Cookie Consent byPrivacyPolicies.comUn onlay parmi tant d'autres... - Eugenol

Un onlay parmi tant d'autres...

87 ujotte - Eugenol
Spatouille

03/07/2012 à 01h27

joli vos onlays !

Alapex , c'est "marrant" en vue de face la teinte est nickel et en occlusal l'onlay est bien plus clair opaque, la photo ?

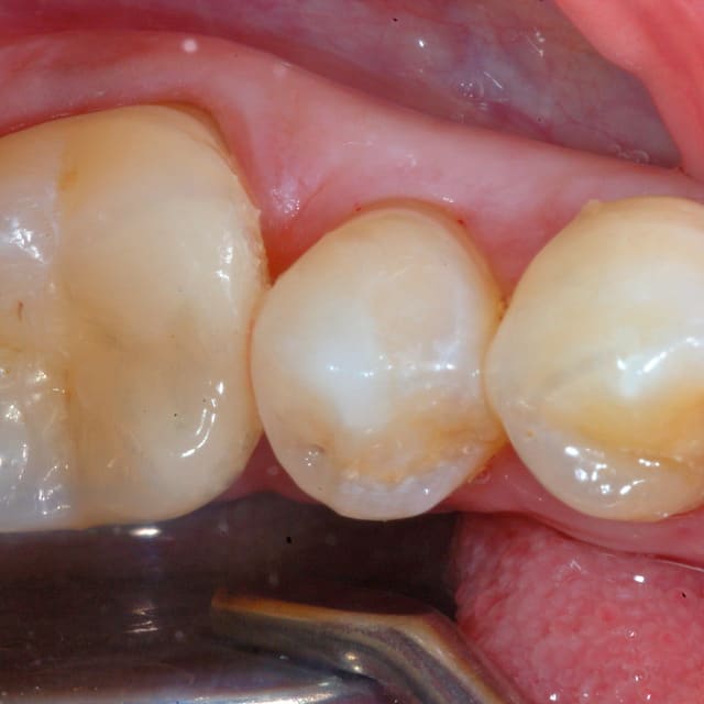
c'est de l'e.max ? pas de réglage du contact distal ?


Img 3657 cwjvqm - Eugenol
alapex

03/07/2012 à 02h06

Emax sans retouche (mais effectivement le prothésiste devrait savoir que les crêtes se mettent à la même hauteur) , inséré à la "main" et carie occlusale ...)))
Merki.


Tux maul g1zvba - Eugenol
cortex

03/07/2012 à 10h05

C'est la crête distale dont il est question ?


003 penrd2 - Eugenol
Cingulum

03/07/2012 à 10h37

ça me fait plaisir tout ces onlay Juste :)

--
Dr Cingulum
-----Ancien interné----
----Attaché à l'apex----
http://www.clinic-all.fr/ formation par passion


Img 3657 cwjvqm - Eugenol
alapex

03/07/2012 à 11h57

cortex écrivait:
----------------
> C'est la crête distale dont il est question ?

Oui .

Merki Cingulum ...


baroud69

03/07/2012 à 12h12

Merci Olivier pour avoir donné envie de repenser son travail ^^


Dsc 3167 ff43tz - Eugenol
Xenophon

03/07/2012 à 13h17

Sympa comme travail ! Bravo.

Pourtant une question: n'est ce pas un peu risqué de mettre une vitrocéramique (même renforcée) sur un moignon en métal et donc ne pas bénéficier du collage qui est pour beaucoup dans la résistance de l'EMax ? Si on ne peut pas coller ( et c'est le cas là) autant mettre une armature zircone si on veut absolument mettre du céramo-céramique.


baroud69

03/07/2012 à 13h28

Je ne vois pas en quoi un faux moignon métal fragilise la couronne susjacente. Ce n'est pas une question de matériau mais de préparation.

Dans ce cas précis j'ai scellé la couronne. Le collage sur le métal, même silanisé, ne m'a pas apporté satisfaction.

Quant à la pérennité du système, pour l'instant (deux ans), je n'ai pas eu de fracture des Emax monoblocs... Mais il ne s'agit que de mon expérience personnelle, et le délai et court. Des fractures de la céramique montée sur zircone par contre j'en ai eu et vu. A mon sens les indications des CC avec armature zircone sont pour les couronnes antérieures, autant faire une CCM sur un postérieure si on cherche de la solidité à tout prix non ?


003 penrd2 - Eugenol
Cingulum

03/07/2012 à 14h18

Concernant les couronnes mono bloc postérieur en emax ,c'est une valeur sur !
J'en fait depuis 10 ans.... 1 casse, sur une dent avec peu d'épaisseur...
Le collage c'est un lien entre deux matériaux, et coller sur le métal c'est bof... donc autant avoir un protocole simple et reproductible.....

--
Dr Cingulum
-----Ancien interné----
----Attaché à l'apex----
http://www.clinic-all.fr/ formation par passion


003 penrd2 - Eugenol
Cingulum

03/07/2012 à 14h20

pour rester dans les onlay... un gros :)

--
Dr Cingulum
-----Ancien interné----
----Attaché à l'apex----
http://www.clinic-all.fr/ formation par passion

 mg 1455 qd28fe - Eugenol
 mg 1458 qusuy7 - Eugenol

Humator t9r5wy - Eugenol
humator

03/07/2012 à 14h27

whaou!, t'es un garçon optimiste mon cher cingulum!

--
N.Hum


003 penrd2 - Eugenol
Cingulum

03/07/2012 à 14h29

un cas de ce matin.
-avec, IDS (immediate dentin sealing) très pratique pour avoir une étanchéité le jour de la préparation, aurais pu/du se faire sous digue....
- Collage avec composite de stratification chauffé et vibré, très facile pour gérer les excès ...
- Permettra de comparer le vieillissement de l'onlay versus composite direct ...

--
Dr Cingulum
-----Ancien interné----
----Attaché à l'apex----
http://www.clinic-all.fr/ formation par passion

 mg 1501 p6r0xr - Eugenol
 mg 1503 luodqk - Eugenol
 mg 1505 aacd3g - Eugenol
 mg 1613 pdsows - Eugenol
 mg 1620 b5k2nd - Eugenol
 mg 1621 syu1da - Eugenol
 mg 1625 ptitz6 - Eugenol
 mg 1499 prnnq0 - Eugenol
 mg 1615 kqgsdd - Eugenol
 mg 1617 eqxvxx - Eugenol

003 penrd2 - Eugenol
Cingulum

03/07/2012 à 14h31

J'ai la foi, mon cher Humator... ;)
sur une dent comme la précédente, la couronne aussi serait de pronostic incertain... dent toujours vivante, déjà pas de problème endo ;)

--
Dr Cingulum
-----Ancien interné----
----Attaché à l'apex----
http://www.clinic-all.fr/ formation par passion


Homer simpson wallpaper brain 1024 f4t8dv - Eugenol
Jpeg

03/07/2012 à 15h15

Salut Olivier,

Si je suis bien les photos, tu as fait le composite sur la 7 le jour du collage de l'inlay sur la 6 ?


Img 3657 cwjvqm - Eugenol
alapex

03/07/2012 à 15h18

C'est plus simple que ça : il a fait un truc pour nous rendre jaloux !


003 penrd2 - Eugenol
Cingulum

03/07/2012 à 15h34

Oui le compo à été fait le jour du collage, en fait l'amalgame me semblait bien mais aprés dépose de celui sur la 6, j'avais un doute sur une infiltration mésial, j'ai donc déposé le plombage sur 7 le jour de la pose de l'onlay
J'ai monté mon compo en me servant de l'onlay pour modeler la face mésial du composite, puis j'ai collé l'onlay dans un second temps...

--
Dr Cingulum
-----Ancien interné----
----Attaché à l'apex----
http://www.clinic-all.fr/ formation par passion


Homer simpson wallpaper brain 1024 f4t8dv - Eugenol
Jpeg

03/07/2012 à 17h21

Je te remercie, je me demandais pourquoi ne pas l'avoir fait le jour de l'empreinte. J'ai ma réponse !
J'en profite pour te féliciter pour tous ces cas tous plus beaux les uns que les autres que tu nous fais partager.
En passant, ton prothésiste ferait éventuellement un ramassage jusque dans le Nord-Pas-de-Calais ?


lanwalei

03/07/2012 à 22h09

Un petit cas avec remontée de marche,collé au secure!

Photo 029 q8z2yy - Eugenol
Photo 002 mt2cod - Eugenol
Photo 004 m2hdls - Eugenol
Photo 027 xgole3 - Eugenol
Photo 034 ptugng - Eugenol
Photo 016 tzq5u6 - Eugenol

Margin

14/07/2012 à 15h54

Voila pour ma contribution aux inlays.

Dsc 0261 dk3gnd - Eugenol
Dsc 0262 jybqpa - Eugenol
Dsc 0271 wbcyyo - Eugenol

Sarté

17/07/2012 à 21h04

Ma petite contribution.

"Couronne" Vprep sur?

2012 07 17 12.45 - Eugenol

387658 285645131467567 178493338849414 912435 1067789649 n e7hcpr - Eugenol
Djuls

01/11/2012 à 19h43

Bonjour,
quelques questions concernant les onlays:
- comment faites vous pour essayer la pièce avant de mettre la digue ? Avec mon cas sur 36, sans assistante, rétention primaire très faible, j'ai galéré pour régler quoique ce soit...
- avec quoi vous collez ? J'ai utilisé ici du multilink; j'en ai peut être mis trop, et peut etre pas assez appuyé sur la pièce au moment du collage, j'ai eu l'impression que ça m'a créé une surocclusion.
- dans les cas avec des limites juta-gingivales comme ici, comment faites vous pour bien isoler ?

Merci pour vos conseils.
J.

Img 1536 up9qfr - Eugenol
Img 1537 xrotml - Eugenol
Img 1544 heslh4 - Eugenol
Img 1547 gysvby - Eugenol

Img 3657 cwjvqm - Eugenol
alapex

01/11/2012 à 20h11

Salut Djuls ,


"- comment faites vous pour essayer la pièce avant de mettre la digue ? Avec mon cas sur 36, sans assistante, rétention primaire très faible, j'ai galéré pour régler quoique ce soit..."



Tu le mets et tu demandes à ton patient de serrer doucement et sans forcer , si tu penses que la rétention primaire est juste tu mets une tête d'épingle de ciment provisoire .


- avec quoi vous collez ? J'ai utilisé ici du multilink; j'en ai peut être mis trop, et peut etre pas assez appuyé sur la pièce au moment du collage, j'ai eu l'impression que ça m'a créé une surocclusion.


J'utilise aussi Variolink II , même si tu en mets trop , tu as le temps de mettre ta pièce en place , de pousser plusieurs fois en enlevant les excès pour contrôler rapidement l'épaisseur du joint et savoir si tu es en place .


- dans les cas avec des limites juta-gingivales comme ici, comment faites vous pour bien isoler ?

Tu mets le clamp sur la 7 , tu englobes la 6 et la 5 , en maintenant la digue à distance avec fil dentaire ou tu déchires un peu en vestibulaire et tu mets une digue liquide .


Smaze

01/11/2012 à 20h35

Beau boulot les gars ! Ca fait plaisir à voir.

Combien les facturez vous ces onlays ? et combien vous demande le prothésiste en moyenne ?


Images jm2g2g - Eugenol
dr_0le

01/11/2012 à 21h14

Smaze écrivait:
---------------
> Beau boulot les gars ! Ca fait plaisir à voir.
>
> Combien les facturez vous ces onlays ? et combien vous demande le prothésiste en
> moyenne ?

facturé 300 hn pour moi et 75€ de prothé.. je ne fait presque que des onlay résine..


Smaze

01/11/2012 à 21h34

il y a une prise en charge par la sécu ? ou rien du tout ?


1...456