Cookie Consent byPrivacyPolicies.comImplants ? - Eugenol

Implants ?

Pépélaratiche

13/02/2012 à 19h07

Céramik écrivait:
-----------------
> Zorglub écrivait:
> -----------------
> > Et pourquoi pas... avec MCI !
>
> Wow, sympa, il y en a du titane !
> Pas d'implants de ce type disponible chez moi...
>
> --
> Céramik

Tu lui fais les 3 séances d ostéotension
Tu l accompagnes en Europe une semaine
Et sur cette semaine on lui fait la MCI

J ai un pote qui en fait comme ça depuis des années en provenance des USA : interdit chez vous certes mais pas interdit aux patients de se les faire poser en Europe

Bien à toi Ceramik

--
Pp, bon en rien, mauvais en tout ...
Sed Fortuna audaces iuvat ...


Smile beach jgh0a1 - Eugenol
Céramik

14/02/2012 à 00h32

J'y penserai, mais la dame n'est pas encore "vendue", elle magazine, comme on dit chez nous...



--
Céramik


aldo74

18/02/2012 à 16h01

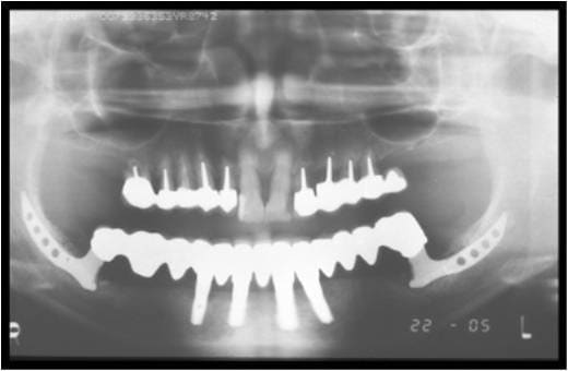
celle-la non plus....67ans

P2140238 rybgb5 - Eugenol

Pépélaratiche

19/02/2012 à 00h31

aldo74 écrivait:
----------------
> celle-la non plus....67ans

MANDIBULE Là tu poses 4 à 5 implants en flapless de 5 à 5 pour ne pas dépérioster la zone symphysaire et deux plaques en apposition pure en distal en full flap bien sûr

MAXILLAIRE Pas un cas difficile en basale...

--
Pp, bon en rien, mauvais en tout ...
Sed Fortuna audaces iuvat ...


Pépélaratiche

19/02/2012 à 00h33

Céramik écrivait:
-----------------
> J'y penserai, mais la dame n'est pas encore "vendue", elle magazine, comme on
> dit chez nous...
>
>
>
> --
> Céramik

Logique...vu la difficulté même nous on y réfléchit et on réfléchit simplement pour savoir si on va y aller

Mais demande donc un guide à posit...il se fera un plaisir de te le faire LOL

--
Pp, bon en rien, mauvais en tout ...
Sed Fortuna audaces iuvat ...


saintantoine

19/02/2012 à 11h05

En stock, j'ai cela aussi. C'est quoi.

Image1 hcff4v - Eugenol
Image2 ok8ysy - Eugenol

Pépélaratiche

19/02/2012 à 12h12

Ce sont des implants ramiques...

Très très difficiles à poser mais qd ça marche c est bien

Difficultés

1. aucun outil normé pour tailler la tranchée
2. nécessité d avoir de la hauteur encore au dessus du NDI

--
Pp, bon en rien, mauvais en tout ...
Sed Fortuna audaces iuvat ...


Pépélaratiche

19/02/2012 à 12h18

http://www.google.be/search?pq=dr+stree+implant+ramus&hl=fr&gs_nf=1&cp=13&gs_id=3s&xhr=t&q=implant+ramus&gs_upl=&bav=on.2,or.r_gc.r_pw.,cf.osb&biw=1440&bih=817&wrapid=tljp1329646520674055&um=1&ie=UTF-8&tbm=isch&source=og&sa=N&tab=wi&ei=8MtAT4fPNMOu8gOF49W5CA


Tu prends le lien et tu cliques sur recherche d images ds google

C est ancien mais respect car ils posaient ça à main levée avec une simple pano à l époque car le scan n existait pas encore...

--
Pp, bon en rien, mauvais en tout ...
Sed Fortuna audaces iuvat ...


S2y2o1v7q53ws4r5wy6ou8czrpom - Eugenol
pxav

19/02/2012 à 13h30

saintantoine écrivait:
----------------------
> En stock, j'ai cela aussi. C'est quoi.

Un instant j'ai cru que tu m'avais piqué mes panos!

Que de bon souvenir j'ai encore en stock un cadre ramique (Tatum), et le souvenir d'une pose avec Khoury (Elias) en 90 je crois, que du plaisir, de l'époque j'ai encore un cours complet ( montage diapos) de la pose de cet implant, ça c'était de la chir!!!

Et en plus c’était en MCI, sans prise de tête!

pour le lames ramique (Chanavaz je crois) c'est le seul type d'implant que je n'ai jamais eu à déposer (j'en ai posé une grosse brassé), le top du top pour les zones postérieures fines et corticalisées, mais le marché n'a pas suivi, dommage de chez dommage.
--
xbk
"Si tous ceux qui croient avoir raison n'avaient pas tort, la vérité ne serait pas loin" Dac Pierre


saintantoine

19/02/2012 à 14h34

En effet,que des bons souvenirs avec Tatum et Chanavaz.Mais j'ai vieilli et appris encore et encore et je suis passé du Vitane au Straumann avec un détour chez Victory, les sous-périostés de Misch et bla,bla,bla. Je suis devenu fainéant et comme je suis un con, je fait, dans certains cas,de la chirurgie guidée à l'aide d'un guide chirurgical, d'une marque que tu connais bien.
Demain je referai peut-être à nouveau du sous -périosté ou du Pépé,je n'ai aucun dogme. Comme tous les vieux, je me souviens du temps ou je greffais les Sinus avec de l'Iliaque, puis avec du Pariétal et maintenant avec un substitut osseux.
De quoi sera fait l'implantologie orale de demain, nul ne le sait. Alors arrêtons de nous auto-détruire.
PS : en PJ la suie

Cd2 d7omq1 - Eugenol
Cd3 ojmjqk - Eugenol
Cd4 xluqwq - Eugenol
Lr3 cndafd - Eugenol

Pépélaratiche

19/02/2012 à 15h37

Euh St Antoine,

fais gaffe : le sous'périosté ne fait plus partie des données acquises de la science et a été déclaré obsolète...

--
Pp, bon en rien, mauvais en tout ...
Sed Fortuna audaces iuvat ...


Pépélaratiche

19/02/2012 à 15h39

pxav écrivait:
--------------
> saintantoine écrivait:
> ----------------------
> > En stock, j'ai cela aussi. C'est quoi.
>
> Un instant j'ai cru que tu m'avais piqué mes panos!
>
> Que de bon souvenir j'ai encore en stock un cadre ramique (Tatum), et le
> souvenir d'une pose avec Khoury (Elias) en 90 je crois, que du plaisir, de
> l'époque j'ai encore un cours complet ( montage diapos) de la pose de cet
> implant, ça c'était de la chir!!!
>
> Et en plus c’était en MCI, sans prise de tête!
>
> pour le lames ramique (Chanavaz je crois) c'est le seul type d'implant que je
> n'ai jamais eu à déposer (j'en ai posé une grosse brassé), le top du top pour
> les zones postérieures fines et corticalisées, mais le marché n'a pas suivi,
> dommage de chez dommage.
> --
> xbk
> "Si tous ceux qui croient avoir raison n'avaient pas tort, la vérité ne
> serait pas loin" Dac Pierre

Oui ça devait pas être facile à poser
La seule chose qui s en approche au niveau difficulté c est poser des plaques...stt celle en position canine maxillaire...


--
Pp, bon en rien, mauvais en tout ...
Sed Fortuna audaces iuvat ...


S2y2o1v7q53ws4r5wy6ou8czrpom - Eugenol
pxav

19/02/2012 à 16h45

Pépélaratiche écrivait:
-----------------------
> Euh St Antoine,
>
> fais gaffe : le sous'périosté ne fait plus partie des données acquises de la
> science et a été déclaré obsolète...
>
> --
> Pp, bon en rien, mauvais en tout ...
> Sed Fortuna audaces iuvat ...

Félicitations St antoine (quelle année le Du de Lille?)
et pour le sous-périosté, (j'ai commencé par ça)je pense que ça reviendra, grâce à la cadcam.... on en reparle dans 15 ou 20 ans (p'tain je serais près de la retraite)
--
xbk
"Si tous ceux qui croient avoir raison n'avaient pas tort, la vérité ne serait pas loin" Dac Pierre


Smile beach jgh0a1 - Eugenol
Céramik

19/02/2012 à 16h46

Pépélaratiche écrivait:
-----------------------
> Euh St Antoine,
>
> fais gaffe : le sous'périosté ne fait plus partie des données acquises de la
> science et a été déclaré obsolète...
>
> --
> Pp, bon en rien, mauvais en tout ...
> Sed Fortuna audaces iuvat ...


Avec le cad-cad, ça revient, modifié certe, mais les implants custom existe.
Il y a un type aux USA (San Diego) qui en fait bcp.
Je vais tenter de retrouver le lien.

--
Céramik


Pépélaratiche

19/02/2012 à 18h06

pxav écrivait:
--------------
> Pépélaratiche écrivait:
> -----------------------
> > Euh St Antoine,
> >
> > fais gaffe : le sous'périosté ne fait plus partie des données acquises de la
> > science et a été déclaré obsolète...
> >
> > --
> > Pp, bon en rien, mauvais en tout ...
> > Sed Fortuna audaces iuvat ...
>
> Félicitations St antoine (quelle année le Du de Lille?)
> et pour le sous-périosté, (j'ai commencé par ça)je pense que ça reviendra, grâce
> à la cadcam.... on en reparle dans 15 ou 20 ans (p'tain je serais près de la
> retraite)
> --
> xbk
> "Si tous ceux qui croient avoir raison n'avaient pas tort, la vérité ne
> serait pas loin" Dac Pierre

Le principal problème du sous périosté reste - en dehors de l empreinte à même l os - le fait que c est coulé artisanalement en CrCo et donc bourré de porosités

De fait un sous-périosté otenu ds un bloc de titane par fraisage , bloqué avec des vis d ostéosynthèse et combler par dessus avec un bon biomatériau qui ossifie bien, ça doit pouvoir fonctionner très bien


--
Pp, bon en rien, mauvais en tout ...
Sed Fortuna audaces iuvat ...


Pépélaratiche

19/02/2012 à 18h07

Céramik écrivait:
-----------------
> Pépélaratiche écrivait:
> -----------------------
> > Euh St Antoine,
> >
> > fais gaffe : le sous'périosté ne fait plus partie des données acquises de la
> > science et a été déclaré obsolète...
> >
> > --
> > Pp, bon en rien, mauvais en tout ...
> > Sed Fortuna audaces iuvat ...
>
>
> Avec le cad-cad, ça revient, modifié certe, mais les implants custom existe.
> Il y a un type aux USA (San Diego) qui en fait bcp.
> Je vais tenter de retrouver le lien.
>
> --
> Céramik

Super ça m intéresse si tu trouves ce lien


--
Pp, bon en rien, mauvais en tout ...
Sed Fortuna audaces iuvat ...


saintantoine

19/02/2012 à 18h07

Au premier cours de CHANA, je lui ai dit que je posais des implants avant de la connaître et que j'en poserai après lui. Du coup, j'ai passé 4 ans au bloc op avec lui et Hilt TATUM Jr. On est devenu copain et aussi avec Sonia son infirmière.
Le problème, c'est qu'il était en avance sur son temps et mal aimé des milieux bien pensant parisiens. Un peu comme Posit.
Pour répondre à Pépé, je trouve sa plaque très intéressante mais comme je n'ai aucuns renseignements, je m’abstiens de tout avis. J'aimerais bien en placer et je demanderai à Posit de faire l'étude informatique et de préparer la prothèse en amont.
Comme quoi, les extrêmes peuvent se rejoindre avec de la bonne volonté.
Quand aux sous-périostés, Misch m'a dit un jour que le problème est de trouver le prothésiste qui sache les réaliser. A l'époque, il travaillait avec Dan RUTH aux USA.
En 2003, pour obtenir son exam de FELLOW à L'AAID, les ricains demandait de montrer des cas de sous-périostés. En France, JPD avait présenter sa thèse de 3 ème cycle sur cette technique etc...Je crois que le sous-périosté ostéosynthèsé (en tout cas façon Pépé) peut être remis au gout du jour à l'aide de l'informatique (j'espère que M.Bert ne m'en veut pas).


Smile beach jgh0a1 - Eugenol
Céramik

19/02/2012 à 18h43

http://www.implantlab.com/services.php

Bon, c'est très sommaire, mais je retrouve pas.

Dr Nordquist est le type qui fait les implants "Custom Endosteal Implant".

On peut les faire via empreinte ou via "medical grade 3d scan". Un de mes mentor en fait depuis 30 ans.






--
Céramik


saintantoine

19/02/2012 à 19h24

Le site de Nordquist me fait peur. Je préfère encore Pépé.J'aimerai qu'il précise si ces plaques sont en Titane et s'il les plie, sous-périosté ou pas etc, etc...Pleins de questions pour lui avec une idée derrière la tête. Sauf si Gérard S a déjà tout dit.
De toute façon, de nos jours, avec la modélisation, on peut tout réaliser en amont avec une extrême précison


Pépélaratiche

19/02/2012 à 19h24

http://vancouvermaxicourse.com/program-outline-2/session-6/

--
Pp, bon en rien, mauvais en tout ...
Sed Fortuna audaces iuvat ...


Pépélaratiche

19/02/2012 à 19h33

saintantoine écrivait:
----------------------
> Le site de Nordquist me fait peur. Je préfère encore Pépé.J'aimerai qu'il
> précise si ces plaques sont en Titane et s'il les plie, sous-périosté ou pas
> etc, etc...Pleins de questions pour lui avec une idée derrière la tête. Sauf si
> Gérard S a déjà tout dit.
> De toute façon, de nos jours, avec la modélisation, on peut tout réaliser en
> amont avec une extrême précison

1. Les plaques sont en titane
2. oui on les les plie pour les adapter à la courbure du trigone rétromolaire, du zygoma et de la zone canine dépourvue de bosse qd très résorbée
3. Une partie ou le tout peut être posé de façon endostée mais également totalement sous périostée avec un biomat qui en s ossifiant va l englober

Celle ci a étté posée par voie linguale et de façon totalement endostée ( 6 ans de recul )

Le blocage primaire est assuré par les vis d ostéosynthèse


--
Pp, bon en rien, mauvais en tout ...
Sed Fortuna audaces iuvat ...


Pépélaratiche

19/02/2012 à 19h33

saintantoine écrivait:
----------------------
> Le site de Nordquist me fait peur. Je préfère encore Pépé.J'aimerai qu'il
> précise si ces plaques sont en Titane et s'il les plie, sous-périosté ou pas
> etc, etc...Pleins de questions pour lui avec une idée derrière la tête. Sauf si
> Gérard S a déjà tout dit.
> De toute façon, de nos jours, avec la modélisation, on peut tout réaliser en
> amont avec une extrême précison

1. Les plaques sont en titane
2. oui on les les plie pour les adapter à la courbure du trigone rétromolaire, du zygoma et de la zone canine dépourvue de bosse qd très résorbée
3. Une partie ou le tout peut être posé de façon endostée mais également totalement sous périostée avec un biomat qui en s ossifiant va l englober

Celle ci a étté posée par voie linguale et de façon totalement endostée ( 6 ans de recul )

Le blocage primaire est assuré par les vis d ostéosynthèse


--
Pp, bon en rien, mauvais en tout ...
Sed Fortuna audaces iuvat ...


Pépélaratiche

19/02/2012 à 19h33

saintantoine écrivait:
----------------------
> Le site de Nordquist me fait peur. Je préfère encore Pépé.J'aimerai qu'il
> précise si ces plaques sont en Titane et s'il les plie, sous-périosté ou pas
> etc, etc...Pleins de questions pour lui avec une idée derrière la tête. Sauf si
> Gérard S a déjà tout dit.
> De toute façon, de nos jours, avec la modélisation, on peut tout réaliser en
> amont avec une extrême précison

1. Les plaques sont en titane
2. oui on les les plie pour les adapter à la courbure du trigone rétromolaire, du zygoma et de la zone canine dépourvue de bosse qd très résorbée
3. Une partie ou le tout peut être posé de façon endostée mais également totalement sous périostée avec un biomat qui en s ossifiant va l englober

Celle ci a étté posée par voie linguale et de façon totalement endostée ( 6 ans de recul )

Le blocage primaire est assuré par les vis d ostéosynthèse


--
Pp, bon en rien, mauvais en tout ...
Sed Fortuna audaces iuvat ...


saintantoine

19/02/2012 à 19h50

Pas de risque de fracture en les pliant?
Plusieurs longueurs en fonction des sites? quelle épaisseur?
Grade du Titane? type de stérilisation?
Instruments de coupe pour les endostés?
Placements des posts, hauteur et diamètre des posts?
J'en passe et des meilleurs? voilà des choses qui m'interpellent et éveillent ma curiosité?


Pépélaratiche

19/02/2012 à 20h16

saintantoine écrivait:
----------------------
> Pas de risque de fracture en les pliant?
> Plusieurs longueurs en fonction des sites? quelle épaisseur?
> Grade du Titane? type de stérilisation?
> Instruments de coupe pour les endostés?
> Placements des posts, hauteur et diamètre des posts?
> J'en passe et des meilleurs? voilà des choses qui m'interpellent et éveillent ma
> curiosité?

1. pas de frature en les pliant
2. 33 & 43 mm de long sur 9/7mm de large
3. grade faut que je vérifie pcq pour tout dire ça m intéresse moins que le fait que l implant fonctionne bien
4. cutter diamètre 7 et 9 mm + fraise zekrya
5.Pilier monobloc intégré à la plaque identique à ceux des diskimplants monobloc ( fût 2.3 mm, pilier 4.5mm de diamètre)
6. existe en G2 et en G3 pour la hauteur des fûts



--
Pp, bon en rien, mauvais en tout ...
Sed Fortuna audaces iuvat ...