Cookie Consent byPrivacyPolicies.comImplants ? - Eugenol

Implants ?

Pépélaratiche

19/02/2012 à 20h21

Désolé je sais pas ce qui se passe mais les photos restent bloquées en prévisualisation et ne passent pas...

--
Pp, bon en rien, mauvais en tout ...
Sed Fortuna audaces iuvat ...


saintantoine

19/02/2012 à 20h28

A vendre chez GS ou à louer (je plaisante)?


saintantoine

19/02/2012 à 20h41

Quelle est l'épaisseur de la plaque?
Et enfin, sans vouloir t'ennuyer, si je pense qu'à la mandibule, cela ne pose pas de problème dans les atrophies terminales en raison de la qualité de l'os, au maxillaire, je m'interroge au niveau tubérositaire en raison d'une qualité osseuse souvent médiocre.
Enfin, je pense qu'il est nécessaire d'avoir une solide expérience en anat et en implanto pour poser en canin sans risquer de toucher des éléments anatomiques sensibles.
C'est pour cela, j'imagine, que ce type d'implanto reste confidentiel car elle nécessite une longue courbe d'apprentissage. Et puis au niveau business, pas rentable pour les Labo


flicflac

19/02/2012 à 21h30

Sous-périosté placé en 2011, le secret c'est de le rendre rigide pour permette son intégration... formation osseux aux niveau des interstices où le périoste est soulevé.
ps. ne pas me parlé des boucles d'oreilles, merci

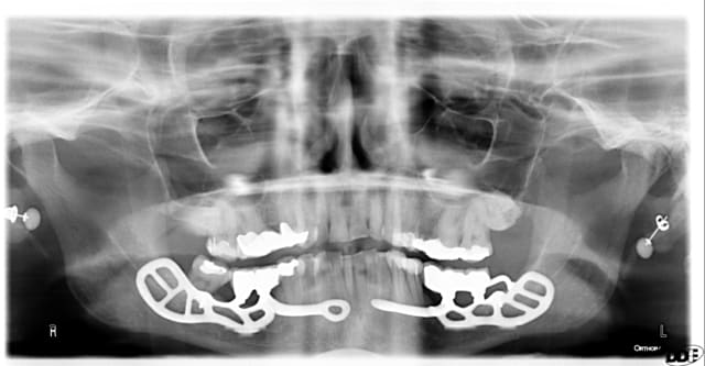
Implants sousp riost s bilat rales la4whg - Eugenol

Pépélaratiche

19/02/2012 à 23h47

saintantoine écrivait:
----------------------
> Quelle est l'épaisseur de la plaque?
> Et enfin, sans vouloir t'ennuyer, si je pense qu'à la mandibule, cela ne pose
> pas de problème dans les atrophies terminales en raison de la qualité de l'os,
> au maxillaire, je m'interroge au niveau tubérositaire en raison d'une qualité
> osseuse souvent médiocre.
> Enfin, je pense qu'il est nécessaire d'avoir une solide expérience en anat et en
> implanto pour poser en canin sans risquer de toucher des éléments anatomiques
> sensibles.
> C'est pour cela, j'imagine, que ce type d'implanto reste confidentiel car elle
> nécessite une longue courbe d'apprentissage. Et puis au niveau business, pas
> rentable pour les Labo

Sorry : épaisseur 0,6 mm

Ca fonctionne ds la zone du zygoma car tu vas chercher l ancrage loin de la fragilité de la crête en vestibulaire et qu en palatiin tu vises ds la lame horizontale qui est dense aussi... Après il te faut absolument un matériau de comblement irréprochable sur le plan de l ossification car c est cet enrochement ds l os qui fixe ta plaque à long terme

A mon sens aucune des trois ( trigone, zygoma, et canine ) n est facile à poser... Effectivement courbe d apprentissage très nécessaire

Le seul moyen d arriver jusque là est de s entraîner à poser des monodisk en premier


--
Pp, bon en rien, mauvais en tout ...
Sed Fortuna audaces iuvat ...


saintantoine

19/02/2012 à 23h56

OK et merci.J'ai vu sur Victory les articles DE JMD qui est un type bien.
Je vais réfléchir et peut- être tester. Peut-être une SIAO pour m'aider.
A+


Pépélaratiche

20/02/2012 à 00h04

SIAO ?

--
Pp, bon en rien, mauvais en tout ...
Sed Fortuna audaces iuvat ...


Smile beach jgh0a1 - Eugenol
Céramik

20/02/2012 à 00h20

Pépélaratiche écrivait:
-----------------------
> SIAO ?
>
> --
> Pp, bon en rien, mauvais en tout ...
> Sed Fortuna audaces iuvat ...

Simulation Implantaire Assistée Ordinateur ???


--
Céramik


Pépélaratiche

20/02/2012 à 00h24

Oui sans doute mais pour les plaques le mieux est de faire fabriquer un modèle materialise de la mandibule et de prendre ses repères dessus

car de tte façon il est impossible de se faire un guide quelconque pour des plaques et svt cest le terrain qui te guide à la dernière minute et en dernier ressort vers la bonne zone pour la poser

--
Pp, bon en rien, mauvais en tout ...
Sed Fortuna audaces iuvat ...


Pépélaratiche

20/02/2012 à 00h25

saintantoine écrivait:
----------------------
> OK et merci.J'ai vu sur Victory les articles DE JMD qui est un type bien.
> Je vais réfléchir et peut- être tester. Peut-être une SIAO pour m'aider.
> A+


JMD est bien plus qu type bien ;-)))))))))


--
Pp, bon en rien, mauvais en tout ...
Sed Fortuna audaces iuvat ...


aldo74

03/03/2012 à 16h43

je relance ce sujet en vous demandant si l'image de gorge linguale sur les coupes correspond au passage de l'artère linguale et si c'est le cas implanteriez vous??
en espérant que les images passent bien

P3020254 lx0bm1 - Eugenol
P3030256 uzbtcb - Eugenol

Img 0812 mvp6i0 - Eugenol
jeamba

03/03/2012 à 19h31

Il s'agit plutôt du nerf incisif. Il faut éviter de le sectionner ou de le toucher car sensibilité définitive.


Img 0812 mvp6i0 - Eugenol
jeamba

03/03/2012 à 19h31

Il s'agit plutôt du nerf incisif. Il faut éviter de le sectionner ou de le toucher car sensibilité définitive.


Canin

03/03/2012 à 19h55

artère linguale dans la mandibule => non, dans la langue par définition.

nerf incisif => oui possible, le sectionner n'a pas de conséquence chez un édenté total. incidence sur la sensibilité dentaire. mais je crois qu'on est bon.

de toute façon si on veux des implants ici il faut souvent passer au travers.

après tu peux avoir de petits rameaux artériels perforants en provenance de l'artère sublinguale.

--
Canin


aldo74

03/03/2012 à 20h15

merci,
donc j'y vais ils seront courts ,je pense trois avec une petite barre pour stabiliser sa prothèse totale .de toute façon le mal est fait.


Smile beach jgh0a1 - Eugenol
Céramik

03/03/2012 à 20h20

aldo74 écrivait:
----------------
> merci,
> donc j'y vais ils seront courts ,je pense trois avec une petite barre pour
> stabiliser sa prothèse totale .de toute façon le mal est fait.
>

3 et une barre ? Tu les places où ( A-B-C-D-E )?
Tu sembles avoir de la place pour 4 et une barre + amovible.


--
Céramik


aldo74

04/03/2012 à 14h48

il est sur que quatre,c'est mieux que trois, mais c'est au moins 1000€ de plus....
je vais argumenter du mieux possible.


Smile beach jgh0a1 - Eugenol
Céramik

04/03/2012 à 17h06

aldo74 écrivait:
----------------
> il est sur que quatre,c'est mieux que trois, mais c'est au moins 1000€ de
> plus....
> je vais argumenter du mieux possible.

2 façon de voir les choses.

1-Tu ne présentes pas la solution de 3, seulement la solution de 4, comme étant le minimum
2-Le prix devrait être plus cher pour 3 car plus risqué, donc faut payer d'avance les futures problèmes
(c'est la logique de Misch, tjs en placer plus que moins, et si il y a riques bio-mécanique, ça coûte plus cher ! )

Combien pour tes 3 implants + barre vs 4 + barre ?.



--
Céramik


aldo74

06/03/2012 à 23h01

ceramik demandait:combien pour tes 3+barre vs 4+ barre
désolé pour le retard, début de semaine un peu chargé:
940€ d'écart