Tous les forums
digue,digue,dingue
18/04/2012 à 22h56
J'ai utilisé le localisateur d'apex , mais bon un radio c'est une radio ...)))
18/04/2012 à 22h58
Bon , en fait j'essaye de relancer les sujets dento-dentaires , ça change ...
18/04/2012 à 23h10
Ouf, t'as raison, ça commence à être gonflant et on tourne en rond. Changeons de sujet.
19/04/2012 à 01h15
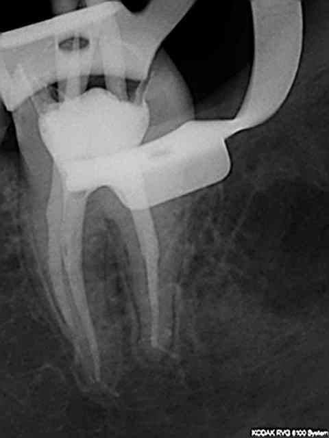
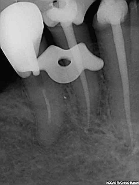
J'ai fait une reprise de TR sur 27 en novembre dernier ; digue, javel, NiTi, pour un bon résultat radio.
Aucun problème de symptomatologie, radio argentique et numérique OK, et découverte forfuite d'un kyste énorme sur la racine vestibulaire de cette dent lors d'un scan pour implant en place de 37.
Alors ce genre d'acrobatie me laisse froid, parce que c'est chercher les problèmes.
On va me dire que malgré toutes mes précautions j'ai quand même des merdes, alors pourquoi mettre une digue???
Je vois le problème à l'inverse, je n'ose imaginer l'explosion de ces merdes sans digue.
19/04/2012 à 02h46
Ce n'est pas scientifique ce que je vais dire, et encore : sans la digue tu peux arriver à faire un bon traitement avec guérison, si tu isoles correctement. J'en ai l'expérience.En fait, la vraie difficulté, c'est d'éviter à ton patient d'avaler de l'eau de Javel. Mais si tu t'amuses à prendre des risques en faisant des radios sans digue au cours du traitement, là, tu augmentes considérablement les chances de contaminer ta dent et c'est idiot puisqu'il y a des moyens pour l'éviter.
19/04/2012 à 09h27
Bien sur qu'on peut faire des bonnes endos sans digue avec guérison clinique et radiologique de lésions, je pense qu'on en a tous fait, nous les vieux. Incisives et canines maxillaires, pas de problème, il suffit de positionner un rouleau de coton dessous quand on envoie des seringuées d' hypochlorite pour ne pas que le patient en avale , et qu' il soit capable de rester longtemps la bouche ouverte sans la fermer ( mais avec la digue aussi ) . Il n'en demeure pas moins que c'est plus sécurisant et qu'on est plus détendu avec. Je ne sais pas pour vous mais j'ai beaucoup de mal à la faire accepter aux gens âgés. Et aussi ils n'aiment pas la position complètement allongée et font semblant de se sentir mal ( enfin, je crois ), du coup je me tords le dos mais j'ai moins peur qu'ils ne déglutissent un instrument.
19/04/2012 à 11h04
Je rassure tout le monde , j'ai travaillé sans digue , mais je jure sur l'honneur que pas un nanogramme de salive ne contamina cette dent , sinon , hin ...
PS/ Bon , faites péter les cas cliniques , qu'on se bouge un peu sur nonol .
20/04/2012 à 11h28
depuis plus d'un mois j'ai généralisé la pose de digue a pratiquement tout mes soins. mais depuis j'ai mal aux épaules.. quelqu'un peut il m'aider à comprendre ce que le morceau de latex a changer à ma position pour que je soit si crispé.
Marc peut etre?
en tout cas on progresse vraiment tres vite sur la mise en place du champs et faire les soins redevient un plaisir (sauf pour le banquier)
21/04/2012 à 06h12
chicot29 écrivait:
------------------
> youpi !
Chicot29 , le roi de l'endo !
Cétait un petit matin tranquille ?
--
Céramik
21/04/2012 à 12h03
Presque ! faut pas pousser quand même !)))))
Non, en fait j'en fais une 50 aine par mois, un peu plus de 2 par jour.
21/04/2012 à 12h42
Si-si il a raison les radios exposées en nombre font toutes preuve d'un traitement parfait et ce en un temps plus que raisonnable.
Il serait d'ailleurs très profitable à des confrères de pouvoir partager ton organisation et ta technique.
--
Quand Eugénol a exclu Narik, Eugénol a perdu un peu plus que Narik.
21/04/2012 à 13h27
En général la rapidité d'un acte dépend du nombre d'instruments rotatifs en fonction, ça évite de perdre un temps fou en changeant les fraises et les limes, et bien évidemment d'une assistante au fauteuil bien rodée (cf le post 15 mn endo molaire). Je n'ai pas l'assistante au fauteuil dommage !)
Je ne fais pas le topo sur la cavité d'accès que j'ai cependant tendance à faire bien large pour accéder aux entrées canalaires facilement.
A partir de là tous les instruments d'endo sont au préalable en place sur un instrument rotatif. Sx protaper sur l'entran, largo numéro 3 sur double bague verte, s1 protaper sur endomaster, r25 réciproc sur wd silver, SAF (pas tout le temps vu les 50 euros de l'instrument jetable) Endo activator ou rinsendo plutôt ngap oblige !)
Je fais la recherche des canaux avec l'entran et le sx que j'essaye de faire progresser le plus possible en direction apicale (sans forcer comme un bourrin, hein !) puis ouverture au largo de l'entrée canalaire et re-sx pour progresser encore jusquà environ entre 15 et 20 mm de lt (dépend de la longueur estimée de la racine à la radio pré op et de sa perméabilité). Ensuite passage du s1 avec l'endomaster qui en général descend à la lt sans problème (réglage de l'endomaster à -0.5mm lt).Stop sur le r25 qui descend sans problème à la lt. Irrigation tout au long de la procédure évidemment (sauf s1 car la lt ne peut pas etre déterminée avec l'endomaster si trop de dakin). Récapitulation si problème à l'une des étapes mais c'est rare.
Irrigation saf ou endo activator ou rinsendo quand il marche !)))
Radio cone 25 en place etc....)))) j'avoue je pèche dans le etc !)))
"Le" gros plus ces derniers mois a été l'apparition du r25 réciproc qui a permis de supprimer les s2,f1, f2 protaper et ce sans casse ni fausse route à ce jour ! une révolution en rupture de stock en ce moment.))))
Mise en forme entre 2 et 5 mn par canal.
21/04/2012 à 13h48
chicot29 écrivait:
------------------
> Presque ! faut pas pousser quand même !)))))
> Non, en fait j'en fais une 50 aine par mois, un peu plus de 2 par jour.
50 par mois, c'est énorme, tu as des correspondants?
21/04/2012 à 13h59
mac écrivait:
-------------
> chicot29 écrivait:
> ------------------
> > Presque ! faut pas pousser quand même !)))))
> > Non, en fait j'en fais une 50 aine par mois, un peu plus de 2 par jour.
>
>
> 50 par mois, c'est énorme, tu as des correspondants?
Bien sur que j'en ai des correspondants avec une production aussi énorme. En CA ça représente 3000 euros environ c'est tellement énorme que mon banquier n’arrête pas de m'appeler pour me féliciter .)))))
21/04/2012 à 20h35
chicot29 écrivait:
------------------
> mac écrivait:
> -------------
> > chicot29 écrivait:
> > ------------------
> > > Presque ! faut pas pousser quand même !)))))
> > > Non, en fait j'en fais une 50 aine par mois, un peu plus de 2 par jour.
> >
> >
> > 50 par mois, c'est énorme, tu as des correspondants?
>
> Bien sur que j'en ai des correspondants avec une production aussi énorme. En CA
> ça représente 3000 euros environ c'est tellement énorme que mon banquier
> n’arrête pas de m'appeler pour me féliciter .)))))
Je fais pas 50 endo par an...
Je me questionne sur le temps minimale pour la désinfection ?
Je pensais que moins de 30 minutes, c'est pas bon.
Je mets au moins 60-75 minutes pour une endo, mais je place mon tenon fibré, et compo (450€ la séance).
Tient, cette semaine, 24 taille, 25 endo+pivot+taille, empreintes et provisoires, 120 minutes, sous digue avec AD, je n'aime pas bosser plus vite ! (800€/heure).
Les molaire, je touche plus, j'aime pas.
--
Céramik
21/04/2012 à 20h53
Céramik écrivait:
-----------------
> Je mets au moins 60-75 minutes pour une endo, mais je place mon tenon fibré, et
> compo (450€ la séance).
Chez nous c'est 33.74 E l'endo incisive-canine et 79.53 E le tenon fibré soit 113.27 euros la séance. Ca doit te laisser reveur non ?
A ce tarif là soit tu licencies ton assistante et tu réduis ton plateau technique au minimum, soit tu te magnes le cul !))))
21/04/2012 à 21h08
Quand tu n'es pas salarié, en France, tu es obligé d'avoir des idées pour survivre. Dans un sens, ça rend plus intelligent et créatif, même si c'est pour gagner trois clopinettes.
21/04/2012 à 21h47
Marc Apap écrivait:
-------------------
> Quand tu n'es pas salarié, en France, tu es obligé d'avoir des idées pour survivre. Dans un sens, ça rend plus intelligent et créatif, même si c'est pour gagner trois clopinettes.
plus intéligent et créatif...
humm, les endo dans la salive en 10-15 minutes, sauf chico29 et quelques autres, les résultats que je vois sont dignes de gens plus intelligents et créatifs c'est certain...
A voir les radio sur nonol, des bouches avec 10-12 endo, et 7-8 belles lésions, bref, tout est normal, on verra dans 1 ou 2 ans...ah madame, vous faites des kystes...c'est comme cela
--
Céramik