Cookie Consent byPrivacyPolicies.comMCI post-extractionnelle, MCIPE - Eugenol

MCI post-extractionnelle, MCIPE

Utilisateur banni

18/02/2012 à 16h29

Les implants Léone sont supers pour la MCI, dommage qu'ils leur manquent quelques pièces.

Implant l one et mci post extrationnelle  mcipe 005 z3lmtl - Eugenol
Implant l one et mci post extrationnelle  mcipe 001 brksyl - Eugenol
Implant l one et mci post extrationnelle  mcipe 002 y8ur4t - Eugenol
Implant l one et mci post extrationnelle  mcipe 003 y7s73u - Eugenol
Implant l one et mci post extrationnelle  mcipe 004 siekyq - Eugenol

RépondreCiter
Logo m4n3gc - Eugenol
drmarcus

18/02/2012 à 19h31

Lesquelles?

Et le poseur il en pense quoi?

--
"La vis est à l'implant ce que la carie est à la dent!" (Pozzi)


Photo pluton1b h9n4ea - Eugenol
pluton

18/02/2012 à 19h39

on en avais déjà parlé sur le stand à l'ADF, drmarcus...
piliers provisoires titane, piliers multiunit angulés à 30 voir 35°...


Utilisateur banni

18/02/2012 à 19h48

des piliers angulés pour prothèse transvisée hauteur gingivale 2 mm, (tu as vue la position des dents au départ)

des piliers angulés pour prothèse transvisée à 35°

et surtout des piliers transvisés usinés en titane et non uniquement calcinable


Utilisateur banni

18/02/2012 à 19h49

pluton t'est + rapide!!


Logo m4n3gc - Eugenol
drmarcus

18/02/2012 à 21h55

Mouais! Sauf que je suis contre aller au delà de 20° (et encore) lorsqu'il existe une vis (même si ce n'est que coronaire). Je connais bien le système et c'est la partie que j'apprécie le moins; créée pour ceux qui veulent visser à tout prix ou pour les barres d'attachement ou bridge Toronto.....
Ok je n'ai pas l'expérience Posit, attendons le cas "idéal" à mes yeux.
J'ai quand même l'idée de supprimer la vis même lors d'une MCI. Ce sera un vaste débat!

--
"La vis est à l'implant ce que la carie est à la dent!" (Pozzi)


Utilisateur banni

18/02/2012 à 23h01

drmarcus écrivait:
------------------
> J'ai quand même l'idée de supprimer la vis même lors d'une MCI. Ce sera un vaste
> débat!
>

sur ce cas pas de vis au bridge

Implant dentsply ankylos et mci 10 dv2gys - Eugenol
Implant dentsply ankylos et mci 11 gtz4mn - Eugenol
Implant dentsply ankylos et mci 12 fns7pw - Eugenol

Pépélaratiche

19/02/2012 à 00h07

drmarcus écrivait:
------------------
> Mouais! Sauf que je suis contre aller au delà de 20° (et encore) lorsqu'il
> existe une vis (même si ce n'est que coronaire). Je connais bien le système et
> c'est la partie que j'apprécie le moins; créée pour ceux qui veulent visser à
> tout prix ou pour les barres d'attachement ou bridge Toronto.....
> Ok je n'ai pas l'expérience Posit, attendons le cas "idéal" à mes yeux.
> J'ai quand même l'idée de supprimer la vis même lors d'une MCI. Ce sera un vaste
> débat!
>
> --
> "La vis est à l'implant ce que la carie est à la dent!" (Pozzi)

+1

mais il va encore dire que je viens pourrir ses posts
angulation jamais au delà de 15°...au delà sur le plan mécaniquetrop bcp trop dangereux

--
Pp, bon en rien, mauvais en tout ...
Sed Fortuna audaces iuvat ...


Modérateur

21/02/2012 à 12h36

Ok personne ne pourrit quoi que ce soit, tout le monde se respecte et on continue la discussion.

les modos ne sont pas là que pour faire la police et fermer les posts.

On est tous intéressés de savoir si on peut anguler de 10 ou 90° sans pour cela se lancer des bananes.

Merci


Casque beotien a3jo39 - Eugenol
beotien

06/09/2012 à 18h38

un contrôle à 6 six mois
le poseur pense que çà va aller :-))

C3 h9jjci - Eugenol

Logo m4n3gc - Eugenol
drmarcus

06/09/2012 à 19h16

Super.

Au fait j'ai, pardon, nous avons avec Posit supprimé la vis. Encore 2 ou 3 mois et on sera fixé sur le résultat.
Pour l'instant RAS.

Au fait Posit il ne manque plus rien pour réussir n'est ce pas?

--
"La vis est à l'implant ce que la carie est à la dent!" (Pozzi)


Utilisateur banni

07/09/2012 à 21h47

beotien écrivait:
-----------------
> un contrôle à 6 six mois
> le poseur pense que çà va aller :-))

merci de présenter le suivi des travaux


Utilisateur banni

07/09/2012 à 21h49

drmarcus écrivait:
------------------
> Super.
>
> Au fait j'ai, pardon, nous avons avec Posit supprimé la vis. Encore 2 ou 3 mois
> et on sera fixé sur le résultat.
> Pour l'instant RAS.
>
> Au fait Posit il ne manque plus rien pour réussir n'est ce pas?
>
> --
> "La vis est à l'implant ce que la carie est à la dent!" (Pozzi)

une petite vidéo

.be

PS. Ca fait bizarre le stabilisateur d’image youtube avec le sous titre


Logo m4n3gc - Eugenol
drmarcus

08/09/2012 à 10h44

posit écrivait:
---------------

>
>

.be
>
> PS. Ca fait bizarre le stabilisateur d’image youtube avec le sous titre
Ouais même dérangeant très sincèrement.

Et puis je ne m'appelle pas LEON ..... j'ai un beau camion j'm'en vais à Lyon.....

LOL En plus le "E" manquant à LEONE LOL

Sinon sympa j'en reste sur ma fin pardon ma faim.
On peut dire bridge à armature métal sans vis!

Il est sympa ce cas j'attends de la revoir mais pas de nouvelle bonne nouvelle dit on.


--
"La vis est à l'implant ce que la carie est à la dent!" (Pozzi)


Utilisateur banni

08/09/2012 à 10h56

drmarcus écrivait:
------------------
> posit écrivait:
> ---------------
>
> >
> >

.be
> >
> > PS. Ca fait bizarre le stabilisateur d’image youtube avec le sous titre
> Ouais même dérangeant très sincèrement.
>
> Et puis je ne m'appelle pas LEON ..... j'ai un beau camion j'm'en vais à
> Lyon.....
>
> LOL En plus le "E" manquant à LEONE LOL
>
> Sinon sympa j'en reste sur ma fin pardon ma faim.
> On peut dire bridge à armature métal sans vis!
>
> Il est sympa ce cas j'attends de la revoir mais pas de nouvelle bonne nouvelle
> dit on.
>
>
> --
> "La vis est à l'implant ce que la carie est à la dent!" (Pozzi)

c'est la chanson qui m'a perturbé, il ne me reste plus qu'a la refaire plus compléte


Casque beotien a3jo39 - Eugenol
beotien

11/09/2012 à 18h54

posit écrivait:
---------------
> beotien écrivait:
> -----------------
> > un contrôle à 6 six mois
> > le poseur pense que çà va aller :-))
>
merci de présenter le suivi des travaux

de rien, cela me fait plaisir de posit iver


Utilisateur banni

17/09/2012 à 14h26

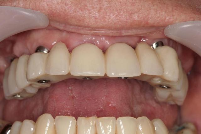
Quel devenir des réhabilitations totale en MCI avec des implants angulés et porte à faux au maxillaire ?

Scan post opératoire à 4 ans, une première image

Cantilever en post op 001 iuj5xm - Eugenol

Utilisateur banni

17/09/2012 à 23h25

suite

Cantilever en post op 002 nckjsp - Eugenol

Utilisateur banni

18/09/2012 à 09h33

Cantilever en post op 003 ois7x7 - Eugenol

Utilisateur banni

18/09/2012 à 16h46

Il existe différent plans de traitements, projets implantaires, j’espère que ce travail présente quelques éléments de réponses.

Cantilever en post op 004 yagtf7 - Eugenol

Utilisateur banni

21/09/2012 à 17h58

Planification suite greffe pariétale et sinusienne

Greffe pari tale et sinus gszcqc - Eugenol

Photo pluton1b h9n4ea - Eugenol
pluton

26/09/2012 à 17h37

tout chaud du début d'aprèm...;-)

et contrairement à ce que laissent croire les photos, l'occlusion est bonne (vérifiée plusieurs fois...)!!! çà doit être l'effet de la nouveauté...le plaisir de ne plus sentir ce "trottoir" antérieur...nécessaire à la solidarisation des piliers provisoires

en tout cas patiente ravie...

Post op noxhzw - Eugenol
Img 3203 ug0qzt - Eugenol
Img 3204 gwkqcq - Eugenol
Img 3205 ooe9xw - Eugenol
Img 3208 t3fmef - Eugenol

Logo m4n3gc - Eugenol
drmarcus

26/09/2012 à 18h23

Pouah des vis..... Beurk.......
Dommage beau travail......

:-))))))))

--
"La vis est à l'implant ce que la carie est à la dent!" (Pozzi)


Casque beotien a3jo39 - Eugenol
beotien

27/09/2012 à 20h29

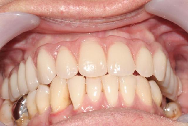
Une patiente envoyée par un correspondant pour remplacement de 11 et 21 par 2 implants

Je ne pense pas que cela va être possible!

J'ai fait une impression rapide du cas pour expliquer à la patiente, le cas est sympa à étudier avec blender. Je vous met quelques photos

Pour ma décision ce sera avec Posit ou rien,si vous avez autre chose à proposer en fixe? Je ne demande qu'a être convaincu.

Dsc 0062 lyrwlx - Eugenol
Dsc 0063 me4iyo - Eugenol
Bo5 g3wlzx - Eugenol
Bo6 zzcoli - Eugenol
Bo7 tn8wu1 - Eugenol
Dsc 0062 new1 u9tvlw - Eugenol

Utilisateur banni

28/09/2012 à 21h05

Beotien, après nettoyage des artéfacts, je trouve des emplacements.
Pour réaliser une S.I.A.O. complète il me faut un Positscan.



Merci pluton de nous avoir présenter la suite de la MCI

Image1 clb02l - Eugenol
Image2 y0nz7k - Eugenol