Cookie Consent byPrivacyPolicies.comcombinaison laser CEREC - Eugenol
Zoe   son arriv e whwqpj - Eugenol
emma

08/01/2012 à 16h13

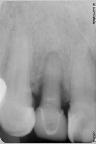
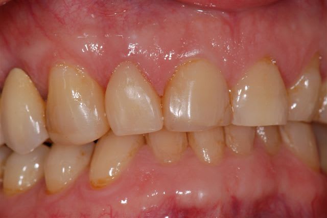
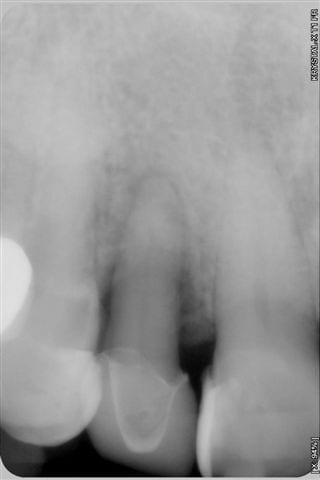
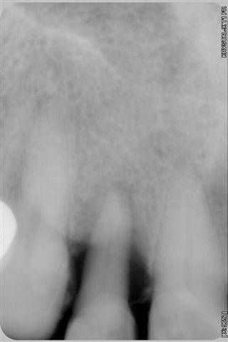
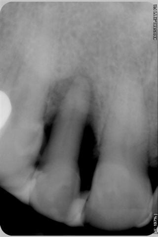
Souvenez vous, il y a 6 mois, je vous ai posté des photos sur un cas de parodontopathie aiguë localisée à la 12, voici les photos et radio 6 mois plus tard, après traitement de la paro au laser diode 980 nm sous bipivone puis H2O2, bio stimulation tous les 15 jours et reconstruction de la couronne en emax avec le CEREC 6 mois plus tard.

Que mes nombreux détracteurs ne se leurrent pas, je poste ce cas qui me semble plutôt réussi, non pour me faire mousser et montrer que je suis "ze best", mais simplement pour montrer que se servir des technologies modernes mises à notre disposition peut être une alternative à l'extraction et aux implants.

Vu les réflexions, fort désobligeantes envers les nonoliens qui essaient de partager leurs expériences et leur passion, qui traînent sur le forum en ce moment, sachez que je ne posterai plus mes cas réussis ou non, je garderai pour moi mon enthousiasme de vieille enfoirée.

Bonne année à vous tous.


--
"je préfère vivre en optimiste et me tromper, que vivre en pessimiste et avoir toujours raison"

emma

038 df0j9t - Eugenol
052 c5idp2 - Eugenol
051 g24fwr - Eugenol
Couronne cerec mdiqnf - Eugenol
037 uovgpk - Eugenol

Grueavatar nptrc9 - Eugenol
Le Choixpeau magique

08/01/2012 à 16h46

La couronne sur 12 est sympa.


Squash u44zd8 - Eugenol
steph

08/01/2012 à 16h49

Oui, belle gencive, collets toujours alignés et effectivement la couronne est bien maquillée.


Image ag8nh7 - Eugenol
vali

08/01/2012 à 18h07

Ha! Non emma continue de nous faire partager tes plus beau cas.
Moi, ça m'intéresse beaucoup même si je ne suis qu'une "assistante".
Au cabinet on utilise aussi le laser avec de très beaux résultats.
Il faut des gens comme toi où mon patron, des gens qui savent se remettre en question.
La science n'est pas une science exacte elle évolue en fonction de nouvelles données et des nouvelles technologies.
Bravo à toi.


Marque a3 orange fyvhyq - Eugenol
Marc Apap

08/01/2012 à 18h14

Résultat clinique et radiologique plutôt encourageant à 6 mois.
Quelques remarques :
- Dommage que les radios ne soient pas indexées avec leur date, car avec le désordre dans lequel le serveur les met, c'est un peu plus difficile de suivre l'évolution de la guérison (qui n'est pas encore complète apparemment).
- J'espère que tu as bien évalué la vitalité pulpaire car celle-ci n'est peut être pas au top de son potentiel après tout ça.
- Voici 1 cas apparemment réussi à 6 mois. Le Cerec n'a rien à voir dans l'affaire, c'est juste un moyen comme un autre de faire une restauration coronaire. Le problème est celui du traitement parodontal par laser.
Scientifiquement parlant 1 cas n'a qu'une valeur anecdotique. La question est de savoir si un traitement différent aurait donné des résultats équivalents, moins bons, meilleurs, plus rapides, moins rapides.
Le choix d'une méthode thérapeutique doit être guidé par le rapport bénéfice/coût.


Ylfwcw979cz1jnx9gfqeaxndiuzk - Eugenol
Algi

11/01/2012 à 19h47

Le "coût" du laser revient souvent sur le tapis.... certes les bécanes sont chères mais on en trouve maintenant des très accessibles sur le marché.
Ensuite faut voir l'amortissement, le mien, un lokki, donc pas le moins cher loin de là, je l'ai depuis plus de 10 ans et il marche encore fort bien, je pense l'avoir largement amorti.
Reste à s'en servir et pas que la semaine des 4 jeudi!
La dernière fois qu'il est tombé en panne (souci de pédale donc rien de grave) j'ai quasiment failli annuler tous les rdv tellement je suis perdu sans ce machin génial (et pas que pour la paro).

Bonne année emma et continue à râler et afficher ton sale caractère, c'est comme ça que je t'aime, entière et sans concessions.

--
"On a toujours le choix! Mais entre quoi et quoi?
Vas-y boulégue et l'avenir te le dira!"


marcus

11/01/2012 à 23h46

Algi écrivait:
--------------

> Bonne année emma et continue à râler et afficher ton sale caractère, c'est comme
> ça que je t'aime, entière et sans concessions.


Moi aussi !!!

et laisse dire l'autre !


Image odged8 - Eugenol
ploc

15/01/2012 à 23h23

marcus écrivait:
----------------
> Algi écrivait:
> --------------
>
> > Bonne année emma et continue à râler et afficher ton sale caractère, c'est
> comme> > ça que je t'aime, entière et sans concessions.
>
>
mitou,entière et sans concessions ok, mais je tiens à preciser qu'emma n'a absolument pas mauvais caractère et j'ai pourtant fait et partagé nombre de congrès et de chambres d'hotel avec elle
fausse reputation!
bonne année:)
>


Ylfwcw979cz1jnx9gfqeaxndiuzk - Eugenol
Algi

19/01/2012 à 11h10

Mouais.... mais toi aussi t'as un caractère de cochon alors sans doute que c'est pour ça que vous vous entendez si bien ;0))
OK, je sors!
--
"On a toujours le choix! Mais entre quoi et quoi?
Vas-y boulégue et l'avenir te le dira!"