix....à voir...

Je dois donc poser du simple Bio-Horizon...ou depuis décembre des Astra en zone antérieur...pauvre patients, doivent payer plus...mais ils ont au moins des Céramik au final....
;-)))))

Bon, c'est pas très sérieux les amis, "chill", on est samedi !

Cioa






--
Céramik


Blason dql7mj - Eugenol
growler

08/01/2012 à 09h20

Céramik écrivait:
-----------------


> Cioa

ça y est, Céramik nous parle en italo-iroquois :))


Grueavatar nptrc9 - Eugenol
Le Choixpeau magique

08/01/2012 à 09h49

Céramik écrivait:
-----------------
> Pffft et dire que des cd français veulent venir bosser dans mon coin, c'est le
> désert en implanto, marché trop petit...

Y a combien de dentistes au Canada ?

>pas de choix, et tarif (sauf ID) super
> cher...400$ pour un Astra (sans ristourne)...

Chez nous c'est à peu près le même prix. Si tu parles en dollars US, 400US$=315 euros, je crois que l'Astra est à 330 euros (en dollars canadien ça fait 306 euros, encore mieux).

> pauvre patients, doivent payer plus...mais ils ont au moins des
> Céramik au final....

Justement tu fais comme comme restauration en général sur implant ?


Rorschachwhite tx6rqr - Eugenol
Candide Candida

08/01/2012 à 15h13

pluton écrivait:
----------------
> sauf que je suis pas sûr que dentium soit dispo chez lui...ni même
> eurotecknika...et encore moins easy...

Non seulement Dentium est aus US mais installe des usines de production aux US ...

Tu demandes et tu commandes des Superline Made in USA au lieu de Made in Korea, pour les frileux des tinois-qui-nous-empoisonnent ;-)

Par contre Straumann installe ses unités de production au Maroc ^^

CC.


Photo pluton1b h9n4ea - Eugenol
pluton

08/01/2012 à 17h16

sauf que les usa c'est pas le canada et qu'ils ont peut être pas la possibilité de les importer...