Cookie Consent byPrivacyPolicies.comGreffe mixte 3D - Eugenol

Greffe mixte 3D

Avatar ow44t3 - Eugenol
Chicot

08/01/2012 à 19h49

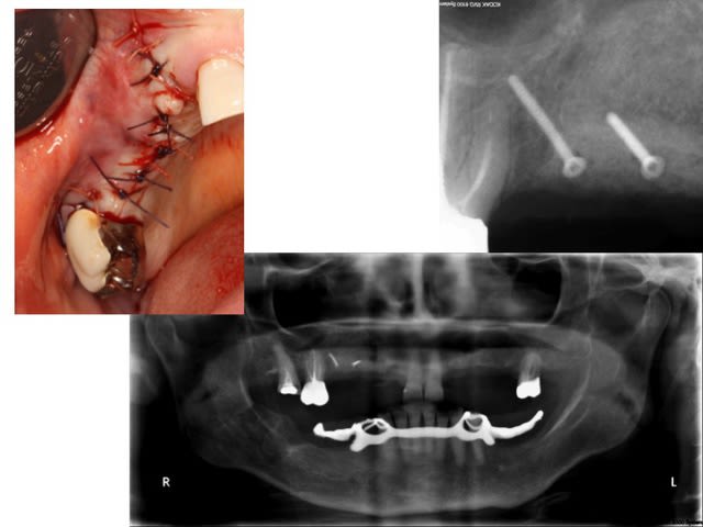
Une première pour moi !

première greffe 3D

première utilisation d'allogénique. Ici c'est du Phoenix

Le principe: deux barrettes d'os autogène pour reconstruire les murs vestibulaire et palatin et servir de 'membrane'

de la poudre d'os allogénique et les restes du prélèvement pour combler l'espace créé

J'ai mis une lamelle osseuse autogène sur la partie apicale du défaut simplement posé, un peu comme sur une fenêtre de Sinus lift

pour la partie cervicale, j'ai simplement refermé le lambeau au dessus de la poudre d'os condensée

1h30 d'intervention sous AL. Suite classique. J'ai pas encore déposé les fils.......

Rdv dans 4 mois

Soyez indulgent sur vos remarques




ps: pour Dudule, Clio, Jeamba, Johnnybegood --> je prépare mes cas... lol

--
;O)

Diapositive1 okxokw - Eugenol
Diapositive2 iruk0j - Eugenol
Diapositive3 culbrr - Eugenol
Diapositive4 fseufd - Eugenol
Diapositive5 tzq8k7 - Eugenol
Diapositive6 uvmzed - Eugenol
Diapositive7 ijuuzr - Eugenol

Blason dql7mj - Eugenol
growler

08/01/2012 à 20h31

Chicot écrivait:
----------------
> Une première pour moi !
>
> première greffe 3D
>
> première utilisation d'allogénique. Ici c'est du Phoenix
>
> Le principe: deux barrettes d'os autogène pour reconstruire les murs
> vestibulaire et palatin et servir de 'membrane'
>
> de la poudre d'os allogénique et les restes du prélèvement pour combler l'espace
> créé
>
> J'ai mis une lamelle osseuse autogène sur la partie apicale du défaut simplement
> posé, un peu comme sur une fenêtre de Sinus lift
>
> pour la partie cervicale, j'ai simplement refermé le lambeau au dessus de la
> poudre d'os condensée
>
> 1h30 d'intervention sous AL. Suite classique. J'ai pas encore déposé les
> fils.......
>
> Rdv dans 4 mois
>
> Soyez indulgent sur vos remarques
>
>
>
>
> ps: pour Dudule, Clio, Jeamba, Johnnybegood --> je prépare mes cas... lol
>
> --
> ;O)


vachement bien !


Humator t9r5wy - Eugenol
humator

08/01/2012 à 21h22

pas vachement bien growly: il as dit phoenix c'est donc pas du bovin!
super sympa, bravo chicot.
peux tu me donner ta prémedication sur ce cas?
merci

--
N.Hum


Rorschachwhite tx6rqr - Eugenol
Candide Candida

08/01/2012 à 22h22

1h30 ^^

Le ratio qualité / rapidité est superbe.

Féloche.

CC.


Blason dql7mj - Eugenol
growler

08/01/2012 à 22h36

Candide Candida écrivait:
-------------------------
> 1h30 ^^
>
> Le ratio qualité / rapidité est superbe.
>
> Féloche.
>
> CC.

oui, 1H30 avec les photos, anesthésies, sutures....t'as pas trainé!


Img 0812 mvp6i0 - Eugenol
jeamba

08/01/2012 à 22h43

Chicot écrivait:
----------------
> ps: pour Dudule, Clio, Jeamba, Johnnybegood --> je prépare mes cas... lol ;O)


Img 0812 mvp6i0 - Eugenol
jeamba

08/01/2012 à 22h44

Salaud.
Mais c'est trés bien quand même. Bravo, çà n'a pas traîné.


Photo pluton1b h9n4ea - Eugenol
pluton

08/01/2012 à 22h45

très chouette...;-)


Blason dql7mj - Eugenol
growler

08/01/2012 à 22h58

avec ton prélèvement osseux tu as pu réaliser 3 lamelles?
et le comblement avec le reste tu as mouliné le dernier fragment ?
pourquoi n'as tu pas été tenté de recouvrir le tout avec une biogide par exemple?


kingofdogs

08/01/2012 à 23h30

Bonsoir, j'ai une question qui me taraude depuis un moment, dans ces cas là, pour vous est-ce qu'apporter des ostéoblastes (cellules souches, pré-ostéoblastes) dans le matériau allogenique/synthétique apporterait de meilleurs résultats, en terme de réussite, de vitesse de cicatrisation et de quantité d'os restauré?
Merci


Smile beach jgh0a1 - Eugenol
Céramik

08/01/2012 à 23h40


Très bien, excellent.
En plus, 1h30, c'est rapide.

J'aurais ajouté du PRF.

Pour les pro, ça se fait avec de l'os de banque (bloc) un truc comme cela ?



--
Céramik


Avatar ow44t3 - Eugenol
Chicot

09/01/2012 à 08h53

humator écrivait:
-----------------
> peux tu me donner ta prémedication sur ce cas?
> merci
>
> --
> N.Hum

Augmentin à commencer le jour même
Solupred à commencer la veille
Paracetamol post op
Arnica homéopathique à commencer 3 j avant

--
;O)


Avatar ow44t3 - Eugenol
Chicot

09/01/2012 à 08h56

growler :
>
> oui, 1H30 avec les photos, anesthésies, sutures....t'as pas trainé!

euh c'est sans AL car je la fais en non stérile, ce qui laisse le temps à l'anesthésie de bien s'installer pendant que je me prépare et que l'on termine d'installer les champs patients.
Juste un petit rappel ici en cours de sutures
Les photos: j'ai formé mon AD non stérile à les faire. Elle commence à bien les faire

--
;O)


Avatar ow44t3 - Eugenol
Chicot

09/01/2012 à 09h00

growler écrivait:
-----------------
> avec ton prélèvement osseux tu as pu réaliser 3 lamelles?
> et le comblement avec le reste tu as mouliné le dernier fragment ?
> pourquoi n'as tu pas été tenté de recouvrir le tout avec une biogide par
> exemple?

2 lamelles dont la plus fine coupé en deux dans la largueur pour mettre en palatin
Le dernier fragment exploitable en apicale le reste mouliné
Selon Jabbour une membrane freinerai l'angiogenese donc l'osteoconduction

--
;O)


Avatar ow44t3 - Eugenol
Chicot

09/01/2012 à 09h03

kingofdogs écrivait:
--------------------
> Bonsoir, j'ai une question qui me taraude depuis un moment, dans ces cas là,
> pour vous est-ce qu'apporter des ostéoblastes (cellules souches,
> pré-ostéoblastes) dans le matériau allogenique/synthétique apporterait de
> meilleurs résultats, en terme de réussite, de vitesse de cicatrisation et de
> quantité d'os restauré?
> Merci

Les cellules souches viennent de la lignée sanguine. Les ostéoclastes de la lignée hématopoïétique
Un bon apport vasculaire est suffisant.

--
;O)


Avatar ow44t3 - Eugenol
Chicot

09/01/2012 à 09h04

Céramik écrivait:
-----------------
>
> Très bien, excellent.
> En plus, 1h30, c'est rapide.
>
> J'aurais ajouté du PRF.

Étude ?????


>
> Pour les pro, ça se fait avec de l'os de banque (bloc) un truc comme cela ?
>
>
>
> --
> Céramik

Le problème avec un bloc c'est que tu n'as qu'une face avec une corticale

--
;O)


kingofdogs

09/01/2012 à 11h08


> Les cellules souches viennent de la lignée sanguine. Les ostéoclastes de la
> lignée hématopoïétique
> Un bon apport vasculaire est suffisant.
>
> --
> ;O)
Merci de ta réponse

Mais donc les apporter en nombre conséquent n'aurait aucun intérêt? Même de se passer de greffe autogénique? en prenant des barettes d'os allogénique blindées d'ostéoblastes/clastes (et pré-ostéoblastes et cellules souches) du patient?


Humator t9r5wy - Eugenol
humator

09/01/2012 à 12h36

merci chic' pour ta réponse.
une autre question, j vois 2 fils de sutures différents: est-ce un choix? comment as tu géré le recouvrement de la greffe? était-ce tendu? as tu disséqué dans l'épaisseur du vestibule? merci

--
N.Hum


Avatar ow44t3 - Eugenol
Chicot

09/01/2012 à 13h12

kingofdogs écrivait:
--------------------

>
> Mais donc les apporter en nombre conséquent n'aurait aucun intérêt? Même de se
> passer de greffe autogénique? en prenant des barettes d'os allogénique blindées
> d'ostéoblastes/clastes (et pré-ostéoblastes et cellules souches) du patient?
>

Y'a pas à ma connaissance de barrettes de corticales allogéniques sur le marché. Sinon on peut se passer de prélèvement autogène si on préfère payer ce qui est dispo en bouche. Tout dépend des volumes. Entre parietal et allogénique, j'hésite pas. Entre ramique et allogénique, pour une greffe 2D sur une incisive, je prend en bouche.
L'autogène se comporte comme de l'allogénique car les effets ostéoinducteurs et ostéogéniques seraient quasi nuls. Reste l'ostéoconduction.

Pour doper en cellule souche et facteur de croissance certaines personnes avance que le PRF (ou PRP) sera LA solution, mais il n'y a jamais eu aucune publication, des "case report" oui mais sans grande valeur scientifique. Les BMP doperait également les cellules cancereuses....


--
;O)


Avatar ow44t3 - Eugenol
Chicot

09/01/2012 à 13h16

humator écrivait:
-----------------
> merci chic' pour ta réponse.
> une autre question, j vois 2 fils de sutures différents: est-ce un choix?
> comment as tu géré le recouvrement de la greffe? était-ce tendu? as tu disséqué
> dans l'épaisseur du vestibule? merci
>
> --
> N.Hum

Observateur.....

vicryl rapide en gencive libre (moins douloureux à déposer !!!) et pour compléter les premiers points d'ancrages 'vitaux'
vicryl resorbable (violet) en zone ou les ancrages sont importants, 'vitaux' pour tenir le lambeau

oui dissection +++ du périoste pour avoir un lambeau qui se pose sans traction aucune


--
;O)


arno

09/01/2012 à 15h40

Franchement chapeau bas! Superbe boulot!!!


Fouilla h6plsy - Eugenol
fouilla

09/01/2012 à 16h05


je me sens tout tout petit

clap clap

--
.


Img 8465 fqhxid - Eugenol
noahaxeltiger-olivier

09/01/2012 à 19h17

Je ne suis plus trop sur Eugenol par manque de temps, mais je tiens a te feliciter Chicot pour cette presentation. Superbe chirugie.
Cette approche est interessante et m'a souvent donnée de bons résultats. J'ai appris cette technique chez Fouad Khoury qui sans pb peut sortir 3 languettes d'os de l'epaisseur d'un prelevement ramique !
L'une des difficultés (qui n'est pas propre a cette technique) est la temporisation : pour qu'elle construction provisoire as tu opté?
La deuxième est l'immobilisation parfaite des languettes de corticales qui vont servir d'exosquelette a ta construction. Tu as utilisé 2 vis dont une sert a la fixation de la languette palatine en transfixant la vestibulaire. L'ensemble de ta boite n'est en fait ancré que par la vis distale. Il ne me semble pas voir un decoupage particulier de ta languette vestibulaire qui viendrait en butée contre le rempart anterieur de ton defaut osseux et empechant une quelconque rotation de la boite ... Mais j'ai peut-être mal vu. Bref quel est ton avis sur ce point ?

Merci encore pour ce post. Super.
Amicalement
Olivier


Avatar ow44t3 - Eugenol
Chicot

09/01/2012 à 20h29

détail des fragments du prélèvement après découpe en 2

Au niveau mésial, le défaut osseux faisait comme une box dans laquelle ma baguette s'adaptait parfaitement. La première vis vient bloquer les deux baguettes et la second vient bloquer la baguette vestibulaire et empêcher tout mouvement.

Mon interrogation c'est plutôt en occlusal, comment éviter une colonisation conjonctive ?


--
;O)

Img 4507 ladzae - Eugenol

kingofdogs

10/01/2012 à 01h33

"Pour doper en cellule souche et facteur de croissance certaines personnes avance que le PRF (ou PRP) sera LA solution, mais il n'y a jamais eu aucune publication, des "case report" oui mais sans grande valeur scientifique. Les BMP doperait également les cellules cancereuses...."

Et sinon myelogramme puis culture et sélection? Je me demande juste si ça présenterait un intérêt quelconque, pour remplacer un prélèvement mentonnier ou de ramus?

Merci de tes réponses, c'est sympa.

PS. pour les barettes ça existe mais en hosto il me semble, et il parait en plus que ça ne vaut pas grand chose.
Et je suis sûr que de nombreux patients préféreraient payer un peu plus et éviter le prélèvement mentonnier... J'admets que pour le ramus je suis moins certain, m'enfin pour les gros défauts...



12