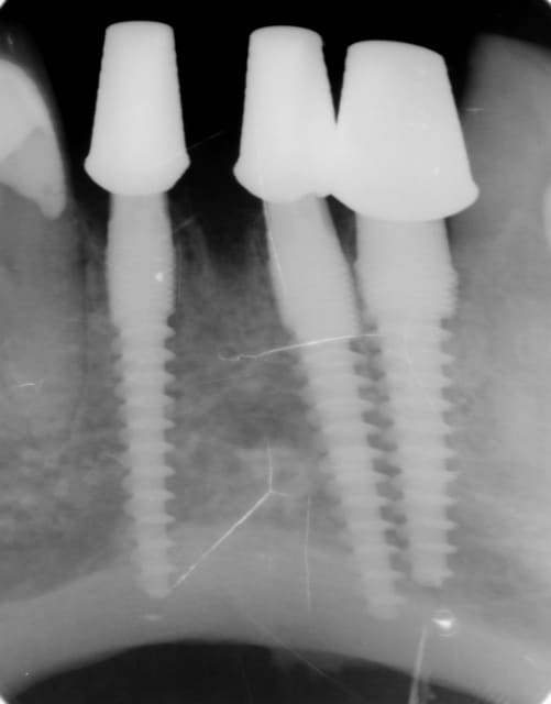
Cookie Consent byPrivacyPolicies.com23 implants, rehabilitation totale - Eugenol

23 implants, rehabilitation totale

Grueavatar nptrc9 - Eugenol
Le Choixpeau magique

30/03/2012 à 19h57

drmarcus écrivait:
------------------
> Pourquoi tu ne fais pas du Leone? Tu gagnerais en tranquillité, facilité comme
> en temps. Tu sembles pile dans la philosophie.
> Je suis sur que tu pourrais faire encore plus. J'ai vérifié il y a un
> distributeur.
> Je suis intrigué.

Si le mec n'utilisait même pas ses propres implants, il y aurait de quoi s'inquiéter !


Imagesca1x6rbd kwb9r6 - Eugenol
Dr Nedjat

30/03/2012 à 20h26

Le Choixpeau magique écrivait:
------------------------------
> drmarcus écrivait:
> ------------------
> > Pourquoi tu ne fais pas du Leone? Tu gagnerais en tranquillité, facilité comme
> > en temps. Tu sembles pile dans la philosophie.
> > Je suis sur que tu pourrais faire encore plus. J'ai vérifié il y a un
> > distributeur.
> > Je suis intrigué.
>
> Si le mec n'utilisait même pas ses propres implants, il y aurait de quoi
> s'inquiéter !
>

;-) oui ça serait inquiétant! avant de les créer j ai quand même utilisé d autres systèmes; astra, ankylos, nobel, straum..., 3I..... etc et puis au final j ai décidé de créer à la base un implant juste pour mon activité parce que je trouvais mon bonheur parfait dans aucun des systèmes ( même si ils fonctionnent comme leone par ex).


ad-hugo

30/03/2012 à 21h47

Dr Nedjat écrivait:
-
>
> ;-) oui ça serait inquiétant! avant de les créer j ai quand même utilisé d
> autres systèmes; astra, ankylos, nobel, straum..., 3I..... etc et puis au final
> j ai décidé de créer à la base un implant juste pour mon activité parce que je
> trouvais mon bonheur parfait dans aucun des systèmes ( même si ils fonctionnent
> comme leone par ex).

Je pense que l'avantage de cet implant est surtout son prix, pour le reste, il est difficile de rivaliser avec les grandes marques.


Imagesca1x6rbd kwb9r6 - Eugenol
Dr Nedjat

30/03/2012 à 22h26

ad-hugo écrivait:
-----------------
> Dr Nedjat écrivait:
> -
> >
> > ;-) oui ça serait inquiétant! avant de les créer j ai quand même utilisé d
> > autres systèmes; astra, ankylos, nobel, straum..., 3I..... etc et puis au
> final
> > j ai décidé de créer à la base un implant juste pour mon activité parce que je
> > trouvais mon bonheur parfait dans aucun des systèmes ( même si ils
> fonctionnent
> > comme leone par ex).
>
> Je pense que l'avantage de cet implant est surtout son prix, pour le reste, il
> est difficile de rivaliser avec les grandes marques.

Oui, 50000 implants rien qu en Allemagne l année dernière soit plus que nobel en allemagne et ce système n est pas pour autant une grande marque et ne souhaite pas l´être car souvent c est beaucoup de blablabla et beaucoup de KOL payés.Le système est juste différent et pas vraiment comparable. Ceci dit les autres marchent aussi avec une méthodologie différente. :-)


Img 0128 2 2 sriwku - Eugenol
drlorente

31/03/2012 à 14h12

Ca y est sujet "Chirurgie MIMI" sur le forum..


Img 3657 cwjvqm - Eugenol
alapex

31/03/2012 à 17h14

Super , tu peux envoyer les bons de commandes et les offres .


Fresh watermelon 640x562 udulqz - Eugenol
gulguch

31/03/2012 à 17h43

Pourquoi tant d'ironie? Enfin une nouveauté dans l'implantologie qui tourne en rond et se répète depuis 20 ans, c'est stimulant.
Comme l'a dit qqun plus haut ça fait penser à la basale: mais une basale pour tous, ou presque.


Marque a3 orange fyvhyq - Eugenol
Marc Apap

31/03/2012 à 17h51

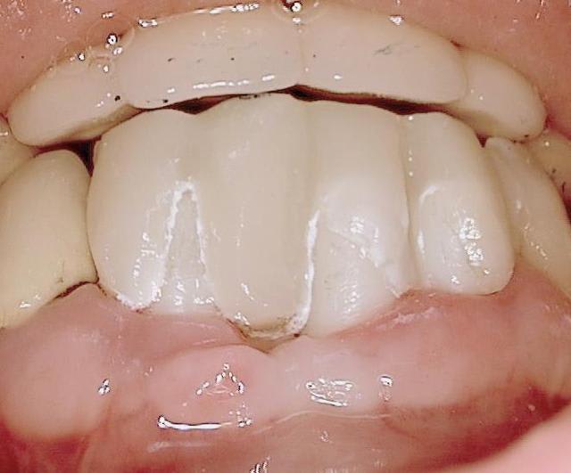
J'ai regardé toutes ces réhabilitations. Le truc qui me chiffonne dans tout ça (sur lequel je m'interroge, pour parler en français académique), c'est la façon dont on assure l'hygiène, avec des embrasures aussi petites et des prothèses qui semble bien proches de la gencive.
En bref : comment ça se nettoie ?


Imagesca1x6rbd kwb9r6 - Eugenol
Dr Nedjat

31/03/2012 à 18h26

Marc Apap écrivait:
-------------------
> J'ai regardé toutes ces réhabilitations. Le truc qui me chiffonne dans tout ça
> (sur lequel je m'interroge, pour parler en français académique), c'est la façon
> dont on assure l'hygiène, avec des embrasures aussi petites et des prothèses qui
> semble bien proches de la gencive.
> En bref : comment ça se nettoie ?

c est une bonne question (merci de m avoir expliquer le sens de chiffonne :-) l expression est marrante)

une bonne hygiène est surtout importante si le patient est malade par exemple suite à un "schlaganfall" (en allemand je ne sais pas le terme en francais)
les "vieux" systèmes deux pièces ont un micro espace de 30 micromètres , ce qui explique que les patients devaient nettoyer péniblement ...
en ceramique il n y a pas d accumulation de plaque donc pas de grandes concentration de bactéries gram negatif et anaerobie.La gencive se forme très bien autour de la ceramique ( la nature est le meilleur architecte!)
si après quelques années les couronnes sont retirées, on voit pas d infection....
pour finir c est sur qu il faut quand même se brosser les dents régulièrement. Les patients reviennent juste deux fois par an pour un nettoyage professionnel...

:-)


Marque a3 orange fyvhyq - Eugenol
Marc Apap

31/03/2012 à 18h30

Merci. Je souhaiterais quand même avoir l'avis d'autres experts indépendants. L'approche en tous cas, est intéressante.


Photo pluton1b h9n4ea - Eugenol
pluton

31/03/2012 à 18h43

gulguch écrivait:
-----------------
> Pourquoi tant d'ironie? Enfin une nouveauté dans l'implantologie qui tourne en
> rond et se répète depuis 20 ans, c'est stimulant.
> Comme l'a dit qqun plus haut ça fait penser à la basale: mais une basale pour
> tous, ou presque.

c'est moi qui en parlait...;-)

seulement, de "nouveauté", seul le concept d'utilisation de ces implants est intéressant...

parce que sinon, des implants similaires existent déjà, avec connexion cône morse externe des piliers...
http://www.dentium.com/USR_main.asp??=PRODUCT/DENTAL_IMPLANTS/SLIM_ONE_BODY/list02

certes, il n'y a pas de piliers zircone...mais les piliers peuvent par contre avoir des transferts d'empreinte qui se clipsent...c'est mieux pour avoir une armature bien adaptée...


Imagesca1x6rbd kwb9r6 - Eugenol
Dr Nedjat

31/03/2012 à 18h47

Marc Apap écrivait:
-------------------
> Merci. Je souhaiterais quand même avoir l'avis d'autres experts indépendants.
> L'approche en tous cas, est intéressante.

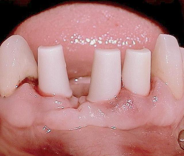
Oui tu as bien raison :-) Ci joint quelques photos en rapport avec ta question ....

20120327 154220 azpc5k - Eugenol
20120327 152704 psin9r - Eugenol
11 immidiat implantation ajhuew - Eugenol
Zwp 3 hxufoa - Eugenol
Zwp 1 fz28xv - Eugenol
Zwp 2 xjzyu3 - Eugenol
Zwp 3 uahz3r - Eugenol
Zwp 4 dp1mqb - Eugenol
Zwp 5 pqtkj4 - Eugenol
Zwp 6 gebnga - Eugenol
Zwp 7 gg9sy0 - Eugenol
Zwp 8 l458fc - Eugenol
Zwp 9 aa5ufk - Eugenol
Zwp 10 pjnown - Eugenol
Zwp 11 jk1fz4 - Eugenol
Zwp 12 zmdjib - Eugenol
24 jzs9sk - Eugenol
25 vpnq6w - Eugenol

Fresh watermelon 640x562 udulqz - Eugenol
gulguch

31/03/2012 à 20h10

pluton écrivait:
----------------
> gulguch écrivait:
> -----------------
> > Pourquoi tant d'ironie? Enfin une nouveauté dans l'implantologie qui tourne en
> > rond et se répète depuis 20 ans, c'est stimulant.
> > Comme l'a dit qqun plus haut ça fait penser à la basale: mais une basale pour
> > tous, ou presque.
>
> c'est moi qui en parlait...;-)
>
> seulement, de "nouveauté", seul le concept d'utilisation de ces implants est
> intéressant...
>
> parce que sinon, des implants similaires existent déjà, avec connexion cône
> morse externe des piliers...
> http://www.dentium.com/USR_main.asp??=PRODUCT/DENTAL_IMPLANTS/SLIM_ONE_BODY/list02
>
Oui et ça ressemble aussi au hi-tec TRX ou aux vis monobloc Ihde. Et aussi à un tas d'autres choses qui existent depuis 30 plombes comme les impladent. La différence c'est que c'est utilisable partout, avec une méthode documentée. Grande différence.


Img 3657 cwjvqm - Eugenol
alapex

31/03/2012 à 20h32

gulguch écrivait:
-----------------
> Pourquoi tant d'ironie? Enfin une nouveauté dans l'implantologie qui tourne en
> rond et se répète depuis 20 ans, c'est stimulant.
> Comme l'a dit qqun plus haut ça fait penser à la basale: mais une basale pour
> tous, ou presque.


Je n'ai fait que poser des questions en joignant les 3 photos qui m'interpelaient . Je n'ai pas vu de réponse .
Fait un rapide calcul de moyenne par jour du nombre d'implant , en ironisant c'est vrai car la vidéo à laquelle je fais référence m'éclate totalement .
Comme tu le sais je ne suis pas implanto mais j'ai des lueurs de temps en temps d'omnipraticien et de bricoleur né .
Donc je reprends , un implant de 12 mm mandibulaire , une prémo de secteur 3 liée à un système implantaire , une canine de secteur 2 dans un champ d'implants tous plus ou moins coniques et spiralés pour le moment je trouve ça rigolo .
C'est donc une ironie calculée concernant quelque chose qui n'est pas une nouveauté (Nedjat implante depuis 20 ans avec grand succés...) , je ne connaissais pas ce système et m'étonne que les implantos de nonol ne le connaissent pas non plus .
De plus et j'en termine , car je crois que c'est ça qui me titille : ça fait un peu trop rentre dedans et publicité en couche épaisse , je n'ai pas aperçu de fondus de la basale dont son inventeur trainer sur le forum pour promouvoir les disks par exemple , simplement des utilisateurs de telle ou telle marque , exposer des cas , trop rarement d'ailleurs et je profite de l'occasion pour les inciter à le faire plus souvent ce qui boosterait un peu le forum pour le sortir de la mornitude .
Tu te rends compte que c'est moi qui le dis ? ...)))

Bisous .


Fresh watermelon 640x562 udulqz - Eugenol
gulguch

31/03/2012 à 20h44

", je ne connaissais pas ce système et m'étonne que les implantos de nonol ne le connaissent pas non plus"

.. parce qu'ils connaissent peut être les implants Muratori avec le soudage en bouche par exemple?

Quant à la pub en couche épaisse, les nanas en minijupe qui admirent le grand implanto babybel, ou la version US avec la Ferrari rouge, hein.
Le site de Netjat est plus rigolo.


Photo pluton1b h9n4ea - Eugenol
pluton

31/03/2012 à 20h45

gulguch, bon sang!!! ouvre les yeux!!!
tu dis que l'implanto tourne en rond depuis 20 ans...tu en as un exemple sous les yeux!!!
ces implants n'ont rien de nouveau, y a déjà des tonnes de produits similaires, tu le dis toi même...bref rien de neuf à l'horizon
seul leur protocole est un peu original et encore, il me semble bien que bicon entre autres, faisait déjà çà...

quand tu plantes 13 implants au maxillaire et que tu en perds 2, bof, pas grave, tu peux encore faire ta prothèse sur les 11 qui restent...

d'ailleurs, ils ne se cachent pas d'avoir (que) 94% de réussite au maxillaire...et je peux quasi t'affirmer que tu aurais exactement le même résultat avec n'importe quel implant...


Fresh watermelon 640x562 udulqz - Eugenol
gulguch

31/03/2012 à 21h11

"seul leur protocole est un peu original et encore, il me semble bien que bicon entre autres, faisait déjà çà..."
à bien non, c'est surement pas bicon, va voir leur site.


Imagesca1x6rbd kwb9r6 - Eugenol
Dr Nedjat

31/03/2012 à 21h12

Merci pour vos remarques, il est vrai que la technique est différente et peut être utilisée même en cas de crête fine .Pour les implants vu l´étendu du marché des similitudes peuvent exister mais pas de copie…. L’idée c était de proposer quelque chose spécialement adapté pour cette technique .Les spécificités sont donc :

- un choix de 60 (!!) mesures différentes de Champions, pour chaque indication
- une surface de qualité ( c’était la question un peu plus haut) reconnue comme une des meilleures du marché par une université indépendante dans une étude comparative de plus de 150 systèmes.
- on a patenté ( brevet) des 'Prep Cap' en les cémentant sur les monoblocs
- on a deux différents formes monobloc ('Classics' sont plus conique pour le D1 , les 'New Art' sont pour l'os D2 - D4)
- on utilise les forets 3- faces pour pouvoir traiter vraiment minimale- invasive et condenser l´os
-le prix pour les deux pièces (2-pieces) et pour les abutments et les monoblocs
-les (R)Evolutions ont un micro- gap de 0,6 micromètre
- on implante tous les deux pièces par un 'SHUTTLE' avec plus de 30 Ncm ( jusqu´ à70 Ncm) sans déformer les implants (un grand problème dans les 'grandes marques' ou pourquoi on croit que les abutments bougent après avoir cementer les couronnes? C'est juste à cause des déformations des implants en implantant avec plus de 30 Ncm.
- enfin on peut implanter 'flapless' en plus de 80% des cas
- les implantologues avec un peu d´expérience et après avoir deux/ trois cas, comprennent très vite pourquoi le système est déjà le numéro quatre ou cinq en Allemagne avec plus de 2800 cliniques.



Img 3657 cwjvqm - Eugenol
alapex

01/04/2012 à 02h27

alapex écrivait:
----------------
> Super , tu peux envoyer les bons de commandes et les offres .



Je me dis souvent que j'ai un 6 ème sens .

Cher confrère , tu es un dentiste implantologiste d'Excellence , ce qui est très différent d'un excellent dentiste . De surcroit très aguerri en communication , tu as dépassé le stade de la représentation commerciale des années 70 pour passer définitivement dans la grande distribution .


Photo pluton1b h9n4ea - Eugenol
pluton

01/04/2012 à 11h02

Dr Nedjat écrivait:
-------------------

> -les (R)Evolutions ont un micro- gap de 0,6 micromètre
> - on implante tous les deux pièces par un 'SHUTTLE' avec plus de 30 Ncm ( jusqu´
> à70 Ncm) sans déformer les implants (un grand problème dans les 'grandes
> marques' ou pourquoi on croit que les abutments bougent après avoir cementer les
> couronnes? C'est juste à cause des déformations des implants en implantant avec
> plus de 30 Ncm.

là c'est la goutte d'eau..., c'est du grand n'importe quoi de dire que les implants se déforment à 30Ncm...
tiens un peu plus réaliste comme étude, et encore, avec du trilobe Nobel qui n'est pas vraiment réputé pour son extrême résistance...

http://www.implantdirect.com/us/documents/PDF/compare/nobel/open_letter/p2.pdf

note quand même, le screwplant n'a pas cassé à plus de 180Ncm et je peux parier avec toi que ton champion aura rendu l'âme bien avant...


Logo m4n3gc - Eugenol
drmarcus

01/04/2012 à 11h38

pluton écrivait:
----------------
> Dr Nedjat écrivait:
> -------------------
>
> > -les (R)Evolutions ont un micro- gap de 0,6 micromètre
> > - on implante tous les deux pièces par un 'SHUTTLE' avec plus de 30 Ncm (
> jusqu´
> > à70 Ncm) sans déformer les implants (un grand problème dans les 'grandes
> > marques' ou pourquoi on croit que les abutments bougent après avoir cementer
> les
> > couronnes? C'est juste à cause des déformations des implants en implantant
> avec
> > plus de 30 Ncm.
>
> là c'est la goutte d'eau..., c'est du grand n'importe quoi de dire que les
> implants se déforment à 30Ncm...
> tiens un peu plus réaliste comme étude, et encore, avec du trilobe Nobel qui
> n'est pas vraiment réputé pour son extrême résistance...
>
> http://www.implantdirect.com/us/documents/PDF/compare/nobel/open_letter/p2.pdf
>
> note quand même, le screwplant n'a pas cassé à plus de 180Ncm et je peux parier
> avec toi que ton champion aura rendu l'âme bien avant...

+1 et milles fois d'accord. Nedajt impressionnes moi s'il te plait en me donnant les références des études de l'ingénieur Zipprich (faculté de Franckfurt), ingénieur indépendant.

Par ailleurs attention tout de même avec ces histoires de couples. Il faut connaitre la limite élastique et non de rupture. Apparemment ces implants se déformeraient très tôt (Pour Leone la limite élastique avec un coefficient de sécurité de minimum 10 est de 140 NM)

Finalement tu lèves mon intrigue! C'est ton système, très bien, tes réussites: je t'en souhaite plein d'autres, mais tu n'arriveras pas à lutter sur la méca. ça je peux te l'affirmer et je sais que tu le sais.


--
"La vis est à l'implant ce que la carie est à la dent!" (Pozzi)


Moustache asiatique 2 b9rsxq - Eugenol
goupil

01/04/2012 à 12h04

c'est bien mimi votre système. Quitte à faire je préfère largement le twinkone de tekka
http://www.tekka.eu/tekka/resource/filecenter/document/042-00000p-0iq/detail-implant.gif


Imagesca1x6rbd kwb9r6 - Eugenol
Dr Nedjat

01/04/2012 à 12h29


> >te plait en me donnant
> les références des études de l'ingénieur Zipprich (faculté de Franckfurt),
> ingénieur indépendant.
>
> Par ailleurs attention tout de même avec ces histoires de couples. Il faut
> connaitre la limite élastique et non de rupture. Apparemment ces implants se
> déformeraient très tôt (Pour Leone la limite élastique avec un coefficient de
> sécurité de minimum 10 est de 140 NM)
>
> Finalement tu lèves mon intrigue! C'est ton système, très bien, tes réussites:
> je t'en souhaite plein d'autres, mais tu n'arriveras pas à lutter sur la méca.
> ça je peux te l'affirmer et je sais que tu le sais.

Malheureusement l ´étude de Holger (Zipprich) et Paul (Weigl) sont seulement en Allemand ici. Mais si vous voyez les films du link suivant , on voit bien que la meilleure connection est la connection conique entre abutment et implant. C est pourquoi nous avons choisi une connection conique comme l´on fait Ankylos. Voilà pourquoi Strauman et Camlog ont changés leur connection l année dernière.

http://www.kgu.de/zzmk/werkstoffkunde/index_de.php

Moi, je ne connais pas un autre système/méthode implants et foret qui permet de realiser du flapless dans 85 des cas( pour ne pas dire 95) avec de telles possibilités et un à prix plus abordable.

Les nombreux cas déjà postés montrent que cela fonctionne et au long terme (radios après 10 ans), et que l implantologie peut être "démystifier" ( si le mot existe...) :-)


Logo m4n3gc - Eugenol
drmarcus

01/04/2012 à 12h45

Oui très bien! Avec google chrome la traduction est quasi automatique et instantanée.
On voit bien les qualités de mon implant mais lequel est le votre? Pourquoi ne pas le donner en étude? Plus aucun doute ne serait permis!

Quant à la connectique j'ai plein de questions (conicité ou pente, longueur de contact, type de tiatne etc...). Justement comment faites vous pour avoir un "soit disant" double contact avec un cône? Quel utilité de la gorge entre les deux? (voir tes photos et oui j'ai l'oeil, c'est mon truc et ça me passionne))


--
"La vis est à l'implant ce que la carie est à la dent!" (Pozzi)


Photo pluton1b h9n4ea - Eugenol
pluton

01/04/2012 à 12h45

Mon cher confrère Dr Nedjat...si tu penses qu'on va croire tes salades sur la mécanique moi et drmarcus, tu te mets le doigt dans l'oeil jusqu'à l'épaule...

on est plusieurs à avoir "flairé l'affaire", tu as fais quelques faux pas et avec quelques acrobaties tu t'en es tiré de justesse, mais sur la mécanique niet...

que tu postes des cas clinique, qu'on en discute OK...mais là tu utilises des techniques de vente qu'on appelle des techniques de manipulation et là je ne suis plus du tout d'accord!!!

P.S: j'ai signalé ces "anomalies" à la modération...


123...