Tous les forums
bruxoman, héros de l'univers
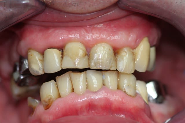
14/05/2013 à 21h19
Ca donne envie de faire PAC haut et bas... Pourtant difficile de justifier les extractions... elles sont vitales...
Alors peut-être un Complet inférieur supra dentaire avec pourquoi pas le système de pression sur les canines (endos juste sur les canines) en supprimant les contre dépouilles
et refaire le complet haut.
Et lui interdire de dormir avec les prothèses.
dur dur les bruxomans...
15/05/2013 à 00h40
Olieve écrivait:
----------------
> Et lui ? Qu'est ce que je vais en faire ?
Perso je proposerais une Prothèse complète sur télescopiques....tu gardes ainsi les dents et tu peux gérer l'occlusion en complète donc plus facile à stabiliser la prothèse du haut... par contre bonjour l'esthétique en l'absence de prothèse....
15/05/2013 à 02h53
Pour le bas : couronnes sur implants au niveau des secteurs édentés, onlay occlusaux au niveau des secteurs postérieurs et facettes dans le secteur incisif (plus ou moins endo selon la vitalité).
Pour le haut : en fonction de la motiv et des moyens financiers, complet amovible ou sinus/implants/fixe.
Tout ça à la DV actuelle + x mm/cm/km
15/05/2013 à 10h40
Olieve écrivait:
----------------
> Et lui ? Qu'est ce que je vais en faire ?
une coronoplastie sur 48 ?
quel pied ça doit être si le patient a les moyens...
15/05/2013 à 12h39
ça dépend des moyens et de la motivation du patient, et de ce que tu sais et veux faire.
ça peut aller de deux complets (celui de bas par dessus les racines plus ou moins) à du fixe partout ... avec un paquet de solutions intermédiaires possibles
15/05/2013 à 15h39
Pour le maxillaire le patient ne demande rien de plus qu'une nouvelle prothèse totale.
J'en suis ravi, moins de risque de casse pour le bas...
15/05/2013 à 16h13
- si il n'est pas demandeur de fixe en haut,
- si la DV est effectivement effondrée (ce n'est pas toujours le cas chez les bruxo)
- si il en a l'envie et les moyens
alors je tenterais volontiers bridge complet dento-porté en bas, avec endos pour l'ancrage radiculaire et remontée de DV balèze... boulot sur 6 mois facile, avec provisoires haut et bas...
Mais plein d'autres solutions sont envisageables...
2 complets, avec ou sans extractions; tout fixe avec implants haut et bas; rien du tout...
C'est un chouette cas.
Dans le genre remontée de DV, lundi, j'ai fini ce boulot.
Il est arrivé il y a 1 an tout pile en me demandant ce que je pouvais faire de pas cher pour sa 23 qui se descellait...
(je poste la suite dans quelques jours, les photos de fin et les radios sont au cab)
26/11/2013 à 17h45
Bonjour,
vous connaissez une formation qui aborde essentiellement le thème du bruxisme?
Je viens d'avoir un échec monumental sur une réhabilitation complète réalisée en 2008, j'avais recréé des calages postérieurs à l'aide de stellites, remonté la DVO, réhabilité les dents antérieures avec des CCM solidarisées de 14 à 22 et de 43 à 35.
En 2ans j'ai vite perdu mon gain de DVO, tous mes taquets occlusaux et ma barre cingulaire se sont fracturés, les réfections des stellites n'ont rien changé, ça a recommencé. Logiquement les fusibles se sont transférés sur les couronnes (fracture de l'armature) et désormais sur les racines.
Pour info le patient a toujours refusé de porter sa gouttière contre le bruxisme, pour lui les problèmes ne viennent pas de ça...
26/11/2013 à 18h26
c'est un peu comme si il avait pas voulu arreter de boire pour conduire.... donc pas d'echec pour toi.
27/11/2013 à 10h50
On verra si l'expert est d'accord avec ça...
hallboy écrivait:
-----------------
> c'est un peu comme si il avait pas voulu arreter de boire pour conduire.... donc
> pas d'echec pour toi.
>
27/11/2013 à 23h03
Je sais pas si je suis censé être l'expert mais c'est clair que si il y a un échec je suis d'accord avec halboy, il n'est pas prothétique.
Ce serait plus la gestion du bruxisme qui a été un échec.
et quand je dis "gestion" c'est un bien grand mot, ça ce gère moyen ce truc là ^^
pour parler de gestion du bruxisme c'est vrai qu'il y a pas grand monde (si l'on exclue les tarés qui parlent de changer l'occlusion pour régler le problème si ça existe encore), mais JD Orthlieb en parle très bien je trouve, de façon claire et compréhensible.
Comme pour beaucoup de choses, ça doit se gérer en amont, avant de commencer quoi que ce soit sur le patient et ça commence par une prise de conscience de ce dernier.
Dans mon cas mon patient est au courant qu'il peut exploser un paquet de choses si il bruxe dessus (d'où le choix de restaurations réparables) et il a bien conscience de ça. Du coup ça le motive à porter sa gouttière.
Il y a d'autres choses qu'on peut faire pour le bruxisme :
voir le sommeil
voir le stress du patient et si des choses sont faisables
voir la fonction linguale, la déglutition et la respiration
voir pour une rééducation cognitivo comportementale
bref, ça devient pluridisciplinaire, ça devient plus complexe, et les résultats dépendent énormément de la motivation du patient, et donc de sa prise de conscience du problème.
30/11/2013 à 16h47
En effet le rapport d'expertise est allé dans ce sens, RAS niveau prothèse, uniquement des pistes (comme les tiennes) pour atténuer les effets du bruxisme.
C'était "mon" premier rapport d'expertise en 9ans, j'avais les testiboules qui faisaient des castagnettes honnêtement...