Cookie Consent byPrivacyPolicies.com23 implants, rehabilitation totale - Eugenol

23 implants, rehabilitation totale

Img 3657 cwjvqm - Eugenol
alapex

02/04/2012 à 23h03

http://i25.servimg.com/u/f25/15/65/20/89/la_cou12.jpg


01 ukhwbq - Eugenol
ʎqqoq

02/04/2012 à 23h05

:-)

Le montage des dents plan d occlusion proth tique et courbe de spee z7gv0e - Eugenol

01 ukhwbq - Eugenol
ʎqqoq

02/04/2012 à 23h06

Trop rapide alapex...


Imagesca1x6rbd kwb9r6 - Eugenol
Dr Nedjat

02/04/2012 à 23h07

alapex écrivait:
----------------
> http://i25.servimg.com/u/f25/15/65/20/89/la_cou12.jpg
ah! oui merci! :-)


Imagesca1x6rbd kwb9r6 - Eugenol
Dr Nedjat

02/04/2012 à 23h08

ʎqqoq écrivait:
---------------
> :-)

merci1 c était rapide aussi !!! comme le TGV!( toujours plus rapide que l ICE, mais les Allemands vont s ameliorer!)


Imagesca1x6rbd kwb9r6 - Eugenol
Dr Nedjat

02/04/2012 à 23h17

maz écrivait:
-------------
> autant niveau implants, je ne m'y connais pas assez pour dire quoi que ce soit.
>
> autant niveau prothèse ...
> quand on voit une aussi belle courbe de spee, on peut être sur que l'occlusion
> est bien réglée !

ahah! c´est vrai, il n y a pas du tout de courbe de spee!!!! :-)
Dans ce cas ici,La prothèse qu avait le patient avant l opération n avait pas de courbe non plus et le patient n avait pas de problème avec sa musculature ....alors comme c etait plus simple de reprendre l occlusion de la prothèse avant.....surtout qu on a remplacé seulement à la position 6.
"never change a winning team"

tu aurai changé toi ?
merci ! :-)


Smile beach jgh0a1 - Eugenol
Céramik

03/04/2012 à 00h03

maz écrivait:
-------------
> autant niveau implants, je ne m'y connais pas assez pour dire quoi que ce soit.
>
> autant niveau prothèse ...
> quand on voit une aussi belle courbe de spee, on peut être sur que l'occlusion
> est bien réglée !

Bah, la pano est déformée...
les photos aussi...

--
Céramik


flicflac

03/04/2012 à 05h01

scientifiquement l'espace osseux minimal entre les implants n'est-il pas dicté par l'espace biologique nécessaire autour de l'implant pour la conservation de l'os. Je ne comprend pas en quoi le flapless peu changer cette distance?


Gbazylo1 fvg1vg - Eugenol
Aron

03/04/2012 à 14h04

Personnellement, j'aurais bien changé l'occlusion: je trouve qu'il est dommage d'adapter un aussi beau travail à un appareil complet maxillaire dont le concept occlusal est particulier.

Imagine toi en train de faire un bridge complet sur implant en haut aussi par la suite: tu serais obligé de reproduire à nouveau ces erreurs de conception occlusales.



Pour répondre à tout le monde en général sur l'aspect commercial des interventions de DrNedjat et drlorente, ou des autres eugénoliens:

Bien évidemment, on peut considérer que drmarcus fait une publicité éhontée pour Leone, appuyée par Pluton, que Posit vend son guide, que certains vantent EasyImplant ou Anthogyr, que Marc Apap recommande tout un tas de choses, qu'Emma et quelques autres survendent le laser, le Cerec, que Ceramik se met lui même en avant et que sais-je encore...

La différence entre ceux ci et DrNedjat et drlorente, c'est que tous ceux que je viens de citer ne parlent pas que de ça, et viennent majoritairement sur Eugénol pour participer. C'est exactement ce que j'avais reproché à l'endo-exclusif-superstar de Montréal:

Si tu viens ici pour participer, bienvenue;

Mais si tu viens UNIQUEMENT pour vendre ta came, je préférerais personnellement que tu passes ton chemin.

J'espère que tout le monde sera d'accord avec ça, notamment -et surtout- mes confrères allemands, pour qui j'ai a priori le même respect que pour tous ici.


Imagesca1x6rbd kwb9r6 - Eugenol
Dr Nedjat

03/04/2012 à 15h58

flicflac écrivait:
------------------
> scientifiquement l'espace osseux minimal entre les implants n'est-il pas dicté
> par l'espace biologique nécessaire autour de l'implant pour la conservation de
> l'os. Je ne comprend pas en quoi le flapless peu changer cette distance?

oui c est le cas, en flapless c est différent, je pensais que ce n etait pas très documenté mais j ai quand même trouvé quelques trucs ci-joint.En particulier quelques articles récents sur le flapless et aussi le rôle important du micro gap pour les papilles.

Cordialement


Imagesca1x6rbd kwb9r6 - Eugenol
Dr Nedjat

03/04/2012 à 16h07

Aron écrivait:
--------------
> Personnellement, j'aurais bien changé l'occlusion: je trouve qu'il est dommage
> d'adapter un aussi beau travail à un appareil complet maxillaire dont le concept
> occlusal est particulier.
>
> Imagine toi en train de faire un bridge complet sur implant en haut aussi par la
> suite: tu serais obligé de reproduire à nouveau ces erreurs de conception
> occlusales.
>
>
>
> Pour répondre à tout le monde en général sur l'aspect commercial des
> interventions de DrNedjat et drlorente, ou des autres eugénoliens:
>
> Bien évidemment, on peut considérer que drmarcus fait une publicité éhontée pour
> Leone, appuyée par Pluton, que Posit vend son guide, que certains vantent
> EasyImplant ou Anthogyr, que Marc Apap recommande tout un tas de choses, qu'Emma
> et quelques autres survendent le laser, le Cerec, que Ceramik se met lui même en
> avant et que sais-je encore...
>
> La différence entre ceux ci et DrNedjat et drlorente, c'est que tous ceux que je
> viens de citer ne parlent pas que de ça, et viennent majoritairement sur Eugénol
> pour participer. C'est exactement ce que j'avais reproché à
> l'endo-exclusif-superstar de Montréal:
>
> Si tu viens ici pour participer, bienvenue;
>
> Mais si tu viens UNIQUEMENT pour vendre ta came, je préférerais personnellement
> que tu passes ton chemin.
>
> J'espère que tout le monde sera d'accord avec ça, notamment -et surtout- mes
> confrères allemands, pour qui j'ai a priori le même respect que pour tous ici.

Bonjour, tu as raison j ai fais un choix simple pour la prothèse!
Je n ai pas compris le mot came ( j´ai trouvé drogue mais ca doit pas être ca ) mais le sens général du ce que tu dis. Et c est la réalité que je me suis ciblé beaucoup sur les sujets que j ai fais parce que il y avait beaucoup des réactions et que ca me prends du temps pour faire un réponse clairE en Francais, J ai essayé quand même de participer "timidement" à un ou deux autres sujets mais j ai beaucoup lu des autres ( c est plus simple même si je ne comprends pas tout ) et j ai beaucoup aimé (le championnat de bouches pourrites m a fait rire). Mais c est sur que je vais essayer plus à l avenir et ca me train mon francais! :-)

(je suis désolé j´ai écris rapidement sans beaucoup réflechir, mais cee prends plus de temps pour moi d´écrire parfait!)


flicflac

04/04/2012 à 18h51

merci dr Nedjat pour la littérature, mais il s'agit de perte osseuse lors des 12 semaines de guérison.
Ce qui est impôrtant pour moi c'est 5 a 10 ans post mise en charge.
avez vous déja perdu implants suite èa perte osseuse si oui phopto du cas avant la perte osseuse.Merci


Imagesca1x6rbd kwb9r6 - Eugenol
Dr Nedjat

05/04/2012 à 13h30

flicflac écrivait:
------------------
> merci dr Nedjat pour la littérature, mais il s'agit de perte osseuse lors des 12
> semaines de guérison.
> Ce qui est impôrtant pour moi c'est 5 a 10 ans post mise en charge.
> avez vous déja perdu implants suite èa perte osseuse si oui phopto du cas avant
> la perte osseuse.Merci

Bonjour flicflac je suis désolé de ma réponse tardive, oui il est vrai que ce n est pas beaucoup documenté ... je serai un menteur de dire que que je n ai jamais perdu des implants, surtout entre la 2eme et 8eme semaine après l implantation.Un échec vraiment à cause de la perte osseuse et avec le même process cela est arrivé une fois avec une madame, où l´os était encore infecté ( avant la chirurgie),mais après l ´échec (c était à la position 35) on a pu laisser le bridge. Malheureusement je n ai pas toutes les photos ici à Mallorque sur mon PC portable. Ci dessous une photo après 10 ans 46 47 et les implants au maxillaire.
On peut surtout perdre des implants si on ne fait pas attention aux pièges (même si cela a l´air simple, cela est mieux d´avoir déjà fait du flap et des autres techniques avant), Dr Lorente a déjà mis les pièges qui existent...et si on fait attention on peut bien faire un peu près pour chaque cas! même à 100 ans!hihi ca c est le link pour le vidéo du cas pendant l´´implantation d´un confrère qui a opéré une dame de 100 ans!!! très mignonne!



2 swy2uh - Eugenol
23 opg komplett zcukva - Eugenol

Little shop of horrors brzqjx - Eugenol
chatondecarte

05/04/2012 à 13h50

Je veux pas jouer les rabats-joie mais mais ta prothèse maxillaire n'est pas du tout adaptés, y a des hiatus partout... Je ne parle pas de la passivité, heureusement que c'est pas du transvissé...

Elle est passée où la rigueur allemande??


Imagesca1x6rbd kwb9r6 - Eugenol
Dr Nedjat

05/04/2012 à 14h28

chatondecarte écrivait:
-----------------------
> Je veux pas jouer les rabats-joie mais mais ta prothèse maxillaire n'est pas du
> tout adaptés, y a des hiatus partout... Je ne parle pas de la passivité,
> heureusement que c'est pas du transvissé...
>
> Elle est passée où la rigueur allemande??

ahah! je suis le moins rigoureux de tout les allemands!!! ;-)

on m avait déjà posé la question sur un autre sujet mais ce n est pas ma réponse (hélas je ne m´exprime pas comme cela en Francais!!!) :

petite remarque peut être stupide (ou peut être pas)
> n'y aurait-il pas un intérêt a avoir plusieurs choix de hauteur des prep cap
> pour déplacer la limite prothétique en juxta /supra gingival histoire d'avoir
> une plateforme prothétique complète avec des limites bien définies, d'accès aisé
> pour retirer les excès de ciment de scellement?
> et accessoirement de réaliser ensuite une prothèse sans surcontour et/ou défaut
> d'ajustage...?
>
> enfin, c'est mon point de vue...

Il n'y a jamais de questions stupides. Merci à ceux qui s'interrogent ..donc les hauteurs de caps existent mais pour gérer l'enfoncement de l'implant et pour aussi proposer des différentes hauteur de pilier : autrement formulé en fonction de la position de la rainure de la gérer carrée on a deux millimètres de marge/niveau gingival selon le choix du prep cap. Cela permet de placer le prep cap lorsque l'implant a du être enfoncé plus profondément ou bien si la hauteur de gencive est plus importante que les deux millimètres classiques de l'espace biologique usuel.

Exp dans ce cas 4,5/10mm en 36 dans un site d'extraction récent placé en 12mm soit deux millimètres plus profondément j'ai scellé un prep cap angulé 5 degrés niveau 1/0 dont la limite s'arrête à la rainure de la tête carrée, pour 37 3,5/10mm placé en 10mm j'ai utilisé un prep cap 2/2mm. On prend vite l'habitude moi j'utilise que 2 modèles en zircone et 3 en titane..


flicflac

07/04/2012 à 16h18

attention exces de ciment distal 36....
Il semblerait que ces excès causerait d'emblé des péri-implantites selopn les paro.


Imagesca1x6rbd kwb9r6 - Eugenol
Dr Nedjat

07/04/2012 à 16h45

flicflac écrivait:
------------------
> attention exces de ciment distal 36....
> Il semblerait que ces excès causerait d'emblé des péri-implantites selopn les
> paro.

Bonjour flicflac,

Oui ca semble ....sur la opg radio tu peux voir la situation seulement deux semaines après l´implantation immédiate 34 jusqu´à 36 et 45, les derniers 2 photos montrent la même situation après un an ( où on a enlevé la supra construction pour un contrôle). Sur ce cas je voulais montrer la bonne régénération osseuse et de la gencive.

36 r  post op e5ohkz - Eugenol
25 l0pphn - Eugenol
23 opg komplett ypnjdh - Eugenol
22 3 - Eugenol

S2y2o1v7q53ws4r5wy6ou8czrpom - Eugenol
pxav

07/04/2012 à 17h40

Si ma mémoire est bonne il y a un post "essai photo pour les nuls", tu devrais peut etre plutôt poster là bas...

--
xbk
"Si tous ceux qui croient avoir raison n'avaient pas tort, la vérité ne serait pas loin" Dac Pierre


Imagesca1x6rbd kwb9r6 - Eugenol
Dr Nedjat

07/04/2012 à 18h16

pxav écrivait:
--------------
> Si ma mémoire est bonne il y a un post "essai photo pour les nuls", tu devrais
> peut etre plutôt poster là bas...
>
> --
> xbk
> "Si tous ceux qui croient avoir raison n'avaient pas tort, la vérité ne
> serait pas loin" Dac Pierre

Bonjour pxav,

Si j' ai compris bien tu trouves les photos nulles ? Il est vrai que je ne suis pas photographe :-) quelles sont tes remarques et conseils?

Merci


flicflac

07/04/2012 à 18h54

le pilier distaL, EST-CE DE LA ZIRCONE SUR LE PILIER CIMENTÉ?


Imagesca1x6rbd kwb9r6 - Eugenol
Dr Nedjat

07/04/2012 à 19h10

flicflac écrivait:
------------------
> le pilier distaL, EST-CE DE LA ZIRCONE SUR LE PILIER CIMENTÉ?

Oui,c´est un Prep cap zircone , que je cémente juste après l´implantation immédiate pour mieux former la gencive. Les implants monoblocs ont étés implantés entre 40 et 60 Ncm . Les photos 6 et 8 on voit les prep cap juste après l´implantation immédiate ce sont des sortes de "couronnes" pré fabriquées.
:-)

2 tutdox - Eugenol
4 e35w0d - Eugenol
5 pa6ieg - Eugenol
8 zbgonh - Eugenol
9 am1kej - Eugenol
11 ryekvd - Eugenol
27 creeyq - Eugenol
22  4 - Eugenol
3 uhccix - Eugenol
6 ihuhpk - Eugenol
21 gwpcjq - Eugenol
22 3 - Eugenol

Smile beach jgh0a1 - Eugenol
Céramik

07/04/2012 à 19h25

Bonjour,

Les "pred zircone" sont taillés en bouche ? C'est pas difficile à tailler la zircone ? et pour les débris de taille dans les sites d'exo, pas de problème ?

L'axe de la 45 me semble pas très conventionnel...


Merci


--
Céramik


Imagesca1x6rbd kwb9r6 - Eugenol
Dr Nedjat

07/04/2012 à 19h56

Céramik écrivait:
-----------------
> Bonjour,
>
> Les "pred zircone" sont taillés en bouche ? C'est pas difficile à tailler la
> zircone ? et pour les débris de taille dans les sites d'exo, pas de problème ?
>
> L'axe de la 45 me semble pas très conventionnel...
>
>
> Merci
>
>
> --
> Céramik


Bonjour Ceramik,

Oui , tu as raison pour la 45, en fait quand j´ai enlevé la 45 j´ai choisi l´axe comme ca ( dans l´os dur et en bon santé) parce que c´etait ici que je pouvais avoir la stabilité ( pour cet implant à 50 Ncm.
Oui les prep caps c´est possible de le faire en bouche , ou alors si il y a la forme qu´il faut au départ on les cémente juste (il y a une photo) , et le cement ne va pas en dessous du prep cap .
Avec des bons forets et de l´eau ( des diamants on dit je crois) c´est très facile à preparer. Avec une bonne aspiration les petits bouts partent .

Le zircone je trouve personnellement que la gencive aime beaucoup.... et toi quel est ton avis ?(j aimerai savoir ce que on pense du zircone de manière générale en France et toi même)

Très cordialement


Imagesca1x6rbd kwb9r6 - Eugenol
Dr Nedjat

07/04/2012 à 19h56

Céramik écrivait:
-----------------
> Bonjour,
>
> Les "pred zircone" sont taillés en bouche ? C'est pas difficile à tailler la
> zircone ? et pour les débris de taille dans les sites d'exo, pas de problème ?
>
> L'axe de la 45 me semble pas très conventionnel...
>
>
> Merci
>
>
> --
> Céramik


Bonjour Ceramik,

Oui , tu as raison pour la 45, en fait quand j´ai enlevé la 45 j´ai choisi l´axe comme ca ( dans l´os dur et en bon santé) parce que c´etait ici que je pouvais avoir la stabilité ( pour cet implant à 50 Ncm.
Oui les prep caps c´est possible de le faire en bouche , ou alors si il y a la forme qu´il faut au départ on les cémente juste (il y a une photo) , et le cement ne va pas en dessous du prep cap .
Avec des bons forets et de l´eau ( des diamants on dit je crois) c´est très facile à preparer. Avec une bonne aspiration les petits bouts partent .

Le zircone je trouve personnellement que la gencive aime beaucoup.... et toi quel est ton avis ?(j aimerai savoir ce que on pense du zircone de manière générale en France et toi même)

Très cordialement


Img 0128 2 2 sriwku - Eugenol
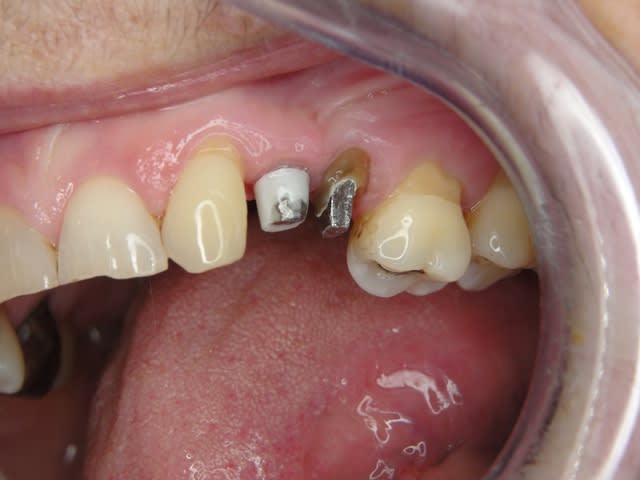
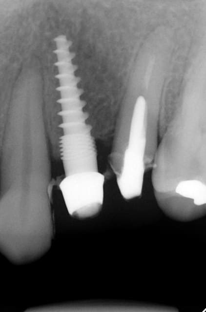
drlorente

08/04/2012 à 23h25

Bonjour dr Nedjat, modeste participation à votre sujet.
Voilà une patiente que je revois à deux ans apres la pose d'un monobloc Classic line 3,5/12mm et prep cap zircone 12 degres 2/2 en 24.
La dent 25 était une couronne massive (dent à tenon type richmond) que j'ai taillé en inlay core.
Pour répondre à Céramik, oui la zircone se taille en bouche ( fraise Komet spécifique recommandées verte et blanche..mais tout diamant fait l'affaire). A la pose des céramo metalliques on observe la prep cap zircone au niveau du joint de
la couronne.
Radios 1,2,3 photo 1= jour de la pose de l'implant.
radio 4 photo 2 et 3= 8 semaines post pose de l'implant, ceramiques scéllées.
Radio 6, photo 4 et 5 controle à 24 mois.
Deux ans plus tard, la gencive a recouvert la zircone et on observe à la radio un gain osseux au niveau des micros spires.

2685 10 jvmxev - Eugenol
2685 14 yaiesy - Eugenol
2685 17 klnuec - Eugenol
2685 21 semg0e - Eugenol
2685 22 ou9is6 - Eugenol
2685 9 tuybsw - Eugenol
2685 11 w2dc25 - Eugenol
2685 12 oikxdv - Eugenol
2685 18 hgyj8p - Eugenol
2685 16 j6pmn8 - Eugenol
2685 23 uafsaj - Eugenol