Cookie Consent byPrivacyPolicies.comUn onlay parmi tant d'autres... - Eugenol

Un onlay parmi tant d'autres...

Tozzi

21/03/2012 à 17h09

Céramik écrivait:
-----------------
> Tozzi écrivait:
> ---------------
> > No Chicot ;-)
> > Vous arrivez, en double mélange, à n'avoir aucun tirage sur toutes les dents ?
>
>
> Bah oui, pourquoi ?
> Tu as une AD ?

Non pas d'AD...
Pourtant j'utilise le Flexitime qui soit-disant offre un temps de travail plus important (Putty Dynamix + Medium Flow).
Pour le double mélange, vous mettez du light sur les dents non préparées, en les recouvrant sur quelle étendue ?
Et c'est moi où il faut appuyer comme un bourrin pour que le light du Flexitime veuille bien sortir ?


Smile beach jgh0a1 - Eugenol
Céramik

21/03/2012 à 17h46

J'utilise le lourd et le x-light d'Aquasil Ultra.



--
Céramik


yoye

22/03/2012 à 14h13

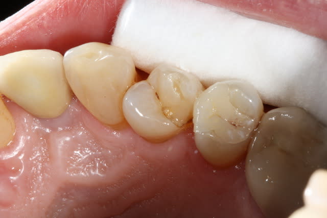
Bonjour à tous, sumble avec quoi colles tu s'il te plait et quel est ton matériau provisoire ( irm non pour collage et le cavit ne me semble pas pouvoir tenir aussi bien )?
Merci


Img 3657 cwjvqm - Eugenol
alapex

22/03/2012 à 18h00

Oune plous pitite ...)))



La 16 est magnifique , le compo de la 4 également (le pan d'émail sert de point de contact , youpi)...
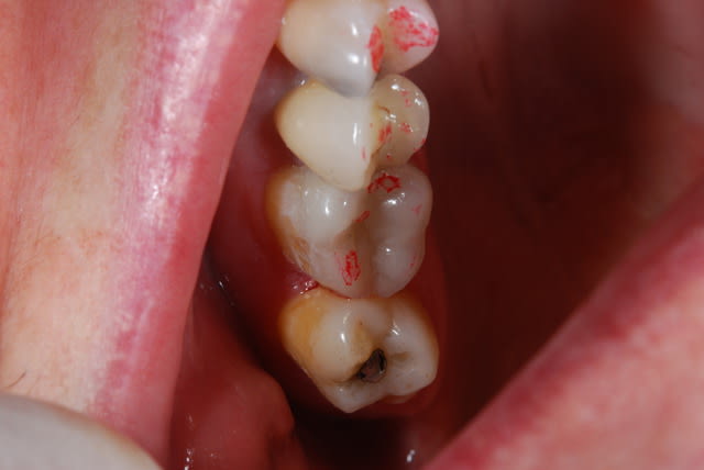
Patient habituel si on peut dire , pris en paro par ma femme , reparti chez un ami...à lui pour les prothèses , reviendu chez moi .
J'ai des bourrages , effectivement c'est ballot et à part refaire les cérams , je ne vois pas .
Pis chuis nul en composite , on va faire un onlay , c'est la seule soluce . Oui je vais en profiter parce que d'ici 2 ans je serai à la retraite , et la moutouelle...là on me rembourse tout . Je vais quand vous faire un devis à tout hasard...)))

Img 0819 ne19zu - Eugenol
Img 0899 zmrhct - Eugenol
Img 0900 vufiok - Eugenol
Img 0906 llespm - Eugenol
Img 0907 if8dru - Eugenol
Img 0910 ni19cp - Eugenol
Img 0908 bxjvwk - Eugenol
Img 0909 wsuka8 - Eugenol

Gutgut

22/03/2012 à 22h33

Bonsoir

Question car le post est récent, mais peut être déja demandé :

Comment faire pour éviter que les excès de variolink ou autres colles passebt dans l'espace inter-dentaire ? (meme sous digue)
Teflon, coins de bois, vaseline ?

Merci


Capture ddc6bm - Eugenol
sumble

22/03/2012 à 22h50

yoye écrivait:
--------------
> Bonjour à tous, sumble avec quoi colles tu s'il te plait et quel est ton
> matériau provisoire ( irm non pour collage et le cavit ne me semble pas pouvoir
> tenir aussi bien )?
> Merci

Collage RelyX.
En provisoire, IRM sachant que j'avais scellé (adhésif) la dentine dès la fin de la prep, avant l'empreinte.


Avatar ow44t3 - Eugenol
Chicot

22/03/2012 à 23h07

Gutgut écrivait:
----------------
> Bonsoir
>
> Question car le post est récent, mais peut être déja demandé :
>
> Comment faire pour éviter que les excès de variolink ou autres colles passebt
> dans l'espace inter-dentaire ? (meme sous digue)
> Teflon, coins de bois, vaseline ?
>
> Merci

ben si tu mets la digue, déjà ça collera pas à la dent voisine. Ensuite du flash avec la lampe une seconde à peine, tu enleves les excès à la sonde, ils partent fastoche car un peu durcies mais à peine, ensuite de la glycérine et tu photopolymérises à donf

--
;O)


Gutgut

22/03/2012 à 23h24

Je fais déja tout ça, mais je ne vois pas (encore) comment enlever les excès à la sonde ou au fil dentaire dans le point de contact ou au dessus de la papille sans risquer de faire saigner ou de décoller l'inlay.

Ps : évidemment que je mets la digue :p !


Grueavatar nptrc9 - Eugenol
Le Choixpeau magique

22/03/2012 à 23h24

Tozzi écrivait:
---------------
> Pourtant j'utilise le Flexitime qui soit-disant offre un temps de travail plus
> important (Putty Dynamix + Medium Flow).
> Pour le double mélange, vous mettez du light sur les dents non préparées, en les
> recouvrant sur quelle étendue ?
> Et c'est moi où il faut appuyer comme un bourrin pour que le light du Flexitime
> veuille bien sortir ?

Essaye le heavy à la place du putty, tu auras moins de tirages.

Le medium flow est comme son nom l'indique un medium, c'est pour ça que tu as cette impression (correcte) d'appui plus musclé sur la poignée.
Si tu préfères plus fluide, tu peux essayer le correct flow mais perso je le trouve trop fluide.


Gutgut

22/03/2012 à 23h24

Je fais déja tout ça, mais je ne vois pas (encore) comment enlever les excès à la sonde ou au fil dentaire dans le point de contact ou au dessus de la papille sans risquer de faire saigner ou de décoller l'inlay/onlay.

Ps : évidemment que je mets la digue :p !

Je n'ai pas non plus pour l'instant de digue suffisamment fine pour ces cas de collage, donc je mutliclampe à chaque fois au moins une dent voisine.


yoye

23/03/2012 à 00h32

sumble écrivait:
----------------
> yoye écrivait:
> --------------
> > Bonjour à tous, sumble avec quoi colles tu s'il te plait et quel est ton
> > matériau provisoire ( irm non pour collage et le cavit ne me semble pas
> pouvoir
> > tenir aussi bien )?
> > Merci
>
> Collage RelyX.
> En provisoire, IRM sachant que j'avais scellé (adhésif) la dentine dès la fin de
> la prep, avant l'empreinte.
Merci , je pensais que l'irm contenant de l'eugénol était contre indiqué pour un cas de collage . Et que veux tu dire quand tu dis j'ai déjà collé la dentine? Que se passe t il quand tu enlèves ton irm ne penses tu pas que ce collage est " abimé"?
Merci


Bebe 038 nf8eum - Eugenol
danteyeah

23/03/2012 à 01h24

Chicot écrivait:
----------------
> Targis..... Ça existe encore cette m.... la ?
>
> Emax c'est très bien ou compo Labo sur dent non vitale (moins de stress)
>
>
> --
> ;O)

N'oublie pas chicot que G. Tirlet était un précurseur de Vectris/Targis, il nous avait montré des cas ayant plus de 12 ans environ tout à fait bien conservés. Je n'ai fait que 2 cas de mini bridge sur Inlay avec ça et ça tient encore (dont un chez belle maman, c'est dire si j'aime vivre dangereusement).
;-)


Bebe 038 nf8eum - Eugenol
danteyeah

23/03/2012 à 01h35

sumble écrivait:
----------------
> yoye écrivait:
> --------------
> > Bonjour à tous, sumble avec quoi colles tu s'il te plait et quel est ton
> > matériau provisoire ( irm non pour collage et le cavit ne me semble pas
> pouvoir
> > tenir aussi bien )?
> > Merci
>
> Collage RelyX.
> En provisoire, IRM sachant que j'avais scellé (adhésif) la dentine dès la fin de
> la prep, avant l'empreinte.

Rely'X pas indiqué pour collage, mauvais joint à long terme (c'est poreux), c'est un gros utilisateur de ce produit qui te le dit.
IRM en provisoire???? sur une future zone de collage avec un IDS préalable??? Ton protocole est incohérent et compliqué (obligation de sablage de la cavité pour éliminer toute trace d'eugénol avant collage, donc élimination de l'IDS)). En obturation provisoire tu peux faire un inlay résine scellé en provisoire, ou utiliser des matériaux provisoires spécifiques (Clip de Voco ou mieux Enasoft HRI de Micerium).


Smile beach jgh0a1 - Eugenol
Céramik

23/03/2012 à 02h45

alapex écrivait:
----------------
> le compo de la 4 également (le pan d'émail sert de point
> de contact , youpi



Tout ce très beau boulôt (photo pas moche en plus ), et il laisse la 4 comme cela !
Moi, je l'aurais fais gratos au pire, mais pas coller un onlay à côté d'une m... comme cela...


--
Céramik


003 penrd2 - Eugenol
Cingulum

23/03/2012 à 13h06

Pour les excés,
1. se prémunir du collage sur les dents adjacentes, avec une bande matrice au mordançage, la digue et/ou du ruban téflon au moment du collage

2. Avec des colles à prise dual, prendre son temps, rien ne presse, mettre en place l'onlay et retirer les excès avec une boulette, ou un pinceau. Passer le fil dentaire dans l'embrasure, prendre un fil épais (floss); répéter l'opération tranquillement, quand les excès sont bien retirés, appuyer sur l'onlay, il devrait ressortir encore un peu de colle du joint, polymériser et polir... Faire un flash de lumière puis retirer marche aussi, mais on prend le risque d'avoir un manque par arrachement, et après provoquer des colorations au niveau du joint.

3. On peut aussi utiliser un composite purement photo, plus chargé, il faut le chauffer (réchauffe carpule, ou vous collez les carpules de composite (Tetric, gradia, Herculite...) sur le scialytique avec du scotch 20 min avant...) puis le vibrer. Par thixotropie le composite se fluidifie, et fuse, les excès sont alors très facile a retirer, car pâteux, et non fluide...
Il faut dans ce cas bien insister sur la photo-polymérisation



--
Dr Cingulum
-----Ancien interné----
----Attaché à l'apex----
http://www.clinic-all.fr/ formation par passion

Img 0608 dca3ue - Eugenol
Img 0610 axt0fq - Eugenol
Img 0691 nbg1ev - Eugenol
Img 0692 ysl42m - Eugenol
Img 0695 skxkkp - Eugenol
Img 0701 hcb5ez - Eugenol
Img 0704 oek4ak - Eugenol
Img 0705 ooohta - Eugenol

Img 3657 cwjvqm - Eugenol
alapex

23/03/2012 à 13h33

Le jour où je prendrai le temps de faire des photos pendant le collage ...c'est que je m’appellerai Cingulum .
La vie est simple...

PS/ "On" m'avait dit qu'il fallait mettre de la vaseline chef ...


Dsc 3167 ff43tz - Eugenol
Xenophon

23/03/2012 à 13h42

Gutgut écrivait:
----------------

> Je n'ai pas non plus pour l'instant de digue suffisamment fine pour ces cas de
> collage, donc je mutliclampe à chaque fois au moins une dent voisine.


En mettant une digue unitaire, tu évites quantité de débordement.

Pour le reste, tu a essayé la lame de bistouri courbe ?? ça passe sous les papille. En traction, c'est nickel. Bien plus fin qu'un mini CK6.


Avatar ow44t3 - Eugenol
Chicot

23/03/2012 à 14h11

Xenophon écrivait:
------------------
>
> Pour le reste, tu a essayé la lame de bistouri courbe ?? ça passe sous les
> papille. En traction, c'est nickel. Bien plus fin qu'un mini CK6.

+1 000 Lame 12 mais je vous conseille de passer un coup de meulette sur la zone proche du manche pour vos début sous peine de risque d'entailles de la pulpe des doigts....


--
;O)


Gutgut

23/03/2012 à 15h23

autre chose : comment faites vous pour valider la teinte ?

Essayage de l'onlay AVANT pose de la digue ?...


Img 3657 cwjvqm - Eugenol
alapex

23/03/2012 à 16h22

Oui .(photos 2 et 3 d'hier)


Blocperso talon jer3sl - Eugenol
mrquentin

23/03/2012 à 17h05

cingulum, ton proto, il est trop fort!

pour la digue, je l'ai jamais clampé autrement qu'en unitaire:
j'essaye l'inlay sans digue, je regle les points de contacts, et une fois que ca rentre, je mets la digue; si ca rentre sans la digue, ca rentre avec, et pourtant, j'utilise la digue R&S !!


87 ujotte - Eugenol
Spatouille

23/03/2012 à 19h14

mrquentin écrivait:
-------------------
> cingulum, ton proto, il est trop fort!


+1 les cas de prothèse que vous montrez sont à tomber ! bravo à vous.


Tozzi

24/03/2012 à 10h09

Retirer les excès devient vraiment très compliqué quand les dents sont serrées (pas de place pour passer une sonde même fine) et que la limite cervicale proximale est basse.
Pas exemple dans ce cas de figure sur la radio, préparations pour 2 inlays sur 36 et 37.
Le risque c'est de pousser la colle vers le sulcus au lieu de la retirer.

3637 kd2nak - Eugenol

aldo74

24/03/2012 à 19h04

placer un fil de diamètre adapté avant collage dians le sulcus.il sera retiré avant polimérisation total


Little shop of horrors brzqjx - Eugenol
chatondecarte

26/03/2012 à 22h19

Puisque tout le monde montre des photos, à mon tour.
Il m'aura quand même fallu un petit moment avant de réussir à faire des onlay qui ressemble à quelque chose... Comme quoi, c'est pas que le prothésiste qui bosse!

Par contre me former ça commence à me coûter cher... Je ne fait presque plus de SPR50/SPR57...

Dsc 0632 keewyh - Eugenol
Dsc 0688 suixgv - Eugenol
Dsc 0690 hgsirs - Eugenol
Dsc 0693 ixvwoc - Eugenol
Dsc 0694 kfzmzr - Eugenol
Dsc 0695 ajoddy - Eugenol
R8 y1hww0 - Eugenol

123...