Cookie Consent byPrivacyPolicies.comImplantation immédiate 26.Technique simplifiée - Eugenol

Implantation immédiate 26.Technique simplifiée

Imagesca1x6rbd kwb9r6 - Eugenol
Dr Nedjat

28/03/2012 à 21h22

Bonjour à tous et toutes! Je souhaitais présenter une technique utilisée ici en Allemagne et par la même occasion améliorer mon francais!

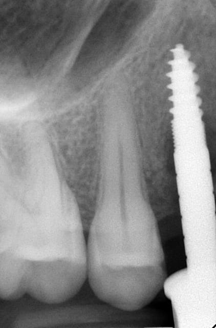
Un patient de 52 ans présente une fracture de racine au site 26.Après division de la racine, extraction de la dent,préparation de la cavité avec un foret conique triangulaire (3 faces,condensation de l´os), puis implantation à 50 Ncm (implant 10mm long, 4,5mm diamètre).Utilisation d´acide hyaluronique pour stimuler la synthèse des ostéoblastes.Pose d´un clip gingival pour préformer la gencive.Après 7 semaines, réalisation d´une empreinte fermée en 5 minutes.Une semaine après, fixation de la couronne définitive ( on observe déjà une ostéointégration).


Les photos ne sont pas dans l ordre exact ....

Vos commentaires sont les bienvenus!
Votre confrère Allemand! :-)


Imagesca1x6rbd kwb9r6 - Eugenol
Dr Nedjat

28/03/2012 à 21h24

désolé les photos ne ce sont pas chargées!


Imagesca1x6rbd kwb9r6 - Eugenol
Dr Nedjat

28/03/2012 à 22h02

Si quelqu´un peut m´aider, les photos ne se chargent pas...comment procedez vous?
Merci par avance!


Photo pluton1b h9n4ea - Eugenol
pluton

28/03/2012 à 22h17

simple: utiliser firefox....;-)


Imagesca1x6rbd kwb9r6 - Eugenol
Dr Nedjat

28/03/2012 à 22h37

Merci pluton pour le conseil! ca marche!

20120126 112307 r5t4xo - Eugenol
20120126 114914 pexzmh - Eugenol
20120126 115959 gcfsgm - Eugenol
20120126 120221 paghxs - Eugenol
20120126 121322 vzs0aj - Eugenol
20120126 121539 pda064 - Eugenol
20120126 122313 wl7dqh - Eugenol
20120126 123638 fueteh - Eugenol
20120327 151604 - Eugenol
20120327 151634 nxjlpx - Eugenol
20120327 151716 - Eugenol
20120327 151851 f4kpuy - Eugenol
20120327 152102 - Eugenol
20120327 152445 ctz2az - Eugenol
20120327 152704 jbsyq2 - Eugenol
20120327 152932 - Eugenol
20120327 154220 n1ksmx - Eugenol
20120327 154630 npfwln - Eugenol
Dsc00322 ofn4jb - Eugenol
Dsc00378 mx6lbz - Eugenol

Statue modif qbkm6l - Eugenol
Dr Patsch Hans

28/03/2012 à 22h50

ne crains-tu pas pour la pérennité avec un tel porte à faux dans les sens vestibulo-palatin et mésio-distal ?


G-P

28/03/2012 à 23h04

+1 pourquoi une position et surtout un axe aussi palatin ?


Imagesca1x6rbd kwb9r6 - Eugenol
Dr Nedjat

28/03/2012 à 23h08

bonsoir merci pour ta question, comme je l ai dit plus haut je suis Allemand (idiot ;-) ) je répondrai avec plaisir mais je na ai pas compris le mot perenité et porte À faux, peux tu reformuler la question ou m expliquer ces mots? ( c est interessant pour moi d apprendre en même temps!)
merci


Img 3657 cwjvqm - Eugenol
alapex

28/03/2012 à 23h12

"Utilisation d´acide hyaluronique pour stimuler la synthèse des ostéoblastes."


Ah ?


"Une semaine après, fixation de la couronne définitive ( on observe déjà une ostéointégration)."

Ah ?


Imagesca1x6rbd kwb9r6 - Eugenol
Dr Nedjat

28/03/2012 à 23h13

G-P écrivait:
-------------
> +1 pourquoi une position et surtout un axe aussi palatin ?


Bonsoir merci pour ta question, comme tu vois sur la radioDVT il n y avait pas assez de place pour mettre un 6,5mm seulement la racine palatinale était d une longueur de 10/12 mm. Mon premier challenge etait d avoir une premiere stabilité supérieure à 40 Ncm.Le laboratoire est donc important pour que le patient puisse nettoyer facilement la région implantaire.
Cependant tu as raison , si les conditions avaient été différentes ca aurait été préférable de le mettre plus du côté vestibulaire.


J espère que mon Francais est clair et que j ai répondu à ta question (?)


Imagesca1x6rbd kwb9r6 - Eugenol
Dr Nedjat

28/03/2012 à 23h16

la radioDVT que j ai oublié de poster

Dsc00383 001 ehl2ci - Eugenol

Imagesca1x6rbd kwb9r6 - Eugenol
Dr Nedjat

28/03/2012 à 23h19

Dr Patsch Hans écrivait:
------------------------
> ne crains-tu pas pour la pérennité avec un tel porte à faux dans les sens
> vestibulo-palatin et mésio-distal ?


J espere avoir répondu à la question dans le message précedent. Si ce n est pas le cas n hesite pas à me le signaler!


Statue modif qbkm6l - Eugenol
Dr Patsch Hans

28/03/2012 à 23h19

Dr Nedjat écrivait:
-------------------
> bonsoir merci pour ta question, comme je l ai dit plus haut je suis Allemand
> (idiot ;-) ) je répondrai avec plaisir mais je na ai pas compris le mot perenité
> et porte À faux, peux tu reformuler la question ou m expliquer ces mots? ( c est
> interessant pour moi d apprendre en même temps!)
> merci*

überhang und perennität


Statue modif qbkm6l - Eugenol
Dr Patsch Hans

28/03/2012 à 23h21

Danke schön


Imagesca1x6rbd kwb9r6 - Eugenol
Dr Nedjat

28/03/2012 à 23h25

alapex écrivait:
----------------
> "Utilisation d´acide hyaluronique pour stimuler la synthèse des ostéoblastes."
>
>
> Ah ?
>
>
> "Une semaine après, fixation de la couronne définitive ( on observe déjà une
> ostéointégration)."
>
> Ah ?

Bonsoir , j espère comprendre que tu n es pas sur de ce que je dis (?)
Pour l acide hyaluronique il existe des études americaines et allemandes par exemple celle de l université de Leipzig , Professeur Dr Holger Jentsch qui montre la stimulation des osteoblastes et fibroblastes.De façon personnelle je l utilise depuis 3 ans et ça fonctionne réellement.
L ossintegration est visible surtout en comparant avec la radio au moment de l implantation. Je cherche la photo pour la joindre.


Imagesca1x6rbd kwb9r6 - Eugenol
Dr Nedjat

28/03/2012 à 23h32

Dr Patsch Hans écrivait:
------------------------
> Danke schön
bitte


Imagesca1x6rbd kwb9r6 - Eugenol
Dr Nedjat

28/03/2012 à 23h34

un autre cas d implantation immédiate 12 semaines après extraction/implantation en une même seance

11 immidiat implantation yhfyd0 - Eugenol

Img 0128 2 2 sriwku - Eugenol
drlorente

29/03/2012 à 01h15

Pour laisser entrevoir la technique MIMI (Minimale Invasive Method Implantation) développée par le Dr Armin Nedjat voilà la séquence en photos et radios d'un cas d'extraction implantation immédiate technique simplifiée.

7327 5 ppu2ck - Eugenol
7327 11 s2rbqt - Eugenol
7327 12 mxhwag - Eugenol
7327 15 bkwz62 - Eugenol
7327 16 se0krw - Eugenol
7327 19 c2dgxr - Eugenol
7327 20 rl4wfs - Eugenol
7327 21 wcuxit - Eugenol

Smile beach jgh0a1 - Eugenol
Céramik

29/03/2012 à 01h59

pluton écrivait:
----------------
> simple: utiliser firefox....;-)

"Faux"
Jamais eu de soucis avec mon simple ordi sous Vista et Explorer....

--
Céramik


Photo pluton1b h9n4ea - Eugenol
pluton

29/03/2012 à 02h16

Céramik écrivait:
-----------------
> pluton écrivait:
> ----------------
> > simple: utiliser firefox....;-)
>
> "Faux"
> Jamais eu de soucis avec mon simple ordi sous Vista et Explorer....

çà dépend des versions d'IE...
la preuve, notre ami Allemand en changeant de navigateur, n'a plus eu de problème de publication de ses photos...;-)
tu as un ordi sous vista, donc assez récent, au cab j'avais un vieux pentium sous W2000 et là l'IE compatible ne me permettait pas de publier les photos, contrairement à firefox

tu peux aussi demander confirmation aux modos, mais le truc des problèmes de publi avec IE, c'est un grand classique...


S2y2o1v7q53ws4r5wy6ou8czrpom - Eugenol
pxav

29/03/2012 à 10h13


Quel dommage de ne pas profiter du septum, pour centrer ton implant, sinon merci de nous présenter des "cas", un peu différent de ce que nous faisons.
--
xbk
"Si tous ceux qui croient avoir raison n'avaient pas tort, la vérité ne serait pas loin" Dac Pierre


Rorschachwhite tx6rqr - Eugenol
Candide Candida

29/03/2012 à 10h40

pxav écrivait:
--------------
>
> Quel dommage de ne pas profiter du septum, pour centrer ton implant, sinon merci
> de nous présenter des "cas", un peu différent de ce que nous faisons.


Tout d'abord, merci de nous présenter un cas complet, comme l'a dit Pxav un peu différent des poses plus classiques que nous avons l'habitude de voir et de pratiquer.

Sinon, même remarque que Pxav : je trouve dommage d’utiliser l'axe ou même la position de la racine palatine comme direction implantaire, et pas le septum.

Il est facile en EII molaire de se positionner au centre du septum en aménageant un pré-forage à l'aide d'une tréphine de petit diamètre en emportant la carotte osseuse (profondeur 2-3 mm sous la pointe du septum osseux).

On peut ensuite facilement positionner les forets pilotes dans un axe AMA plus favorable que l'axe palatin choisit ici.

Je suis surpris du diamètre de l'implant : 4.5 mm, au vu des radios on imagine qu'il est bcp plus petit si l'on considère qu'un molaire sup a un diamètre +/- 10 mm, par rapport à ce diamètre quel est le diamètre de la bague de cicatrisation en teflon ?

Au final je trouve le profil d'émergence de l'implant bien étroit pour une molaire et donc un pilier prothétique bien petit, mais c'est peut-être personnel..

Ce qui m'intéresse plus dans ce cas c'est la gestion des tissus mous autour de la bague en post-op : si la chirurgie en mini-invasive, comment tracter les tissus mous en peri-implantaire, la bague me semblant bien étroite pour "remplir" le volume entre le (petit) diamètre de l'implant et le (grand) volume de l'extraction ?

Comblement en plus de l'ac Hyalur, membrane, et quelles sutures ?

CC.


Mario ycg44a - Eugenol
Mario180

29/03/2012 à 12h36

Ce sont des implants champions ?

je le pense :


Img 0128 2 2 sriwku - Eugenol
drlorente

29/03/2012 à 12h43

Candide Candida écrivait:
-------------------------
> pxav écrivait:
> --------------
> >
> > Quel dommage de ne pas profiter du septum, pour centrer ton implant, sinon
> merci
> > de nous présenter des "cas", un peu différent de ce que nous faisons.
>
>
> Tout d'abord, merci de nous présenter un cas complet, comme l'a dit Pxav un peu
> différent des poses plus classiques que nous avons l'habitude de voir et de
> pratiquer.
>
> Sinon, même remarque que Pxav : je trouve dommage d’utiliser l'axe ou même la
> position de la racine palatine comme direction implantaire, et pas le septum.
>
> Il est facile en EII molaire de se positionner au centre du septum en aménageant
> un pré-forage à l'aide d'une tréphine de petit diamètre en emportant la carotte
> osseuse (profondeur 2-3 mm sous la pointe du septum osseux).
>
> On peut ensuite facilement positionner les forets pilotes dans un axe AMA plus
> favorable que l'axe palatin choisit ici.
>
> Je suis surpris du diamètre de l'implant : 4.5 mm, au vu des radios on imagine
> qu'il est bcp plus petit si l'on considère qu'un molaire sup a un diamètre +/-
> 10 mm, par rapport à ce diamètre quel est le diamètre de la bague de
> cicatrisation en teflon ?
>
> Au final je trouve le profil d'émergence de l'implant bien étroit pour une
> molaire et donc un pilier prothétique bien petit, mais c'est peut-être
> personnel..
>
> Ce qui m'intéresse plus dans ce cas c'est la gestion des tissus mous autour de
> la bague en post-op : si la chirurgie en mini-invasive, comment tracter les
> tissus mous en peri-implantaire, la bague me semblant bien étroite pour
> "remplir" le volume entre le (petit) diamètre de l'implant et le (grand) volume
> de l'extraction ?
>
> Comblement en plus de l'ac Hyalur, membrane, et quelles sutures ?
>
> CC.

Bonjour je connais bien les techniques du Dr Nedjat pour les pratiquer depuis de nombreuses années. Il me demande de l'aider un peu vu la barriere de la langue pour la réponse aux questions.. On voit sur une radio que passer dans le septum impose de faire un "summers modifié", du type carote osseuse condensée à l'osteotome pour preparer un lit implantaire dans ce cas on peu placer un 8mm en base large et avoir un pilier dans l'axe. OK. Ca n'a pas été son choix car il developpe en Allemagne depuis 15 ans sa technique dite MIMI (voir mon post précédent) qui consiste a fraire une osteotomie avec des expanseurs suite à un forage minimal pour obtenir une stabilité primaire tres élevée la plupart du temps 60/70N..Cette technique est tres répandue en Allemagne, plus de 3000 confreres l'utilisent avec un systeme monobloc ou deux pieces..je vais poster dans les jours qui viennent sufisament d'infos pour que vous puissiez vous faire une idée, j'ai des dizaines de cas iconographiés de A à Z. Dans ce cas oui c'est un 4,5mm, l'implant est posé avec son "shuttle" partie intermédaire porte implant laissé intra muqueux et qui "encaisse" le couple de serrage important de la pose. Dessus est clipsé un "gingiva clips" qui est un conformateur gingival laissé pour la cicatrisation. L'empreinte se fait en laissant Shuttle et gingiva clips. Le shuttle est déposé pour la mise du pilier. Il y a toute une technique ..description à venir et cas cliniques aussi ..A suivre..


Mario ycg44a - Eugenol
Mario180

29/03/2012 à 12h59

Si y a un match Champion/ Leone, prévenez-moi je prends des chips et une bière ;)

Blague à part, je serais interessé d'avoir des radios de cas au long terme (5 ans ou plus)

Ne prend-t-on pas un risque à torquer si fort ?
(On a dit que le design des implants Tekka était trop compressif, mais on est loin de condenser autant sur toute la hauteur de l'implant...)

Ne trouvez-vous pas qu'il est plus risqué d'utiliser du titane grade 4 quand les implants sont si fins et angulés avec un porte à faux ?


12...