Cookie Consent byPrivacyPolicies.com23 implants, rehabilitation totale - Eugenol

23 implants, rehabilitation totale

Img 3657 cwjvqm - Eugenol
alapex

01/04/2012 à 13h04

J'aime nonol quand il se réveille ... +1000 Pluton .

PS/ Bon je file dans les autres sujets , car j'ai peut-être obtenu les réponses à mes questions , on ne sait jamais ...


Imagesca1x6rbd kwb9r6 - Eugenol
Dr Nedjat

01/04/2012 à 13h10

je réponds juste aux questions, comme ca a été le cas pour l acide hyaluronique, la méthode, le titane grade4/ titane grade 5 ....
Je pensais juste venir montrer quelque chose de différent au point de vue méthode ( d ailleurs je n ai pas citer sauf une fois quand on me l a demandé le nom de l entreprise). Ajouter quelques cas cliniques et en parler , sans penser mettre en colère les personnes et en restant respectueux. D ailleurs je l ai dit plusieurs fois je ne suis pas le seul système qui marche et chaque praticien doit trouver le système qui lui corresponds. Enfin, si j ai tout compris on sous entends que je suis un menteur, ou encore que je n ai pas implanté 20 000 fois etc....
je ne suis pas aussi intelligent malheureusement ! :-) enfin si je fesais mourir des gens ca se saurait , le système fonctionne très bien et depuis plusieurs années et fait le bonheur de milliers de patients. Er pour chaque praticien c est l essentiel!


Photo pluton1b h9n4ea - Eugenol
pluton

01/04/2012 à 13h38

Dr Nedjat écrivait:
-------------------
Enfin, si j ai tout compris on sous
> entends que je suis un menteur, ou encore que je n ai pas implanté 20 000 fois
> etc....

je n'ai pas dit çà, juste que la technique que vous utilisez, toi et lorente je la connais, se sont des techniques de manipulations de vente, on appelle çà "un pied dans la porte"...
on appâte, on enjolive, puis on dénigre la concurrence et y a plus ensuite qu'a donner les bons de commande...

vous attraperez peut être quelques gogos à ce petit jeu, mais pas moi...

après que l'on parle de cas cliniques de ta manière de procéder, pourquoi pas...ta manière de procéder est originale, pour le reste...

que tu t'éclates avec ton système...heureusement pour toi...mais arrêtes de nous prendre pour des pigeons en te "glorifiant" de tes 20000 implants posés...


Img 0128 2 2 sriwku - Eugenol
drlorente

01/04/2012 à 14h25

pluton écrivait:
----------------
> Dr Nedjat écrivait:
> -------------------
> Enfin, si j ai tout compris on sous
> > entends que je suis un menteur, ou encore que je n ai pas implanté 20 000 fois
> > etc....
>
> je n'ai pas dit çà, juste que la technique que vous utilisez, toi et lorente je
> la connais, se sont des techniques de manipulations de vente, on appelle çà "un
> pied dans la porte"...
> on appâte, on enjolive, puis on dénigre la concurrence et y a plus ensuite qu'a
> donner les bons de commande...
>
> vous attraperez peut être quelques gogos à ce petit jeu, mais pas moi...
>
> après que l'on parle de cas cliniques de ta manière de procéder, pourquoi
> pas...ta manière de procéder est originale, pour le reste...
>
> que tu t'éclates avec ton système...heureusement pour toi...mais arrêtes de nous
> prendre pour des pigeons en te "glorifiant" de tes 20000 implants posés...

Bonjour "Pluton" je regrette la dérive de ces échanges j'ai aucun jugement sur ton avis personnel je le regrette c'est tout et je le comprends. Je pensais modestement avoir peut être une expérience à partager, à offrir, c'est désagréable de ce faire traiter de démarcheur.. mais je comprends. Ci joint la réponse faite sur le seul sujet que j'ai ouvert. Bon dimanche.

....Il n'y a pas de système implantaire ideal, on est bien d'accord et loin de moi l'idée de vouloir faire passer le message qu'avec cette approche chirurgicale on peut rendre l'implantologie accessible a tous facilement...C'est jamais facile et les pièges dans notre métier on connait tous ca..pour exemple l'endo optimisé avec la rotation et les limes titane..qui n'a pas cassé dans le tier apical..alors facile?? Je me méfie des forum..et en principe quand je parle de mon expérience je commence par mes echecs histoire de refroidir les ardeurs..Ok j'ai balancé quelques photos et radios je pense pas trop mauvaises (j'en ai des dizaines d'autres) ..sur les deux sujets ouverts par le dr Nedjat pour l'accompagner (par amitié) et à sa demande..Il adore les forum, l'échange, la discussion..ne vous mettez pas en rogne contre lui, ne voyez pas un vilain commercial. C'est vrai qu'il est directeur de sa boite d'implant mais chez lui il n'y a aucun commercial. Surprenant non? Quand je dis aucun c'est aucun ! Pas de gentille minette qui vas faire le tour des 2800 clients en Allemagne. Que des confrères qui font leur choix et de sacré bon je vous assure associé à de sacré bons laboratoires.
J'ai modestement plus de 10 ans d'implanto dans les mains, j'ai fait beaucoup de Straumann, du Branemark System, et mon nom est encore noté dans la premiere étude faite par Eurotechnika..On est des cliniciens a nous d'avoir notre vigilance car les patients ils sont entre nos mains. J'étais dans la salle à Marseille en 2002 quand le Professeur Branemark a présenté l'état de surface Ti Unite. La question a été posée vis a vis des études du recul vu que le Pr Branemark avait habitué la communauté scientifique à garder au secret en étude pendant des années ses évolutions avant de les commercialiser. Il n'y a aucune critique mais c'est une évidence..le commercial l'emportait alors chez NB..Depuis on nous promet régulièrement des miracles a coup de technologie et d'investissements colossaux. Bien sur a force la 3D, les guides etc ca va marcher..mais à quel prix.
Passé ce préambule vous avez raison sur certains points, entre autre il est reconnu que le périotest n'offre pas des valeurs reproductibles..c'est l'argument du concurrent l'Ostel avec lequel il faut visser le capteur..peut être le Dr Nedjat devrai inventer une piece à visser sur les monoblocs ou les deux pieces et refaire ses études ..certe..
Pour en revenir à ce concept chirurgical associé à des implants spécifiques, il y a des indications et elles sont nombreuses dans nos cabinet.
C'est au praticien de se positionner, pas pour se faire plaisir, mais pour soigner son patient avec le moins de contraintes chirurgicales, temporelles et financières et avec le meilleur ratio pérennité/efficacité.
En Allemagne ils ont l'expérience et ils sont de plus en plus nombreux tous les jours a utiliser ces implants en monobloc ou deux pieces en technique MIMI.
La conséquence, entre autre, est que les tarifs des traitements sont en principe ceux qu'on trouve sur le net dans les centres de tourisme dentaire au porte de l'europe.
Vous allez me dire "ou est l'expertise scientifique " c'est une question qu'on a souvent abordé le dr Nedjat et moi.. être un "excellent" clinicien ne suffit pas..
On n'a pas l'agrément FDA par hazard..Le renouvellement se fait avec de telles contraintes que je crois que cette année le dr Nedjat doit faire face à un bilan scientifique drastique... Il y a tout un travail de collecte d'articles et référence en cours pour offrir des heures de lecture aux mordus de la bibliographie.
Pour les autres les cliniciens ceux qui touchent à l'os pour de vrai, je dis oui il y a de bonnes indications pour cette chirurgie MIMI comme il y a des contre indications des pièges etc. Je voudrai pas que des novices fassent des conneries en forant n'importe ou n'importe comment..Ce Forum est destiné aux diplômés que nous sommes alors pas de confusions. Pas de bêtises avec les implants quelque soit la marque et la methode.
Leçon ce ces quelques échanges entre confreres Français et au vu des réponses faites au dr Nedjat sur ses posts : Le sujet ne se prete peut être pas à un forum..Pas en France.


Imagesca1x6rbd kwb9r6 - Eugenol
Dr Nedjat

01/04/2012 à 14h26

pluton écrivait:
----------------
> Dr Nedjat écrivait:
> -------------------
> Enfin, si j ai tout compris on sous
> > entends que je suis un menteur, ou encore que je n ai pas implanté 20 000 fois
> > etc....
>
> je n'ai pas dit çà, juste que la technique que vous utilisez, toi et lorente je
> la connais, se sont des techniques de manipulations de vente, on appelle çà "un
> pied dans la porte"...
> on appâte, on enjolive, puis on dénigre la concurrence et y a plus ensuite qu'a
> donner les bons de commande...
>
> vous attraperez peut être quelques gogos à ce petit jeu, mais pas moi...
>
> après que l'on parle de cas cliniques de ta manière de procéder, pourquoi
> pas...ta manière de procéder est originale, pour le reste...
>
> que tu t'éclates avec ton système...heureusement pour toi...mais arrêtes de nous
> prendre pour des pigeons en te "glorifiant" de tes 20000 implants posés...

A ce moment là parler de la méthode MIMI devient un tabou puisque associé forcement à de la manipulation....et ceux qui partagent une conviction sont des manipulateurs.Chacun possède ses convictions le principal c est de respecter les convictions de chacun, avoir des avis qui divergent cela arrive et tant mieux , mais ne pas tolérer la différence c est différent. Je suis un praticien avant d etre le createur d un système , nous n avons pas de commerciaux dans l entreprise juste un coordinateur non praticien dans quelque pays pour faire le relai (barrage de la langue oblige) entre le pays en question et l allemagne... bref nous n avons pas une politique très très marketing avec des gens itiniérants , qui appelle 15 fois par jour au cabinet , envoie mail sur mail....
au contraire pour moi c est plus un risque de venir ici et de parler directement avec les praticiens . Si un praticien qui a mis au point une méthode ne doit pas venir parler ( et reste injoignable et planquer dans un bureau et juste se montrer pendant les conférences) alors il suffit juste de me le dire ! :-) je ne veux pas déranger les personnes et surtout ne veux pas les énerver.


jp67

01/04/2012 à 22h49

pluton écrivait:
----------------
> Dr Nedjat écrivait:
> -------------------
> Enfin, si j ai tout compris on sous
> > entends que je suis un menteur, ou encore que je n ai pas implanté 20 000 fois
> > etc....
>
> je n'ai pas dit çà, juste que la technique que vous utilisez, toi et lorente je
> la connais, se sont des techniques de manipulations de vente, on appelle çà "un
> pied dans la porte"...
> on appâte, on enjolive, puis on dénigre la concurrence et y a plus ensuite qu'a
> donner les bons de commande...
>
> vous attraperez peut être quelques gogos à ce petit jeu, mais pas moi...


Hello tout le monde, un moment que je traine ici sans m’inscrire juste venu grapiller quelques conseils ici où là…. Et certains m'ont bien servis….. ma femme a son plus belle la vie et moi pendant quelques jours j'ai eu « implantation immédiate machin truc » mais là j ai pas résisté , c'est vrai il y a souvent des prises de bec , des embrouilettes mais je me régale quand ceux qui lancent la pierre sont en réalité dans le même panier…..

Oui , on l’a bien compris notre ami pluton et drmarcus sont des fans de Mr Leon pour ne pas citer le nom ! les posts étaient sympa et m'ont fait découvrir le M…. Un biomat sympa….. super et merci ! mais là je rigole !!! c'est vraiment désolant : si tu connais la manipulation comme tu le dis plus haut c'est parce que tu en fais aussi , comme pas mal d autres ici….. !!!! qui est le plus commercial des deux j'en sais rien mais en regardant tes anciens post et ceux de ton pote (que pourtant tu n'accuses pas d'une démarche commerciale…..) je me suis fait une opinion…..
Il y a trois ans le drmarcus s'inscrit sur le forum….
1er post : Bonjour,
Voilà un sujet qui me passionne de plus en plus.
Je m'inscris sur Eugénol tout spécialement.
Il n'y a " que 2 système cône morse différent"
Ceux comportant encore un système à vis
Un seul (à ma connaissance ce jour) ne comportant pas de vis le principe Leone avec son implant exacone.
L'interet principal est dans son étanchéité totale, la section d'emboitement et un risque de fracture quasi nul...
Evidement la facilité d'éxecution de la prothèse.
3eme sujet : info leone
Par drmarcus dimanche 26 juin 2011 à 10:04
Bonjour,
A tous ceux, et ils sont déjà nombreux, qui utilisent le système Leone réclamez à votre commercial le catalogue en FRANCAIS.
Oui oui il est enfin édité. Ceux que ça interesse peuvent toujours me demander l'adresse de la société qui le commercialise en exclusivité.
Bon dimanche à tous

Ou plus récemment : e: 23 implants, rehabilitation totale
Par drmarcus jeudi 29 mars 2012 à 19:05

Pourquoi tu ne fais pas du Leone? Tu gagnerais en tranquillité, facilité comme en temps. Tu sembles pile dans la philosophie.
Je suis sur que tu pourrais faire encore plus. J'ai vérifié il y a un distributeur.
J'arrête ici drmarcus est aussi sur le site de Mr Leon :
http://www.leone.it/english/implantology/exacone-team-international/regrain.php
mieux encore sur le site internet de sa clinique (pas de pub sur un site de clinique non ce n'est qu'un site…. Enfin je crois…)
http://www.chirurgien-dentiste-marc-regrain.fr/conseils.php?fiche=240&type=p

Moi tout ça ne me pose pas de problème pour être franc, juste que ton pote et toi-même (je peux retrouver des choses similaires chez toi) vous croyez en un système et vous le partagez avec nous ,je dis merci , et continuez comme ca ! en revanche faire la morale aux autres sur ce qui est commercial ou pas….. regardez vous dans une glace avant de parler ! vous aimez Mr Leon d autres aiment Mr NB, d autres Mr machintruc oui et ?! chacun ses convictions comme dit dr netat.
Désolé drmarcus ne le prends pas mal, j'aime bien ce que tu fais mais voilà que ce soit toi ou un autre tout le monde a le droit de s'exprimer, et peut être que d'autres gens qui restent dans l'ombre comme moi pensent la même chose….ou pas mais peu inporte !!!! voilà c'est dit j ai fait mon petit caca nerveux….maintenant je repars dans l'ombre .

Cordialement à tout les conf....
jp


flicflac

01/04/2012 à 23h19

feriez-vous le même traitement a un patient de 30 ans???
problèmes de distance inter-implants


Photo pluton1b h9n4ea - Eugenol
pluton

02/04/2012 à 00h19

jp67 écrivait:
--------------

petite précision jp67:
drmarcus ne touche rien, n'a aucune commission de la part de Leone, ni même de la société qui importe ces implants en France...et çà je pense qu'il peut te le confirmer...

de même, moi non plus je n'ai rien a vendre, je ne suis qu'utilisateur des implants Leone, mais aussi Dentium, Implant Direct...mes avis sont donc des retours utilisateur, et je peux m'exprimer en toute liberté car je n'ai aucun lien avec ces sociétés...

mon "coup de gueule", c'est vrai que s'en est un, est du à la manière dont s'est déroulée cette "approche" de nos 2 confrères...pour moi (et d'autres, parce que je ne suis pas tout seul...) avec une intention bassement commerciale...
et pourtant, généralement, il en faut pour me "faire sortir de mes gonds", ceux qui me connaissent pourront témoigner...

bien sûr je peux me tromper...mais mon intuition me dit que non...

alors parler de technique chirurgicale oui, et je suis toujours d'accord sur le fait que leur approche est originale et mérite que l'on s'y intéresse

par contre, dénigrer les produits concurrents en racontant en plus des énormités sur la déformation des implants à 30Ncm, là non, pas d'accord, surtout du fait de leur implication commerciale...y a des limites à ne pas dépasser...

maintenant, rien n'empêche de repartir sur de bonnes bases, plus saines et sereines pour tout le monde,...ceux qui sont intéressés iront sur leur site pour se renseigner les autres passeront leur chemin, mais prière d'arrêter le "rentre dedans"


RépondreCiter
Marque a3 orange fyvhyq - Eugenol
Marc Apap

02/04/2012 à 01h28

Ceux qui disent ne rien toucher d'un fabricant alors qu'ils travaillent quasi officiellement à sa promotion me font bien marrer.
J'espère qu'il vous fait au moins un bon prix ou peut-être cadeau de ses produits.
Sinon, c'est qu'il vous prend pour un dindon et il n'y a pas de quoi être fier.


jp67

02/04/2012 à 01h52

Bonsoir, je préfère te répondre en privé parce qu’en temps normal je préfère être spectateur plutôt qu’acteur.Je doute pas sur le fait que tu sois transparent et je me suis peut-être mal exprimé à ce sujet bref….ce que je voulais dire c’est que tout et n’importe quoi peut être soupçonné de démarche commerciale à partir du moment où quelqu’un a une croyance, il communique dans le sens de ses croyances qui vont forcément mettre en avant telle ou telle technologie et peut être entrainer par la suite un certain impact commercialement parlant..La conséquence c’est qu’on est tous plus ou moins des "vendeurs ambulants" (je mets bien des guillemets ) malgré nous puisqu’une opinion/conviction qui peut influencer plus ou moins les autres. Tes posts m’ont été utiles comme je l’ai dit comme ceux de drmarcus, mais j’ai aussi apprécié ce grain de nouveauté du dr netat. Evidemment oui si j’ai bien compris c’est le chef/concepteur de son système d’implants.Et certes, oui sur le couple de serrage il a certainement un peu enjolivé…. Mais faut rester ouvert d’esprit , j’aime pas défendre quelqu’un sans le connaitre mais bon on l’a quand même harcelé de toute part ce pauvre Allemand, en le poussant toujours à la comparaison, en demandant études sur études et au final en ne s’intéressant que peu au cas….alors un écart au bout d’un moment ca devient possible, tout le monde peut se planter , moi le premier (c est bien pour ça que je prendrai jamais le risque de poster des cas…trop peur de me faire lapider !!! ;-) ) toi aussi sur le sujet titane 4…. Et alors ? on est certainement nombreux à rester en spectateurs mais on a tous un cerveau et on sait se faire une opinion comme des grands. Pour finir, si je l’ai pas encore dit je trouve la démarche intéressante et même courageuse qu’il parle lui-même de son système. Ce que je n’ai pas vraiment aimé c’est que tu le signales, parce qu’il est quand même resté relativement diplomate, décider pour tout le monde du type « je vais le dire à la maitresse », n’était à mon avis pas utile, chacun de nous étant doté je le répète d’un cerveau et parce que concepteur ou non c’est toujours intéressant de voir des cas ! Et les tiens m’intéressent également alors post en vite ! Mais laissons tout le monde s’exprimer….enfin lui pour le coup je pense qu’il ne va plus oser poster de nouveaux cas ou alors qu’il ne peut plus…..et c’est vraiment dommage…


Photo pluton1b h9n4ea - Eugenol
pluton

02/04/2012 à 02h37

sincèrement jp, tu trouves que je manque d'ouverture d'esprit?
tu trouves que c'est être rigide, conservateur quand on dit être intéressé par le concept?

mon "signalement" je l'ai fait à un modo que je connais en lui demandant d'être vigilant et d'intervenir si nécessaire afin d'éviter un détournement a des fins commerciales d'un forum qui se veut être avant tout un lieu d'échange et de partage, c'est tout...

faire la part des choses, même avec un cerveau n'est pas toujours évident, et tu sais même des génies peuvent se faire escroquer

maintenant, le DrNedjat peut continuer d'exposer ses cas cliniques s'il le souhaite, je suis toujours intrigué et curieux de savoir jusqu'où il pousse son concept et je ne lui demande que "d'isoler" le côté commercial de ses interventions afin que chacun puisse se faire sa propre opinion

libre ensuite, à ceux qui veulent le suivre dans sa technique de le contacter, par MP par ex, s'ils veulent de plus amples informations

çà me paraît être une solution bien plus correcte pour tout le monde, non?


RépondreCiter
Logo m4n3gc - Eugenol
drmarcus

02/04/2012 à 09h40

Marc Apap écrivait:
-------------------
> Ceux qui disent ne rien toucher d'un fabricant alors qu'ils travaillent quasi
> officiellement à sa promotion me font bien marrer.
> J'espère qu'il vous fait au moins un bon prix ou peut-être cadeau de ses
> produits.
> Sinon, c'est qu'il vous prend pour un dindon et il n'y a pas de quoi être fier.
>

Eh oui tu as raison! Je suis un pigeon et ça me coûte en temps!
Evidemment il me défraie de mes transports lorsque je me rends en Province. Tous les nonoliens qui me connaissent peuvent témoigner. Le stand Leone ADF en témoigne aussi il ne pourra jamais être aussi grand que les autres. La maison mère est avare en budget.
Et surtout cet implant ne m'appartient pas!

Je n'ai aucun contrat ni rémunération de Leone.
J'ai eu 2 implants et 1 pilier peek en essais en 8 ans.
La remise dont je bénificie est la même que tout poseur de plus de 100 implants/an.(Je sais qu'au moins 2 poseurs sur ce site bénéficie de la même!)

L'avantage je suis libre et si un jour quelque chose ne va pas rien ne m'empêchera de parler.

Quant au fait d'être sur l'exacone team à l'internationnal je prends ça comme une reconnaissance plus qu'autre chose.
La aussi ceux qui passent au système savent qu'ils peuvent comme sur ce forum me poser des questions pratiques face à des situations inédites pour eux.

Pourquoi croyez vous qu'aucun "grand ponte" ne fait la promotion du système? A part un indépendant ou un illuminé comme moi accepteriez vous de donner de votre temps gratuitement à une société qui fait de gros bénéfices?
La réponse oui je suis le dindon comme tu dis!

Ce que j'en retire: De la satisfaction, de l'amusement, de l'expérience, les rencontres avec les grands pontes des DU de France, les échanges avec ces derniers face à mes cas exposés. Bref je passe un DU en permanence car je montre aussi des greffes et soulevés de sinus. Ces derniers à minima sont partagés par certains critiqués par d'autres etc....

A plus de 50 balais je ne ferai pas de carrière universitaire mais je continue à aller dans les facs j'assiste à une partie des DU et j'apprends tous les jours.
Maintenant Marc je serais heureux d'en apprendre plus en Biologie Buccale; sérieux.

Tant pis si me voici qualifié de dindon! Finalement je l'écoute à chaque dialogue et ça ne me choque plus. Si c'est tout ce que l'on a à me reprocher et bien c'est super.


--
"La vis est à l'implant ce que la carie est à la dent!" (Pozzi)


Imagesca1x6rbd kwb9r6 - Eugenol
Dr Nedjat

02/04/2012 à 14h11

Bonjour et désolé de revenir..... puis je répondre à la question de flic flac ?
J aimerai discuter et poster de nouveaux cas mais je n aime pas créer le conflit , et là ma présence et ma facon de répondre en à fait un ( si on parlait en Allemand ca serait plus mieux m exprimer c est sur! :-) . Alors je m´excuse auprès de ceux qui ont été énervés, choqués ou blessés.... et j´espère les rencontrer un jour dans le vrai vie et manger des grenouilles avec eux (peut être à l´ADF, je pense venir).


Photo pluton1b h9n4ea - Eugenol
pluton

02/04/2012 à 15h06

Dr Nedjat écrivait:
-------------------
> Bonjour et désolé de revenir..... puis je répondre à la question de flic flac ?
> J aimerai discuter et poster de nouveaux cas mais je n aime pas créer le conflit
> , et là ma présence et ma facon de répondre en à fait un ( si on parlait en
> Allemand ca serait plus mieux m exprimer c est sur! :-) . Alors je m´excuse
> auprès de ceux qui ont été énervés, choqués ou blessés.... et j´espère les
> rencontrer un jour dans le vrai vie et manger des grenouilles avec eux (peut
> être à l´ADF, je pense venir).
>

bien sûr dr Nedjat
je reste curieux de votre façon de pratiquer...
je n'aime pas non plus les conflits, et peut être me suis-je emporté à tort...d'avance je vous présente mes excuses à vous et le drlorente si tel était le cas...

j'espère que cela permettra de reprendre ces discussions fort intéressantes dans une ambiance plus sereine

une rencontre au prochain ADF...pourquoi pas...


RépondreCiter
Img 3657 cwjvqm - Eugenol
alapex

02/04/2012 à 15h08

DrNedjat , je ne pense pas que tu aies besoin d'une quelconque autorisation pour répondre , poster et présenter des cas cliniques , du moment que la modération ne t'a rien dit personnellement .
Personne ne conteste le fond , mais certain la forme (dont je) . Il n'y a pas de règle générale pour poster sur Eugénol , mais si plusieurs ont considéré que tu faisais un peu trop gourou vendant son produit affublé d'un rabatteur , entrevois cela en te rappelant que l'action produit une réaction .
Cordialement .


Img 3657 cwjvqm - Eugenol
alapex

02/04/2012 à 15h10

Bin tu vois , à 2 minutes près ...


Imagesca1x6rbd kwb9r6 - Eugenol
Dr Nedjat

02/04/2012 à 15h16

flicflac écrivait:
------------------
> feriez-vous le même traitement a un patient de 30 ans???
> problèmes de distance inter-implants

je vais tout de même répondre et j´espère ne pas relancer de débat......

Pour un patient de 30 ans, pourquoi pas.Mais on peut implanter seulement 6 à 8 pour une prothèse fixée.Et 4 implants pour une prothèse amovible dans la mandibula.
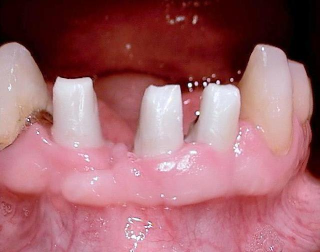
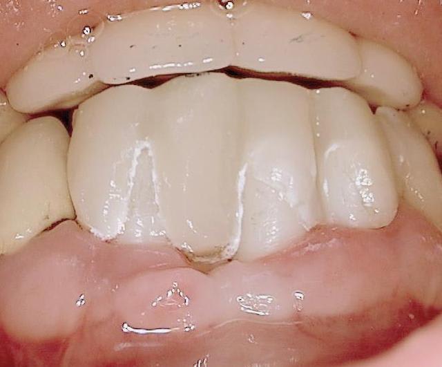
Pour la distance inter-implants c est une bonne remarque, le distance réglementaire est de 2/3mm en méthode conventionelle , ici c´est une variante du flapless en forant de manière à condenser l´os via un foret à 3 faces. En préservant le périoste on a remarqué que cette distance réglementaire pouvait être plus petite. C est une observation , qui marche (en flaples) dans ma pratique et dans celles de mes confrères Allemands, à ma connaissance pas enormément documenté . Ceci dit il y a un livre en francais qui en parle "implantologie flapless" de Byung Ho Choi et wilfried Engelke (Pr de Göttingen).
Sur le cas posté au début la dernière radio est après deux ans post OP. Ci dessous un autre exemple.
Les 12 premières photos sont un même cas avec implantation immédiate.
Le deuxième cas c est les photos 13 14 15 , (la photo 14 et 15 est après 5 ans)
Le dernier cas (3 dernieres photos), a été realisé il y a 5 ans il n y a pas de problème, je ne trouve pas les radios malheureusement je vais chercher encore un peu dans la journée.

Zwp 1 vocpub - Eugenol
Zwp 2 j1cl0r - Eugenol
Zwp 3 mzn34s - Eugenol
Zwp 4 m930qe - Eugenol
Zwp 5 avh46p - Eugenol
Zwp 6 ri2hfq - Eugenol
Zwp 7 vuhlki - Eugenol
Zwp 8 ebrfj0 - Eugenol
Zwp 9 iwgitl - Eugenol
Zwp 10 himxqt - Eugenol
Zwp 11 xhsvgk - Eugenol
Zwp 12 r58lqr - Eugenol
Bdiz 7 opg annelie pr  fpfx5h - Eugenol
Bdiz 8 opg annelie post nqebdb - Eugenol
Bdiz 9 annelie post nwoq2e - Eugenol
45 fdc8jt - Eugenol
58 icx03c - Eugenol
53 eofc0h - Eugenol

Imagesca1x6rbd kwb9r6 - Eugenol
Dr Nedjat

02/04/2012 à 16h52

pluton écrivait:
----------------

>
> bien sûr dr Nedjat
> je reste curieux de votre façon de pratiquer...
> je n'aime pas non plus les conflits, et peut être me suis-je emporté à
> tort...d'avance je vous présente mes excuses à vous et le drlorente si tel était
> le cas...
>
> j'espère que cela permettra de reprendre ces discussions fort intéressantes dans
> une ambiance plus sereine
>
> une rencontre au prochain ADF...pourquoi pas...

Danke :-) !!!! il n y aura donc pas de 3eme guerre mondiale!!! et c est tant mieux!

condrialement

pour feter cela je t envoie une vidéo d un allemand qui chante en francais (un peu près)!!! ici c est tres connu.... et tres philosophique ( ;-) )


Imagesca1x6rbd kwb9r6 - Eugenol
Dr Nedjat

02/04/2012 à 16h57

alapex écrivait:
----------------
> DrNedjat , je ne pense pas que tu aies besoin d'une quelconque autorisation pour
> répondre , poster et présenter des cas cliniques , du moment que la modération
> ne t'a rien dit personnellement .
> Personne ne conteste le fond , mais certain la forme (dont je) . Il n'y a pas de
> règle générale pour poster sur Eugénol , mais si plusieurs ont considéré que tu
> faisais un peu trop gourou vendant son produit affublé d'un rabatteur ,
> entrevois cela en te rappelant que l'action produit une réaction .
> Cordialement .

Danke! ;-) tout à fait d accord,
signé: gourou Nedjat !!! ;-) (je connaissais pas le mot , l expression m a bien fait rire, a l ADF je mettrai une peau de panthère, un septre, et un tête de lion pour le chapeau !!! ;-) )


Smile beach jgh0a1 - Eugenol
Céramik

02/04/2012 à 19h29

Sur la photo 14 (implants mandibulaires)

Quelle est la longueur des implants ?

J'aime bien ce cas, sauf peut-être pour une certaine proximité des implants, car même si l'os peux être ok, pas facile pour la prothèse et son entretient.



--
Céramik


Imagesca1x6rbd kwb9r6 - Eugenol
Dr Nedjat

02/04/2012 à 21h06

Céramik écrivait:
-----------------
> Sur la photo 14 (implants mandibulaires)
>
> Quelle est la longueur des implants ?
>
> J'aime bien ce cas, sauf peut-être pour une certaine proximité des implants, car
> même si l'os peux être ok, pas facile pour la prothèse et son entretient.

> Céramik

Bonjour, merci pour ta question:
46 : 10mm de longueur et 4,5mm de diamètre (parce que je n ai pas atteint la stabilité primaire avec le condenseur 3,0 la mesure 30Ncm)
45 et 36: 10mm de longueur et 3,5mm de diamètre
44, 42, 31 et 34 : 22 mm de longueur et 3,5 mm de diamètre
32 : 20 mm de longueur et 3,5 mm de diamètre

ton commentaire m a fait remarqué que je n´ ai pas mis la photo de la prothèse du cas! merci ! :-)
ci dessous

cordialement

Folie1 ofu0m9 - Eugenol
Folie2 z7edyr - Eugenol
Folie3 aeqhya - Eugenol
Folie4 q9egfx - Eugenol
Folie5 icxmia - Eugenol

Smile beach jgh0a1 - Eugenol
Céramik

02/04/2012 à 22h03

Merci bien.

C'est certain que 10 ancrages (8 implants et 2 dents) c'est suffisant contre un complet amovible ;-)

Quelle est l'utilité des implant de 20 et 22 mm ?
Je pensais que plus de 15 mm c'était inutile.

Si les dents ont des caries ou des lésions dans le future, c'est démontable facilement ?

Merci

--
Céramik


Imagesca1x6rbd kwb9r6 - Eugenol
Dr Nedjat

02/04/2012 à 22h43

Céramik écrivait:
-----------------
> Merci bien.
>
> C'est certain que 10 ancrages (8 implants et 2 dents) c'est suffisant contre un
> complet amovible ;-)
>
> Quelle est l'utilité des implant de 20 et 22 mm ?
> Je pensais que plus de 15 mm c'était inutile.
>
> Si les dents ont des caries ou des lésions dans le future, c'est démontable
> facilement ?
>
> Merci
>
> --
> Céramik

ah ah ! oui tu as raison à l´époque j appliquais ce que j avais appris pour résumer " plus c est long long meilleur c est ", mais oui une longueur de 12 ou 14 mm aurait suffit aussi pour les implantations immidiates ! :-)
pour le démontage c´est assez simple, le cement que j utilise simplement un " hirstenstab" (pardon je connais pas le mot en francais alors j ai mis une photo google en dessous) :-)
comment on procède en France ?

Hirtenstab sllhlt - Eugenol

maz

02/04/2012 à 22h52

autant niveau implants, je ne m'y connais pas assez pour dire quoi que ce soit.

autant niveau prothèse ...
quand on voit une aussi belle courbe de spee, on peut être sur que l'occlusion est bien réglée !


Imagesca1x6rbd kwb9r6 - Eugenol
Dr Nedjat

02/04/2012 à 22h59

maz écrivait:
-------------
> autant niveau implants, je ne m'y connais pas assez pour dire quoi que ce soit.
>
> autant niveau prothèse ...
> quand on voit une aussi belle courbe de spee, on peut être sur que l'occlusion
> est bien réglée !

bonsoir , excuse moi je n ai pas compris le sens du mot spee... tu peux m expliquer ou mettre en allemand (si c est possible) ? merci
cordialement