Cookie Consent byPrivacyPolicies.comQu'est ce qu'une bonne endo? - Eugenol

Qu'est ce qu'une bonne endo?

olivier

08/03/2012 à 14h09

Si une endo est bonne tu le sais 10 ans plus tard ....


Titof2000

08/03/2012 à 14h57

uɹöɾq écrivait:
---------------
> Titof2000 écrivait:
> -------------------
>
> > Un autre imbécile avait dit que plus il en savait, moins il en savait... A
> lire
> > certain le contraire s'applique aussi!
>
>
> Tu veux dire que faire systématiquement une interséance et mettre du
> glutaraldéhyde dans les canaux, c'est "plus en savoir"?

J'ai dit que Ingle en mettait et que j'étais un adepte d'Ingle. Je n'ai pas eu la prétention de dire que c'était la seule et bonne façon de faire, contrairement à certain.

Pour ceux dont la seule science se résume à quelques feuilles de cours que leurs prof d'endo à bien voulu leurs donner, faites une recherche google "glutaraldéhyde et endodontie" ou bien "John I Ingle"... Un autre imbécile qui se préocupait du traitement des canaux accessoires mécaniquement inaccessible.

La médecine est une science expérimentale et non pas une science exacte. A part les plus dogmatiques d'entre nous, nous savont parfaitement que souvent ce qui était vrai hier et faux aujourd'hui.

Pour moi comme pour le malade une bonne endo c'est simplement celle qui donne le moins de problème.


Titof2000

08/03/2012 à 14h57

uɹöɾq écrivait:
---------------
> Titof2000 écrivait:
> -------------------
>
> > Un autre imbécile avait dit que plus il en savait, moins il en savait... A
> lire
> > certain le contraire s'applique aussi!
>
>
> Tu veux dire que faire systématiquement une interséance et mettre du
> glutaraldéhyde dans les canaux, c'est "plus en savoir"?

J'ai dit que Ingle en mettait et que j'étais un adepte d'Ingle. Je n'ai pas eu la prétention de dire que c'était la seule et bonne façon de faire, contrairement à certain.

Pour ceux dont la seule science se résume à quelques feuilles de cours que leurs prof d'endo à bien voulu leurs donner, faites une recherche google "glutaraldéhyde et endodontie" ou bien "John I Ingle"... Un autre imbécile qui se préocupait du traitement des canaux accessoires mécaniquement inaccessible.

La médecine est une science expérimentale et non pas une science exacte. A part les plus dogmatiques d'entre nous, nous savont parfaitement que souvent ce qui était vrai hier et faux aujourd'hui.

Pour moi comme pour le malade une bonne endo c'est simplement celle qui donne le moins de problème.


Titof2000

08/03/2012 à 15h03

olivier écrivait:
-----------------
> Si une endo est bonne tu le sais 10 ans plus tard ....

C'est discutable aussi, mais bon.

Mais tu remarqueras que personne n'attend 10 ni même 5 ans pour critiquer une endo. Non, il suffit juste de l'image radio de l'obturation...


Titof2000

08/03/2012 à 15h15

radich_a_tord écrivait:
-----------------------
> Titof2000 écrivait:
> -------------------
>
> > Un autre imbécile avait dit que plus il en savait, moins il en savait... A
> lire
> > certain le contraire s'applique aussi!
>
> Je sais qu'une chose, c'est que je ne sais rien.
>
> Par contre des gens dont c'est le métier (des scientifiques et des chercheurs)
> font de la recherche, des études, et publient le résultat de leurs travaux.
> Le clinicien que je suis s'appuie sur ces travaux pour choisir une méthode de
> travail.
>
> La tienne est différente : je ne dis pas que tu travailles mal, je te demande
> sur quelles bases scientifiques tu appuies ta décision de travailler comme ci ou
> comme ça. ça n'est pas une discussion ?

Quelle méthode de travail? Je n'ai pas eu la prétention d'avancer une méthode de travail?
Evidemment qu'idéalement il faut obturer le maximum des canaux endodontique. Ce que je veux dire c'est que c'est loin d'être le seul critère et certainement pas le critère le plus important.
C'est pourquoi dire qu'une endo courte est une mauvaise endo est une ânerie.


oglala

08/03/2012 à 16h11

king_zoulou écrivait:
---------------------
> Jusqu'au jour (peut-être dans dix ans, 50 ans ou 2000 ?)où l'on va se rendre
> compte qu'une endo obturée à 15 mm de l'apex mais sans lésion radiologiquement
> visible est quand même une porte d'entrée vers l'organisme pour des
> micro-organismes sympas qui provoquent avc, infarctus, tendinites,
> fausses-couche ou que sais-je encore.


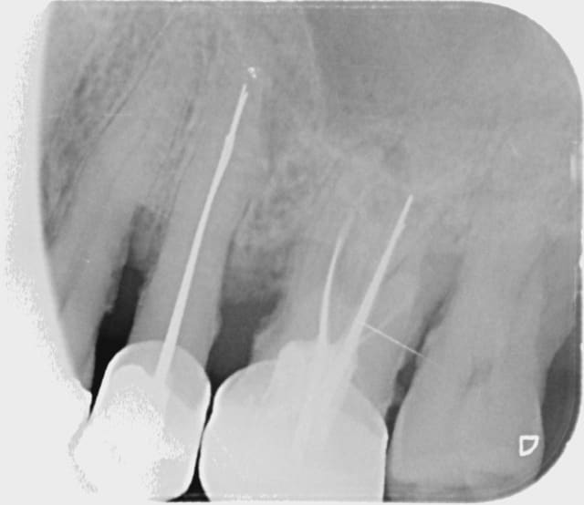
C'est encore une endo à 15 mm de l'apex?


Img 3657 cwjvqm - Eugenol
alapex

08/03/2012 à 18h06

"C'est encore une endo à 15 mm de l'apex?"

On s'en fout , le tout c'est de s'engueuler sur nonol , et de se prendre la tête alors qu'on arrive tous au même résultat : la certitude d'un doute relatif dans une satisfaction proportionnelle à son égo .


roudy

09/03/2012 à 00h14

oglala écrivait:
----------------
king_zoulou écrivait:
---------------------
"Jusqu'au jour (peut-être dans dix ans, 50 ans ou 2000 ?)où l'on va se rendre compte qu'une endo obturée à 15 mm de l'apex mais sans lésion radiologiquement visible est quand même une porte d'entrée vers l'organisme "
----------------------

L'organisme d'un être humain possède un système immunitaire élaboré, dont l'activation ne tarde pas à laisser les traces radiologiquement observables que nous appelons des LIPOE...
Au stade que tu décris on peut seulement évoquer le risque (non négligeable) que se développe un jour une diffusion bactérienne en direction de l'organisme, ceci étant en rapport avec le sous-traitement endodontique...


Img 1392 s73srk - Eugenol
Guttaman

09/03/2012 à 09h59

C'est dingue le nombre de confrères qui confondent qualité d'un traitement et succès clinique...
Avec ce genre de confusion, effectivement, on peut croire que certains traitements mal exécutés sont bons...


Img 1392 s73srk - Eugenol
Guttaman

09/03/2012 à 10h06

J'irai même plus loin : ce n'est pas parce que l'on a de la chance d'avoir un succès clinique (au moins temporaire) que ça rend notre traitement "bon". S'il est mauvais, ce n'est pas le succès clinique qui le rend bon pour autant...ça le rend juste suffisant, nuance ! (comme quoi, la barre pour atteindre le succès clinique n'est pas toujours très haute).


Img 3657 cwjvqm - Eugenol
alapex

09/03/2012 à 19h51

Chaud de ce matin , ça faisait longtemps ...
Les cônes d'argent ont un profil "élégant" et bien radio-opaque ...))) Bin , il a un pb paro , généralisé d'ailleurs mais il veut l'ignorer et se brosse 3 fois par jour , et passe même les brossettes , ça se sent pas ...)))

All rob 014 jdqg6w - Eugenol

Img 1392 s73srk - Eugenol
Guttaman

09/03/2012 à 19h57

Il a aussi de belles lipoes.


Smile beach jgh0a1 - Eugenol
Céramik

11/03/2012 à 01h34


J'aime aussi la contention par le tartre !


--
Céramik


Img 3657 cwjvqm - Eugenol
alapex

12/03/2012 à 19h55

L'endo papoue :

Alapex jean pierre 000 tblr9u - Eugenol

Kon nx3ojp - Eugenol
Kon

12/03/2012 à 20h38

alapex écrivait:
----------------
> "Une bonne endo est une endo qui va jusqu'à moi même ."
>
> Cette assertion est une plaisanterie , une parfaite preuve de mégalomanie ?!?!?
> Mine de rien elle résume tout le débat , elle est applicable à tout le monde ,
> c'est pour ça que je la trouve excellente . Bonne réflexion , bonne recherche de
> radios .
>
> ...)))

Comme l'Homme est la mesure de toute chose, le cd est la mesure de toute endo: de celles qui sont à la bonne longueur radio, du fait qu’elles sont côtable ; de celles qui ne sont pas belles, du fait qu’elles sont perfectibles.
:)


king_zoulou

12/03/2012 à 21h38

alapex écrivait:
----------------
> L'endo papoue :

Il a obturé avec la seringue de l'intra-pulpaire ? Je ne vois pas d'autre explication :p


01 ukhwbq - Eugenol
ʎqqoq

13/03/2012 à 10h06

Super pratique l'aiguille pour repasser! ^^


Bouchewc dsjkae - Eugenol
Yiponmac

13/03/2012 à 14h13


> king_zoulou écrivait:
> ---------------------
> > Jusqu'au jour (peut-être dans dix ans, 50 ans ou 2000 ?)où l'on va se rendre
> > compte qu'une endo obturée à 15 mm de l'apex mais sans lésion radiologiquement
> > visible est quand même une porte d'entrée vers l'organisme pour des
> > micro-organismes sympas qui provoquent avc, infarctus, tendinites,
> > fausses-couche ou que sais-je encore.
>

Ce jour là on sera enfin tranquilles, les dents candidates à l'endo on les extraira purement et simplement.

C'est Céramik qui va être content ! (joke)


Smile beach jgh0a1 - Eugenol
Céramik

13/03/2012 à 14h58

Yiponmac écrivait:
------------------
>
>>
> C'est Céramik qui va être content ! (joke)

Pffft, je fais des endo, juste 10X moins que toi

--
Céramik


Ico v for vendetta08 jzhpep - Eugenol
o⅁ pnɐuɹ∀

13/03/2012 à 18h02

Kahyat la semaine dernière m'a rétorqué que les 20 minutes d'hypo étaient du vent.
L'irrigation en début d'alésage ne serait pas efficace et ne le serait que vers la fin quand l'obturation est correctement alésée.

Sa procédure est 2 min d'EDTA en pompage constant (appelée également branlette endodontique) et 30 s d'hypo.

Il faisait notamment référence à un article que je vous joins.
Détail intéressant dans l'article, l'hypo est 100 ! fois plus bactéricide à 45° qu'à 20° et est stable à cette température 1h.

--
Quand Eugénol a exclu Narik, Eugénol a perdu un peu plus que Narik.


Img 3657 cwjvqm - Eugenol
alapex

14/03/2012 à 19h45

Ça c'est de l'endo , 35 ans d'age .

Ca evelyne 000 wpgbfa - Eugenol

chicotdagneau

14/03/2012 à 19h49

qu'est ce qu'un bon chasseur??