Cookie Consent byPrivacyPolicies.comFacebook en panne ... conduite à tenir gros amalgame ? - Eugenol

Facebook en panne ... conduite à tenir gros amalgame ?

003 penrd2 - Eugenol
Cingulum

07/03/2012 à 10h10

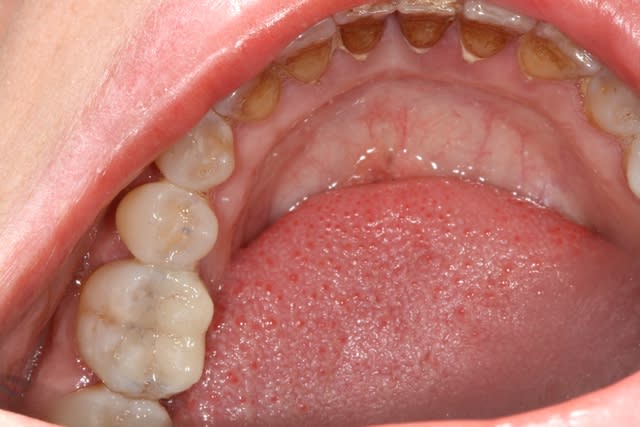
Bon facebook est en panne donc pour s'occuper...

Vous faites quoi là ?
les dents sont asymptomatiques...et vivantes


Img 0608 b8xdwq - Eugenol

JUAN

07/03/2012 à 10h57

2 onlays ceram?


kingofdogs

07/03/2012 à 11h05

Couronne sur 7, onlay sur 6


003 penrd2 - Eugenol
Cingulum

07/03/2012 à 11h06

après dépose des amalgames...


JUAN écrivait:
--------------
> 2 onlays ceram?

facebook marche chez toi ? :p


--
Dr Cingulum
-----Ancien interné----
----Attaché à l'apex----
http://www.clinic-all.fr/ formation par passion

Img 0610 acnjkd - Eugenol

Cd7ab0fb be26 42ce a229 3d3cb85fbdc0 wqmnyz - Eugenol
dorado

07/03/2012 à 11h57

Pas de RX, pas d'avis...


003 penrd2 - Eugenol
Cingulum

07/03/2012 à 13h08

elle va te dire quoi la radio ?




--
Dr Cingulum
-----Ancien interné----
----Attaché à l'apex----
http://www.clinic-all.fr/ formation par passion


Img 3657 cwjvqm - Eugenol
alapex

07/03/2012 à 13h43

Bin , si le nerf est vivant ! Tu ne vas jamais sur doctissimo ?
Je sors ...)))


X ray 03 medium zvq18j - Eugenol
cyber_quenottes

07/03/2012 à 13h48

http://www.lesnumeriques.com/facebook-ne-repond-plus-premiere-n23644.html


belette

07/03/2012 à 19h50

Bon, on attend la suite ... faut-il aller sur facebook pour la voir ?

= o =
O''''''O
V ... V


Smile beach jgh0a1 - Eugenol
Céramik

07/03/2012 à 20h03

Je donne la réponse ?

--
Céramik


Capture ddc6bm - Eugenol
sumble

07/03/2012 à 20h23

biomimetic dentistry... je tenterai onlay ceram


baroud69

07/03/2012 à 20h38

Vue l’épaisseur des parois et le fat qu'elles ont bcp travaillés avec les amalgames

> deux CR

au pire, on peut tenter deux onlays avec recouvrement desdites parois

Maintenant j'ai vu ton FB et je sais ce que tu as fait :p


aldo74

07/03/2012 à 22h23

rien si le patient n'a pas de demande,
car de deux dents asymptomatiques on risque de se retrouver avec des problèmes de necrose ou d'hyper sensibilité.
sans compter la contamination au Hg du à la dépose..!!...
si demande du patient deux onlays collés Conquest (Symphise)ou céramique suivant l'état buccal


maz

08/03/2012 à 00h39

je ferais deux onlay compo


kingofdogs

08/03/2012 à 01h45

aldo74 écrivait:
----------------
> rien si le patient n'a pas de demande,
> car de deux dents asymptomatiques on risque de se retrouver avec des problèmes
> de necrose ou d'hyper sensibilité.
> sans compter la contamination au Hg du à la dépose..!!...
> si demande du patient deux onlays collés Conquest (Symphise)ou céramique suivant
> l'état buccal

Ouais enfin le point de contact laisse franchement à désirer, et le joint idem, et sur la 7 c'est posé au pouce et légèrement irritant pour la gencive en lingual, et enfin il en manque un peu en mésio-vestibulaire, non?


003 penrd2 - Eugenol
Cingulum

08/03/2012 à 09h28

Le dilemme c'est souvent je couronne car trop de risques avec l'onlay.
Mais si je couronne il faut dépulper, et tailler la périphérie. Et ensuite ce sera tenon radiculaire.
N'est ce pas un blocage psychologique qui fait choisir le risque de l’échec endo (casse instrument, perfo, problème d’étanchéité) l’échec du tenon radiculaire (perfo, fracture), l’échec esthétique suite à la dépulpation ...
tout ça pour ne pas prendre le risque de quoi ? Au pire, si on a un échec sur l'onlay, il sera alors tempz de passer au plan C (couronne) et on aura perdu quoi ? on aura gagné 5, 10, 15 ans ?



voilà la fin

Img 0701 aia0ls - Eugenol

maz

08/03/2012 à 09h54

et en plus c'est super joli, que demander de plus ?


Img 3657 cwjvqm - Eugenol
alapex

08/03/2012 à 10h04

Et en suivant la méthode de Cingulum ...

P1010554 bekvbp - Eugenol
Onlay vgqlxd - Eugenol

Utilisateur banni

08/03/2012 à 10h44

Tes onlays sont très beaux Cingulum.


RépondreCiter
Nouveau image bitmap fz77zh - Eugenol
Sethef

08/03/2012 à 10h45

Evidemment très joli boulot comme d'habitude; j'aurais probablement choisi la même méthode, mais sûrement pas avec la petite touche qui rend l'intégration si parfaite...Très joli boulot d'Alapex également.

Par ailleurs, je rebondis sur le sujet à la vue des dernières photos: comment faites-vous pour poser vos inlays/ onlays sous digue unitaire? Je sais que c'est souvent recommandé, mais chaque fois que j'ai essayé, impossible de mettre en place la pièce, et obligé de tout déposer pour multiclamper.

Vous utilisez des digues particulières? Ultrafines? Autre chose? Vous arrive-t-il aussi de siffloter "la digueuh la digue" au fauteuil, quand la journée a été longue?


@+ Sethef


ceel

08/03/2012 à 10h57

Au fait cingulum, tu ne devais pas abandonner facebook pour google + ?


003 penrd2 - Eugenol
Cingulum

08/03/2012 à 11h24

Ben sur Google+ je suis tout seul :=)

alapex, génial ton onlay, et tes photos, ça me fait super plaisir si j'y suis un peu pour quelques choses ;=)

pour le collage, digue, et pour ce cas, compo chauffé et vibré. Avantage pour enlever les excès c'est super facile.




--
Dr Cingulum
-----Ancien interné----
----Attaché à l'apex----
http://www.clinic-all.fr/ formation par passion

Img 0691 hcd3ss - Eugenol
Img 0692 taaax1 - Eugenol
Img 0695 qasgle - Eugenol

Nouveau image bitmap fz77zh - Eugenol
Sethef

08/03/2012 à 11h56

Chouette, vraiment.
Mais je maintiens que si j'avais posé la digue comme ça, mon onlay sur la 7 ne serait pas rentré, du fait du point du contact. J'aurais donc dû inclure ma 8 dans le clampage.

Digue ultra-fine? Ou autre chose qui m'échappe?


Merci d'avance pour tes réponses, ça fait un moment que je me pose la question...


@+ Sethef


003 penrd2 - Eugenol
Cingulum

08/03/2012 à 12h04

oui digue assez fine...


--
Dr Cingulum
-----Ancien interné----
----Attaché à l'apex----
http://www.clinic-all.fr/ formation par passion


Nouveau image bitmap fz77zh - Eugenol
Sethef

08/03/2012 à 12h07

Ok, je commanderai des ultra-fines pour tester; j'essaie d'iconographier le jour où je le fais pour les retours...


Merci.


@+ Sethef