Tous les forums
Cas clinique...
12/01/2012 à 21h07
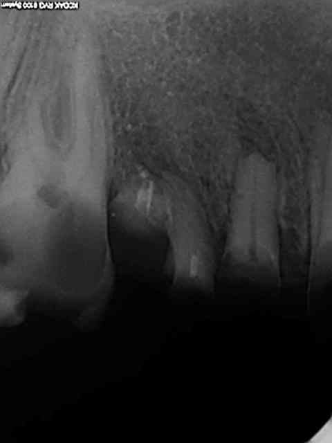
Bonjour à tous
J'ai vu un cas de patient avec le bloc antérieur mx couronné
Et des infections periapicales, comment donc gérer ce type de
patient , des pano vs seront mises en ligne...
Merci de vos réponses
12/01/2012 à 21h29
dentisteparis75 écrivait:
-------------------------
> Bonjour à tous
>
> Une fois les couronnes posées, les panoramiques initiales sont rendues floues
Si c'est avéré, c'est super grave... falsification de dossiers médicaux...
Ceci dit, je ne crois pas que la Sécu n'ait rien remarqué mais comme ça a été dit dans un autre fil, la procédure est longue et complexe, surtout s'il n'y a pas plainte de patients...
12/01/2012 à 21h35
on embête jamais un praticien qui fait beaucoup de CMU.
Donc , la règle quand tu prend un cmu, tu lui files un bridge complet avec 14 piliers, le tout en une semaine sinon, il va rater ses rdv suivants. Tu fais ton calcul, et que le CNO ne vienne pas t'em....., ils ont d'autres chats a fouetter
ameli, s'en fiche, tu soignes un cmu il est content,
12/01/2012 à 21h45
dentisteparis75 écrivait:
-------------------------
> Une fois les couronnes posées, les panoramiques initiales sont rendues floues pour ne pas laisser de preuves.
Là je comprends pas trop le truc ??
Si tu n'as pas de radio initiale correcte, tu es cuit au regard du dentiste conseil.
si demain il y a une volonté politique de faire tomber ce système, ça tombera, en attendant il est bien possible que certains ferment les yeux.
--
Canin
12/01/2012 à 21h57
Attention quand même à ne pas s'emballer.
Le public "CMUC" de ces centres "spécialisés" est quand même particulier, avec souvent des états bucco-dentaires désastreux.
Il est donc normal que les soins réalisés présentent une proportion prothétique très supérieure à la moyenne.
Par ailleurs, les "jeunots", les implants ne sont pas à la portée de toutes les bourses, CMU ou pas. On fait quoi alors? Des berlingots?
C'est vrai qu'aujourd'hui, je me vois mal dévitaliser/tailler une dent saine pour faire un bridge si implanter est possible.
Mais ça n'a pas été toujours le cas. Il y a 30 ans je dévitalisais, comme tout le monde, sans états d'âmes des 13/21 tout à fait saines pour bridger.
Faut-il pour autant me poursuivre au pénal pour mutilations volontaires ????
Maintenant si il s'agit de sur-traitement et de falsification de radios, c'est autre chose.
Mais ces patient doivent bien donner leur consentement d'une manière ou d'une autre non?
ET puis, si faire du chiffre à tout prix est l'objectif, pourquoi ne pas coter les dévitalisations ?? Je ne vois pas.
Donc Dentiste 75, si tu constates des abus réels je ne vois pas ce qui t'empêche de contacter l'ordre. Relis aussi un peu le Bescherelle de temps en temps cela ne fait pas de mal... :-)
D'autre part je ne suis pas si sûr que tu soies vraiment dentiste... je peux me tromper hein ?
12/01/2012 à 21h59
jeff2 écrivait:
---------------
> on embête jamais un praticien qui fait beaucoup de CMU.
> Donc , la règle quand tu prend un cmu, tu lui files un bridge complet avec 14
> piliers, le tout en une semaine sinon, il va rater ses rdv suivants. Tu fais ton
> calcul, et que le CNO ne vienne pas t'em....., ils ont d'autres chats a fouetter
> ameli, s'en fiche, tu soignes un cmu il est content,
ironique mais parfait raccourci : j'ai déjà vu aussi...et pas en centre dentaire!
12/01/2012 à 22h06
D'un autre coté, qui va s'emmerder à remplacer des composites vieillissants inesthétiques par d'autres superbes en stratification avec notre nomenclature de merde ? Autant ne rien faire.
12/01/2012 à 22h10
wakrap écrivait:
----------------
> Qui est John GALT
Celui qui va nous catapulter dans la troisième guerre mondiale d'ici 50 ans, celle pour le contrôle des ressources énergétiques épuisées :nerd:
Sinon, pour le créateur du topic, bah si tu bosses dans un tel centre, que faire: te barrer et prévenir le conseil de l'ordre que tu te barres pour des raisons de conscience professionnelle.
Voir l'autre sujet dans lequel améli expliquait que les praticiens bossant dans ces centres se retrouvaient sur la blacklist...
12/01/2012 à 22h14
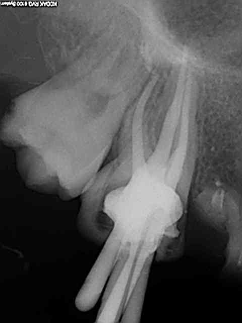
rapelapente écrivait:
---------------------
> Attention quand même à ne pas s'emballer.
> Le public "CMUC" de ces centres "spécialisés" est quand même particulier, avec
> souvent des états bucco-dentaires désastreux.
> Il est donc normal que les soins réalisés présentent une proportion prothétique
> très supérieure à la moyenne.
Comme celle là par exemple ? 20 ans et presque toutes ses dents )))) Mieux vaut avoir les radios initiales par les temps qui courent !
12/01/2012 à 22h29
Je me demande quand meme si j'aurais pas du à cet age faire des coiffages directs avec biodentine. On va encore me reprocher de dégainer le r40 trop facilement. Tout frais de cet aprem.
12/01/2012 à 23h19
Pas besoin d'aller jusqu'aux centres dentaires pour voir ça, malheureusement. J'ai eu un entretien dans un très beau cab de région parisienne, plutôt une jolie banlieue en fait. Le mec me montre son cab, tout est neuf et plutôt "design", l'équipement est correct.
Et là les choses se gâtent, je demande à voir des exemples de travaux de son labo, et il me sort des bridges à tour de bras de son tiroir... Comme il me voit surpris, il m'explique qu'il a pour spécialité de "soigner" les CMU. Je vois un bridge complet maxillaire en céramique, je demande en plaisantant "là le patient est riche pour s'offrir ça?", ce à quoi il répond "non c'est un CMU, mais ici on fait que de la céramique, ça les attire, et comme ça c'est NOUS qui allons être riches !".
Inutile de dire que je n'ai pas donné suite, malgré les promesses de chiffre d'affaire pharaonique.
13/01/2012 à 00h03
doagui écrivait:
----------------
> Pas besoin d'aller jusqu'aux centres dentaires pour voir ça, malheureusement.
> J'ai eu un entretien dans un très beau cab de région parisienne, plutôt une
> jolie banlieue en fait. Le mec me montre son cab, tout est neuf et plutôt
> "design", l'équipement est correct.
>
> Et là les choses se gâtent, je demande à voir des exemples de travaux de son
> labo, et il me sort des bridges à tour de bras de son tiroir... Comme il me voit
> surpris, il m'explique qu'il a pour spécialité de "soigner" les CMU. Je vois un
> bridge complet maxillaire en céramique, je demande en plaisantant "là le patient
> est riche pour s'offrir ça?", ce à quoi il répond "non c'est un CMU, mais ici on
> fait que de la céramique, ça les attire, et comme ça c'est NOUS qui allons être
> riches !".
>
> Inutile de dire que je n'ai pas donné suite, malgré les promesses de chiffre
> d'affaire pharaonique.
Comme quoi, la baisse des tarifs prothétiques n'est pas une solution. Ça pousse à la consommation !)))
13/01/2012 à 00h12
Björn écrivait:
---------------
> rapelapente écrivait:
> ---------------------
> >
> > . Relis aussi un peu le Bescherelle de temps en temps cela
> > ne fait pas de mal... :-)
>
> > D'autre part je ne suis pas si sûr que tu soies vraiment dentiste...
Je ne pense pas que monsieur tout le monde utiliserait une expression comme "le bloc antérieur"
13/01/2012 à 01h13
un conseil, ouvre ton cabinet libéral et laisse tomber ce centre ainsi tu ne feras que du bon travail comme nous tous
dr M.D.S.
13/01/2012 à 01h44
doagui écrivait:
----------------
> Pas besoin d'aller jusqu'aux centres dentaires pour voir ça, malheureusement.
> J'ai eu un entretien dans un très beau cab de région parisienne, plutôt une
> jolie banlieue en fait. Le mec me montre son cab, tout est neuf et plutôt
> "design", l'équipement est correct.
>
> Et là les choses se gâtent, je demande à voir des exemples de travaux de son
> labo, et il me sort des bridges à tour de bras de son tiroir... Comme il me voit
> surpris, il m'explique qu'il a pour spécialité de "soigner" les CMU. Je vois un
> bridge complet maxillaire en céramique, je demande en plaisantant "là le patient
> est riche pour s'offrir ça?", ce à quoi il répond "non c'est un CMU, mais ici on
> fait que de la céramique, ça les attire, et comme ça c'est NOUS qui allons être
> riches !".
>
> Inutile de dire que je n'ai pas donné suite, malgré les promesses de chiffre
> d'affaire pharaonique.
Je dois être con car je ne vois pas bien la corrélation entre devenir riche et soigner des CMU en faisans de la prothèse céramique...c'est plutôt antinomique, ou alors c'est peut être parce que je réponds "Moi" à la question de Chicot 29:
> Centres dentaires , le scandale...
>Par chicot29 hier à 21:06
>D'un autre coté, qui va s'emmerder à remplacer des composites vieillissants inesthétiques >par d'autres superbes en stratification avec notre nomenclature de merde ? Autant ne rien >faire.
Mais bon, j'avoue ne pas avoir tenu bien longtemps à faire ça, mais uniquement en mutuelle. Pourtant même en creusant bien je ne vois toujours pas la corrélation Riche/CMU.....Enfin j'ai bien une idée mais cela voudrait dire que CMU=travail vite fait, et pour le bien fait faut voir, et c'est là qu'on s'expose à des soucis, donc riche peut être, mais pas pour longtemps!
13/01/2012 à 09h43
danteyeah écrivait:
-------------------
> >D'un autre coté, qui va s'emmerder à remplacer des composites vieillissants
> inesthétiques >par d'autres superbes en stratification avec notre nomenclature
> de merde ? Autant ne rien >faire.
>
> Mais bon, j'avoue ne pas avoir tenu bien longtemps à faire ça, mais uniquement
> en mutuelle. Pourtant même en creusant bien je ne vois toujours pas la
> corrélation Riche/CMU.....Enfin j'ai bien une idée mais cela voudrait dire que
> CMU=travail vite fait, et pour le bien fait faut voir, et c'est là qu'on
> s'expose à des soucis, donc riche peut être, mais pas pour longtemps!
Ah ! j'avoue que je commençais à me poser des questions car 2h pour un sc17 ......))))))
13/01/2012 à 09h53
jeff2 écrivait:
---------------
> on embête jamais un praticien qui fait beaucoup de CMU.
> Donc , la règle quand tu prend un cmu, tu lui files un bridge complet avec 14
> piliers, le tout en une semaine sinon, il va rater ses rdv suivants. Tu fais ton
> calcul, et que le CNO ne vienne pas t'em....., ils ont d'autres chats a fouetter
> ameli, s'en fiche, tu soignes un cmu il est content,
Détrompes toi, les contrôles sont fait justement sur les dossiers CMU afin de trouver les actes fictifs et les traitement bâclés. j'en ai fait l’expérience. tu as beau argumenté, cmu ou pas, tu es aligné comme les autres, et même je dirai pire parce que tu profites du système.
13/01/2012 à 10h08
De toutes façons le bridge complet avec "TOUTES" les dents piliers remboursables par la sécu et aucun piliers en NR c'est exceptionnel. Ensuite les inters tu les offres ?
13/01/2012 à 11h17
king_zoulou écrivait:
-
> Je ne pense pas que monsieur tout le monde utiliserait une expression comme "le bloc antérieur"
C'est quand même bizarre qu'un "confrère" inscrit sur le forum depuis 5 mn, lance un sujet "à scandale" et disparaisse ensuite...
Je confirme par ailleurs ce que disait Sousou, lors de mon contrôle d'activité, les cas cmu étaient contrôlés comme les autres.
13/01/2012 à 13h15
Enfin les CMU se font controler par la SS comme les autres . Sauf que cje ne pense pas qu'ils honorent les rdv du DCD .
13/01/2012 à 13h32
Tillc écrivait:
---------------
> Enfin les CMU se font controler par la SS comme les autres . Sauf que cje ne
> pense pas qu'ils honorent les rdv du DCD .
.... surtout si le CDC est DCD
mdr
13/01/2012 à 13h47
danteyeah écrivait:
-------------------
> doagui écrivait:
> ----------------
> > Pas besoin d'aller jusqu'aux centres dentaires pour voir ça, malheureusement.
> > J'ai eu un entretien dans un très beau cab de région parisienne, plutôt une
> > jolie banlieue en fait. Le mec me montre son cab, tout est neuf et plutôt
> > "design", l'équipement est correct.
> >
> > Et là les choses se gâtent, je demande à voir des exemples de travaux de son
> > labo, et il me sort des bridges à tour de bras de son tiroir... Comme il me
> voit
> > surpris, il m'explique qu'il a pour spécialité de "soigner" les CMU. Je vois
> un
> > bridge complet maxillaire en céramique, je demande en plaisantant "là le
> patient
> > est riche pour s'offrir ça?", ce à quoi il répond "non c'est un CMU, mais ici
> on
> > fait que de la céramique, ça les attire, et comme ça c'est NOUS qui allons
> être
> > riches !".
> >
> > Inutile de dire que je n'ai pas donné suite, malgré les promesses de chiffre
> > d'affaire pharaonique.
>
> Je dois être con car je ne vois pas bien la corrélation entre devenir riche et
> soigner des CMU en faisans de la prothèse céramique...c'est plutôt antinomique,
> ou alors c'est peut être parce que je réponds "Moi" à la question de Chicot 29:
>
C'est pourtant simple, le praticien en question attirait les CMU avec la promesse de soins rapidement exécutés et de céramique plus jolie que le métal des confrère, et hop, il couronnait à tout va. C'est mathématique partant de là, même une couronne payée au tarif CMU rapporte beaucoup si tu en fais 3-4 au moins à chaque fois et sur tout le monde... Après je ne me permettrai pas de donner mon opinion sur la qualité du travail fourni, ça ne serait pas assez confraternel.
Ce sujet est verrouillé
Les réponses à ce sujet sont désactivées