Cookie Consent byPrivacyPolicies.comGreffe 2D autogène (pour changer...) - Eugenol

Greffe 2D autogène (pour changer...)

Icon poker h4nm2d - Eugenol
jeff

06/02/2012 à 14h57

Je vois que, comme moi jusqu'a présent, tu réalises l'incision périosté pour libérer ton lambeau juste avant la suture.

Je me posais la question de le faire en début d'intervention. Car on incise, cela saigne pas mal, on ferme, cela continue a saigner dans le lambeau, et on se retrouve avec un joli cocard.

Je me demande donc si faire l'incision dés le début diminue le risque d'hématome. Des avis ?


Smile beach jgh0a1 - Eugenol
Céramik

06/02/2012 à 15h27

jeff écrivait:
--------------

> Je me demande donc si faire l'incision dés le début diminue le risque
> d'hématome. Des avis ?


Bonne question.

Je fais 1/2: 1/2
Je libère mon lambeau au début, mais partiellement, et à la fin, je libère un peu plus, juste avant les sutures...


--
Céramik


Avatar ow44t3 - Eugenol
Chicot

06/02/2012 à 20h54

Céramik écrivait:
-----------------
> jeff écrivait:
> --------------
>
> > Je me demande donc si faire l'incision dés le début diminue le risque
> > d'hématome. Des avis ?
>
>
> Bonne question.
>
> Je fais 1/2: 1/2
> Je libère mon lambeau au début, mais partiellement, et à la fin, je libère un
> peu plus, juste avant les sutures...
>
>
> --
> Céramik

Bonne technique ! Tu libères au début au sciseaux de Metzenbum ou en scarifiant le périoste ?


--
;O)


Smile beach jgh0a1 - Eugenol
Céramik

07/02/2012 à 04h59

Chicot écrivait:
----------------
>
> Bonne technique ! Tu libères au début au sciseaux de Metzenbum ou en scarifiant
> le périoste ?
>


Selon ce que j'ai sous la main !
Je fais les deux, selon mon feeling, j'ai pas de règle...
mais au début, plus les ciseaux, mais parfois lame 15...


--
Céramik


flicflac

10/02/2012 à 02h46

Il est vrai que la scarification au début diminue les risques d'hématomes....d'après moi


Avatar ow44t3 - Eugenol
Chicot

05/03/2012 à 17h12

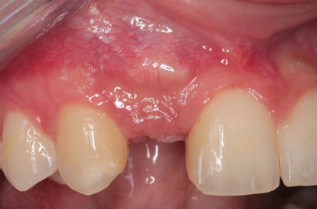
la suite et le début:

scan pré op: pas bcp d'os dispo au niveau de 46 47, y'a fallu aller plus loin derrière

la 11: voir son axe et le peu d'os autour en vestibulaire

photo de la cica à quelque mois

bientôt scan et pose de l'implant

--
;O)

Img 0086 rzxqx2 - Eugenol
Img 0088 gqcqjk - Eugenol
Img 0131 ugalep - Eugenol
Img 0133 ksccb0 - Eugenol
Img 0134 qxfe7m - Eugenol

Avatar ow44t3 - Eugenol
Chicot

02/07/2012 à 15h51

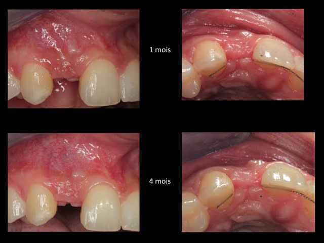
Je remonte le post pour faire la différence greffe onlay et 2D

et la suite des tofs



--
;O)

Diapositive11 azpqkj - Eugenol
Diapositive12 glpyfc - Eugenol
Diapositive13 nwkk5x - Eugenol
Diapositive14 jd0olm - Eugenol

12