Cookie Consent byPrivacyPolicies.com15 mn endo molaire - Eugenol

15 mn endo molaire

Ico v for vendetta08 jzhpep - Eugenol
o⅁ pnɐuɹ∀

28/04/2012 à 01h40

Chicot c'est le versant dentaire de Spizza 30, votre endo en 30 minutes.

--
Quand Eugénol a exclu Narik, Eugénol a perdu un peu plus que Narik.


Capture d  cran 2015 03 12 12.28 - Eugenol
chicot29

28/04/2012 à 01h58

J'ai des progrès à faire. Il y en a qui livrent en 15 mn.
Maintenant si tu bosses toujours avec tes limes k à la main et ton film argentique c'est sur que tu ne peux pas comprendre.
Au fait j'ai passé le saf 3 mn dans chaque canal , j'aurais pas du ? je dis ça histoire de gagner du temps !))))


rene

28/04/2012 à 09h07

chicot, tu obtures avec quoi et comment?


Capture d  cran 2015 03 12 12.28 - Eugenol
chicot29

28/04/2012 à 13h07

Ah + scellement mono-cone. Tu sais comme à l'époque des limes k. )


Ico v for vendetta08 jzhpep - Eugenol
o⅁ pnɐuɹ∀

28/04/2012 à 13h14

La lime K, c'est le nouveau truc qui remplace le tire-nerf ?

--
Quand Eugénol a exclu Narik, Eugénol a perdu un peu plus que Narik.


uɹöɾq

28/04/2012 à 13h51

chicot29 écrivait:
------------------
> Ah + scellement mono-cone. Tu sais comme à l'époque des limes k. )

Maintenant tu passes aux condensors, pour prendre l'empreinte dans la séance, sinon tu perds un max de temps! ;-)


mat2t

28/04/2012 à 16h31

Merci en tous as de m'avoir fait découvrir les joies du largo pour l'endo.
J'en casse beaucoup , mais le temps de travail par racine est vraiment accéléré.


Marque a3 orange fyvhyq - Eugenol
Marc Apap

28/04/2012 à 16h45

mat2t écrivait:
---------------
> Merci en tous as de m'avoir fait découvrir les joies du largo pour l'endo.
> J'en casse beaucoup , mais le temps de travail par racine est vraiment accéléré.

Et le pourcentage de perforations latérales, notamment sur les molaires inf, également.


01 ukhwbq - Eugenol
ʎqqoq

28/04/2012 à 16h55

Je me sens plus à l'aise avec les Gates, n°3 à l'entrée, n°2 dans la partie rectiligne du canal. Ça fait gagner beaucoup de temps également, et ça sécurise beaucoup pour le Protaper.
A priori, ça doit être sans dégâts collatéraux (ni latéraux ^^), parce que le tri auto ne s'affole pas à mi hauteur.
Enfin, je touche du bois...
Les Largo, on nous les faisait utiliser à la fac, je n'en ai plus retouché depuis.


Marque a3 orange fyvhyq - Eugenol
Marc Apap

28/04/2012 à 17h43

Il existe dans presque toutes les marques des instruments coniques en Ni Ti et rotation continue pour ça. Quelle idée encore d'employer des Gates, Largo ou je ne sais quoi avec des risques de déviations inutiles !?!


mat2t

28/04/2012 à 18h05

Quels instruments Niti qui ne casse pas dans la racine ?

Sinon pour le largo pas de perfo à déplorer pour l'instant , je m'en sert comme un protaper en brossant la paroie de sécurité pour redresser mon entrée canalaire.

Ça évite de devoir trop travailler avec les protapers qui suivent.


Marque a3 orange fyvhyq - Eugenol
Marc Apap

28/04/2012 à 18h14

y a pas que les protaper dans la vie


01 ukhwbq - Eugenol
ʎqqoq

28/04/2012 à 18h52

J'utilise aussi l'endoflare, ça ne remplace pas complètement un gates à mon avis. C'est l'un + l'autre ^^


Marque a3 orange fyvhyq - Eugenol
Marc Apap

28/04/2012 à 19h14

Les Hyflex CM (Coltène) en taille 25/08 courtes sont bien pour l'entrée des canaux.
J'utilise le plus souvent des Hero 642 n°25 et 20 conicité 06 (MM)
Sinon, il y a aussi les LA Axxess burs (Sybron Kerr) ,mais il faut faire gaffe aux butées (celles en métal ne sont pas en vente en France à ma connaissance)
Chez Kerr, il y a les K3 n°25 de forte conicité pour commencer et aussi des limes identiques vendues chez Henry Schein et Megadental.
Evidemment, aussi des coniques courtes RaCe chez FKG, sans parler de celles qu'on peut trouver également en système Alfa Opener et Alfa Kite chez Komet, et aussi une forme semblable chez VDW Denstply : tu vois, il y a l'embarras du choix !


Capture d  cran 2015 03 12 12.28 - Eugenol
chicot29

28/04/2012 à 21h44

Marc Apap écrivait:
-------------------
> mat2t écrivait:
> ---------------
> > Merci en tous as de m'avoir fait découvrir les joies du largo pour l'endo.
> > J'en casse beaucoup , mais le temps de travail par racine est vraiment
> accéléré.
>
> Et le pourcentage de perforations latérales, notamment sur les molaires inf,
> également.

Montés sur un ca réducteur double bague verte tu casses rien et ne fais pas de perfo.


malimor33

28/04/2012 à 22h00

Hou, ben moi j'en ai cassé mais je dois être une grosse brute


Marque a3 orange fyvhyq - Eugenol
Marc Apap

28/04/2012 à 23h17

C'est pas la vitesse qui fait qu'on casse ou qu'on perfore. c'est la pression sur le foret et son orientation.
Les racines en section en 8 comme celles des molaires inf sont assez susceptible de donner lieu à des stripping latéraux avec des largo un peu larges mal utilisés.
Comme c'est assez opérateur dépendant, je considère qu'employer des instruments NiTi dédiés est plus sûr.


Gonzo k0qhwz - Eugenol
matten

03/05/2012 à 11h58

Je viens de recevoir le blister de one shape.
TU as essaye marc? Ca donne quoi?

A regarder l'instrument je me demande quelle est la conicite apicale obtenue ca me parait super finot...


Gonzo k0qhwz - Eugenol
matten

03/05/2012 à 11h59

Mea culpa y'a ecrit 6% sur le blister.


Marque a3 orange fyvhyq - Eugenol
Marc Apap

03/05/2012 à 13h33

Absolument : ça arrache fort en haut, moins au bout. J'en suis au deuxième traitement, et encore, assisté par d'autres limes donc pour l'instant, pas encore bien fixé.


Fresh watermelon 640x562 udulqz - Eugenol
gulguch

05/05/2012 à 14h50

Marc Apap écrivait:
-------------------
> C'est pas la vitesse qui fait qu'on casse ou qu'on perfore. c'est la pression
> sur le foret et son orientation.
> Les racines en section en 8 comme celles des molaires inf sont assez susceptible
> de donner lieu à des stripping latéraux avec des largo un peu larges mal
> utilisés.
> Comme c'est assez opérateur dépendant, je considère qu'employer des instruments
> NiTi dédiés est plus sûr.

Encore faudrait ils que les fabricants de ces "NiTi dédiés" aient la bonne idée, un siècle aprés Messieurs Gates, Largo et Peeso d'inventer la pointe guide et le manche autocassant en haut.


Grueavatar nptrc9 - Eugenol
Le Choixpeau magique

05/05/2012 à 18h15

gulguch écrivait:
-----------------
> Encore faudrait ils que les fabricants de ces "NiTi dédiés" aient la bonne idée,
> un siècle aprés Messieurs Gates, Largo et Peeso d'inventer la pointe guide et le
> manche autocassant en haut.

C'est pas possible ça.
C'est ce qu'essayent de faire les dispositifs de débrayage en fonction du couple comme le niti control.
Si tu as un débrayage qui se fait trop bas (comme avec le niti control dans la première position) ça débraye tout le temps.
Si tu as un débrayage qui se fait à une valeur assez haute, ça ne débraye quasiment jamais (ou alors dans des cas de gros vissages). La plupart des fracture en Niti se font avec rupture de fatigue, ce qui veut dire que la résistance en torsion de l'instrument est bien inférieure au couple nécessaire pour faire débrayer.


flicflac

05/05/2012 à 22h27

Sur You tube il y a la première partie incluant l'anesthésie, pose de la digue cavité d'accès...
il aurait pu sauvé facilement un 3 minutes avec un touch and heat et un gutta gun.
Pour 17 minutes de plus, je termine le cas avec cimentation de 2 tenons fibrés et une reconstruction complète, si le patient va bien, on taille empreinte et temporisation, je n'ai malheureusement pas de Cerec pour faire un bon temporaire final... lol


Marque a3 orange fyvhyq - Eugenol
Marc Apap

05/05/2012 à 23h20

C'est parce qu'il fait trop froid dans votre pays que vous vous croyez obligés des vous activer à ce point-là ? Keep cool, Raoul !


Capture d  cran 2015 03 12 12.28 - Eugenol
chicot29

10/05/2012 à 21h08

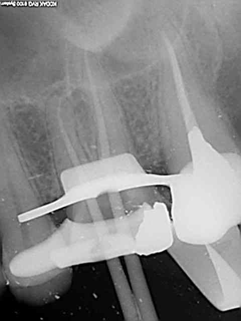
26, 60 mn endo molaire dont 30 pour trouver le canal DV (chambre calcifiée). J'ai failli jeter l'éponge mais le sx a fini par s'engager. Grosse frayeur toutefois avec le s1 sur endomaster car il a bipé d'ès son entrée dans le canal, mais c'était du à un excès d'irrigant. Ouf !
36, 30 mn endo molaire, vitesse de croisière retrouvée !))))

R22 nzfy1i - Eugenol
R13 ygvciu - Eugenol
R14 v7qper - Eugenol
R17 jenzio - Eugenol
R21 et5gcu - Eugenol