Cookie Consent byPrivacyPolicies.combruxoman, héros de l'univers - Eugenol

bruxoman, héros de l'univers

Amibien

04/05/2012 à 16h16

maz écrivait:
-------------

> pas de soucis, j'ai pas le temps là parce que je pars bosser, mais ce soir ou ce
> week end j'essaie de détailler un petit peu ça
***************************************************



oui, l'analyse céphalo, ça m'intéresse au plus haut point...


3f3boxni50k58rq7e9ce9ddqrxgk - Eugenol
dentiste57

04/05/2012 à 22h20

Amibien écrivait:
-----------------
> dentiste57 écrivait:
> --------------------
> moi qui ne suis qu'un funeste et humble dentiste
> *************************
>
>
>
> d'accord pour le funeste mais le humble ??? ... (:-))

elle était trop facile cette perche.


3f3boxni50k58rq7e9ce9ddqrxgk - Eugenol
dentiste57

04/05/2012 à 22h22

maz écrivait:
-------------
> dentiste57 écrivait:
> --------------------
> > pardon de minimiser dans cette succulente conversation, mais pourrais tu
> > m'expliquer un peu (moi qui ne suis qu'un funeste et humble dentiste) comment
> ça
> > marche la prise de la RC avec un pointeau central ??
> > et pis l'analyse cephalo ??
> >
>
> pas de soucis, j'ai pas le temps là parce que je pars bosser, mais ce soir ou ce
> week end j'essaie de détailler un petit peu ça

merci, je te prends au mot.
je reconnais que je suis très limité en analyse occlusale, mais je me soigne.la preuve!


Smile beach jgh0a1 - Eugenol
Céramik

05/05/2012 à 06h45

maz écrivait:
-------------
>
> tout à fait d'accord, mais pour reussir à le faire manger avec, il faudrait un
> design différent, qui me semble impossible à atteindre avec ses dents du haut
> tellement abrasées.
> peut etre est-ce possible quand même, ou peut-être est-ce qu'il faudrait une
> gouttière en haut et une en bas pour ça ??



Oui, provisoires bi-maxillaires.
En fait, c'est la reproduction du wax-up en bouche, avec résine provisoire, que tu colles.

Pour la dépose, tu tailles dedans, la forme que tu veux, pas besoin de faire des couronnes.

Ça colle, mais pas comme de la céram quand même, c'est réversible.



> --
Céramik


Amibien

05/05/2012 à 08h45

maz écrivait:
-------------
je me dis que c'est toujours
> ça de prit.
*******************************************



Maz, de pris... !!!! L'orthographe ça n'a pas de prix mais ça vaut tout l'or du monde


maz

05/05/2012 à 10h12

tu as raison

en quelques années, je me suis mis à ne plus écrire, je ne tape plus qu'à l'ordi
et le cerveau réfléchit moins à cause du correcteur orthographique

pareil pour le gps au lieu de la carte et de préparer son trajet

ou google au lieu d'une mémoire stimulée

des fois je me dis que .... bref, ça n'a rien n'as voire avéq le sujai


maz

07/05/2012 à 00h49

pour revenir au sujet, l'analyse cephalo :

l'idée c'est de relier les dents a un cadre squelettique global du patient, histoire de pas se foutre dedans quand on lui remet des dents.

plus précisément, une analyse cephalo permet de trouver des valeurs personnalisées pour :
évaluer la DVO
évaluer le plan et la courbe d'occlusion
évaluer le guide antérieur

le moyen :
une téléradiographie de profil
quelques repères et mesures (pao et 10cm marqués sur radio, longueur arcade maxillaire sur un moulage)
on rentre les points dans un logiciel informatique sur la radio numérisée (logiciel CAPT ou CADO, on peut le trouver sur le site du CNO provence)
le logiciel fait un ensemble d'analyse et sort les résultats

on s'inspire des resultats pour reconstruire les dents du patient

mais, le logiciel est un vieux truc de 12 ou 13 ans pas vraiment remis au gout du jour, le faire tourner est chiant, et il est bien buggé, on peut pas sauvegarder les résultats, je fais donc des copies d'écran des resultats

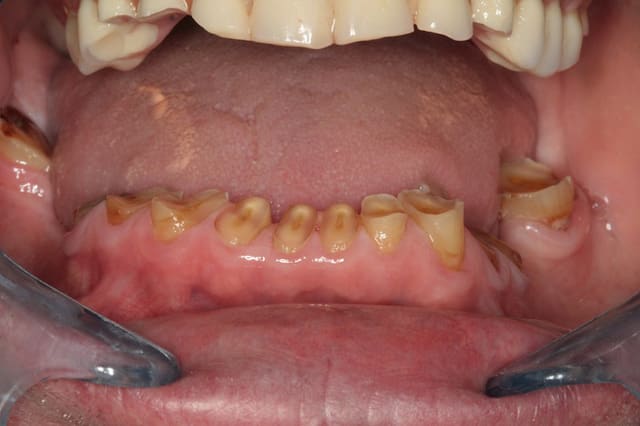
dans le cas du patient qui nous intéresse, ça m'a donné :
rayon de la courbe de spee 75mm
DVO diminuée de 9mm au niveau incisif


maz

07/05/2012 à 01h42

pour le pointeau central, l'idée est de trouver la RC sans stress, et sans manipuler soi même le patient

on met en bouche (il y a la photo un peu avant) un pointeau et une plaque en métal
on fait en sorte que quel que soit le mouvement de la mandibule les dents ne soient pas en contact
puis on met du crayon de couleur sur la plaque en métal
puis le patient en faisant les mouvements de propulsion et latéralité en bouche laisse des marques sur la plaque avec le pointeau
on retrouve sur la plaque le point de départ des mouvements de la mandibule et c'est la relation centrée
on y colle une pastille, le patient ferme dessus et on enregistre l'occlusion avec un silicone tout autour.

en fait c'est super simple à faire, faudrait que je prenne des photos pour que ce soit plus clair

c'est génial en prothèse complète, car les bases d'occlusion sont maintenues en place par le patient qui serre dessus par l'intermédiaire du pointeau en faisant les mouvements, donc pas de soucis de bases d'occlusion qui se baladent.

bon, trouvant mon explication merdique, voici la page du site qui vend le matos pour le faire, c'est beaucoup plus simple :
http://www.condylator.com/intraoral-registration.html
et encore mieux, la vidéo est là :
http://www.condylator.com/component/content/24.html?task=view


Smile beach jgh0a1 - Eugenol
Céramik

07/05/2012 à 04h20

maz écrivait:
-------------
> dans le cas du patient qui nous intéresse, ça m'a donné :
> rayon de la courbe de spee 75mm
> DVO diminuée de 9mm au niveau incisif


Question, perte de DV de 9 mm incisive, ok disons que c'est possible. Combien de perte en postérieur, et comment savoir si c'est plus à gauche ou à droite ?

Comme ce n'est pas une ouverture purement linéaire et symétrique (axe de rotation pure n'existe pas) ces données en 2D lattérale, ne donnent pas assez d'info en 3D global.

Ou bien j'y comprend rien...

--
Céramik


maz

07/05/2012 à 08h19

c'est une estimation pour remettre les dents dans le cadre squelettique du patient, ce n'est pas la radio qui dit dans quelle position on met la mandibule

dans le cas de la DV, la radio n'est pas le seul critère à suivre d'ailleurs,
on peut aussi regarder l'esthétique avec les proportions des dents, l'esthétique du visage avec la hauteur de l'étage du bas du visage, les rapports dento dentaires pour avoir un bon overbite et un bon overjet, et faire une espèce de moyenne de tout ça

gauche ou droite, j'ai du mal à suivre, je ne vais pas lui monter la DV de 6 mm à gauche et de 4 à droite, quand tu parles de placement 3D, à quelle méthode penses tu ?


Smile beach jgh0a1 - Eugenol
Céramik

08/05/2012 à 03h41

maz écrivait:
-------------
> je ne vais pas lui monter la DV de 6 mm
> à gauche et de 4 à droite,


Et pourquoi pas ?
;-)))


--
Céramik


maz

21/06/2012 à 12h29

au boulot !

Eric treille 19062012  2  nchk7p - Eugenol

Logo qw3xdt - Eugenol
DDS

21/06/2012 à 13h07

Bon courage, ça va t'occuper un peu...

--
Normal is not something to aspire to, it's something to get away from...


Smile beach jgh0a1 - Eugenol
Céramik

21/06/2012 à 17h51

Oublie pas les photo avant/après

--
Céramik


maz

22/06/2012 à 02h40

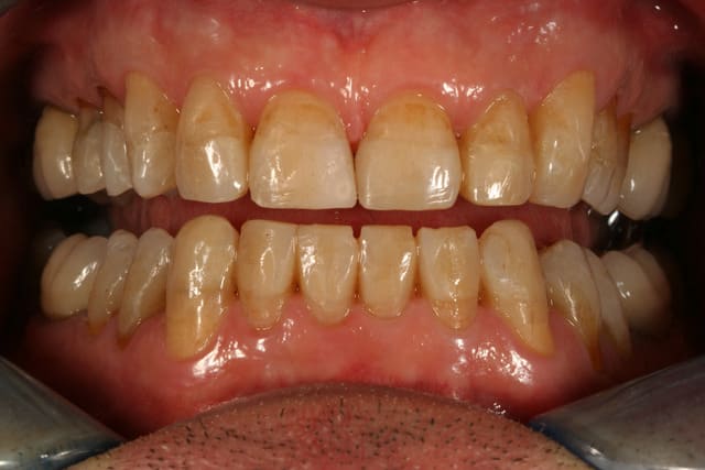
ça aura été une longue journée, pas eu le temps de peaufiner occlusion ou de polir partout bien comme il faut, j'y reviendrais

première impression sympa pour le grand changement

les points de contacts étaient bon, et j'ai pu en retoucher 3 en adjonction pour avoir un truc bien partout

par contre niveau occlusion des dents haut/bas, je suis moins sur, je pense qu'on aurait pu faire mieux, je pourrais regarder tranquillement quand il reviendra, et éventuellement ajuster un peu si besoin

Mr t sourire vcriu0 - Eugenol
Mr t isolation tpvp5z - Eugenol
Mr t collage j6skcc - Eugenol
Mr t apr s  1  ubxmf9 - Eugenol

Smile beach jgh0a1 - Eugenol
Céramik

22/06/2012 à 05h28

Photo 2 superbe !

Photo 4 ? tu n'as pas recouvert la partie vestibulaire de 13 a 23 ?

Tu avais tester l'occlusion sur des provisoires ? si oui combien de temps ?

--
Céramik


maz

22/06/2012 à 10h27

et non, le patient est prévenu qu'on peut faire des facettes plus tard si on veut faire quelque chose de joli

cela dit c'est vrai que dans ce cas, on aurait peut être pu insérer des faces vestibulaires tellement c'était usé au départ

pas de provisoires, juste la gouttière, on en avait parlé


Bebe 038 nf8eum - Eugenol
danteyeah

22/06/2012 à 11h19

Très Belle réalisation. Superbe mise en forme. Ça peut paraître futile, mais avais tu penser au début du traitement de proposer un blanchiment au patient pour faciliter l'harmonisation des teintes des dents entre elles et des reconstitutions par la suite?


JUAN

22/06/2012 à 15h34

c'est beau mais il y a de grands risques pour qu'il explose tout. j'espère que tu as fait une belle gouttière avec. tu pars dans une belle maintenance je crois. bon courage en espérant avoir tort


maz

22/06/2012 à 16h04

j'espère que tu as tord, mais je vous tiendrais au courant de toutes façons !
ce qui sera intéressant si il explose des choses, c'est de vois si c'est l'interface de collage qui lache ou une fracture de composite

pour l'éclaircissement, je ne lui avait pas proposé avant parce qu'il n'y avait pas de demande esthétique (et qu'il fallait faire déjà accepter tout le reste), mais comme mon choix de couleur de compo est trop clair, et que c'est peut être pas plus mal comme ça, je pense lui proposer de lui offrir l'éclaircissement.


maz

15/11/2012 à 12h22

j'en profite pour mettre à jour le cas

j'ai enfin fait la gouttière ... pour diverses raisons, ça a trainé 4 bons mois, mais c'est fait
il a eu le temps de casser un angle d'une centrale, une cuspide palatine d'une prémo, mais rien n'a été décollé

j'ai pu réparer la centrale facilement avec le même compo que celui utilisé pour faire les onlays

on a eu une petite discussion sur brossage, il devait être habitué à ses dents très courtes, mais du coup il brossait pas jusqu'à la gencive, il y avait un gros paquet de plaque à ces endroits, par contre il passe bien les brossettes.

je ferais un polissage dans quelques mois, et puis régulièrement après ça (à priori entre une et deux fois par an, en maintenance)

il est très content, n'a pas d'envie particulière pour des facettes en plus (et tant mieux, j'aurais plus peur avec de la céramique qu'avec le compo facile à réparer)

j'ai complètement oublié de lui proposer un éclaircissement (même gratos)

E carteurs ubgjol - Eugenol
Avant wkqukg - Eugenol
Sourire eqwqpl - Eugenol
Visage hwyehh - Eugenol
Cote  z7trbx - Eugenol

Android jyzura - Eugenol
Tavéca

15/11/2012 à 15h23

J'ai lu le fil en travers et je trouve que tu as fait un super boulot sur ce ce cas, même si c'est dommage de pas le terminer avec des reconstitutions plus définitives et esthétiques.

Le travail est réfléchit, argumenté et expliqué. On peut ne pas être d'accord, mais il n'y a pas consensus dans ce genre de plan de traitement et ton plan de traitement résulte d'une réflexion rigoureuse.

Par contre je suis étonné du nombre d’excellents dentistes du clavier qui critiquent et argumentent a tout va mais qui ne montrent jamais leur travail, alors que d'autres s'exposent.

Je ne suis pas contre la critique, mais a l'aide de cas effectués en les montrant c'est plus facile (radios et/ou photos).


Avatar medium gvlehh - Eugenol
docteur.mamour

15/11/2012 à 20h54

Tavéca écrivait:
----------------

> Par contre je suis étonné du nombre d’excellents dentistes du clavier qui
> critiquent et argumentent a tout va mais qui ne montrent jamais leur travail,
> alors que d'autres s'exposent.
>
ben oui, mais ça c'est la nature humaine!
on fait avec.


3f3boxni50k58rq7e9ce9ddqrxgk - Eugenol
dentiste57

15/11/2012 à 20h55

oups !!



(les modos comprendrons)


Olieve

14/05/2013 à 19h02

Et lui ? Qu'est ce que je vais en faire ?

Img 0283 copie iabhlw - Eugenol
Img 0282 copie a7bamj - Eugenol
Cp2 xai9ph - Eugenol