Cookie Consent byPrivacyPolicies.comnouveaux implants Anthogyr : AXIOM PX - Eugenol

nouveaux implants Anthogyr : AXIOM PX

zircone

09/01/2012 à 22h39

Bonjour ,

Belle réalisation
Sur le cas de l'incisive centrale , quel diamètre as-tu utilisé ?
J' ai l'impression qu'il s'agit d'un implant de 4 mm de diametre ; pourquoi de choix ?
Ne pouvais-tu pas poser du 4,6 ?


Photo pluton1b h9n4ea - Eugenol
pluton

09/01/2012 à 22h50

ce choix ne me choque pas...après tout 4 ou 4.6mm c'est vrai que çà change pas beaucoup...si ce n'est qu'avec le 4mm tu laisses d'avantage d'espace biologique pour la rog...amha c'est mieux pour la cicat et le résultat plus prévisible...


209209668 fh2mys - Eugenol
fredo667

10/01/2012 à 00h05

flicflac écrivait:
------------------
> C'est une copie de l'active de Nobel, avec double spire.

Faux, et ce après avoir entendu cet argument de la part d'une commerciale anthogyr, je suis donc allé demander confirmation à la source, la maison mère Anthogyr, par laquelle je passait justement.
Le principe fondamental de l'active est que tu peux le rentrer, le sortir, changer d'axe et ce jusqu'à 5 fois. Pourquoi? Parce qu'il y a deux partie travaillante, à la fois en vissage et, ce qui est original, au dévissage.
Son couple d'insertion maximal est de 70 N.cm2.

Pour ce qui est du Px , tu as une seul partie coupante : au vissage. Tu dois donc l'utiliser dans l'axe de ta préparation de foret. Il possède une super accroche donc super dans les os D3 et D4.

> La macro morphologie du col me semble ordinaire à comparé à Laser-lok ou
> microsprire...style Astra et autres

oui, ainsi que in-kone de tekka.


sinclair

10/01/2012 à 01h13

Céramik écrivait:
-----------------
>
>
> Le Superline n'est pas plus mordant que le Astra ?
> Alors mes espoirs sont décimés...
>

Salut ceramik

pour avoir pose de l'astra une vingtaine, et du dentium au quotidien...je te confirme que le SUPERLINE a beaucoup plus d'accroche que l'astra
Même si il y a un point commun a ces 2 systèmes qui les opposent aux systèmes a larges spires en particulier en cas de EII, L'implant ne tient pas par son apex mais par son corps et surtout son col qui est conique
D'ou l'intérêt d'avoir plusieurs diamètres disponibles (6 pour dentium )



Smile beach jgh0a1 - Eugenol
Céramik

10/01/2012 à 02h16

dentiste57 écrivait:
--------------------
> avant d'envoyer le patient passer son cone-beam je n'étais pas convaincu que il
> y avait un kyste. comme quoi!


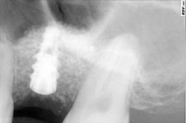
Sur la retro, on voit bien un manque de densité...

Je trouve ton 4 mm un peu petit...vu le manque d'os et le comblememt assez important...
J'aurais placer un 4.5 mm , mais bon.

C'est quoi le Bios collagène ?



--
Céramik

Axiom chpsed - Eugenol

Smile beach jgh0a1 - Eugenol
Céramik

10/01/2012 à 02h42

dentiste57 écrivait:
--------------------
> 9 radio post op
>

Tout d'abord, merci pour le partage de ton cas, très sympa, et bien fait.

Sur la radio post-op, j'ai dessiné la région où tu aggripes en apical (bleu), la zonne comblée (jaune) et le niveau osseux (vert).

Questions
1-Tu trouves que tu as assez de prise dans l'os pour une MCI ?
2-La zone comblée est large non ?
3-Tu n'as pas un peu trop enfoui l'implant ?

Je suis moins MCI que toi, j'aurais placé plus large, et si possible un bridge collé (pas facile avec le diastème par contre).

A+


--
Céramik

Axiom 2 xqzmyn - Eugenol

3f3boxni50k58rq7e9ce9ddqrxgk - Eugenol
dentiste57

10/01/2012 à 21h30

Céramik écrivait:
-----------------

> Sur la radio post-op, j'ai dessiné la région où tu aggripes en apical (bleu), la
> zonne comblée (jaune) et le niveau osseux (vert).
>
> Questions
> 1-Tu trouves que tu as assez de prise dans l'os pour une MCI ?

he bien non! enfin... SI !!
en fait, quand j'ai commencé à forer avec le 2.4, je me suis vite aperçu que l'ancrage serait très faible (environ 5mm) puis en forant avec le foret 3.4, le diamètre s'élargissant, j'ai eu un doute.
il faut savoir qu'avec les nouveaux implant PX il faut sous-forer.;
-pour un implant diamètre 3.4 on fore à 2.4
-pour un implant diamètre 4 on fore à 3.4

en ayant foré à 3.4, j'avais donc deux choix possible:
soit poser un AXIOM REG de diamètre 3.4mm
soit poser un AXIOM PX de diamètre 4 mm.

c'est sympa d'ailleurs d'avoir le choix pour un même forage
j'ai donc commencé à poser le PX de diam 4 en me disant que si je ne le sentais pas, je laisserai l'implant en nourrice après avoir fait un lambeau pédiculé de recouvrement sur le site d'intervention.
à ma grande surprise,l'implant à bloqué à 50n.cm avant d'être à la bonne profondeur. j'ai donc fini à la clée et du coup... fais la mise en esthétique.
résultat, cet implant est top pour les MCI!

> 2-La zone comblée est large non ?

que veux tu dire ?dans le sens mésio-distal ou vestibulo-palatin ?

> 3-Tu n'as pas un peu trop enfoui l'implant ?

étant donné la destruction osseuse vestibulaire et surtout le niveau du collet des dents proximales (visible sur la radio où on voit la sonde), je pense être à la bonne profondeur.
wait and see!
>
> Je suis moins MCI que toi, j'aurais placé plus large, et si possible un bridge
> collé (pas facile avec le diastème par contre).

effectivement, c'est toujours délicat de traiter une incisive centrale quand il y a un diastème. hormis un partiel en résine, je ne vois pas quoi faire.


Smile beach jgh0a1 - Eugenol
Céramik

11/01/2012 à 03h53

dentiste57 écrivait:
--------------------
>> en ayant foré à 3.4, j'avais donc deux choix possible:
> soit poser un AXIOM REG de diamètre 3.4mm
> soit poser un AXIOM PX de diamètre 4 mm.
>


Pourquoi pas plus large que 4mm ?



> > 2-La zone comblée est large non ?
>
> que veux tu dire ?dans le sens mésio-distal ou vestibulo-palatin ?

Dans les 2, mais surtout MD, vue la lésion



> > 3-Tu n'as pas un peu trop enfoui l'implant ?
>
> étant donné la destruction osseuse vestibulaire et surtout le niveau du collet des dents proximales (visible sur la radio où on voit la sonde), je pense être à la bonne profondeur.
> wait and see!
> >


Si destruction vestibulaire te force à poser plus profond, c'est pa mieux de faire une rog et de ne pas placer trop apical ? Enfin, difficile à voir avec seulement des radio .


> effectivement, c'est toujours délicat de traiter une incisive centrale quand il
> y a un diastème. hormis un partiel en résine, je ne vois pas quoi faire.

Ben tu laisses un trou...
;-)


--
Céramik


Fouilla h6plsy - Eugenol
fouilla

11/01/2012 à 11h17

ya ça aussi ailette collée coulée par le prothésiste avec un bord passant près de la papille rétroincisive pour laisser le diastème
désolé pour la qualité du dessin


--
.

Ailette ows0ga - Eugenol

3f3boxni50k58rq7e9ce9ddqrxgk - Eugenol
dentiste57

11/01/2012 à 13h28

à moins de ne pas avoir de contacts avec les antagonistes, fais tu systématiquement une logette au niveau palatin ?


Smile beach jgh0a1 - Eugenol
Céramik

11/01/2012 à 13h47

dentiste57 écrivait:
--------------------
> à moins de ne pas avoir de contacts avec les antagonistes, fais tu
> systématiquement une logette au niveau palatin ?

Cela dépend de l'occlusion...
J'avais la même idée, mais sans plus d'info sur l'occlusion, difficile de savoir.

--
Céramik


Fouilla h6plsy - Eugenol
fouilla

11/01/2012 à 16h52

il est assez rare d'avoir toute la face palatin en occlusion donc tu peux déplacer ton ailette ou bon te semble à mon sens la seule contre indication (dans ce cas de réalisation de diastème) serait une supra+++ avec morsure palatine mais depuis que je "colle" je me suis toujours arrangé pour trouver une soluce donc non JAMAIS de logette en palatin



--
.


Humator t9r5wy - Eugenol
humator

12/01/2012 à 16h50

Et tous les fabricant y vont de leur implant spécial os tendre.
j'ai eu l'occasion d'essayer aujourd'hui le Master C d'easy implant, dans un cas adéquat: un sinus.
très bonne sensation au vissage, bon grip. Je vais tester prochainement le PX...

--
N.Hum

Le master c ghe8cb - Eugenol
Pose implant wzyx5t - Eugenol

l adan

13/01/2012 à 13h34

dentiste57 écrivait:
--------------------
> voici le dernier né de la gamme Axiom d'Anthogyr.
> il est commercialisé depuis le premier janvier de cette année sauf pour ceux qui
> ont effectué les essaies cliniques (j'en faisais pas partie--snif!), ceux là
> pouvaient le commander avant.
>
> les plus:
> il a un corps conique et des spires beaucoup plus agressives pour augmenter la
> stabilité primaire.
> son diamètre au niveau du col est légèrement réduit ce qui limite la compression
> crestal.
> on conserve exactement la même connectique que son grand frère l'Axiom REG donc
> aucun changement pour la prothèse et bien entendu on conserve aussi le platform
> switching.
>
> le moins:
> à éviter sur les os de type D1
>
> le cas que je vous présente date d'hier, il n'a rien d'extraordinaire, alors
> soyez indulgents, c'était juste pour le plaisir de partager ça avec vous.
>


Juste une petite question pratique : pour détacher ton conjonctif pediculé utilises-tu du materiel particulier (bistouri,...) ou quel conseil ou coup de main donnerais tu car depuis mulhouse , j'ai essayé 3 ou 4 fois sans grand succes : je n'arrive pas à faire l'incision dans la partie haute palatine du conjonctif soit je perce , soit je ramene une espèce de bouillie de conjonctif ou un morceau ridiculement petit


3f3boxni50k58rq7e9ce9ddqrxgk - Eugenol
dentiste57

16/01/2012 à 20h44

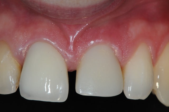
voici des news du deuxième cas clinique.

nous sommes à j+7

je pense que la gencive devrait encore remonter dans les 3 prochains mois...

Dsc 4363 krzdrr - Eugenol
Dsc 4360 jdgw1p - Eugenol

Smile beach jgh0a1 - Eugenol
Céramik

17/01/2012 à 02h10

dentiste57 écrivait:
--------------------
> voici des news du deuxième cas clinique.
>
> nous sommes à j+7
>
> je pense que la gencive devrait encore remonter dans les 3 prochains mois...

J+7 ?
Super beau !

--
Céramik


Mario ycg44a - Eugenol
Mario180

24/05/2012 à 17h32

up : d57, t'as des photos de la suite ?


3f3boxni50k58rq7e9ce9ddqrxgk - Eugenol
dentiste57

25/05/2012 à 04h18

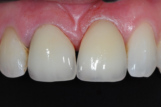
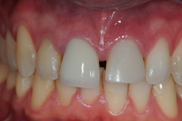
les couronne ont été posées hier justement!
je poste ça dès demain matin.
suis pas trop satisfait du résultat car le patient voulait fermer les espaces inter incisifs et cela donne un aspect "pelle à tarte"


S2y2o1v7q53ws4r5wy6ou8czrpom - Eugenol
pxav

25/05/2012 à 09h42

J'ai donc aussi essayé le PX...
Os D3/D4, 6 implants posés tous en expansion condensation...sans aucun foret, même pas de foret initial, par contre pas de MCI, film au montage.
Mais très bonne sensation, et je pense bien étudié pour l'expansion car intervention de moins de deux heures tout compris, pour 6 implants avec bone splitting, c'est cool.

--
xbk
"Si tous ceux qui croient avoir raison n'avaient pas tort, la vérité ne serait pas loin" Dac Pierre


Mario ycg44a - Eugenol
Mario180

25/05/2012 à 10h48

dentiste57 écrivait:
--------------------
> les couronne ont été posées hier justement!
> je poste ça dès demain matin.
> suis pas trop satisfait du résultat car le patient voulait fermer les espaces
> inter incisifs et cela donne un aspect "pelle à tarte"

Il y en a certains, on voudraient bien leur en coller, justement des tartes... Mais bon c'est pas que chez nos patients ;-) Eux, finalement on les aime bien !


3f3boxni50k58rq7e9ce9ddqrxgk - Eugenol
dentiste57

25/05/2012 à 19h56

comme promis...

il faudra attendre un peu pour voir ce que ça donnera pour la gencive dans quelques mois. dommage que le patient ne voulait pas de conjonctif enfouie pour épaissir sa gencive.

Dsc 5490 wzrnos - Eugenol

Smile beach jgh0a1 - Eugenol
Céramik

26/05/2012 à 20h17

Joli
Tu as un radio finale ?
Merci

--
Céramik


Avatar ow44t3 - Eugenol
Chicot

26/05/2012 à 23h47

Céramik écrivait:
-----------------
> Joli
> Tu as un radio finale ?
> Merci
>
> --
> Céramik

t'es encore là toi ????


--
;O)


Smile beach jgh0a1 - Eugenol
Céramik

27/05/2012 à 01h13

Chicot écrivait:
----------------
> Céramik écrivait:
> -----------------
> > Joli
> > Tu as un radio finale ?
> > Merci
> >
> > --
> > Céramik
>
> t'es encore là toi ????
>
>
> --
> ;O)

Comme toi, moins souvent


--
Céramik