Cookie Consent byPrivacyPolicies.comCerec sur Implant,gencive virtuelle et considérations - Eugenol

Cerec sur Implant,gencive virtuelle et considérations économiques !!!

Bazaruto 2007 ircsez - Eugenol
jumpingjackflash

17/03/2012 à 14h40

Marc Apap écrivait:
-------------------
> jumpingjackflash écrivait:
> --------------------------
> > toujours pas de photo.....
>
>. Mon texte n'a pas pour but de dire que je suis meilleur que
> toi. Ce que je fais ou ce que fait mon prothésiste n'est pas important. Je parle
> à un niveau général.


je ne suis pas obtus j'essaie de comprendre ton avis péremptoire sur la prothèse de masse.
Tout le monde peut publier un beau cas le problème de notre métier c'est d'être régulier et cohérent. Et c'est pour cela que je prend des photos pour ma traçabilité personnel.
Ton avis me rappel l'inspecteur Harry" les avis c'est comme les trou du cul tout le monde en a un"
personnellement je ne méprise pas le travail d'un confrère si ne peux pas présenter mieux et si je peux je lui montre comment faire

quand a la comparaison avec la BMW je la trouve très pertinente au contraire on n'achète une série M si on ne sait pas conduire ni un cerec si on ne sait pas s'en servir et je ne donne pas mon avis sur la 645 si le dernier modèle que j'ai conduit est une 2002 coupé

mais j'attends toujours les photos

21/22 cerec photo dans la scéance
11/2 ceramique sur zircone faire par un MOF parisien
je pense que la patiente va me demander de les refaire rapidement

 mg 6728 gfc5hz - Eugenol
 mg 6739 jisiv8 - Eugenol

Image ag8nh7 - Eugenol
vali

17/03/2012 à 14h54

Tu sais avec 8 à 9 Patiens par jour on a plein de temps à leur consacrer.
Un détartrage aéro polissage chez nous c'est entre 150 et 200€.
Pas trop de compo mais des inlays onlay.
Reprise de traitement quasi tout le temps pour les nouveau patients.
Nous prenons le café avec nos patients parfois nous déjeunons même avec.
Nous ne soignons pas les enfants. Un patient reste minimum une heure on l'ecoute et on propose un traitement le mieux adapté.
Lorsque je fais des antérieurs le patient reste avec pour discuter de ce qu'il désir on fais plusieurs essayages avant qu'il valide et que la pose soit faite.
Tu vois on les bichonnes.



Marc Apap écrivait:
-------------------
> vali écrivait:
> --------------
> > Non tu ne peux pas tirer dHe jugement aussi hâtif.
> > Malheureusement j'ai l'impression que c'est quelque chose de très répandu dans
> > la profession.
>
> >
> > Marc Apap écrivait:
> > -------------------
> > > vali écrivait:
> > > --------------
> > > > Mes patron font chacun entre 45000 et 60000 € par mois on est loin des
> 4000€
> > > ;-P
> > > >
> > > >
> > > On voit le genre : usine à dents.
>
> Ils font combien de détartrages, d'obturations une face, de sealant, de reprises
> de traitements canalaires, de traitement radiculaires sur molaires tes patrons ?
> Ils passent combien de temps à écouter les doléances de leurs patients, à
> discuter de leur vie et de leur famille, à avoir un contact humain avec eux ?
> La dentisterie, pour moi, c'est soigner des gens, pas leur vendre des
> traitements. Je n'imagine pas comment on peut atteindre de tels chiffres sans
> avoir transformé son exercice en commerce de fausses dents plutôt qu'en service
> médical.


Marque a3 orange fyvhyq - Eugenol
Marc Apap

17/03/2012 à 15h06

vali écrivait:
--------------
> Tu sais avec 8 à 9 Patiens par jour on a plein de temps à leur consacrer.
> Un détartrage aéro polissage chez nous c'est entre 150 et 200€.
> Pas trop de compo mais des inlays onlay.
> Reprise de traitement quasi tout le temps pour les nouveau patients.
> Nous prenons le café avec nos patients parfois nous déjeunons même avec.
> Nous ne soignons pas les enfants. Un patient reste minimum une heure on l'ecoute
> et on propose un traitement le mieux adapté.
> Lorsque je fais des antérieurs le patient reste avec pour discuter de ce qu'il
> désir on fais plusieurs essayages avant qu'il valide et que la pose soit faite.
> Tu vois on les bichonnes.

Usine à dents de luxe pour clientèle friquée : ce n'est pas représentatif de la profession.


Marque a3 orange fyvhyq - Eugenol
Marc Apap

17/03/2012 à 15h09

jumpingjackflash écrivait:.....
--------------------------
Tu ne méprises pas mais tu te prends pour un cador et tu insultes les autres.
Je pense que mon discours n'est pas ta portée, laisse béton.


S2y2o1v7q53ws4r5wy6ou8czrpom - Eugenol
pxav

17/03/2012 à 15h14

Marc Apap écrivait:
-------------------
Je n'imagine pas comment on peut atteindre de tels chiffres sans avoir transformé son exercice en commerce de fausses dents plutôt qu'en service médical.

et pan! Il fallait que ce soit dis, les plus grosses (recettes) ne sont pas les meilleures!


Regarde les images des traitements prothétiques de Cingulum et les tiennes, si tu veux faire des comparaisons.

Et bien c'est pas un bon exemple: Cingulum il à de très bons résultats, et de plus il ne rechigne jamais à reconnaitre que certaines fois (très rares) il fait de petites erreurs ...:-))

Ceci étant je redis bien que je n'ai rien contre les systèmes cfao et autres, pour le moment c'est encore du milieu de gamme, pour la ceram au moins.

--
xbk
"Si tous ceux qui croient avoir raison n'avaient pas tort, la vérité ne serait pas loin" Dac Pierre


Marque a3 orange fyvhyq - Eugenol
Marc Apap

17/03/2012 à 15h31

J'ai pas tout compris ton argumentaire, mais je suis d'accord avec toi : CFAO = céram milieu de gamme.
Tiens pour reprendre les comparaisons : je viens de manger au Mac Do. Et bien je crois que le CEREC question résultats, c'est pareil que le Mac Do en cuisine : de la bonne qualité, de bon aloi, qui nourrit bien, goûteux, mais en dessous d'un bon restau traditionnel ou évidemment d'une adresse étoilée.
La différence, c'est qu'au Mc Do, le prix est encore raisonnable et nettement inférieur à celui d'une bonne table, mais pour le CEREC c'est différent. C'est un appareil vraiment Hi Tech et les acheteurs pensent qu'il fait de la prothèse de haut de gamme quand ce n'est que du milieu de gamme (allez, je ne dis pas bas de gamme, pour éviter de trop enfonce le clou).


Image ag8nh7 - Eugenol
vali

17/03/2012 à 15h50

Tu n'enfonce rien tu as ta vision des choses j'ai la mienne.
Je ne cherche pas à te convaincre je te demande juste de ne pas juger.
Peut importe les arguments qui te sont présenté la seule chose qui compte est que tu ais raison question d'ego je pense moi je n'en ai pas, de l'ego je pense que l'on peut très bien faire sans le cerec et avec le cerec.
Il n'y a pas pour moi de bas de gamme ou de millieu ou de haut de gamme, il y a des praticiens consciencieux et d'autre qui s'en foutent ou ne veulent pas se remettre en question.

Tes patiens sont contents les nôtres aussi.
Ne soit pas ce que tu reproche plus haut cet à dire méprisant.




Marc Apap écrivait:
-------------------
> J'ai pas tout compris ton argumentaire, mais je suis d'accord avec toi : CFAO =
> céram milieu de gamme.
> Tiens pour reprendre les comparaisons : je viens de manger au Mac Do. Et bien je
> crois que le CEREC question résultats, c'est pareil que le Mac Do en cuisine :
> de la bonne qualité, de bon aloi, qui nourrit bien, goûteux, mais en dessous
> d'un bon restau traditionnel ou évidemment d'une adresse étoilée.
> La différence, c'est qu'au Mc Do, le prix est encore raisonnable et nettement
> inférieur à celui d'une bonne table, mais pour le CEREC c'est différent. C'est
> un appareil vraiment Hi Tech et les acheteurs pensent qu'il fait de la prothèse
> de haut de gamme quand ce n'est que du milieu de gamme (allez, je ne dis pas bas
> de gamme, pour éviter de trop enfonce le clou).


Marque a3 orange fyvhyq - Eugenol
Marc Apap

17/03/2012 à 16h08

Le message s'adressait à jumping..
Ce que je fais moi-même n'offre aucun intérêt. Ce que j'écris exprime un point du vue sur le CEREC en général. Ce n'est pas ciblé sur telle ou telle personne.
Il ne s'agit pas de parler du ressenti des uns et des autres, qui est totalement subjectif.
C'est l'objectif qui m'intéresse et de ce point de vue, il me semble difficile d'estimer que toutes choses égales par ailleurs, le CEREC donne des résultats de la même qualité esthétique que les plus belles réalisations faites à la main. Et cela tout simplement parce que le procédé ne le permet pas, puisque l'on part d'un bloc de matière qu'il faut ensuite maquiller et non pas d'une stratification à partir de poudres de teintes différentes.
Ensuite, je discute du positionnement marketing de cet équipement. Comme tout système hi tech, il vise une clientèle avec un profil pro-actif, dans le vent, etc.. Or, je trouve qu'il y a un décalage entre le positionnement marketing et la réalité vrai qui est qu'effectivement, le produit est de haute technologie, mais le résultat qu'il fournit n'est pas du même niveau.
Cela n'est sûrement qu'une affaire de temps. Dans quelques années, il y aura sans doute adéquation entre les deux (le niveau des moyens et celui des résultats) avec, on peut l'espérer, un prix en baisse. Mais pour l'instant, pour que le produit se vende, Sirona le fait surtout passer pour un produit de luxe qui fabrique des objets de luxe alors que ce ne sont que des imitations.


Image ag8nh7 - Eugenol
vali

17/03/2012 à 16h38



Enfin je retrouve ton ouverture d'esprit et ton coté diplomate qui m'a tant plus.
c'est lorsque tu décide de prendre de la hauteur que tu es le meilleur.
Pour ma part,je l'ai dis plus haut certain prothésiste son des artistes pas tous et moi je ne fais que modélisé. bien souvent je retouche mes prothèses à la pièce à main, j'amelior l'état de surface, je crée les dépressions, je retouche les cuspides et sillons,je crée les tulipes sur les bords libres des patients les plus jeunes et je personnalise chaque maquillage.
J'essaye de toujours mieux faire et étant céramiste d'art je sais à quel point la main de l'homme est indispensable.
Je ne considère pas mes prothèses comme un objet de luxe.
C'est un bon travail sûrement pas le meilleur qui soit mais j'essaye de pallier à certain manque esthétique que peu avoir le cerec.





Marc Apap écrivait:
-------------------
> Le message s'adressait à jumping..
> Ce que je fais moi-même n'offre aucun intérêt. Ce que j'écris exprime un point
> du vue sur le CEREC en général. Ce n'est pas ciblé sur telle ou telle personne.
> Il ne s'agit pas de parler du ressenti des uns et des autres, qui est totalement
> subjectif.
> C'est l'objectif qui m'intéresse et de ce point de vue, il me semble difficile
> d'estimer que toutes choses égales par ailleurs, le CEREC donne des résultats de
> la même qualité esthétique que les plus belles réalisations faites à la main. Et
> cela tout simplement parce que le procédé ne le permet pas, puisque l'on part
> d'un bloc de matière qu'il faut ensuite maquiller et non pas d'une
> stratification à partir de poudres de teintes différentes.
> Ensuite, je discute du positionnement marketing de cet équipement. Comme tout
> système hi tech, il vise une clientèle avec un profil pro-actif, dans le vent,
> etc.. Or, je trouve qu'il y a un décalage entre le positionnement marketing et
> la réalité vrai qui est qu'effectivement, le produit est de haute technologie,
> mais le résultat qu'il fournit n'est pas du même niveau.
> Cela n'est sûrement qu'une affaire de temps. Dans quelques années, il y aura
> sans doute adéquation entre les deux (le niveau des moyens et celui des
> résultats) avec, on peut l'espérer, un prix en baisse. Mais pour l'instant, pour
> que le produit se vende, Sirona le fait surtout passer pour un produit de luxe
> qui fabrique des objets de luxe alors que ce ne sont que des imitations.


Image ag8nh7 - Eugenol
vali

17/03/2012 à 16h41

Je précise que céramiste d'art c'est pour la poterie pas pour le cerec.
;-D


danxe

17/03/2012 à 17h25


> Marc Apap écrivait:
> -------------------
...........
> > Ensuite, je discute du positionnement marketing de cet équipement. Comme tout
> > système hi tech, il vise une clientèle avec un profil pro-actif, dans le vent,
> > etc.. Or, je trouve qu'il y a un décalage entre le positionnement marketing et
> > la réalité vrai qui est qu'effectivement, le produit est de haute technologie,
> > mais le résultat qu'il fournit n'est pas du même niveau.
> > Cela n'est sûrement qu'une affaire de temps. Dans quelques années, il y aura
> > sans doute adéquation entre les deux (le niveau des moyens et celui des
> > résultats) avec, on peut l'espérer, un prix en baisse. Mais pour l'instant,
> pour
> > que le produit se vende, Sirona le fait surtout passer pour un produit de luxe
> > qui fabrique des objets de luxe alors que ce ne sont que des imitations.


Pour ma part je pose du cerec dans une ville de 7000 hab constituée à majorité de retraités.... on est loin de la clientèle Pro-active à la recherche d'un dentiste tendance GEEK.
Ici les patients sont encore élévés à la coiffe Métal plus abordable pour leur portefeuille, et c'est avec bonheur qu'ils découvrent qu'on peut leur placer une coiffe céramique pour un prix légèrement supérieur mais tolérable.
Je suis tout à fais d'accord pour dire que la qualité du cerec n’égale pas celle des meilleurs ceramiques.Mais elle a le mérite de démocratiser un tant soit peu la prothèse fixe. Et c'est dans cette optique là qu'elle doit être utilisé quoi qu'en dise sirona .
Pour ma part je procède ainsi:

patient exigeant, bonne hygiène===== là mon prothésiste peu se faire plaisir vive la Stratification,la zircone etc

Patient Peu exigeant, hygiène moyenne à mauvaise, peu réceptif ======> là c'est Cérec, moins chere, moins beau, mais passe-partout.

"rien ne sert de mettre le plus beau diamant dans un écrin digne d'une poubelle"
je ne mets pas en compétition les méthodes de conception je les adaptes aux profils rencontrer....

Et vive la Dentisterie de masse..... parce que qui la fera sinon? ( peu etre les denturologues et autres malins....)


Marque a3 orange fyvhyq - Eugenol
Marc Apap

17/03/2012 à 17h59

Je pense que c'est tout à fait comme ça qu'il faut le prendre.


doagui

17/03/2012 à 19h37

vali écrivait:
--------------
> Tu sais avec 8 à 9 Patiens par jour on a plein de temps à leur consacrer.
> Un détartrage aéro polissage chez nous c'est entre 150 et 200€.
> Pas trop de compo mais des inlays onlay.
> Reprise de traitement quasi tout le temps pour les nouveau patients.
> Nous prenons le café avec nos patients parfois nous déjeunons même avec.
> Nous ne soignons pas les enfants. Un patient reste minimum une heure on l'ecoute
> et on propose un traitement le mieux adapté.
> Lorsque je fais des antérieurs le patient reste avec pour discuter de ce qu'il
> désir on fais plusieurs essayages avant qu'il valide et que la pose soit faite.
> Tu vois on les bichonnes.
>

A moins d'être non conventionné, le détartrage polissage et tout ce que tu veux c'est 28.92€ et pas un copec de plus, le polissage faisant partie de l'acte et n'étant donc pas facturable en HN. J'imagine que tu le sais...

Quant au faut de ne pas prendre d'enfant, qu'on soit conventionné ou pas, à mes yeux c'est simplement admettre qu'on en a rien à battre de la santé des gens et qu'on ne s'intéresse qu'à leur porte feuille. Que le travail fait soit joli, que tu papote avec les patients, que tu manges avec eux ou que tu les invites en vacances à Oléron au camping ensuite importe peu, cette sélection à la base conditionne tout le reste et classe le praticien dans la catégorie qu'il se choisit tout seul : celle du mec qui pense à son bénéfice avant tout. Etre lèche cul avec les gens qui ont de l'argent ne transforme pas un service hypocrite en un acte plus noble.


Smile beach jgh0a1 - Eugenol
Céramik

17/03/2012 à 19h40

Marc Apap écrivait:
-------------------
>> Le CEREC est un matériel haut de gamme qui fournit des prestations bas de gamme.
> Pas bas de gamme en terme d'ajustage ou de précision, mais d'esthétique et
> apparemment de finesse de morphologie. C'est normal, puisque par essence, on
> travaille sur des blocs préfabriqués et des fraises d'usinage.


C'est opérateur dépendant diront certains...
Faut juste y mettre un peu de travail.
Ci-joint photos de cerec du Dr James Klim, qui donne des formations Cerec.C'est à la porter de qui veux bien prendre quelques minutes de plus. J'ai assisté à journée de formation avec lui en 2010.

Faut pas dire que le Cerec c'est moche.
À côté des amalgames, des compo de m... des CCM horribles que je vois tout les jours...

--
Céramik

Cerec 13 23 kykgh1 - Eugenol
Cerec 15 16 npalu2 - Eugenol
Cerec onlays lstqgd - Eugenol

Bazaruto 2007 ircsez - Eugenol
jumpingjackflash

17/03/2012 à 19h48

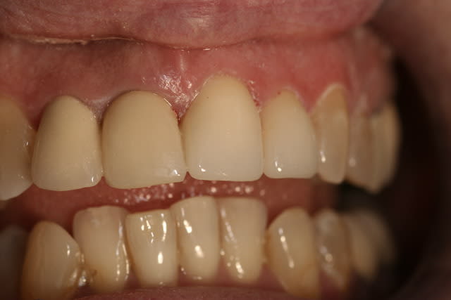
la conversation avait commencé sur un cas de cerec sur implant avec un point de contact distal trop fort et une gencive à la cicatrisation incomplète j'ai cru que c'était un forum technique, je m'aperçoit que c'est plutôt socio-culturel désolé les gas je me suis trompé de porte
bonne continuation


Little shop of horrors brzqjx - Eugenol
chatondecarte

17/03/2012 à 19h57

doagui écrivait:
----------------

> A moins d'être non conventionné, le détartrage polissage et tout ce que tu veux
> c'est 28.92€ et pas un copec de plus, le polissage faisant partie de l'acte et
> n'étant donc pas facturable en HN. J'imagine que tu le sais...


Pourquoi elle aurait besoin de savoir ça? Elle est assistante.
Et au lieu de faire la morale on devrait féliciter ces confrères d'oser faire des détartrages de qualité pour le prix que ça coûte.


danxe

17/03/2012 à 20h12

chatondecarte écrivait:
-----------------------
> doagui écrivait:
> ----------------
>
> > A moins d'être non conventionné, le détartrage polissage et tout ce que tu
> veux
> > c'est 28.92€ et pas un copec de plus, le polissage faisant partie de l'acte et
> > n'étant donc pas facturable en HN. J'imagine que tu le sais...
>
>
> Pourquoi elle aurait besoin de savoir ça? Elle est assistante.
> Et au lieu de faire la morale on devrait féliciter ces confrères d'oser faire
> des détartrages de qualité pour le prix que ça coûte.


+1
dans certaines bouches pour voir plus clair il faut au moins une demi heure(et c'est peu dire) rien que pour le secteur 33-43......tout ça pour 28,92€
Tant que le patient t'appelle Docteur ça passe mdr :))))


Img 4593 pnrtmh - Eugenol
teethsurfer

17/03/2012 à 20h38

Céramik écrivait:
-----------------
C'est opérateur dépendant diront certains...
Faut juste y mettre un peu de travail.
Ci-joint photos de cerec du Dr James Klim, qui donne des formations Cerec.C'est
à la porter de qui veux bien prendre quelques minutes de plus. J'ai assisté à
journée de formation avec lui en 2010.

Faut pas dire que le Cerec c'est moche.
À côté des amalgames, des compo de m... des CCM horribles que je vois tout les jours...

Je viens de suivre un stage de maquillage pour cérécistes il y a 3 jours et vu le nombre de stains et de shades proposés, cela ne ressemblait pas vraiment à un atelier de confettis, il y a largement la possibilité de réaliser des éléments bien finis et caractérisés comme ceux que tu a posté, cela ne dépend que de la volonté de chaque utilisateur.

Ces maquillages sont même très gratifiants et créatifs pour ceux qui s'en sentent la fibre, pourquoi d'ailleurs vouloir absolument rester le nez dans le guidon sans diversifier notre pratique, les Japonais l'ont bien compris depuis longtemps et réalisent volontiers eux-mêmes leurs propres prothèses dans leur cabinet-laboratoire afin de maîtriser le traitement de A à Z.

Avec les blocs Empress Multi et HT, il est possible d'obtenir des rendus naturels avec un mimétisme satisfaisant dont beaucoup se contentent mais il n'est pas interdit de les caractériser, encore faut-il que le patient soit intéressé, ceci est un autre problème...


Image ag8nh7 - Eugenol
vali

17/03/2012 à 21h30

Doagui je me sens un peu agresser mais je vais prendre le temps de te répondre et bien sûre pas sur le même ton que toi.
Évidemment que je sais qu'il n'y a pas de HN sur un détartrage mais l'aero-polissage c'est du HN.
Un détartrage chez nous c'est une heure et on fait un forfait hygiène avec révélateur de plaque détartrage et aéro les brossettes qui vont avec.
Quant aux aux enfants tu n'es pas sans savoir que la pédodontie est une spécialisation et que les dents des enfants non rien à voir avec celles des adultes donc nous au lieu de faire n'importe quoi dans la bouche de ces petits cœurs on les envois vers un correspondant qui les prend en main mieux que nous saurions le faire.

Voilà NA!!!!


Image ag8nh7 - Eugenol
vali

17/03/2012 à 21h39

Oupss!!! Doublon


Image ag8nh7 - Eugenol
vali

17/03/2012 à 21h43

Céramik je suis très très interressé par cette formation pourrais tu m'en dire d'avantage.


Image ag8nh7 - Eugenol
vali

17/03/2012 à 21h47

Teethsurfer est ce la formation Ivoclar. J'en ai suivi une le mois dernier elle était très bien car très technique.


doagui

17/03/2012 à 21h51

L'aéropolissage comme toute forme de polissage ne peut pas être en HN, c'est simplement illégal. Ca fait partie du détartrage, c'est un fait, c'est donc déjà inclus dans les 28.92, tous les argumentaires du monde n'y changeront rien malheureusement.

Quant aux enfants, oui je sais que leurs soins n'ont rien à voir, mais je sais aussi et surtout que ce type d'acte est tout aussi bien enseigné en fac que les soins sur adulte, à partir de là si un praticien choisit de ne pas en faire c'est un choix et rien d'autre (dicté par une question monétaire le plus souvent, en ajoutant à ça le fait bien des praticiens n'aiment pas gérer les humeurs des enfants, ce que je comprends mais à ce moment-là on en revient à ce que je disais, c'est qu'on oublie un peu la santé des gens pour se focaliser sur d'autres critères).


Ceci dit, je suis tout à fait conscient du tarif ridicule que représente le détartrage à 28.92€. Je dis simplement que si on fait le choix de pratiquer un autre tarif, c'est un choix de patientèle, un choix d'exercice, et attention je ne suis pas contre, il faut de tout, mais il faut alors avoir l'honnêteté de reconnaître que ce que l'on fait est simplement illégal. Qu'on fasse passer cela pour un acte contestataire soit, pourquoi pas même, mais qu'on ne vienne pas raconter qu'on facture un polissage comme si c'était autorisé et justifié, car ça ne l'est pas.


Excusez-moi pour la digression.


doagui

17/03/2012 à 22h00

chatondecarte écrivait:
-----------------------
> doagui écrivait:
> ----------------
>
> > A moins d'être non conventionné, le détartrage polissage et tout ce que tu
> veux
> > c'est 28.92€ et pas un copec de plus, le polissage faisant partie de l'acte et
> > n'étant donc pas facturable en HN. J'imagine que tu le sais...
>
>
> Pourquoi elle aurait besoin de savoir ça? Elle est assistante.
> Et au lieu de faire la morale on devrait féliciter ces confrères d'oser faire
> des détartrages de qualité pour le prix que ça coûte.

Je ne suis pas tout à fait d'accord, tout simplement parce que dans ma patientèle en tout cas il y a quand même une majorité de personnes qui n'ont pas besoin d'un détartrage dont la qualité justifierait un tel tarif. Partant de là, généraliser ce prix me semble tout aussi ridicule que la Sécu qui voudrait qu'on généralise des détartrages mal faits.


Image ag8nh7 - Eugenol
vali

17/03/2012 à 22h02

Je te donne ce lien.

http://www.chu-nantes.fr/servlet/com.univ.collaboratif.utils.LectureFichiergw?CODE_FICHIER=1324462610121&ID_FICHE=8371