Cookie Consent byPrivacyPolicies.combruxoman, héros de l'univers - Eugenol

bruxoman, héros de l'univers

baroud69

05/02/2012 à 12h12

Le Choixpeau magique écrivait:
------------------------------
> maz écrivait:
> -------------
> > ce que je disais dans mon second post, bruxisme + acidité + habitudes
> iatrogènes
> >
> > tu penses à autre chose ?
>
> Non, je pense que la cause principale est l'acidité, compliqué par le bruxisme.
>
> Sachant cela, si l'acidité ne peut pas être contrôlée, quel pronostic auront les
> restaurations _partielles_ que tu envisages ?

Je dirais plutôt Bruxisme compliqué par l'acidité.

> envoie le aussi chez l'ostéopathe voire un kiné pour déspammer au moins en partie ses masseters.

Pourquoi n'a t il pas porté ses gouttières ?


maz

05/02/2012 à 12h29

Pier écrivait:
--------------
> Si au préalable les causes qui ont abouties à ce résultat et à ce désordre
> occlusal ne sont pas réglées , il y a de grandes chances ou malchances que les
> mêmes causes produisant les mêmes effets, on se retrouve avec les restaurations
> magnifiques envisagées dans le même état que ce qui existe actuellement. Les
> éléments composites collées ont peu de chance de ne pas être abrasés et réduits
> à leur plus simple expression, vu ce que le patient a fait de ses dents et de
> ses couronnes en métal.
> Par ailleurs, a t il des douleurs associées au niveau des ATM des épaules du
> cou, présente t il des troubles de la déglutition, présente t il des
> contractures anormales au niveau des élévateurs et des abaisseurs?
> Si non , peut être faudrait il voir ces abrasions en partie comme une tentative
> d'adaptation de l'appareil stomatognatique , adaptation ayant entrainée un
> résultat inesthétique (car de plus renforcé par des mauvaises habitudes et des
> causes iatrogènes) mais nécessaire, l'adaptation, à la protection du reste des
> éléments composant le dit appareil.

Si je savait régler les causes du bruxisme, je serais le conférencier le plus demandé du moment !
les éléments en composite collé sont il me semble, si faits au labo, ce qui se rapproche le plus de l'abrasion des dents naturelles, et ont en plus l'avantage de se réparer facilement.
il a ses couronnes en métal depuis plus de 20 ans, il a eu le temps de les user
les abrasions comme une tentative d'adaptation de l'appareil stomatognatique, ça sous entend une cause dentaire au bruxisme, et au moins ça on sait que ce n'est pas le cas


maz

05/02/2012 à 12h35

Le Choixpeau magique écrivait:
------------------------------
> maz écrivait:
> -------------
> > ce que je disais dans mon second post, bruxisme + acidité + habitudes
> iatrogènes
> >
> > tu penses à autre chose ?
>
> Non, je pense que la cause principale est l'acidité, compliqué par le bruxisme.
>
> Sachant cela, si l'acidité ne peut pas être contrôlée, quel pronostic auront les
> restaurations _partielles_ que tu envisages ?

j'aimerais bien savoir ce qui te fait penser ça
c'est clair pour pour comprendre un problème multifactoriel comme ça, il faut essayer de déméler les causes, le plus souvent en parlant avec le patient et surtout en essayant de "lire" ces différentes usures sur les dents.

ce qui me semble sur, c'est que bruxisme + acidité ensemble, ça potentialise le problème énormément

j'ai aussi évoqué avec le patient le problème de reflux gastro oesophagique, et il m'a dit en avoir la journée et avoir quelques problèmes d'estomac, c'est pourquoi la cause acide est clairement à régler avant d'attaquer le boulot

de même que la cause des machonnements de tournevis/stylo au niveau des prémos

pronostic des restaurations si il reste le problème acide : bof bof, il restera de l'émail autour des dents, ça tiendra un peu, mais ça continuera de s'user partout ou il restera de la dent


maz

05/02/2012 à 12h37

baroud69 écrivait:
------------------

> Pourquoi n'a t il pas porté ses gouttières ?

parce qu'il ne voyait pas de différences avec ou sans, parce que les secondes le génait sur la gencive
je pense aussi que son problème ne lui avait pas vraiment été expliqué et que l'utilité des gouttières non plus


Marque a3 orange fyvhyq - Eugenol
Marc Apap

05/02/2012 à 12h39

J'insiste encore sur un point, parce que je ne sais pas si tu as bien compris ce que je pense, et qui me semble être juste :
Ton composite a peut être (et encore) une résistance à l'abrasion voisine de celle de la dent (de la dentine plus que de l'émail, disons, entre les deux), mais ce qui est le maillon le plus faible, c'est l'interface dent-obturation.
D'une part, on a peu d'émail pour se coller dessus (et c'est quand même sur l'émail que le collage est le plus efficace ou en tous cas le plus fiable)
D'autre part, la dentine abrasée est scléreuse et hyperminéralisée, c'est à dire assez mauvaise pour obtenir une bonne couche hybride.
Enfin, les efforts de cisaillement et les tensions en compression subis par le composite sont à prendre en compte chez ce genre de patient. Quand on voit qu'il abrase aussi bien l'acier que les amalgames, vouloir lui coller des composites par dessus les dents est de la pure inconscience.


maz

05/02/2012 à 12h48

Marc Apap écrivait:
-------------------
> J'insiste encore sur un point, parce que je ne sais pas si tu as bien compris ce
> que je pense, et qui me semble être juste :
> Ton composite a peut être (et encore) une résistance à l'abrasion voisine de
> celle de la dent (de la dentine plus que de l'émail, disons, entre les deux),
> mais ce qui est le maillon le plus faible, c'est l'interface dent-obturation.
> D'une part, on a peu d'émail pour se coller dessus (et c'est quand même sur
> l'émail que le collage est le plus efficace ou en tous cas le plus fiable)
> D'autre part, la dentine abrasée est scléreuse et hyperminéralisée, c'est à dire
> assez mauvaise pour obtenir une bonne couche hybride.
> Enfin, les efforts de cisaillement et les tensions en compression subis par le
> composite sont à prendre en compte chez ce genre de patient. Quand on voit qu'il
> abrase aussi bien l'acier que les amalgames, vouloir lui coller des composites
> par dessus les dents est de la pure inconscience.

merci de préciser, je pensais bien à quelque chose comme ça

l'école suisse montre des cas de restauration de ce style seulement additifs, avec adhésion partout, ça semble marcher depuis quelques années
il y a toute une journée sur le sujet à mimesis cette année :
Jeudi 04 octobre Francesca VAILATI de l’Université de Genève : "Traitement ultraconservateur des érosions : méthodologie, traitements des échecs, pérennité des résultats"

c'est sur ce sujet que j'ai dit que je pense que bien fait, ça marche, mais que je ne maitrise probablement pas (encore !) assez tout ça pour le faire moi


Marque a3 orange fyvhyq - Eugenol
Marc Apap

05/02/2012 à 13h14

Sinon, colle-lui (façon de parler puisque c'est un système amovible) deux Snap-On Smile et ne t'emmerde plus !

2 e8z5kj - Eugenol
3 ynnt5o - Eugenol
1 d1vreh - Eugenol
4 r3f3ot - Eugenol

Fourre tout 05 12 08 017 apc4pu - Eugenol
Pier

05/02/2012 à 14h25

+1


Fourre tout 05 12 08 017 apc4pu - Eugenol
Pier

05/02/2012 à 14h31

maz écrivait:
-------------


> les abrasions comme une tentative d'adaptation de l'appareil stomatognatique, ça
> sous entend une cause dentaire au bruxisme, et au moins ça on sait que ce n'est
> pas le cas

Tu veux dire en général ou pour ce cas en particulier ?


maz

05/02/2012 à 16h28

en général


maz

05/02/2012 à 16h33

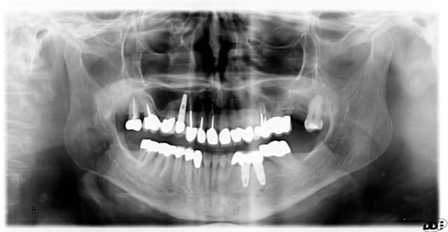
merci choixp', en regardant bien en détail les zones d'érosion, avec ces zones érodées plus en palatin en haut et sur les faces occlusales en bas ; c'est vrai que ça ressemble à un fort reflux gastro-oesophagique, dont on a parlé lors du bilan avec le patient, mais que j'ai du sous-estimer

après savoir qui du bruxisme ou de l'érosion est prépondérant dans un cas pareil c'est dur, mais pourquoi pas l'érosion dans son cas, ça semble possible

du coup, le pronostic du traitement est meilleur, si le gastro règle ça

Marc, merci pour les snap-on smile, je pourrais toujours lui proposer ça si il a pas envie de se lancer dans un gros plan de traitement !


Smile beach jgh0a1 - Eugenol
Céramik

05/02/2012 à 16h46

maz écrivait:
-------------
> merci choixp', en regardant bien en détail les zones d'érosion, avec ces zones
> érodées plus en palatin en haut et sur les faces occlusales en bas ; c'est vrai
> que ça ressemble à un fort reflux gastro-oesophagique, dont on a parlé lors du
> bilan avec le patient, mais que j'ai du sous-estimer
>
> après savoir qui du bruxisme ou de l'érosion est prépondérant dans un cas pareil
> c'est dur, mais pourquoi pas l'érosion dans son cas, ça semble possible
>
> du coup, le pronostic du traitement est meilleur, si le gastro règle ça
>
> Marc, merci pour les snap-on smile, je pourrais toujours lui proposer ça si il a
> pas envie de se lancer dans un gros plan de traitement !


L'idée du Snap on smille est bonne.
Attention...faire un devis avec le labo, c'est assez $$$
Impossible d'ajouter sur la matériel Snap on smile, rien n'y colle.
Aussi impossible de manger avec, donc, pour tester une dv 24h sur 24h, c'est pas possible.
Les surcontours sont important avec les snap on smile... Donc moins physiologique, pour la phonétique peut-être plus difficile.
Le truc, c'est de bien déterminer la dv, selon moi, on doit ouvrir d'au moins 5 mm, voir 8 mm.

On revient aux pistes de départ, consult en gastro, apnée du someil, habitudes orales, diète.
Soins de base, nouvelle dv, tester le truc et couronnes.



--
Céramik


Smile beach jgh0a1 - Eugenol
Céramik

05/02/2012 à 16h50

Vancou350 écrivait:
-------------------
> Beau cas!
>
>Après avoir mis
> quelques milliers d'euros dans sa bouche, le port de la gouttière peut être très
> bien observé par le patient soucieux de ne pas tout foutre en l'air...
>

Tu as oublié le mot dizaine...

Quelques dizaines de milliers d'euro...

Si tu fais cela pour quelques milliers d'euro, j'y crois pas.

;-))



--
Céramik


flicflac

05/02/2012 à 21h32

Cas similaire, mais sans érosion en pré-op, seulement attrition et perte de DVO. D'après moi, un patient bruxeur restera bruxeur....
après quelques traitements endodontiques, l'accord de la patiente pour couronnes en or complètes en postérieur; quasi indestructibles...et quelques implants pour les zones édentées..

Post op  2  y3limm - Eugenol
Post op  1  osgswu - Eugenol

Smile beach jgh0a1 - Eugenol
Céramik

05/02/2012 à 21h56

flicflac écrivait:
------------------
> Cas similaire, mais sans érosion en pré-op, seulement attrition et perte de DVO.
> D'après moi, un patient bruxeur restera bruxeur....
> après quelques traitements endodontiques, l'accord de la patiente pour couronnes
> en or complètes en postérieur; quasi indestructibles...et quelques implants pour
> les zones édentées..

Tu as des photos ?


--
Céramik


flicflac

05/02/2012 à 22h09

non malheureusement, pas de pré-op.
Ma venue sur eugenol a fait en sorte que maintenanrt je prends plus de photos que simplement pour les prisent de couleur ou traitement ortho.
Je pourrais prendre les modèles de pierres en pré-op

Couleur implant 34 35 cw6kah - Eugenol

Fouilla h6plsy - Eugenol
fouilla

05/02/2012 à 22h45

Pour me la péter un peu un cas féminin traite et suivi depuis un certain temps

http://www.eugenol.com/sujets/306617-bruxogirl?page=1

Un éclat sur une Ccm implantaire
À l époque on m à reproche d avoir traité les dents et de ne pas avoir reconstitué par collage
Depuis la gestion est reste très simple et sans gouttière la chance était avec moi


--
.


baroud69

06/02/2012 à 10h50

ok

en ce qui me concerne, je commence dans ce genre de cas par une période de 3 mois de port de gouttière (mais une gouttière de type plan de morsure retro incisif) avec visite ostéopathe pour équilibrer les muscles masticateurs (souvent un pb de dos ou de hanche pour info).

Le but est de s'assurer que le port de la gouttière sera effectif.

N'oublie pas que même s'il bruxe et qu'il explose tes couronnes (car c'est de ça dont il s'agit), tu en seras responsable. Sans gouttière il va tout t'exploser. Commence par là.


isaïe

06/02/2012 à 13h44

"équilibrer les muscles masticateurs (souvent un pb de dos ou de hanche pour info)."

"Expliquez-moi, car je chancelle.
Comment cela s'est-il produit ? "
(sur un air connu)


Logo qw3xdt - Eugenol
DDS

06/02/2012 à 14h26

Ce type de cas est très détaillé dans l'article de Francesca Vailati du EUROPEAN JOURNAL OF ESTHETIC DENTISTRY VOLUME 3 • NUMBER 1 • SPRING 2008 Full-Mouth Adhesive Rehabilitation of a Severely Eroded dentition:The Three-Step Technique.


Très bon article bien détaillé, qui aide beaucoup...

Tu as aussi l'article de Roberto Spreafico également dans le même journal
Composite Resin Rehabilitation of Eroded Dentition in a Bulimic Patient: a Case Report (THE EUROPEAN JOURNAL OF ESTHETIC DENTISTRY VOLUME 5 • NUMBER 1 • SPRING 2010)

Bon courage ;)

Pour quelques dizaines de milliers d'euros, le patient devrait être motivé.
Intéressant pour toi au passage comme cas.

--
Normal is not something to aspire to, it's something to get away from...


Smile beach jgh0a1 - Eugenol
Céramik

06/02/2012 à 15h34

DDS écrivait:
-------------
> Ce type de cas est très détaillé dans l'article de Francesca Vailati du EUROPEAN
> JOURNAL OF ESTHETIC DENTISTRY VOLUME 3 • NUMBER 1 • SPRING 2008 Full-Mouth
> Adhesive Rehabilitation of a Severely Eroded dentition:The Three-Step Technique.
>
>

http://www.saed.nu/images/Marketing/saed%20ejed%202.pdf

Merci pour la réf.
Article qui ressemble bcp au concept que P Magne présente.
J'aime cette approche


Aussi
http://www.edudentinternational.com/download/tooth_wear/01_tooth_wear_parti_ejed_2011.pdf




--
Céramik


baroud69

06/02/2012 à 16h09

Pour info, cette dame fera une conférence à la SBOS (société odontologique du beaujolais) le 22 mars 2012...

> http://www.sbos.fr/


baroud69

06/02/2012 à 17h35

merci pour les liens


maz

06/02/2012 à 20h47

merci pour les liens et pour tous vos avis

je viens de quitter le patient, je lui ai proposé :

1 - gouttière pour valider la nouvelle position mandibulaire, après avoir remplacé tous amalgames par compo et fait RTE et compo 36 et après diagnostic esthétique et wax up antérieur
en parallèle : courrier pour ORL pour apnées du sommeil et réveils dans la nuit et nez souvent pris ...
courrier gastro pour reflux gastro-oesophagique
exo de la 48 avec LIPOE, voir si exo 18-38

si ok au bout de 3 mois, voir retour des médecins aussi

2 - collage onlay sur 28 dents (+gouttière nocturne), préparations à minima de l'émail périphérique seulement
prévenu que ça pouvait s'user, se casser cause bruxisme
a garder environ 12 mois pour être sur qu'on soit bon

3 - au besoin :
couronnes par dessus les onlays
facettes ou couronnes devant pour esthétique
elongations coronaires pour esthétique
ça pourra se faire petit à petit


je revois bientôt le patient pour le faire le compo sur la carie de la 22, j'aurais des nouvelles à ce moment là


maz

06/02/2012 à 21h16

baroud69 écrivait:
------------------

> N'oublie pas que même s'il bruxe et qu'il explose tes couronnes (car c'est de ça
> dont il s'agit), tu en seras responsable. Sans gouttière il va tout t'exploser.
> Commence par là.

je ne suis pas du tout d'accord avec ça

je ne me vois pas responsable du fait qu'il bruxe, ou qu'il explose mes couronnes éventuelles, a moins bien sur qu'il y ait une malfaçon ou une erreur dans leur conception

c'est en pensant des trucs pareils qu'on a peur de se lancer et qu'on ne fait rien

par contre j'ai été très clair avec lui (aussi par écrit d'ailleurs) qu'il allait user ou péter des choses, qu'il faudrait réparer ou changer, et qu'une gouttière la nuit diminuerait un peu ce risque.


123...