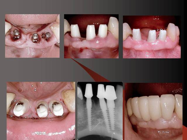
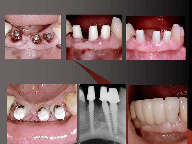
Cookie Consent byPrivacyPolicies.com23 implants, rehabilitation totale - Eugenol

23 implants, rehabilitation totale

Smile beach jgh0a1 - Eugenol
Céramik

09/04/2012 à 08h58


J'utilise la zircone depuis 7-8 ans,et je trouve que oui, la gencive est belle autour.

Par contre dans le dernier cas, je ne trouve pas que la gencive est belle, ell semble plutot inflammée...je crois que l'espace biologique n'est pas respecté.


Je maintient que meme avec des diaments, la taille du zircone n'est pas aisée.

Je trouve les implants sympas, mais pastrop l'aspect prothétique, mais c'est juste mon impression.


--
Céramik


Blason dql7mj - Eugenol
growler

09/04/2012 à 10h27

je trouve le concept assez intéressant (un peu il est vrai comme le twin-kone de tekka), cependant en flapless il n'est pas aisé de vérifier visuellement si l'implant est assez enfoui (au moins toutes les micro-spires)
Quelle est la distance entre le sommet des micro-spires et la base des piliers que l'on scelle ?
Comme céramik le dit, tailler de la zircone...quelle galère!
je suppose que lors du scellement du pilier sur le cône le ciment ne fuse pas à sa base puisqu'il y a un event en son sommet?


Imagesca1x6rbd kwb9r6 - Eugenol
Dr Nedjat

09/04/2012 à 12h52

Céramik écrivait:
-----------------

bonjour ceramik,

J´ai mis des photos pour mieux voir....
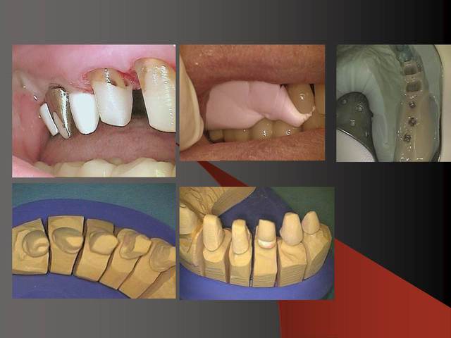
Merci pour ta remarque.C´est vrai que cela est mieux si on ne prérare pas ou presque pas les prep cap à cause des shippings . Normalement je ne les prépare pas, je choisis une forme (avec angle et longueur diiférents) selon le cas et ensuite je les cémente.
Sur la photo 5 on voit que je prépare surtout le titane de l´implant, le titane ne donne pas beaucoup du chaud quand il est préparé avec l´eau (pas comme aluminium par exemple).
:-)
Cordialement

je vais ajouter des autres photos ( c´est mieux pour moi de expliquer avec des photos... :-))

Folie1 uwsgzf - Eugenol
Folie2 akc4sj - Eugenol
Folie3 mwourm - Eugenol
Folie5 qivkbv - Eugenol
Folie6 truaxx - Eugenol
Folie8 hjlvnw - Eugenol
Folie10 utesdw - Eugenol
Folie4 riqq6f - Eugenol
Folie7 qmnmus - Eugenol
Folie9 cdkskl - Eugenol
Folie11 zwyhxr - Eugenol
Folie12 rnzt5w - Eugenol
Folie13 lkhbxj - Eugenol
Folie14 eclp23 - Eugenol
Folie15 fwul1m - Eugenol
Folie16 vymmyd - Eugenol
Folie17 mprw9v - Eugenol
Folie18 pft4pt - Eugenol
Folie19 j6eogf - Eugenol

Imagesca1x6rbd kwb9r6 - Eugenol
Dr Nedjat

09/04/2012 à 12h58

Le dernier photo cela montre le système des Prep Caps :
il y a deux point de réferences en rouge c´est où finit la prep caps et en jaune où commence la prep caps (à la base) .

Folie2 fthydz - Eugenol
Folie3 yrhh5z - Eugenol
Folie8 xenvg2 - Eugenol
Folie9 vkjlut - Eugenol
Folie1 pydmam - Eugenol
Folie5 omp5ob - Eugenol
Folie10 u0bpbj - Eugenol
Folie11 ggybtv - Eugenol
Folie12 t8ozzs - Eugenol
Folie14 clh5o2 - Eugenol
Folie17 vymxyu - Eugenol
Folie18 gzd0ce - Eugenol
Folie19 rthh0a - Eugenol
Folie20 cqux99 - Eugenol
Folie4 vhlutj - Eugenol
Folie6 o3elyj - Eugenol
Folie7 fqvjxx - Eugenol
Folie13 ax8tjc - Eugenol
Folie15 ro7rgd - Eugenol
Folie16 pqwudi - Eugenol

Imagesca1x6rbd kwb9r6 - Eugenol
Dr Nedjat

09/04/2012 à 13h29

growler écrivait:
-----------------
> je trouve le concept assez intéressant (un peu il est vrai comme le twin-kone de
> tekka), cependant en flapless il n'est pas aisé de vérifier visuellement si
> l'implant est assez enfoui (au moins toutes les micro-spires)
> Quelle est la distance entre le sommet des micro-spires et la base des piliers
> que l'on scelle ?
> Comme céramik le dit, tailler de la zircone...quelle galère!
> je suppose que lors du scellement du pilier sur le cône le ciment ne fuse pas à
> sa base puisqu'il y a un event en son sommet?

Bonjour Growler,
Merci pour tes questions. Si tu as une gencive "normale" (2-3 mm) ( avec le foret on peut savoir grâce aux mesures ) tu arrêtes à implanter si le truc en métal (je ne sais pas en francais en allemand Einbringhilfe) arrive à la gencive. Si la gencive fait plus de 3mm tu pousses un peu plus (le début de la fenêtre du Einbringhilfe est à un millimètre , la fin de la fenêtre = 3mm ) ...on vérifie avec une petite radio (pas OPG) .



Le surplus de la colle est évacué par le sommet ( c´est bien cela la question ?)
La base du pilier , tu veux dire du prep cap sur le monobloc ? ( tu veux savoir où est la fin de la couronne ? )
:-)

1 jju1uv - Eugenol
2 rlhg1y - Eugenol
5 rjnnug - Eugenol
3 nu7da1 - Eugenol
4 ppvb3f - Eugenol

jp67

09/04/2012 à 20h54

bon comme on dit il y que les c...qui changent pas d'avis...et même si j'ai un peu titillé ( c'était pas méchant je trouvais juste ça décalé de faire une implantation dans un avion... :-) ). je trouve que le système est intéressant , si j'ai bien suivi les implants tournent autour de 70 euros ,super. J'ai juste une question par rapport aux forets c'est quand même emmerdant de racheter une trousse...peut-on utiliser d'autres forets ou exclusivement des 3 faces ? et surtout ces forets resistent ils à du D1 ?

Merci


Smile beach jgh0a1 - Eugenol
Céramik

09/04/2012 à 23h02

Dr Nedjat écrivait:
-------------------

Merci pour les nombreuse photo.

Photo 2 du dernier cas, je crains beaucoup pour la plaque d'os en vestibulaire, même en flapless.


--
Céramik


Imagesca1x6rbd kwb9r6 - Eugenol
Dr Nedjat

10/04/2012 à 00h33

jp67 écrivait:
--------------
> bon comme on dit il y que les c...qui changent pas d'avis...et même si j'ai un
> peu titillé ( c'était pas méchant je trouvais juste ça décalé de faire une
> implantation dans un avion... :-) ). je trouve que le système est intéressant ,
> si j'ai bien suivi les implants tournent autour de 70 euros ,super. J'ai juste
> une question par rapport aux forets c'est quand même emmerdant de racheter une
> trousse...peut-on utiliser d'autres forets ou exclusivement des 3 faces ? et
> surtout ces forets resistent ils à du D1 ?
>
> Merci

Bonjour Jp67,

Merci pour tes questions.Pour les forets on utilise en premier toujours des forets 3 faces car ils condensent l´os et avec les mesures on peut mesurer la gencive (flapless) et l´os, et ensuite des forets en hélice seulement si c´est l´os D1 et pour les implants deux pièces en D1 et D2 (mais dans tout les cas on commence toujours avec un foret jaune 3 faces).Les forets viennent de Komet et resistent au D1.
Pour la trousse et prothétique on reçoit gratuitement pour 12 mois pour ne pas être obliger d´invester beaucoup et pouvoir faire une idée de comment ca marche.
:-)


Imagesca1x6rbd kwb9r6 - Eugenol
Dr Nedjat

10/04/2012 à 00h33

jp67 écrivait:
--------------
> bon comme on dit il y que les c...qui changent pas d'avis...et même si j'ai un
> peu titillé ( c'était pas méchant je trouvais juste ça décalé de faire une
> implantation dans un avion... :-) ). je trouve que le système est intéressant ,
> si j'ai bien suivi les implants tournent autour de 70 euros ,super. J'ai juste
> une question par rapport aux forets c'est quand même emmerdant de racheter une
> trousse...peut-on utiliser d'autres forets ou exclusivement des 3 faces ? et
> surtout ces forets resistent ils à du D1 ?
>
> Merci

Bonjour Jp67,

Merci pour tes questions.Pour les forets on utilise en premier toujours des forets 3 faces car ils condensent l´os et avec les mesures on peut mesurer la gencive (flapless) et l´os, et ensuite des forets en hélice seulement si c´est l´os D1 et pour les implants deux pièces en D1 et D2 (mais dans tout les cas on commence toujours avec un foret jaune 3 faces).Les forets viennent de Komet et resistent au D1.
Pour la trousse et prothétique on reçoit gratuitement pour 12 mois pour ne pas être obliger d´invester beaucoup et pouvoir faire une idée de comment ca marche.
:-)


Imagesca1x6rbd kwb9r6 - Eugenol
Dr Nedjat

10/04/2012 à 00h42

Céramik écrivait:
-----------------
> Dr Nedjat écrivait:
> -------------------
>
> Merci pour les nombreuse photo.
>
> Photo 2 du dernier cas, je crains beaucoup pour la plaque d'os en vestibulaire,
> même en flapless.
>
>
> --
> Céramik

:-) oui moi aussi j´ai eu peur ;-)
Plus sérieusement ,si la patiente avait eu un gummy smile alors je aurai rajouté de l´os. Mais ca fonctionne comme ca (en flapless + condensation )dans le temps. Je vais regarder pour retrouver la radio contrôle du cas.
:-)
en relation avec le zircone que l´on parlait je voulais savoir quel type de zircone tu travailles (axial pressé ou isostatique pressé) ?
Merci


Smile beach jgh0a1 - Eugenol
Céramik

10/04/2012 à 06h46

...


Smile beach jgh0a1 - Eugenol
Céramik

10/04/2012 à 06h46

Pas compris ta question sur la zircone.
Je place des couronnes, des bridges et des pilliers implantaires en zircone.
C'est donc des blocs usinés et ensuite frittés (cuit).

Pour la paroie osseuse en vestibulaire de l'implant, le fait qu'il y ai ou pas un gummy smile me change pas grand chose, l'os est selon moi trop mince pour être stable dans le temps.



--
Céramik


Imagesca1x6rbd kwb9r6 - Eugenol
Dr Nedjat

10/04/2012 à 11h51

Céramik écrivait:
-----------------
> Pas compris ta question sur la zircone.
> Je place des couronnes, des bridges et des pilliers implantaires en zircone.
> C'est donc des blocs usinés et ensuite frittés (cuit).
>
> Pour la paroie osseuse en vestibulaire de l'implant, le fait qu'il y ai ou pas
> un gummy smile me change pas grand chose, l'os est selon moi trop mince pour
> être stable dans le temps.

> --
> Céramik

Bonjour Ceramik,

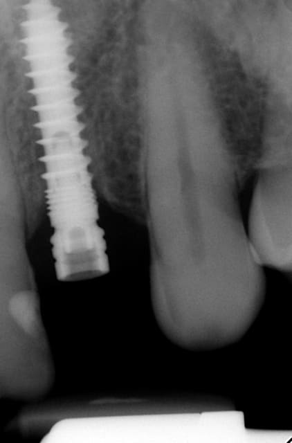
Oui sans condenser juste en flapless ca serai moins évident. Pour moi-même en condensant j´ai besoin de 1 mm buccal minimum(plus il y a mieux c´est) mais dans ma pratique et celles mes confrères ca fonctionne et cela dure dans le temps depuis 16 ans.
En dessous il y a des photos, dans une on voit (troisième) qu il n y a pas de resorption de l´os après 14 ans, ce que l´on voit c´est l´os très fin condensé sur l´implant.
Le premier photo c´est une erreur parce que le périoste est blessé et les foret "trop" grands.

Pour la zircone les laboratoires ont le choix entre des rounds isostatiques ou axial pressés, pour moi même je préfère le isostatique car il y a beaucoup moins de shipping :-)

Cordialement

Folie2 v6oijh - Eugenol
Folie3 pmtffl - Eugenol
Folie5 ybpq9g - Eugenol
Folie6 gyvgz6 - Eugenol
Folie9 gseta8 - Eugenol
Folie1 kjdsxg - Eugenol
Folie4 f0mruc - Eugenol
Folie7 ckloyi - Eugenol
Folie8 ikzq19 - Eugenol

Imagesca1x6rbd kwb9r6 - Eugenol
Dr Nedjat

11/04/2012 à 00h00

De retour en allemagne! Alors j ai des vidéos pour la taille du titane/ zircone mais je ne peux pas les modifier comme sur les power point pour enlever les noms...
Sur la video en bas au milieu on voit le prép cap la fin du cas pour la prothétique c est la page 8 la 6 eme video... Il doit y en avoir des autres sur comment on taille mais sur les 200 je n arrive pas à trouver.....
http://vimeo.com/user4827536/videos/page:12/sort:newest

Bon soirée à tous


Fresh watermelon 640x562 udulqz - Eugenol
gulguch

22/04/2012 à 12h29

Hello Drs Netjat et Lorente,
j'ai regardé vos vidéos sur Vimeo, il y a une chose que je ne saisis pas: l'implant Revolution en 2 pièces est mis à l'aide de la vis transgingivale; étant donné les sérieux couples de 70 N que vous appliquez, ne vous arrive t'il pas d'avoir une fracture ou un blocage de la vis?


Img 0128 2 2 sriwku - Eugenol
drlorente

24/04/2012 à 01h20

Bonsoir,
je t'apporte une réponse d'utilisateur, pour les infos techniques je laisse le Dr Nedjat intervenir.
L'implant deux pièces prévu pour la chirurgie MIMI (donc trans gingivale en forage réduit et à couple d'insertion élevé) est conçu et fabriqué comme un monobloc démontable.
Je suis pas calé en mécanique et je vais pas reprendre les caractéristiques de l'implant mais le concept original est qu'il se place comme un implant monobloc sans risque pour la fixture car la force de serrage est appliquée à la partie démontable qui n'est pas un porte implant classique : Le "shuttle" est inséré en usine et serré selon une adaptation parfaite grâce à un hexa adapter de moins de 10 degrés prévu en principe ....par les ingénieurs ...pour permettre un hiatus mécanique inférieur à 6 microns....J'ai personnellement pas mesuré...
C'est le concept d'un implant monobloc démontable..A ce sujet avec des monoblocs oui j'ai déjà tordu (bêtement) la tête carrée ( voir mon post chirurgie MIMI et échecs) pas de problèmes avec le Shuttle..:)
Par contre, jusqu'à présent, le démontage avec une pince n'était parfois pas facile, mais le système évolue et un outil (vissé) permet aujourd'hui de désolidariser le shuttle de l'implant aisément.
Photos d'un cas d'extraction implantation immédiate, stabilité primaire (de mémoire) assez élevée.. 60/70 N ..démontage du gingiva clips et du shuttle, pilier serré 40N, couronne procera

7554 2 bfi6tr - Eugenol
7554 15 nhpvbf - Eugenol
7554 9 atnpwk - Eugenol
7554 18 fmrcvi - Eugenol
7554 22 wgf0mz - Eugenol
7554 31 irgnf9 - Eugenol
7554 32 omivyh - Eugenol
7554 33 ckmoqb - Eugenol
7554 34 j9qlun - Eugenol
7554 35 o84xeb - Eugenol
7554 28 kyz2oh - Eugenol

Photo pluton1b h9n4ea - Eugenol
pluton

24/04/2012 à 01h50

drlorente écrivait:
-------------------
> Bonsoir,
> je t'apporte une réponse d'utilisateur, pour les infos techniques je laisse le
> Dr Nedjat intervenir.
> L'implant deux pièces prévu pour la chirurgie MIMI (donc trans gingivale en
> forage réduit et à couple d'insertion élevé) est conçu et fabriqué comme un
> monobloc démontable.
> Je suis pas calé en mécanique et je vais pas reprendre les caractéristiques de
> l'implant mais le concept original est qu'il se place comme un implant monobloc
> sans risque pour la fixture car la force de serrage est appliquée à la partie
> démontable qui n'est pas un porte implant classique : Le "shuttle" est inséré en
> usine et serré selon une adaptation parfaite grâce à un hexa adapter de moins de
> 10 degrés prévu en principe ....par les ingénieurs ...pour permettre un hiatus
> mécanique inférieur à 6 microns....J'ai personnellement pas mesuré...

si tu as du mal à dés-insérer ton shuttle (porte implant) vissé en usine (comme n'importe quel implant muni d'un porte implant) c'est que tu as pu avec ton vissage au mieux déplacer/mater l'hex antirotationnel dans son logement, au pire déformer celui-çi ou celui de l'implant...
chez zimmer par ex, le porte implant est en aluminium et prévu pour se déformer/casser avant d'atteindre la limite élastique de l'hex de l'implant...eux aussi ont prévu un extracteur de pilier...

dire que cet implant en 2 parties est conçu pour être comme un implant monobloc est complètement farfelu, pour ne pas dire une grosse connerie...
si le shuttle est du même alliage que l'implant, le risque de déformation permanente des 2 pièces (porte implant et implant) est importante...
enfin bon, c'est juste ma vision "mécaniste" de la chose...


Smile beach jgh0a1 - Eugenol
Céramik

24/04/2012 à 04h20

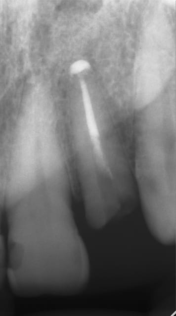
Merci pour le cas, bien fait. Belle présentation photo.
Assez classique d'un implant 2 pièces.
Le contour gingival est net, belle guérison, c'est à combien de semaine ?

Je vois un peu de ciment sur la radio finale, attention, c'est pas bien pour les tissus.



--
Céramik


Imagesca1x6rbd kwb9r6 - Eugenol
Dr Nedjat

24/04/2012 à 13h28

pluton écrivait:
----------------
> dire que cet implant en 2 parties est conçu pour être comme un implant monobloc
> est complètement farfelu, pour ne pas dire une grosse connerie...

Hihi bonjour Pluton,

Merci pour le "grosse connerie" . Je n ai pas beaucoup du temps mais je peux dire que il n y a pas de deformations sur le deux pièces, avant que l´on fasse un outil spécial pour retirer le shuttle , cela était moins facile de le retirer car le micro gap est de 0,6 micromètres (comme astra et ankylos)...Le shuttle n est pas de la même composition que l implant. Jusque maintenant dans les milliers de poses en allemagne il n y a pas eu ces problèmes de déformations mais peut-etre que les 2800 confrères sont bêtes. Mais cela ne sert à rien de le dire en tout cas pas moi même.
Tu connais aussi Holger Zipprich, moi aussi , il connait bien notre système et je connais son opinion , j´étais aussi avec lui la semaine dernière il a fait des tests et il termine dans un mois il a confirmé son opinion.Alors peut-être que si tu as des doutes et que moi on ne me croit pas, il faut aller le rencontrer , ou le téléphoner pour lui dire ton point de vue... peut etre qu il est moins intelligent que toi.... :-)
Le meilleur c est aussi de voir une chirurgie ou d en faire une ....


Photo pluton1b h9n4ea - Eugenol
pluton

24/04/2012 à 15h12

que tu ais de bon résultats au niveau du gap avec une connexion conique...c'est la moindre des choses...
de là à comparer l'implant avec son moignon avec un implant monobloc...
tien, quand tu le verras, demandes lui de t'expliquer pourquoi les vis d'ankylos peuvent casser, se dévisser et quelles sont les différences de comportement entre implant à prothèse vissée/ implant à prothèse impactée (leone, anthogyr 2.8, bicon)/implant monobloc...

je ne me crois pas plus intelligent que les autres, mais la mécanique, çà m'intéresse...;-))


Imagesca1x6rbd kwb9r6 - Eugenol
Dr Nedjat

24/04/2012 à 16h20

pluton écrivait:
----------------

> de là à comparer l'implant avec son moignon avec un implant monobloc...
> tien, quand tu le verras, demandes lui de t'expliquer pourquoi les vis d'ankylos
> peuvent casser, se dévisser et quelles sont les différences de comportement
> entre implant à prothèse vissée/ implant à prothèse impactée (leone, anthogyr
> 2.8, bicon)/implant monobloc...
>

quelle est ta source sur les problèmes de vis avec ankylos? Demander à zipprich cela c est comme lui demander de me mettre un claque!sur la vidéo de zipprich et ses résultats il mentionne bien que ankylos fait partie des meilleurs résultats .... Il faut parler avec lui directement parce que là je ne peux rien faire vraiment... Alors au lieu de débattre des choses bizarres sur ankylos (ou sur nous)je te propose une rencontre toi lui et moi en mai à dresden ainsi qu avec le pr romanos georgios , il pourra y expliquer lui même ! Ç est ok pour toi?!c est une proposition sérieuse tu peux venir , et je préfère te rencontrer en réel ! :-)c est mieux que de debattre bleu ou rouge sans se voir
pour ankylos avant champions j en ai utilisé beaucoup sans problème , j ai juste voulu proposer quelque chose de moins cher avec une technique chirurgicale differente
Notre unité c est le patient :-)


Img 0128 2 2 sriwku - Eugenol
drlorente

24/04/2012 à 16h40

Céramik écrivait:
-----------------
> Merci pour le cas, bien fait. Belle présentation photo.
> Assez classique d'un implant 2 pièces.
> Le contour gingival est net, belle guérison, c'est à combien de semaine ?
>
> Je vois un peu de ciment sur la radio finale, attention, c'est pas bien pour les
> tissus.
>
>
>
> --
> Céramik

Oui je sais pour le ciment... j'utilise d'ailleur ce cas et cette radio dans une présentation pour mettre en garde sur le risque au moment du scellement de voir du ciment fuser sous la limite prothétique vers la col de l'implant..galère à éliminer...Personnellement je préfere plutot utiliser des piliers à usiner (maintenant disponibles voir shop online pour photos) au lieu des strandarts meme si il y a deux hauteurs/col implantaire en 1 et 3mm aujourd,hui disponibles..A l'époque de ce cas il n'y avait que les 1 mm et la limite est un "poil" trop profonde.
La pose de la couron nec'est faite 8 semaines apres l'extraction implantation immédiate, la particularité de ce systeme permet de ne pas démonter le shuttle ni la gingivaclip pour l'empreinte..je pense que ca aide bien à la qualité gingivale...radio controle ci jointe


Img 0128 2 2 sriwku - Eugenol
drlorente

24/04/2012 à 16h44

oups merci windows

7554 38 wk1g6g - Eugenol

Fresh watermelon 640x562 udulqz - Eugenol
gulguch

24/04/2012 à 21h48

Dr Nedjat écrivait:
-------------------
> pluton écrivait:
> ----------------
>
> > de là à comparer l'implant avec son moignon avec un implant monobloc...
> > tien, quand tu le verras, demandes lui de t'expliquer pourquoi les vis
> d'ankylos
> > peuvent casser, se dévisser et quelles sont les différences de comportement
> > entre implant à prothèse vissée/ implant à prothèse impactée (leone, anthogyr
> > 2.8, bicon)/implant monobloc...
> >
>
> quelle est ta source sur les problèmes de vis avec ankylos? Demander à zipprich
> cela c est comme lui demander de me mettre un claque!sur la vidéo de zipprich et
> ses résultats il mentionne bien que ankylos fait partie des meilleurs résultats
> .... Il faut parler avec lui directement parce que là je ne peux rien faire
> vraiment... Alors au lieu de débattre des choses bizarres sur ankylos (ou sur
> nous)je te propose une rencontre toi lui et moi en mai à dresden ainsi qu avec
> le pr romanos georgios , il pourra y expliquer lui même ! Ç est ok pour toi?!c
> est une proposition sérieuse tu peux venir , et je préfère te rencontrer en réel
> ! :-)c est mieux que de debattre bleu ou rouge sans se voir
> pour ankylos avant champions j en ai utilisé beaucoup sans problème , j ai juste
> voulu proposer quelque chose de moins cher avec une technique chirurgicale
> differente
> Notre unité c est le patient :-)

Je veux pas me méler mais le col de pilier d'Ankylos est beaucoup plus étroit, la on est plutot dans les dimensions du Nobelactive 3,5. Qui n'a pas la réputation de casser, amha.


Imagesca1x6rbd kwb9r6 - Eugenol
Dr Nedjat

29/05/2012 à 20h43

bonjour, voilà des nouvelles !
zipprich ( mécanique), dirk dudeck ( etats de surface), et Pr romanos georgios ( spé.immediate loading) étaient présents , chacun avec des sujets très intéressantes.

5098 1  vdb5ig - Eugenol
5099 1  nzokcl - Eugenol
Img 4549 wtlphq - Eugenol
5079 1  me3gag - Eugenol
5102 1  m5xspy - Eugenol

1...45