Cookie Consent byPrivacyPolicies.comUn onlay parmi tant d'autres... - Eugenol

Un onlay parmi tant d'autres...

Capture ddc6bm - Eugenol
sumble

13/03/2012 à 11h08

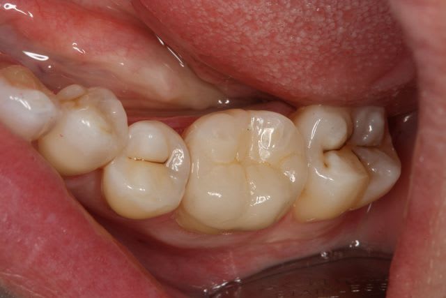
Un petit onlay du dimanche dernier qui m'a fait plaisir. A souligner le travail du prothésiste, content de son boulot après avoir vu les photos.

Pour Sethef: la digue (medium) ne m'a pas gêné, mais le premier clamp que j'ai voulu mettre remontait partiellement sur la limite.

01 c1mmv7 - Eugenol
02 trh2uy - Eugenol
03 ea9tgo - Eugenol
4 gf1oud - Eugenol
05 qdj5hl - Eugenol

с французского

14/03/2012 à 23h26

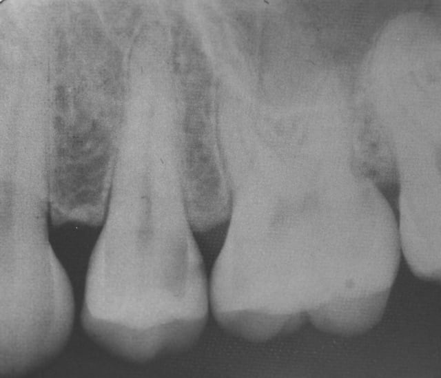
Petite question, par curiosité: la cavité a l'air profonde sous la gencive, non?

C'est une dent vitale ou non?

--
Пожалуйста, пользуйтесь результатом машинного перевода с осторожностью, возможны ошибки....666


Img 3657 cwjvqm - Eugenol
alapex

14/03/2012 à 23h45

La cavité d'accès pour une dévit est insuffisante , la dent est vivante . La limite de la cavité est sus gingivale .


Capture ddc6bm - Eugenol
sumble

15/03/2012 à 00h14

с французского écrivait:
------------------------
> Petite question, par curiosité: la cavité a l'air profonde sous la gencive, non?
>
> C'est une dent vitale ou non?
>
> --
> Пожалуйста, пользуйтесь результатом машинного перевода с осторожностью, возможны
> ошибки....666
>

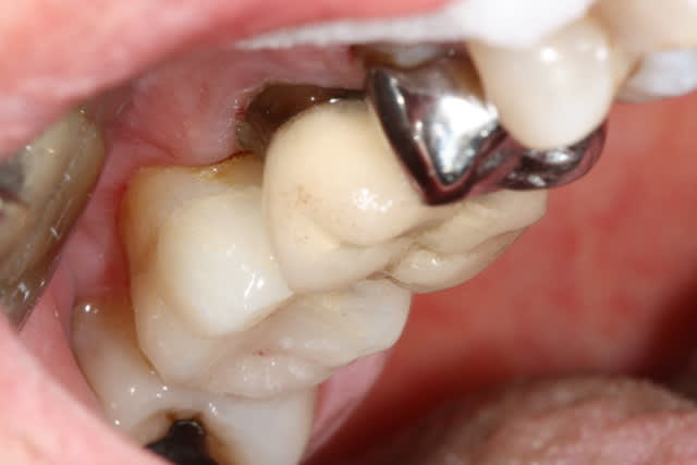
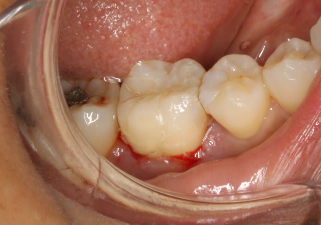
Dent vitale. Il y avait un compo OD et le pan V a lâcher. Limite supra-gingivale.
Ci joint une autre vue.

Img 0995 g2mmv5 - Eugenol

с французского

15/03/2012 à 21h31




--
Пожалуйста, пользуйтесь результатом машинного перевода с осторожностью, возможны ошибки....666

....merci Sumble) je trouve d ailleurs ta deuxieme prise de vue plus parlante concernant ma question...en fait les inlays m interessent car ils semblent une alternative intereßante a d autres moyens de reconstitution, et sont moibs delabrants que des couronnes...nous en posons beaucoup la ou je travaille, mais je n en avais jamais vu sur dent devitalisee...mon prat dit que c est faisable, a condition qu il reste assez d email, et que la couronne est preferable...mais je crois que sur la question de nombreux avis ont ete donnes;)


Img 3657 cwjvqm - Eugenol
alapex

15/03/2012 à 22h19

"mais je n en avais jamais vu sur dent devitalisee."

Le mossieu te dit qu'elle est vivante ...


Flaschcode adresse site cabinet  bsizag - Eugenol
dentissimo

15/03/2012 à 22h36

je suis plutôt chirurgie , mais il est vrai que cela fait plaisir de réaliser des inlays...

Inlay gradia 1 nriwjw - Eugenol
Inlay gradia 4 ieq6l3 - Eugenol
Inlay gradia 3 w3z8uz - Eugenol

с французского

15/03/2012 à 23h39

cela semble demander plus de minutie qu'une couronne, et plus de precision...Enfin, ce n'est jamais que mes impressions au fauteuillol

Et c'est tres peu remboursé...Pourtant, les patients que je vois le preferent largement a la couronne sur dent vivante(lol), car ils savent qu'on taille moins ....

C'est un bon compromis..Mais j'ai remarqué que beaucoup de problemes a court ou moyen terme survenaient avec les Targis...Pensez vous que l'or soit LE materiau de choix dans ce type de restauration?

--
Пожалуйста, пользуйтесь результатом машинного перевода с осторожностью, возможны ошибки....666


Picture 12 8 h5kem6 - Eugenol
chemin-de-fer

16/03/2012 à 00h02

с французского écrivait:
------------------------
> cela semble demander plus de minutie qu'une couronne, et plus de
> precision...Enfin, ce n'est jamais que mes impressions au fauteuillol
>
> Et c'est tres peu remboursé...Pourtant, les patients que je vois le preferent
> largement a la couronne sur dent vivante(lol), car ils savent qu'on taille moins
> ....
>
> C'est un bon compromis..Mais j'ai remarqué que beaucoup de problemes a court ou
> moyen terme survenaient avec les Targis...Pensez vous que l'or soit LE materiau
> de choix dans ce type de restauration?
>
> --
> Пожалуйста, пользуйтесь результатом машинного перевода с осторожностью, возможны
> ошибки....666
>

Tout est là: http://www.has-sante.fr/portail/jcms/c_865156/restauration-dentaire-par-materiau-incruste-inlay-onlay


Avatar ow44t3 - Eugenol
Chicot

16/03/2012 à 09h08

Targis..... Ça existe encore cette m.... la ?

Emax c'est très bien ou compo Labo sur dent non vitale (moins de stress)


--
;O)


S2y2o1v7q53ws4r5wy6ou8czrpom - Eugenol
pxav

16/03/2012 à 09h27

Chicot écrivait:
----------------
> Targis..... Ça existe encore cette m.... la ?
>
> Emax c'est très bien ou compo Labo sur dent non vitale (moins de stress)
>
>
> --
> ;O)

oui résine labo ou le must, l'or, malheureusement plus à la mode mais de loin le meilleur matériaux!
J'ai vu hier un patient qui a un onlay d'angle en or....depuis 60 ans.
Sur une latérale, ce qui n'est plus envisageable, mais chapeau au dentiste qui a fait ça (et au prothésiste).
Je vous fais la photo la prochaine fois.
--
xbk
"Si tous ceux qui croient avoir raison n'avaient pas tort, la vérité ne serait pas loin" Dac Pierre


Avatar ow44t3 - Eugenol
Chicot

16/03/2012 à 12h46

un autre....




--
;O)

Img 3982 g6fm5b - Eugenol
Img 3985 fqarwl - Eugenol
Img 3987 qjcua2 - Eugenol
Img 3989 fua7xz - Eugenol
Img 3983 yu8kwm - Eugenol
Img 3988 ngkyw3 - Eugenol

с французского

16/03/2012 à 13h15

Oui, on pose des onlays et inlays Targis..C'est vrai que de visu, c'est tres beau, ca on ne voit presque rien en bouche une fois collé. Et c'est moins cher que la ceramique (ceux la, on en pose tres, tres peu...

L'or se fait encore pas mal par chez moi, mais plutot chez une patientèle masculine, d'un cetain age, car eux savent que c'est ce qui est le plus durable)

P.S: un onlay de 60 ans d'age? pas mal, quand on sait quen principe, c'est 20 ans...

Mais les jeunes, eux ne veulent pas d'or.Ils se font donc poser des onlays compos, avec une hygiène plus qu'aleatoire..

--
Пожалуйста, пользуйтесь результатом машинного перевода с осторожностью, возможны ошибки....666


Nouveau image bitmap fz77zh - Eugenol
Sethef

16/03/2012 à 15h29

sumble écrivait:
----------------

> Pour Sethef: la digue (medium) ne m'a pas gêné, mais le premier clamp que j'ai
> voulu mettre remontait partiellement sur la limite.


Retesté la digue unitaire ce matin, sur vos bons conseils à tous (cas assez proche de celui-ci d'ailleurs): aucun souci, je ne sais toujours pas ce qui avait merdé les fois précédentes.


@+ Sethef


Img 3657 cwjvqm - Eugenol
alapex

20/03/2012 à 15h58

Encore oune gross .


PS/ Dès que je valide le module prothèse à Clinic All , je refais les couronnes ...)))

Img 0825 wcqx62 - Eugenol
Img 0879 nf6jae - Eugenol
Img 0883 j1jaif - Eugenol
Img 0885 gzearm - Eugenol
Img 0828 kz0cgq - Eugenol
Img 0881 v0bfai - Eugenol
Img 0884 cpdaew - Eugenol
Img 0886 kwxznq - Eugenol

P1060810  800x600  dlavv9 - Eugenol
Hebken

20/03/2012 à 16h11

...^^

Photo 111 ebvpo0 - Eugenol
Photo 110 gugqxr - Eugenol

003 penrd2 - Eugenol
Cingulum

20/03/2012 à 16h43

Juste ! on t’arrête plus !!!
tu fais des cas, ou j'oserais peut être pas
mais ça me fait vachement plaisir tes photos, de me dire que j'y suis peut être un peu pour quelque chose... =)


--
Dr Cingulum
-----Ancien interné----
----Attaché à l'apex----
http://www.clinic-all.fr/ formation par passion


Smile beach jgh0a1 - Eugenol
Céramik

20/03/2012 à 17h07

Cingulum écrivait:
------------------
> Juste ! on t’arrête plus !!!
> tu fais des cas, ou j'oserais peut être pas
> mais ça me fait vachement plaisir tes photos, de me dire que j'y suis peut être
> un peu pour quelque chose... =)
>
>

Joli cas , belle photo, ça fait plaisir de voir des onlays sur nonol.
Olivier, pffft, modeste en plus, c'est moi qui pousse Juste !

;-))))


--
Céramik


200106 10150128247663588 709988587 6466236 5598391 n d7mksb - Eugenol
hallboy

20/03/2012 à 18h49

Joli taff M'sieur Lapex ;)


Tozzi

20/03/2012 à 21h52

Ton empreinte parait précise, tu utilises quel matériau ?
Moi j'ai toujours du tirage dans les zones où je ne mets pas assez de light.


Img 3657 cwjvqm - Eugenol
alapex

20/03/2012 à 23h11

Me ?


Tozzi

20/03/2012 à 23h37

No Chicot ;-)
Vous arrivez, en double mélange, à n'avoir aucun tirage sur toutes les dents ?


Grueavatar nptrc9 - Eugenol
Le Choixpeau magique

20/03/2012 à 23h39

Tozzi écrivait:
---------------
> No Chicot ;-)
> Vous arrivez, en double mélange, à n'avoir aucun tirage sur toutes les dents ?

Avec un heavy c'est plus facile.


Smile beach jgh0a1 - Eugenol
Céramik

21/03/2012 à 01h30

Tozzi écrivait:
---------------
> No Chicot ;-)
> Vous arrivez, en double mélange, à n'avoir aucun tirage sur toutes les dents ?


Bah oui, pourquoi ?
Tu as une AD ?



--
Céramik


Avatar ow44t3 - Eugenol
Chicot

21/03/2012 à 15h07

moi j'utilise Imprégum classique (pas le soft) en monophase depuis 1989, au début fallait le mélanger soit même (galère+++) maintenant la machine fait tout.

Et avec une ou deux assistantes selon le nombre de préparations (1 à 14)

avec un PE métal plein, parfois boxé en postérieur ou parfois un PEI

Il faut bien maintenir le PE en bouche pour éviter les micro mouvements et bien injecter l'impregum partout pour éviter le tirage


--
;O)


12...