Cookie Consent byPrivacyPolicies.comQu'est ce qu'une bonne endo? - Eugenol

Qu'est ce qu'une bonne endo?

Titof2000

06/03/2012 à 02h05

flodec écrivait:
----------------
> Titof2000 écrivait:
> -------------------
> >
> > C'est bien de dire ça, au moins tu sais ce qu'est la confraternité!
> > Mais explique pourquoi?
>
> Parceque j'ai du bon matos pour faire une bonne endo : digue, localisateur
> d'apex, protaper, gutta, gutta condensors. donc si je rate mon traitement je ne
> m'en prend qu'à moi-meme.
>
> > Comme je l'ai écris dans mon précédent post, quelle différence entre laisser
> > systématiquement des canaux non traités car physiquement impossible d'accés et
> > laisser un bout du canal principal non obturé?
>
> Pour moi y a pas de difference mais L'element commun entre ces deux situations
> est le manque de temps pour bien réaliser son endo. Je prend en général deux
> séances pour traiter une molaire.

Je prend quasi systématiquement deux séances moi aussi, même pour les monoradiculaires!
Qu'est ce que tu mets dans les canaux/chambre pulpaire entre les deux séances?
Je suis un adepte de John Ide Ingle qui considère tout les canaux infectés et qui met du glutaraldéhyde dans les canaux entre chaque séance.


Titof2000

06/03/2012 à 02h17

radich_a_tord écrivait:
-----------------------
> - Aléser à l'aide d'instruments pour élargir la lumière canalaire pour permettre
> :
>
> - 20 minutes de rinçage à l'hypochlorite de sodium entre 2,5 et 5%, 5mL par
> canal, solution renouvelée régulièrement, rinçage jusqu'à la constriction
> apicale. Suivi d'un rinçage final à l'EDTA.
>
> Ainsi on traite un maximum de l'anatomie canalaire inaccessible à plus de 50%
> aux instruments mécaniques. Le vrai but de l'endo il est là.
>
> - Conserver une telle diminution de la charge bactérienne, virale, amibienne,
> prion, bref ce que tu veux, mais conserver un minimum d'agents pathogènes en
> rendant étanche les deux extrémités canalaires :
>
> * l'apex, en alésant au moins à 25/100ème de mm (diamètre statistiquement le
> plus rencontré) jusqu'à l'obtention d'une butée apicale objectivée par une
> sensation de tug back et en obturant avec une technique de gutta chaude.
>
> * coronairement, assurer une reconstitution étanche et pérenne de la couronne
> dentaire : par une obturation sandwich CVI + composite, par une prothèse, par
> une reconstitution partielle collée.
>
>
> Une endo asymptomatique depuis des années n'est absolument pas une garantie que
> ça durera dans le temps.
>
> Inversement, en procédant comme je l'ai indiqué, on a 90% de succès sur pulpite,
> 80% sur nécrose. La perfection n'est pas de ce monde, mais on peut s'appliquer.
>
> Mes critères pour décider de ne pas reprendre une endo :
>
> - absence de symptomatologie depuis longtemps
> - Absence d'image apicale radiologique
> - étanchéité coronaire (si plus de quelques heures de contamination salivaire,
> je reprends)
> - Consistance de l'obturation à l'entrée du canal. Si c'est que de la pâte, je
> reprends. Si c'est mou, je reprends.
> - aspect radiologique : si je ne vois pas de vide canalaire non obturée, je
> ferai rarement mieux. Si je vois un vide à la radio, je reprends.

20 minutes de rinçage!! Combien de temps l'endo? tu douilles le gars sur la prothèse après pour te ratrapper?
C'est un dilème ça! Est ce que l'on doit faire la meilleure médecine possible sans se soucier de son coût ou bien considérer qu'elle n'est valable que si elle est accessible?

Mais pourquoi 20 min? Qui a pondu ça? Tu fais les bios en une seule séance?


RépondreCiter
Img 3657 cwjvqm - Eugenol
alapex

06/03/2012 à 07h51

Une bonne endo est une endo qui va jusqu'à moi même .
Et je le prouverai !


Je sors ...)))mais je reviendrai .

PS/ Un de mes profs de fac disait qui vaut mieux une dent saine qu'une dent avec une obturation coronaire . Il disait aussi qu'il vaut mieux une dent avec une obturation coronaire qu'une dent dévitalisée . Mais aussi qu'il vaut mieux ce que vous voulez qu'une dent couronnée .


Je suis sorti en 1981 , comme cet homme était sage . Le reste n'est que littérature , prise de tête pour nous qui faisons les endos , application de techniques dites "sûres" , du mieux que l'on peut , surtout sur un forum de valeur avec des confrères ultra-compétents comme sur nonol .
Il reste que celui qui affirme être pleinement satisfait de ses endos comme s'il possédait l'anatomie particulière de chaque dent , est un parfait bouffon . A moins bien sûr qu'il ne puisse , par rapport au plus grand nombre , mettre un œil au foramen apical avant et après obturation . Un œil tellement affiné et exercé , qui lui permette de voir une flore microbienne , un excès ou manque de ciment...

J'espère que ce débat dont l'interrogation initiale fait partie de mes propres doutes , se finira avec la conclusion que nous faisons de notre mieux sans avoir la certitude que cela représente le 100 % de ce qu'il convient de faire , car avant que les noms d'oiseaux ne fusent , que les termes anti-confraternels ne fleurissent , n'oublions pas que le forum n'est pas confidentiel et que des profanes y ont accès .

Le mieux est de fournir des clichés ...à tout à l'heure , donc .


Img 3657 cwjvqm - Eugenol
alapex

06/03/2012 à 07h56

"Une bonne endo est une endo qui va jusqu'à moi même ."

Cette assertion est une plaisanterie , une parfaite preuve de mégalomanie ?!?!? Mine de rien elle résume tout le débat , elle est applicable à tout le monde , c'est pour ça que je la trouve excellente . Bonne réflexion , bonne recherche de radios .

...)))


Grumpy cat ifik8s - Eugenol
radich_a_tord

06/03/2012 à 08h49

Titof2000 écrivait:
-------------------

> Mais pourquoi 20 min? Qui a pondu ça? Tu fais les bios en une seule séance?

20 minutes de rinçage en tout. Je n'ai plus la ref biblio mais il y a plusieurs publi pour te démontrer que c'est la durée de rinçage minimum pour avoir une diminution correcte de la charge bactérienne.

Une endo dure 40 minutes pour une monoradiculée et 1h15 pour une molaire, pour moi.
Je ne fais pas d'endo sans projet prothétique avec devis signé derrière.


Img 3657 cwjvqm - Eugenol
alapex

06/03/2012 à 09h21

"Je ne fais pas d'endo sans projet prothétique avec devis signé derrière."

Ah . C'est ça une bonne endo ?


Titof2000

06/03/2012 à 09h26

alapex écrivait:
----------------
> Une bonne endo est une endo qui va jusqu'à moi même .
> Et je le prouverai !
>
>
> Je sors ...)))mais je reviendrai .
>
> PS/ Un de mes profs de fac disait qui vaut mieux une dent saine qu'une dent avec
> une obturation coronaire . Il disait aussi qu'il vaut mieux une dent avec une
> obturation coronaire qu'une dent dévitalisée . Mais aussi qu'il vaut mieux ce
> que vous voulez qu'une dent couronnée .
>
>
> Je suis sorti en 1981 , comme cet homme était sage . Le reste n'est que
> littérature , prise de tête pour nous qui faisons les endos , application de
> techniques dites "sûres" , du mieux que l'on peut , surtout sur un forum de
> valeur avec des confrères ultra-compétents comme sur nonol .
> Il reste que celui qui affirme être pleinement satisfait de ses endos comme s'il
> possédait l'anatomie particulière de chaque dent , est un parfait bouffon . A
> moins bien sûr qu'il ne puisse , par rapport au plus grand nombre , mettre un
> œil au foramen apical avant et après obturation . Un œil tellement affiné et
> exercé , qui lui permette de voir une flore microbienne , un excès ou manque de
> ciment...
>
> J'espère que ce débat dont l'interrogation initiale fait partie de mes propres
> doutes , se finira avec la conclusion que nous faisons de notre mieux sans avoir
> la certitude que cela représente le 100 % de ce qu'il convient de faire , car
> avant que les noms d'oiseaux ne fusent , que les termes anti-confraternels ne
> fleurissent , n'oublions pas que le forum n'est pas confidentiel et que des
> profanes y ont accès .
>
> Le mieux est de fournir des clichés ...à tout à l'heure , donc .

Voila une réponse pleine de sagesse!


Titof2000

06/03/2012 à 09h33

alapex écrivait:
----------------
> "Je ne fais pas d'endo sans projet prothétique avec devis signé derrière."
>
> Ah . C'est ça une bonne endo ?

J'imagine le gars qui souffre avec une pulpite... Tu signes sinon je ne te soigne pas!


RépondreCiter
Accenteur kszkki - Eugenol
brindacier

06/03/2012 à 11h38

Titof2000 écrivait:
-------------------
> Est ce que vous refaites systématiquement une endo lorsque l'image radio montre
> une obturation courte mais sans signe de lésion péri apicale ni de
> symptomatologie?

Si tu ne dois rien faire sur cette dent, bien sûr que non. Mais si tu dois la couronner, bien sûr que oui!

Essaie d'aller entendre Patrick Bogaerts, excellent endodontiste belge, qui n'hésite pas à montrer des tonnes de photos d'endos qui ne répondent pas aux critères théoriques et constate: "Et pourtant ça marche! Pourquoi?" Le dogmatisme est inopérant dans une profession technique ou "manuelle". Les règles sont là pour nous guider, on doit les suivre au maximum possible mais il y a aussi et toujours la marge existant entre la théorie et la pratique, et parfois, ça marche, même si on n'est pas dans les clous de la théorie.

Il peut y avoir tout le débat sur Evidence-Based Dentistry, l'évaluation des pratiques professionnelles etc. Je pense que ces références doivent nous guider mais ne doivent pas nous empêcher de travailler selon notre savoir-faire propre. Si un Stradivarius sonne comme aucun autre violon, c'est parce que Monsieur Stradivarius avait un savoir-faire propre. Nous avons chacun notre savoir-faire professionnel, à confronter à notre conscience professionnelle, pour obtenir les meilleurs résultats.


implantista

06/03/2012 à 12h24

Parfois c'est même plus dangereux de reprendre une endo que de la laisser en état, si elle est jugée "correct". Bénéfice/risque...


king_zoulou

06/03/2012 à 15h59

Jusqu'au jour (peut-être dans dix ans, 50 ans ou 2000 ?)où l'on va se rendre compte qu'une endo obturée à 15 mm de l'apex mais sans lésion radiologiquement visible est quand même une porte d'entrée vers l'organisme pour des micro-organismes sympas qui provoquent avc, infarctus, tendinites, fausses-couche ou que sais-je encore.


Grumpy cat ifik8s - Eugenol
radich_a_tord

07/03/2012 à 16h16

Titof2000 écrivait:
-------------------

> J'imagine le gars qui souffre avec une pulpite... Tu signes sinon je ne te
> soigne pas!

Pulpotomie : rapide, simple, soulage et permet de faire le bilan et le plan de traitement simplement.

alapex écrivait:
----------------
> "Je ne fais pas d'endo sans projet prothétique avec devis signé derrière."
>
> Ah . C'est ça une bonne endo ?

Je ne suis pas responsable du manque de revalorisation de l'acte traitement endodontique. Je propose donc un plan de traitement complet au patient, une fois l'urgence passée. Il est complètement incohérent de faire une endo dans les règles si c'est pour la laisser baigner dans la salive sans étanchéité coronaire derrière.


Img 3657 cwjvqm - Eugenol
alapex

07/03/2012 à 16h33

Bin , oui , c'était pas méchant...
Bon j'ai un vivier , il y a de tout . Remarquons qu'il n'y a aucuns foyers apicaux , il y a de tout sauf ça . Je me suis toujours fait la réflexion qu'avec les contacts étroits dents-os , la dentisterie souvent est chanceuse...

Img 0799 tngus8 - Eugenol

uɹöɾq

07/03/2012 à 22h24

flodec écrivait:
----------------

> Pour moi y a pas de difference mais L'element commun entre ces deux situations
> est le manque de temps pour bien réaliser son endo. Je prend en général deux
> séances pour traiter une molaire.


En quoi faire ton endo en deux séances augmente le temps que tu as pour bien la faire?
Et penses-tu qu'à temps total égal, il soit préférable de faire une endo en deux séances?


Grueavatar nptrc9 - Eugenol
Le Choixpeau magique

07/03/2012 à 23h20

Titof2000 écrivait:
-------------------
> Je suis un adepte de John Ide Ingle qui considère tout les canaux infectés et
> qui met du glutaraldéhyde dans les canaux entre chaque séance.

Le truc cancérigène qu'on n'a même plus le droit de mettre sur nos instruments ?

Vraiment n'importe quoi.


01 ukhwbq - Eugenol
ʎqqoq

07/03/2012 à 23h34

uɹöɾq écrivait:
---------------

> En quoi faire ton endo en deux séances augmente le temps que tu as pour bien la
> faire?

C'est tout simple, tu prends deux séances de 45 minutes au lieu d'une, t'as eu 45 minutes de plus pour bien faire ton endo...

:-)

> Et penses-tu qu'à temps total égal, il soit préférable de faire une endo en deux
> séances?

A temps global égal, il est évident qu'il vaut mieux tout faire en une fois. On gagne tous les "incompressibles" inhérents à chaque séance de soin, sans parler de risques de perte d'étanchéité en temporisation.
A mon sens, quand au cours d'une séance (bio ou RTE), on a réussi à aller à l'apex, qu'on a un bon silence clinique, que la dent est asymptomatique et qu'on peut sécher, faut finir, quitte à se mettre un peu à la bourre.
C'est un gain énorme à tous les niveaux, en plus ça libère 1/2 heure pour aller sur nonol, et l'assistante est ravie de ne pas se retaper un plateau d'endo, sans parler du patient qui n'a, ainsi, pas l'impression qu'on met des mois à soigner sa dent.


Smile beach jgh0a1 - Eugenol
Céramik

08/03/2012 à 01h06

alapex écrivait:
----------------
>
> Bon j'ai un vivier , il y a de tout . Remarquons qu'il n'y a aucuns foyers
> apicaux ,


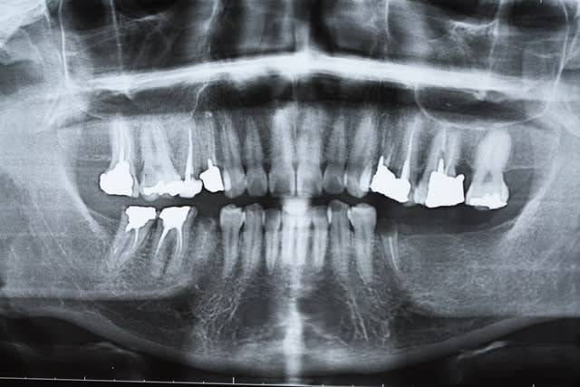
Si sous la 47 (pas jolie cette pano)
J'adore le vivier ! MDR !

--
Céramik


Smile beach jgh0a1 - Eugenol
Céramik

08/03/2012 à 01h11

Titof2000 écrivait:
-------------------
>
> Une bonne endo ne se résume pas à l'obturation! D'ailleur il parraît que la
> majorité de nos confrères ricains n'obturent même pas!
>


???
C'est quoi cette idée sur les USA et l'endo non obturée ??
Les canaux à peine obturés que j'ai vu, ça provenait plutôt
de l'Afique du Nord ou bien de l'Europe , comme quoi, on a pas la même vision de l'endo...

--
Céramik


king_zoulou

08/03/2012 à 01h42

Une idée fausse.
Comme celle qu'il a de foutre un produit cancérigène dans les racines en inter-séance alors que y a un truc génial qui s'appelle l'hydroxyde de calcium plein les études de pubmed ;)


Titof2000

08/03/2012 à 08h52

alapex écrivait:
----------------

> J'espère que ce débat dont l'interrogation initiale fait partie de mes propres
> doutes , se finira avec la conclusion que nous faisons de notre mieux sans avoir
> la certitude que cela représente le 100 % de ce qu'il convient de faire , car
> avant que les noms d'oiseaux ne fusent , que les termes anti-confraternels ne
> fleurissent , n'oublions pas que le forum n'est pas confidentiel et que des
> profanes y ont accès .

Tu avais bien raison....

Un autre imbécile avait dit que plus il en savait, moins il en savait... A lire certain le contraire s'applique aussi!


uɹöɾq

08/03/2012 à 10h03

Titof2000 écrivait:
-------------------

> Un autre imbécile avait dit que plus il en savait, moins il en savait... A lire
> certain le contraire s'applique aussi!


Tu veux dire que faire systématiquement une interséance et mettre du glutaraldéhyde dans les canaux, c'est "plus en savoir"?


Grumpy cat ifik8s - Eugenol
radich_a_tord

08/03/2012 à 11h12

Titof2000 écrivait:
-------------------

> Un autre imbécile avait dit que plus il en savait, moins il en savait... A lire
> certain le contraire s'applique aussi!

Je sais qu'une chose, c'est que je ne sais rien.

Par contre des gens dont c'est le métier (des scientifiques et des chercheurs) font de la recherche, des études, et publient le résultat de leurs travaux.
Le clinicien que je suis s'appuie sur ces travaux pour choisir une méthode de travail.

La tienne est différente : je ne dis pas que tu travailles mal, je te demande sur quelles bases scientifiques tu appuies ta décision de travailler comme ci ou comme ça. ça n'est pas une discussion ?


Blocperso talon jer3sl - Eugenol
mrquentin

08/03/2012 à 12h54

une bonne endo, c'est une endo faite avec amour :)


01 ukhwbq - Eugenol
ʎqqoq

08/03/2012 à 13h12

Ouais, ou avec brio...


roudy

08/03/2012 à 14h06

Le seul critère qui me paraisse vraiment objectif pour juger de la qualité d'un tt endo, c'est lorsqu'une LOE disparait !
Pour tous les autres cas: même si une obturation de bonne densité et allant à l'apex est un bon critère radiographique, ce n'est cependant pas suffisant pour garantir un scellement efficace et durable face à la complexité d'un réseau endodontique ! Il faut donc "laisser le temps au temps" pour certifier le succès d'un traitement endodontique !