Cookie Consent byPrivacyPolicies.combruxoman, héros de l'univers - Eugenol

bruxoman, héros de l'univers

maz

08/03/2012 à 17h39

le patient à accepté le traitement, et le devis, donc ça va bientôt commencer, je vous tiendrais au courant, histoire de voir si je pars au carton ou si tout va passer facile ...


Amibien

08/03/2012 à 18h28

Pier écrivait:
--------------
> Si au préalable les causes qui ont abouties à ce résultat et à ce désordre
> occlusal ne sont pas réglées , il y a de grandes chances ou malchances que les
> mêmes causes produisant les mêmes effets, on se retrouve avec les restaurations
> magnifiques envisagées dans le même état que ce qui existe actuellement. Les
> éléments composites collées ont peu de chance de ne pas être abrasés et réduits
> à leur plus simple expression, vu ce que le patient a fait de ses dents et de
> ses couronnes en métal.
> Par ailleurs, a t il des douleurs associées au niveau des ATM des épaules du
> cou, présente t il des troubles de la déglutition, présente t il des
> contractures anormales au niveau des élévateurs et des abaisseurs?
> Si non , peut être faudrait il voir ces abrasions en partie comme une tentative
> d'adaptation de l'appareil stomatognatique , adaptation ayant entrainée un
> résultat inesthétique (car de plus renforcé par des mauvaises habitudes et des
> causes iatrogènes) mais nécessaire, l'adaptation, à la protection du reste des
> éléments composant le dit appareil.
**************************************************


Enfin, une réponse intelligente !


Amibien

08/03/2012 à 18h30

maz écrivait:
-------------
> le patient à accepté le traitement, et le devis, donc ça va bientôt commencer,
> je vous tiendrais au courant, histoire de voir si je pars au carton ou si tout
> va passer facile ...
*************************************************


Il a accepté le devis mais pose lui la question de savoir quelle sera sa réaction si tes reconstructions se font la malle peu de temps après la pose ? Il serait prudent de lui expliquer que nécessairement cela va casser et d'être préparés lui comme toi à ce cas de figure obligé...


maz

08/03/2012 à 18h44

oui, oui, j'ai bien prévenu qu'ayant bousillé ses dents, il peut tout bousiller, quel que soit le matériau que je lui mette en bouche d'ailleurs
il sait que les onlay compo pourront être à réparer
qu'eventuellement on pourrait couronner certaines dents
bref, je lui ait dit et redit

après, si on fait rien, c'est pas fantastique non plus, il faut bien faire quelque chose

et je ne vais pas te l'envoyer pour que tu lui tapote sur les dents, ton cabinet est un peu loin !


baroud69

08/03/2012 à 19h44

maz écrivait:
-------------
> baroud69 écrivait:
> ------------------
>
> > N'oublie pas que même s'il bruxe et qu'il explose tes couronnes (car c'est de
> ça
> > dont il s'agit), tu en seras responsable. Sans gouttière il va tout
> t'exploser.
> > Commence par là.
>
> je ne suis pas du tout d'accord avec ça
>
> je ne me vois pas responsable du fait qu'il bruxe, ou qu'il explose mes
> couronnes éventuelles, a moins bien sur qu'il y ait une malfaçon ou une erreur
> dans leur conception
>
> c'est en pensant des trucs pareils qu'on a peur de se lancer et qu'on ne fait
> rien
>
> par contre j'ai été très clair avec lui (aussi par écrit d'ailleurs) qu'il
> allait user ou péter des choses, qu'il faudrait réparer ou changer, et qu'une
> gouttière la nuit diminuerait un peu ce risque.


C'est la jurisprudence : le seul moyen de couvrir ses arrières est d'imposer la gouttière. Si elle n'est pas portée là il y a non respect des consignes. Mais si tu ne fais pas la gouttière et que ça casse, les juges te rappelleront qu'en terme de prothèse nous avons une obligation de résultat (quelle connerie d'ailleurs).


baroud69

08/03/2012 à 19h48

isaïe écrivait:
---------------
> "équilibrer les muscles masticateurs (souvent un pb de dos ou de hanche pour
> info)."
>
> "Expliquez-moi, car je chancelle.
> Comment cela s'est-il produit ? "
> (sur un air connu)

J'ai traité avec succès un grand nombre de bruxisme en faisant juste un courrier pour l'ostéo qui a réussi à déverrouiller les tensions musculaires du rachis et en déspasmant les muscles masticatoires.

Une fois les ATM équilibrées et surtout les muscles plus au repos, une chtite JIG tu trouves un ou deux prématurités que le patient avait pris l'habitude d'éviter, tu meules (ou tu additionne par du compo) et hop, les raideurs au cou ont disparus, les semelles plantaires deviennent inutiles.... Enfin pas toujours :p

Evidemment, faut avoir une certaines sensibilité ostéo avec leurs explications pas toujours très cartésiennes.. mais je m'en cogne, ça marche.


isaïe

08/03/2012 à 20h57

L'important est le résultat que tu obtiens chez ces patients bruxomanes.
C'est le langage utilisé qui est un peu gênant. S'agit-il réellementde spasticité ? Quel est le chemin neurologique suivi par cette pathologie ? Quel est l'effet d'un inhibiteur présynaptique sur le bruxisme? Peut-on le rapprocher du trismus ? Un muscle verrouillé, c'est quoi ?
Mais bon, si ton protocole génère des résultats reproductibles...


maz

08/04/2012 à 01h05

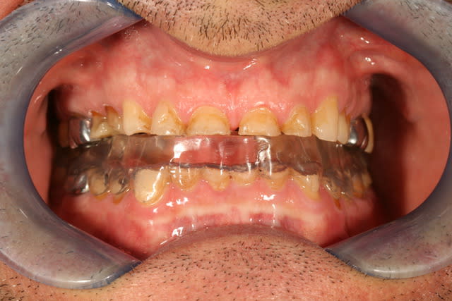
et hop, j'up le post avec quelques news

en vue du tout collé, j'ai fait la reprise d'endo de la 36 et protégé les zones de dentine exposée avec du composite, ça me fait l'IDS pour les futurs collages, je vais a partir de maintenant pouvoir coller à sec ;p

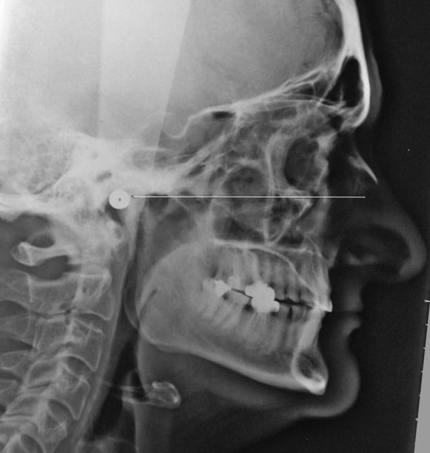
je vous mettrait les photos de la gouttière, mais là je me pose la question de l'augmentation de la DVO, à savoir de combien ?

si je regarde la téléradio de profil, ça me sort une augmentation énorme
si je regarde sa tronche, ça me dit d'augmenter beaucoup
si je regarde les rapports entre les antérieures, faut y aller un max
... bref, ça va me faire une augmentation d'1cm au niveau incisif je pense

du coup la gouttière va être énorme, je pense pas pouvoir la lui faire porter trop longtemps
pareil, j'écoute tous les avis, et je vous tiendrais au courant au fur et à mesure

Mr t collage haut kysnzn - Eugenol
Mr t sect3 apr s z1anj8 - Eugenol
Mr t t l radio sy6c5s - Eugenol
Mr t sect3 avant x2xmlq - Eugenol

200106 10150128247663588 709988587 6466236 5598391 n d7mksb - Eugenol
hallboy

08/04/2012 à 02h39

ton proth qui bouffe de la maquette toute la sainte journéee va te faire un wax en fonctin de ce qu'il pense qu'etaient les dents avant qu'ils ne se les bouffe. et ça va te donner une hauteur. de toute façon faudra bien remonter le bordel et pour le remonter faudra waxer.
et je crois sinceremnt que c'est aps super important. tu imaginede de combien certains edentées totaux ont du ete remontés qd on on leur a collé leur 2 berlingots?

Par conte je serais toi jeui expliquerai bien l'interet de tout cela a ton patient, histoire d lui faire avaler l'histoire: pas l'interet mecanique ( on va vous proteger vos atm et vote menique blablabla ) dis lui bien qu'il va plus ressembler a Popeye qd il avale sa salive a vec la pointe du nez qui lui teouche le menton que ça va le rajeunir, que ça va lui transfigurer le sourire , qu'il aura l'air plus reposé, plus en forme etcetc. ça doit etre uen transformation souhairéee , attendue; pas une epreuve a la quelle on doit encore s'adapter. pas untruc a demolir en grinçant dessus.


maz

08/04/2012 à 11h32

merci, je pense que tu as tout à fait raison sur la façon de lui parler, quand on est la tête dans le guidon dans un cas (pour moi) complexe, on en oublie parfois l'essentiel

je vais lui rappeler tout ça au prochain rendez vous quand on prendra la RC à la nouvelle hauteur pour faire faire la gouttière


Amibien

03/05/2012 à 16h52

Oui, pour la santé financière d'un cabinet il vaut mieux taper dans le visible et le tangible plutôt que d'oeuvrer dans l'invisible, l'impalpable, l'insaisissable.

Et même si ça ne marche pas il restera des traces visibles du travail réalisé, par ici la monnaie. Et puis allez savoir si au final le problème réel, lui aussi invisible et difficilement imaginable, ne va pas quand même trouver sa solution... tout à fait par hasard lors de ce travail concret et bien encadré ?

Comprenne qui pourra.


Images jm2g2g - Eugenol
dr_0le

03/05/2012 à 17h01

Amibien écrivait:
-----------------

> Comprenne qui pourra.

pas moi ...


Amibien

03/05/2012 à 17h52

dr_0le écrivait:
----------------
> Amibien écrivait:
> -----------------
>
> > Comprenne qui pourra.
>
> pas moi ...

********************************************

Pour t'aider, je cite notre ami maz

"merci, je pense que tu as tout à fait raison sur la façon de lui parler, quand on est la tête dans le guidon dans un cas (pour moi) complexe, on en oublie parfois l'essentiel

je vais lui rappeler tout ça au prochain rendez vous quand on prendra la RC à la nouvelle hauteur pour faire faire la gouttière."





Et je répète .... "on en oublie parfois (souvent, toujours ?) l'essentiel"


maz

03/05/2012 à 18h46

Amibien écrivait:
-----------------
> Oui, pour la santé financière d'un cabinet il vaut mieux taper dans le visible
> et le tangible plutôt que d'oeuvrer dans l'invisible, l'impalpable,
> l'insaisissable.
>
> Et même si ça ne marche pas il restera des traces visibles du travail réalisé,
> par ici la monnaie. Et puis allez savoir si au final le problème réel, lui aussi
> invisible et difficilement imaginable, ne va pas quand même trouver sa
> solution... tout à fait par hasard lors de ce travail concret et bien encadré ?
>
> Comprenne qui pourra.

je pense que j'ai compris
mais tu sais ce que j'en penses : le plus grand bien, mais pas (financièrement d'abord) la possibilité à l'heure actuelle de me lancer à fond dedans comme ça le mérite
je vais d'abord apprendre à mener à bien une bonne dentisterie "classique", et à devenir rentable comme ça, le reste venant pour moi après.


maz

03/05/2012 à 18h54

j'avais un peu zappé de mettre à jour avec la pose de la gouttière

1 prise de la RC avec un pointeau central

2 prise d'un arc facial pour pouvoir ouvrir et fermer l'articulateur sans me foutre dedans

3 montage articu

4 determination de la DVO avec les critères suivants :
céphalométrie
proportions des dents
surplomb
recouvrement
esthétique du visage
hauteur prothétique antérieure et postérieure

au final j'aurais pu augmenter un peu plus pour être mieux devant, mais ça faisait une telle augmentation au niveau des prémos qui j'ai pas osé aller plus loin, et ça correspond tel quel aux valeurs de l'analyse cephalo

réalisation de la gouttière

A classer 004 yhd3qs - Eugenol
A classer 027 vrzldh - Eugenol
A classer 026 xddyzn - Eugenol
A classer 030 xhps4m - Eugenol
A classer 029b tffxlq - Eugenol

Amibien

03/05/2012 à 20h03

CQFD !!!!!


Smile beach jgh0a1 - Eugenol
Céramik

04/05/2012 à 01h44

maz écrivait:
-------------
> 1 prise de la RC avec un pointeau central

> 2 prise d'un arc facial pour pouvoir ouvrir et fermer l'articulateur sans me foutre dedans


Je trouve que ça donne une ouverture purement mécanique aproximative, sans tenir compte des muscles, des ATM, ni de la physiologie du patient.


> > réalisation de la gouttière

Il va la porter combien de temps ?
24h sur 24h ?

Des provisoires fixes bi-maxillaires seraient mieux adaptées pour une situation comme celle-là, non ?

Ce cas est terminé ?

Merci


--
Céramik


Fourre tout 05 12 08 017 apc4pu - Eugenol
Pier

04/05/2012 à 02h09

Merci Amibien,ça faisait longtemps qu'on ne te voyait plus.

Amibien écrivait:
-----------------
> Pier écrivait:
> --------------
> > Si au préalable les causes qui ont abouties à ce résultat et à ce désordre
> > occlusal ne sont pas réglées , il y a de grandes chances ou malchances que les
> > mêmes causes produisant les mêmes effets, on se retrouve avec les
> restaurations
> > magnifiques envisagées dans le même état que ce qui existe actuellement. Les
> > éléments composites collées ont peu de chance de ne pas être abrasés et
> réduits
> > à leur plus simple expression, vu ce que le patient a fait de ses dents et de
> > ses couronnes en métal.
> > Par ailleurs, a t il des douleurs associées au niveau des ATM des épaules du
> > cou, présente t il des troubles de la déglutition, présente t il des
> > contractures anormales au niveau des élévateurs et des abaisseurs?
> > Si non , peut être faudrait il voir ces abrasions en partie comme une
> tentative
> > d'adaptation de l'appareil stomatognatique , adaptation ayant entrainée un
> > résultat inesthétique (car de plus renforcé par des mauvaises habitudes et des
> > causes iatrogènes) mais nécessaire, l'adaptation, à la protection du reste
> des
> > éléments composant le dit appareil.
> **************************************************
>
>
> Enfin, une réponse intelligente !
>
>


maz

04/05/2012 à 02h30

Céramik écrivait:
-----------------
> maz écrivait:
> -------------
> > 1 prise de la RC avec un pointeau central
>
> > 2 prise d'un arc facial pour pouvoir ouvrir et fermer l'articulateur sans me
> foutre dedans
>
>
> Je trouve que ça donne une ouverture purement mécanique aproximative, sans tenir
> compte des muscles, des ATM, ni de la physiologie du patient.
>
>
> > > réalisation de la gouttière
>
> Il va la porter combien de temps ?
> 24h sur 24h ?
>
> Des provisoires fixes bi-maxillaires seraient mieux adaptées pour une situation
> comme celle-là, non ?
>
> Ce cas est terminé ?
>
> Merci
>
>
> --
> Céramik

comment fais-tu pour determiner une position à la mandibule dans un cas ou tu ne repart de rien ?

je lui ai demandé de porter la gouttière tout le temps, sauf pour manger
je pense entre 1 et 2 mois

des provisoires fixes seraient fantastiques, je suis complètement d'accord, mais difficiles à faire puisque pas de retention mécanique, il faudrait qu'elles soient collées, et je ne sais pas faire pour le moment ; si tu as des trucs pour ça, je suis tout ouie !

ce cas est en cours, il porte la gouttière en ce moment, aux première nouvelles puisqu'il la porte depuis quelques semaines, il est très content, se sent bien avec, et elle lui manque quand il la porte pas.
perso après l'avoir posée, je trouve que ça lui change sa tête, c'est déjà ça de gagné !


3f3boxni50k58rq7e9ce9ddqrxgk - Eugenol
dentiste57

04/05/2012 à 02h56

pardon de minimiser dans cette succulente conversation, mais pourrais tu m'expliquer un peu (moi qui ne suis qu'un funeste et humble dentiste) comment ça marche la prise de la RC avec un pointeau central ??
et pis l'analyse cephalo ??


Smile beach jgh0a1 - Eugenol
Céramik

04/05/2012 à 04h25

maz écrivait:
-------------
>
> je lui ai demandé de porter la gouttière tout le temps, sauf pour manger
> je pense entre 1 et 2 mois


Faut qu'il la porte 24h ET pour manger pour vraiment tester la nouvelle position. Le design de la gouttières actuelle ne permet pas cela.

>
> des provisoires fixes seraient fantastiques, je suis complètement d'accord, mais
> difficiles à faire puisque pas de retention mécanique, il faudrait qu'elles
> soient collées, et je ne sais pas faire pour le moment ; si tu as des trucs pour ça, je suis tout ouie !


Facile, tu les colles ! En direct (clée en silicone et collage en place) ou en indirect (fait au labo, en résine)






>
> ce cas est en cours, il porte la gouttière en ce moment, aux première nouvelles puisqu'il la porte depuis quelques semaines, il est très content, se sent bien
> avec, et elle lui manque quand il la porte pas.
> perso après l'avoir posée, je trouve que ça lui change sa tête, c'est déjà ça de
> gagné !

Oui, mais tu n'as pas de position fixe pour retrouver l'équilibre en 3D. Tu a une position statique, peut-être bien, mais pas testée en fonction...


--
Céramik


Amibien

04/05/2012 à 08h28


> je lui ai demandé de porter la gouttière tout le temps, sauf pour manger
> je pense entre 1 et 2 mois
********************************************************




et pourquoi pas pour manger ??????????? ça n'a pas de sens !


maz

04/05/2012 à 10h02

Céramik écrivait:
-----------------
>
> Faut qu'il la porte 24h ET pour manger pour vraiment tester la nouvelle
> position. Le design de la gouttières actuelle ne permet pas cela.

tout à fait d'accord, mais pour reussir à le faire manger avec, il faudrait un design différent, qui me semble impossible à atteindre avec ses dents du haut tellement abrasées.
peut etre est-ce possible quand même, ou peut-être est-ce qu'il faudrait une gouttière en haut et une en bas pour ça ??

> Facile, tu les colles ! En direct (clée en silicone et collage en place) ou en
> indirect (fait au labo, en résine)

ça me pose pas mal de problèmes :
clef en silicone veut dire collage sans digue je suppose d'une part, et d'autre part il va falloir enlever tout les provisoires pour la suite, donc puisque c'est collé tout découper sans abimer la dent en dessous sur toutes les dents ...
ou alors tu tailles dans tes provisoires pour la suite ? mais du coup c'est des couronnes et pas des onlay comme j'ai prévu, et du coup à quoi bon faire des provisoires collés et pas des couronnes provisoires ?

pour les provisoires de labo en résine, c'est un peu ce que je vais faire, mais je vois peu l'intérêt de les faire en provisoires, pourquoi pas en "définitif" ?

bref, ça fait partie de mes grandes questions existentielles du moment, les provisoires dans les cas de gros cas de dentisterie adhésive, si tu as des exemple, ça m'intéresse beaucoup.


> Oui, mais tu n'as pas de position fixe pour retrouver l'équilibre en 3D. Tu a
> une position statique, peut-être bien, mais pas testée en fonction...

tout à fait, je ne teste que la position statique ; je me dis que c'est toujours ça de prit.


maz

04/05/2012 à 10h04

dentiste57 écrivait:
--------------------
> pardon de minimiser dans cette succulente conversation, mais pourrais tu
> m'expliquer un peu (moi qui ne suis qu'un funeste et humble dentiste) comment ça
> marche la prise de la RC avec un pointeau central ??
> et pis l'analyse cephalo ??
>

pas de soucis, j'ai pas le temps là parce que je pars bosser, mais ce soir ou ce week end j'essaie de détailler un petit peu ça


Amibien

04/05/2012 à 16h15

dentiste57 écrivait:
--------------------
moi qui ne suis qu'un funeste et humble dentiste
*************************



d'accord pour le funeste mais le humble ??? ... (:-))