Cookie Consent byPrivacyPolicies.comImplantation immédiate 26.Technique simplifiée - Eugenol

Implantation immédiate 26.Technique simplifiée

Imagesca1x6rbd kwb9r6 - Eugenol
Dr Nedjat

30/03/2012 à 22h08

alapex écrivait:
----------------
> Je pense que le Docteur Nedjat sait parfaitement sceller des couronnes sur
> implants .
> De par sa grande expérience il est aguerri à l'implantologie .
> Diplômé en 1993 (doctorat de médecine dentaire) , il est membre d'une société
> d'implantologie depuis 1999 . Il implante depuis 1994 .
> D'après un rapide calcul : 2012-1994=18 ans .
> 52 semaines à raison de 5 jours de travail = 260 jours de travail par an , moins
> les vacances ( 6 semaines , 6 X 5 = 30) , il reste 260 - 30 = 230 j /an .
>
> 18 ans par 230 = 4140 jours de travail .
> Arrondissons à 4000 en déduisant 140 jours de formation .
>
>
>
> 20 000 implants posés en 4000 jours travaillés = 5 implants / jour . C'est une
> moyenne bien entendu .
>
> Je pense que nous pouvons faire confiance au Docteur Nedjat et le remercier
> d'avoir choisi Eugénol pour nous montrer ses cas .
>
>
>



ahahah :-) !!! c est la première fois qu on m a fait le calcul!!! je vois que tu as trouvé des informations ! (pour être honnête la vidéo est un peu nulle meme si elle vient de ma compagnie ). Oui j étais un peu fou, j ai implanté tout e temps le samedi,le dimanche etc mon professeur était très bon et m´a donné beaucoup d´enthousiasme dans ce métier ( peut être un peu trop!!! ;-) )
Pour l anecdote dans ces 20 000 implants , un peu plus maintenant mais ça sert plus à rien de compter, il y a un implant sur chameau à dubai hihihi couronne en or ( ils adorent leurs chameaux à dubai).
Le but ici c est juste de montrer que l implantologie peut être intégrée dans une pratique quotidienne et que c´est à la portée de tous et qu on est pas obligé de rester dans le schéma "il faut que faire comme ca" blablabla

En tout cas j adore ce forum, le concept et les français ( très bon en maths!!! ;-) )


Img 3657 cwjvqm - Eugenol
alapex

30/03/2012 à 22h25

Personnellement j'aime les contes de fée .


Img 0128 2 2 sriwku - Eugenol
drlorente

30/03/2012 à 22h29

Dr Nedjat écrivait:
-------------------
> alapex écrivait:
> ----------------
> > Je pense que le Docteur Nedjat sait parfaitement sceller des couronnes sur
> > implants .
> > De par sa grande expérience il est aguerri à l'implantologie .
> > Diplômé en 1993 (doctorat de médecine dentaire) , il est membre d'une société
> > d'implantologie depuis 1999 . Il implante depuis 1994 .
> > D'après un rapide calcul : 2012-1994=18 ans .
> > 52 semaines à raison de 5 jours de travail = 260 jours de travail par an ,
> moins
> > les vacances ( 6 semaines , 6 X 5 = 30) , il reste 260 - 30 = 230 j /an .
> >
> > 18 ans par 230 = 4140 jours de travail .
> > Arrondissons à 4000 en déduisant 140 jours de formation .
> >
> >
> >
> > 20 000 implants posés en 4000 jours travaillés = 5 implants / jour . C'est une
> > moyenne bien entendu .
> >
> > Je pense que nous pouvons faire confiance au Docteur Nedjat et le remercier
> > d'avoir choisi Eugénol pour nous montrer ses cas .
> >
> >
> >


>
> ahahah :-) !!! c est la première fois qu on m a fait le calcul!!! je vois que tu
> as trouvé des informations ! (pour être honnête la vidéo est un peu nulle meme
> si elle vient de ma compagnie ). Oui j étais un peu fou, j ai implanté tout e
> temps le samedi,le dimanche etc mon professeur était très bon et m´a donné
> beaucoup d´enthousiasme dans ce métier ( peut être un peu trop!!! ;-) )
> Pour l anecdote dans ces 20 000 implants , un peu plus maintenant mais ça sert
> plus à rien de compter, il y a un implant sur chameau à dubai hihihi couronne en
> or ( ils adorent leurs chameaux à dubai).
> Le but ici c est juste de montrer que l implantologie peut être intégrée dans
> une pratique quotidienne et que c´est à la portée de tous et qu on est pas
> obligé de rester dans le schéma "il faut que faire comme ca" blablabla
>
> En tout cas j adore ce forum, le concept et les français ( très bon en maths!!!
> ;-) )


Oui et pendant que mon ami soignait les chameaux des émirs en VIP moi je me contantais des pauvres touaregs..mais pas d'inquietudes ces expériences exotiques ne sont pas obligatoires pour acquérir la technique MIMI et la pose des implants C.......

Cimg2466 brgepp - Eugenol
Cimg2611 wt2mxa - Eugenol
Cimg2471 qzd1hv - Eugenol
Cimg2594 ekh1tc - Eugenol

Imagesca1x6rbd kwb9r6 - Eugenol
Dr Nedjat

30/03/2012 à 22h38

alapex écrivait:
----------------
> Personnellement j'aime les contes de fée .

Tu as raison ça peut être difficile à concevoir si on utilise des méthodes conventionnelles apprises sur les bancs de l université..et qu on est un peu programmé... j ai eu des années à 2000 implants , d autres un peu moins.... :-) la technique est juste sure, rapide, et facile. On peux mieux le concevoir si on voit une chirurgie en direct .... ( si tu passes en Allemagne ... ;-) )


Imagesca1x6rbd kwb9r6 - Eugenol
Dr Nedjat

30/03/2012 à 22h40

drlorente écrivait:
-------------------

> Oui et pendant que mon ami soignait les chameaux des émirs en VIP moi je me
> contantais des pauvres touaregs..mais pas d'inquietudes ces expériences
> exotiques ne sont pas obligatoires pour acquérir la technique MIMI et la pose
> des implants C.......


ah! super les photos! bravo, oui on peut implanter partout! :-)


Img 3657 cwjvqm - Eugenol
alapex

30/03/2012 à 22h41

La couleur de la camionnette est super .


Img 0128 2 2 sriwku - Eugenol
drlorente

30/03/2012 à 22h56

Dr Nedjat écrivait:
-------------------
> alapex écrivait:
> ----------------
> > Personnellement j'aime les contes de fée .
>
> Tu as raison ça peut être difficile à concevoir si on utilise des méthodes
> conventionnelles apprises sur les bancs de l université..et qu on est un peu
> programmé... j ai eu des années à 2000 implants , d autres un peu moins.... :-)
> la technique est juste sure, rapide, et facile. On peux mieux le concevoir si on
> voit une chirurgie en direct .... ( si tu passes en Allemagne ... ;-) )

A défaut d'une chir en direct .. voilà une petite histoire en photos ou comment en 90 minutes passer d'un partiel résine à ...7 implants sur provisoires..stabilité primaire 60N grace à la technique MIMI ( oui.. post spécial ce Week end)..:)

7795 23 iczk89 - Eugenol
7795 28 tbklhi - Eugenol
7795 32 sjewjd - Eugenol
7795 35 g95q3n - Eugenol
7795 36 t6jurc - Eugenol
7795 40 hyjgg8 - Eugenol
7795 42 g4efzy - Eugenol
7795 44 olxjza - Eugenol
7795 27 evmkgd - Eugenol
7795 17 ydbo7p - Eugenol
7795 30 lzvp0w - Eugenol
7795 33 q3g8yz - Eugenol
7795 34 statth - Eugenol
7795 45 adymst - Eugenol
7795 18 coioxo - Eugenol
7795 19 jwtbnk - Eugenol
7795 20 vhkhti - Eugenol
7795 21 zxeqw3 - Eugenol
7795 46 hcqwdv - Eugenol

Mario ycg44a - Eugenol
Mario180

31/03/2012 à 00h50

Je me demande depuis combien de temps vous posez ces implants monoblocs ?

Avez-vous des études qui décrivent votre recul clinique en terme d'ostéointégration, et de de succès prothétique au long terme ?


Photo pluton1b h9n4ea - Eugenol
pluton

31/03/2012 à 00h57

Dr Nedjat écrivait:
-------------------
> Mario180 écrivait:
> ------------------
> > Et donc dans l'espace, il y a quoi ? Du ciment ?
> >
> > J'aimerais mieux voir ma prothèse toucher mes piliers, ce serait mécaniquement
> > plus réconfortant, non ?
>
> tu as raison ca serait idéal mais
> -il n y a pas d accumulation de plaque quand on n utilise du zircon
> -les "espaces" sont sugingivales
> -les prep caps sont des couronnes en zircon pré fabriquées et ce n est pas
> nécessaire d avoir les extrémites des couronnes jusqu à la base des prep caps ,
> meme si les couronnes sont dans une position termine-tangentiale
> -la base des prep caps dans ce cas là sont environ 4/5mm subgingival, donc après
> avoir cémenté les bridges on ne pourrait pas nettoyer le cement si la couronne
> allait jusqu´à la base des prep caps.
> -Enfin ici il s ´agit de plusieurs implantations immédiates durant lesquelles j
> utilise toujours les prep caps.

+1 avec mario...
petite remarque peut être stupide (ou peut être pas)
n'y aurait-il pas un intérêt a avoir plusieurs choix de hauteur des prep cap pour déplacer la limite prothétique en juxta /supra gingival histoire d'avoir une plateforme prothétique complète avec des limites bien définies, d'accès aisé pour retirer les excès de ciment de scellement?
et accessoirement de réaliser ensuite une prothèse sans surcontour et/ou défaut d'ajustage...?

enfin, c'est mon point de vue...


Imagesca1x6rbd kwb9r6 - Eugenol
Dr Nedjat

31/03/2012 à 01h13

Mario180 écrivait:
------------------
> Je me demande depuis combien de temps vous posez ces implants monoblocs ?
>
> Avez-vous des études qui décrivent votre recul clinique en terme
> d'ostéointégration, et de de succès prothétique au long terme ?

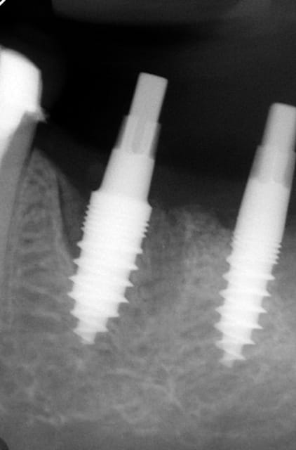
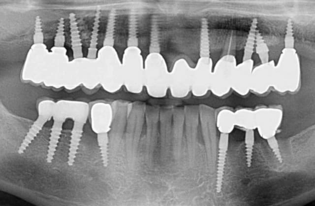
pour répondre à ta question : depuis 1994 , oui d ailleurs dans un des cas présentés tu as une radio après 10 ans :-)! (46 47 )

22  4 - Eugenol

Mario ycg44a - Eugenol
Mario180

31/03/2012 à 01h48

Je ne crois pas avoir vu de réponse sur le TA6V : pourquoi préférer du titane grade 4 alors que les implants sont si fins et angulés ?

Avez-vous une étude statistique à présenter qui démontre que ce système donne des résultats à au moins 5 ans (ou 10 ans, ça marche aussi ;) : taux de succès, perte d'implant, pertes osseuse crestales, pérénité de la prothèse, ...

Bref, on aimerait bien être séduit, mais pour celà, il faut prouver le succès, et présenter des cas ne peut pas suffire, même si les présentations sont intéressantes.

Vielen Dank


Img 0128 2 2 sriwku - Eugenol
drlorente

31/03/2012 à 02h22

pluton écrivait:
----------------
> Dr Nedjat écrivait:
> -------------------
> > Mario180 écrivait:
> > ------------------
> > > Et donc dans l'espace, il y a quoi ? Du ciment ?
> > >
> > > J'aimerais mieux voir ma prothèse toucher mes piliers, ce serait
> mécaniquement
> > > plus réconfortant, non ?
> >
> > tu as raison ca serait idéal mais
> > -il n y a pas d accumulation de plaque quand on n utilise du zircon
> > -les "espaces" sont sugingivales
> > -les prep caps sont des couronnes en zircon pré fabriquées et ce n est pas
> > nécessaire d avoir les extrémites des couronnes jusqu à la base des prep caps
> ,
> > meme si les couronnes sont dans une position termine-tangentiale
> > -la base des prep caps dans ce cas là sont environ 4/5mm subgingival, donc
> après
> > avoir cémenté les bridges on ne pourrait pas nettoyer le cement si la couronne
> > allait jusqu´à la base des prep caps.
> > -Enfin ici il s ´agit de plusieurs implantations immédiates durant lesquelles
> j
> > utilise toujours les prep caps.
>
> +1 avec mario...
> petite remarque peut être stupide (ou peut être pas)
> n'y aurait-il pas un intérêt a avoir plusieurs choix de hauteur des prep cap
> pour déplacer la limite prothétique en juxta /supra gingival histoire d'avoir
> une plateforme prothétique complète avec des limites bien définies, d'accès aisé
> pour retirer les excès de ciment de scellement?
> et accessoirement de réaliser ensuite une prothèse sans surcontour et/ou défaut
> d'ajustage...?
>
> enfin, c'est mon point de vue...


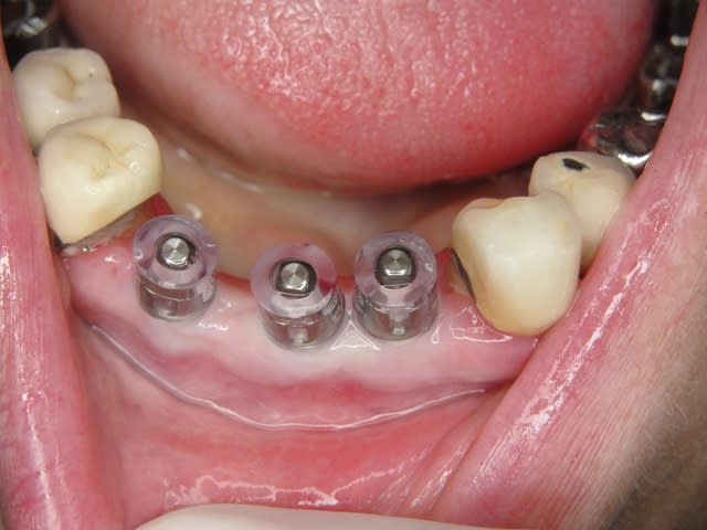
Il n'y a jamais de questions stupides. Merci à ceux qui s'interrogent ..donc les hauteurs de s'interrogent caps existent mais pour gérer l'enfoncement de l'implant et pour aussi proposer des différentes hauteur de pilier : autrement formulé en fonction de la position de la rainure de la gérer carrée on a deux millimètres de marge/niveau gingival selon le choix du prep cap. Cela permet de placer le prep cap lorsque l'implant a du être enfoncé plus profondément ou bien si la hauteur de gencive est plus importante que les deux millimètres classiques de l'espace biologique usuel. (description sur le site du fabricant...shop online entre autre.)

Exp dans ce cas 4,5/10mm en 36 dans un site d'extraction récent placé en 12mm soit deux millimètres plus profondément j'ai scellé un prep cap angulé 5 degrés niveau 1/0 dont la limite s'arrête à la rainure de la tête carrée, pour 37 3,5/10mm placé en 10mm j'ai utilisé un prep cap 2/2mm. On prend vite l'habitude moi j'utilise que 2 modèles en zircone et 3 en titane..

5755 36 pthnhw - Eugenol
C gr4hl4 - Eugenol
5755 28 rvxsbf - Eugenol
5755 30 q0bid5 - Eugenol
5755 38 ovrgx1 - Eugenol
Sans titre vekbnl - Eugenol

Imagesca1x6rbd kwb9r6 - Eugenol
Dr Nedjat

31/03/2012 à 02h28

Mario180 écrivait:
------------------
> Je ne crois pas avoir vu de réponse sur le TA6V : pourquoi préférer du titane
> grade 4 alors que les implants sont si fins et angulés ?
>
> Avez-vous une étude statistique à présenter qui démontre que ce système donne
> des résultats à au moins 5 ans (ou 10 ans, ça marche aussi ;) : taux de succès,
> perte d'implant, pertes osseuse crestales, pérénité de la prothèse, ...
>
> Bref, on aimerait bien être séduit, mais pour celà, il faut prouver le succès,
> et présenter des cas ne peut pas suffire, même si les présentations sont
> intéressantes.
>
> Vielen Dank

1) titane grade 4 (99 % titane), titane grade 5 (90% titane) il existe des études qui démontrent sérieusement des réactions immunologiques des patients ( étude suisse de zurich il me semble)
2) les implants ne sont pas fins , ils font 3,5 mm jusqu´à 5,5 mm de diamètre, les exceptions sont les tulipes qui commencent à 2,5 et les "New art" qui commencent à 3,0mm
3) les implants ne sont pas angulés, il s ´agit de l abutment ou des prep caps qui sont angulés
4)dans les statistiques en 5 ans, nous avons eu du succès dans 97% mais dans le maxillaire avec les tulipes le succès est de 94%, cela dépends aussi de la main du dentiste et ce n est pas une question du système....
J ai réalisé une statistique en 1999 qui est utilisé comme référence dans la DGZI et DGI (les 2 plus grandes associations d implantologues en Allemagne).Cette statistique a concernée 5000 implants
5) tu sais aussi comment les quelques grandes marques font leurs statistiques.....si tu perd un implant après 3 semaines post op pour eux ce n est pas comptabilisé comme un échec... il y a même quelques statistiques qui commencent un an après cémentation!!! ces statistiques là montrent un succes de 99,5 %.
6) Chez nous, on compte aussi les pertes pendant les premières 8 semaines post-op
7) si je présente quelque chose dans les conférences en Allemagne je ne présente seulement mes succès mais aussi les échecs (c est de cela que l on apprend le plus). J ai à coeur de ne pas faire croire n importe quoi aux gens et de ne pas me présenter comme le "grand savant" juste parce que j ai implanté plus de 20 000 fois....et c est aussi pourquoi je prends "le risque " de venir ici parler directement avec les praticiens ce qui n est pas forcement le cas des concepteurs d autres systèmes et qui préferent juste présenter leurs succès dans des conférences.

enfin le but pour tous ici c est le même satisfaire les patients et leur offrir un traitement efficace.
L´histoire a montré que le progrès et les innovations sont toujours venus de la pratique clinique, et pas de l université et j espère que ça va rester ainsi! :-)
le concept MIMI n est pas nouveau ca existe déjà depuis 30 ans.Mais il y a encore des "gens importants" qui pensent que l os se nécrose si il y a une condensation, et je peux te dire que la pratique montre que ce n est pas le cas!


Img 3657 cwjvqm - Eugenol
alapex

31/03/2012 à 09h03

"Exp dans ce cas 4,5/10mm en 36 dans un site d'extraction récent placé en 12mm soit deux millimètres plus profondément"


Formidable , tu as des scans à passer , merci ?


Img 3657 cwjvqm - Eugenol
alapex

31/03/2012 à 09h09

L'endo ça te branche ou bien ?
Je ne vois aucun intérêt à inclure une prémo dont le ttt rad laisse à désirer .

Ned1 h4k5lp - Eugenol

Img 3657 cwjvqm - Eugenol
alapex

31/03/2012 à 09h16

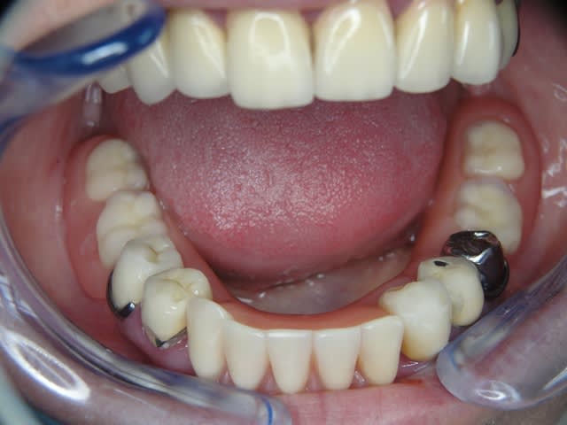
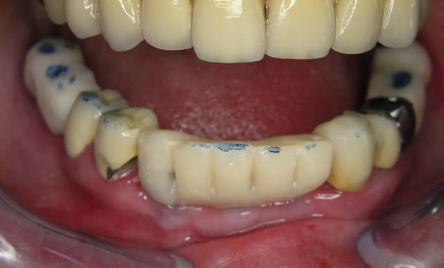
Si je comprends bien on ne peut poser tes implants si on a les dents en place au préalable ...En postérieur c'est léger , les dents étaient absentes lorsque tu as vu ce patient ?

Ned2 tfirxz - Eugenol

Img 3657 cwjvqm - Eugenol
alapex

31/03/2012 à 09h26

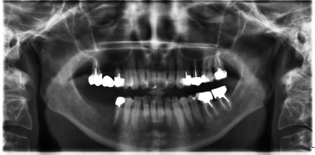
De l'intérêt de garder une dent en secteur 2 ?
Il y a des proximités pour le moins surprenantes .
Des absences d'implants dans certaines zones également .
J'en reviens au premièrement , tu ne mets des implants qu'après extraction , donc on t'enverra des patients avec les dents ...




PS/ Pour l'année où tu as posé 2000 implants , je te félicite . Cela représente si on considère 230 j de travail : 8,69 implants par jour .

Tu as des doigts de fée , et j'aime les fées , enfin les contes qui s'y rapportent ...

Ned3 r0bjii - Eugenol

Photo pluton1b h9n4ea - Eugenol
pluton

31/03/2012 à 09h49

Dr Nedjat écrivait:
-------------------

> 1) titane grade 4 (99 % titane), titane grade 5 (90% titane) il existe des
> études qui démontrent sérieusement des réactions immunologiques des patients (
> étude suisse de zurich il me semble)

tu veux parler de ce genre d'étude?
http://www.ncbi.nlm.nih.gov/pubmed/22448125

je ne vois pas trop où est le problème puisque tu utilises surtout des implants monoblocs et que ces nanoparticules sont relarguées par le jeu prothétique implant/pilier
c'est un débat intéressant, mais qui nécessiterait un sujet à lui tout seul...;-)...cela dit assez comparable a un sujet parlant du relargage de mercure dans les amalgames...

bref, je comprendrais mieux si tu nous disais plus simplement que c'est surtout pour des raisons de coût de production (TA6V beaucoup plus cher à la fois à l'achat et à l'usinage...)


Fresh watermelon 640x562 udulqz - Eugenol
gulguch

31/03/2012 à 11h39

"bref, je comprendrais mieux si tu nous disais plus simplement que c'est surtout pour des raisons de coût de production (TA6V beaucoup plus cher à la fois à l'achat et à l'usinage...)"

.. mollo, la biocompatibilité meilleure pour le gr4 que gr 5.
http://www.information-dentaire.fr/pdf/11194_idvol93n12p111-115.pdf


Photo pluton1b h9n4ea - Eugenol
pluton

31/03/2012 à 11h52

gulguch écrivait:
-----------------

> .. mollo, la biocompatibilité meilleure pour le gr4 que gr 5.
> http://www.information-dentaire.fr/pdf/11194_idvol93n12p111-115.pdf
>

peut être un "poil" meilleure...celà dit dans ton article, il est plutôt dit que la dureté du TA6V rend difficile la création de l'état de surface SLA...

quoi qu'il en soit je trouve étrange que la quasi totalité des derniers implants sorti sont en TA6V et non en grade 4 si c'était amha un problème fondamental de biocompatibilité...


Imagesca1x6rbd kwb9r6 - Eugenol
Dr Nedjat

31/03/2012 à 12h17

voici la liste des études pour le titane :-)


Imagesca1x6rbd kwb9r6 - Eugenol
Dr Nedjat

31/03/2012 à 12h27

alapex écrivait:
----------------
> De l'intérêt de garder une dent en secteur 2 ?
> Il y a des proximités pour le moins surprenantes .
> Des absences d'implants dans certaines zones également .
> J'en reviens au premièrement , tu ne mets des implants qu'après extraction ,
> donc on t'enverra des patients avec les dents ...
>
>
>
>
> PS/ Pour l'année où tu as posé 2000 implants , je te félicite . Cela représente
> si on considère 230 j de travail : 8,69 implants par jour .
>
> Tu as des doigts de fée , et j'aime les fées , enfin les contes qui s'y
> rapportent ...

bonne question :-)
garder une dent en "connexion" avec les implants car en laissant une dent naturelle , le patient peut garder une sensation et mieux contrôler ses forces masticatoires. Donc lorsque c est possible je préfère garder une dent.
je ne me mets pas des implants qu après extraction, ici c est le cas puisque c est une implantation immédiate,mais cette technique est aussi utilisée sur les sites édentés.
pour ce qui est des 20 000 implants , oui c est le cas et si tu n arrives pas à le concevoir je ne peux rien y faire ou alors aller en Allemagne et de faire une enquête! :-)


Img 0128 2 2 sriwku - Eugenol
drlorente

31/03/2012 à 12h36

alapex écrivait:
----------------
> "Exp dans ce cas 4,5/10mm en 36 dans un site d'extraction récent placé en 12mm
> soit deux millimètres plus profondément"
>
>
> Formidable , tu as des scans à passer , merci ?

Merci..
Tu l'as certainement compris le dr Nedjat est mon pote, j'ai plus de 10 ans d'implanto dans les doigts et depuis 3 ans j'utilise exclusivement son système..je viens sur le forum pour lui filer un petit coup de main. Mon expérience personnelle : Le choc fin debut des années 2000 en découvrant le pragmatisme, la sincérité, la fiabilité, la rigueur des praticiens Allemand épaulés par une industrie de pointe..Il y avait beaucoup à apprendre et ils montrent encore l'exemple..sans baratin..Soit dit en passant je pense que c'est une chance d'avoir un gars de la pointure du dr Nedjat sur un forum..inventeur..capitaine d'industrie..praticien hors pair..et en plus sympa. Donc posez les bonnes questions vous aurez des vrais réponses car il n'y a pas de culture du secret..la philosophie n'est pas "regarde ce que je fais comme ca vu que tu sauras jamais le faire ..et ..tu m'enverras tes patients"..Ca c'est souvent la France..Si il y a dans les photos ou radio du dr Nedjat des détails qui vous dérange il faut comprendre aussi qu'il y a une différence culturelle qui s'exprime aussi dans la gestion des plans de traitement..

Maintenant concernant la demande de scans : je poste ce cas, une patiente vient me voir avec son scan car elle a consulté d'autres "spécialistes" et on lui refuse la pose d'implant secteur 4 où alors avec greffe préalable..Ca se discute..pas de temps à perdre je sais faire autrement..
Avec la chir trans gingivale technique MIMI ( Oui..un post sur la technique bientôt ..) j'ai pu placer deux 3,5/8mm..aurai je eu le meme résultat avec un lambeau..j'en doute..Les couronnes sont en titane. Recul clinique 2 ans ras. Simple efficace rapide moins onéreux satisfaisant pour le praticien et la patiente..


Fresh watermelon 640x562 udulqz - Eugenol
gulguch

31/03/2012 à 12h36

pluton écrivait:
----------------
> gulguch écrivait:
> -----------------
>
> > .. mollo, la biocompatibilité meilleure pour le gr4 que gr 5.
> > http://www.information-dentaire.fr/pdf/11194_idvol93n12p111-115.pdf
> >
>
> peut être un "poil" meilleure...celà dit dans ton article, il est plutôt dit que
> la dureté du TA6V rend difficile la création de l'état de surface SLA...
>
> quoi qu'il en soit je trouve étrange que la quasi totalité des derniers implants
> sorti sont en TA6V et non en grade 4 si c'était amha un problème fondamental de
> biocompatibilité...

Le livre des coréens sur les mini implants ( je retrouverai plus tard) dit aussi que l'osteointegration est en sens inverse du grade.
Les implants en gr 2 tout mous et cata au niveau de la connectique intégraient mieux que les actuels, donc je suis enclin à penser que c'est vrai.
Maintenant le TA6V est ++ solide donc tout le monde l'utilise. La soluce est peut être le Roxolid mais pour le moment c'est une exclusivité Straumann.


Img 0128 2 2 sriwku - Eugenol
drlorente

31/03/2012 à 12h36

alapex écrivait:
----------------
> "Exp dans ce cas 4,5/10mm en 36 dans un site d'extraction récent placé en 12mm
> soit deux millimètres plus profondément"
>
>
> Formidable , tu as des scans à passer , merci ?

Merci..
Tu l'as certainement compris le dr Nedjat est mon pote, j'ai plus de 10 ans d'implanto dans les doigts et depuis 3 ans j'utilise exclusivement son système..je viens sur le forum pour lui filer un petit coup de main. Mon expérience personnelle : Le choc fin debut des années 2000 en découvrant le pragmatisme, la sincérité, la fiabilité, la rigueur des praticiens Allemand épaulés par une industrie de pointe..Il y avait beaucoup à apprendre et ils montrent encore l'exemple..sans baratin..Soit dit en passant je pense que c'est une chance d'avoir un gars de la pointure du dr Nedjat sur un forum..inventeur..capitaine d'industrie..praticien hors pair..et en plus sympa. Donc posez les bonnes questions vous aurez des vrais réponses car il n'y a pas de culture du secret..la philosophie n'est pas "regarde ce que je fais comme ca vu que tu sauras jamais le faire ..et ..tu m'enverras tes patients"..Ca c'est souvent la France..Si il y a dans les photos ou radio du dr Nedjat des détails qui vous dérange il faut comprendre aussi qu'il y a une différence culturelle qui s'exprime aussi dans la gestion des plans de traitement..

Maintenant concernant la demande de scans : je poste ce cas, une patiente vient me voir avec son scan car elle a consulté d'autres "spécialistes" et on lui refuse la pose d'implant secteur 4 où alors avec greffe préalable..Ca se discute..pas de temps à perdre je sais faire autrement..
Avec la chir trans gingivale technique MIMI ( Oui..un post sur la technique bientôt ..) j'ai pu placer deux 3,5/8mm..aurai je eu le meme résultat avec un lambeau..j'en doute..Les couronnes sont en titane. Recul clinique 2 ans ras. Simple efficace rapide moins onéreux satisfaisant pour le praticien et la patiente..

7115 11 dl12kf - Eugenol
7115 12 i52gre - Eugenol
7115 21 sgfkxo - Eugenol
7115 24 gusplo - Eugenol
7115 3 q38psq - Eugenol
7115 25 jawyxb - Eugenol
7115 6 f8wxwa - Eugenol
7115 5 lentxx - Eugenol
7115 7 ipvhmi - Eugenol
7115 1 pkuxiu - Eugenol
7115 2 sfuaar - Eugenol
7115 4 k3qqsl - Eugenol
7115 15 gujaor - Eugenol
7115 10 kv8nje - Eugenol