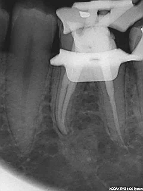
Cookie Consent byPrivacyPolicies.com15 mn endo molaire - Eugenol

15 mn endo molaire

Smile beach jgh0a1 - Eugenol
Céramik

11/05/2012 à 03h23

Change ton pseudo pour endo29 !

--
Céramik


Capture d  cran 2015 03 12 12.28 - Eugenol
chicot29

11/05/2012 à 14h02

Bonne idée. Un moment donné j'aurais pu prendre comme pseudo cerec29 (en plus avec des entorses avec la ngap car le tout céramique aurait du être coté hn à l'époque) mais ca n'était pas économiquement viable !))))
Viens exercer en France tu comprendras !


Images jm2g2g - Eugenol
dr_0le

11/05/2012 à 14h51

plus d'une heure pour essayer de sauver ces 37 et 38...
mais etait ce vraiment suffisant? cicatrisation possible?

3738 txikjd - Eugenol

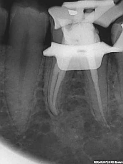
endo29

14/05/2012 à 18h44

60 mn environ pour ces 2 là, le canal mv2 augmente le temps d'exéctution de 15 à 30 mn surtout si l'entrée est proche du mv1. Il n'y a pas photo entre la préparation canalaire du r25 VS f2 protaper.

R19 phh86d - Eugenol
R21 x1zs9a - Eugenol
R23 m6cwjf - Eugenol

Avatar medium eliwpl - Eugenol
Dentair'Adam

16/05/2012 à 00h47

Bonjour, juste une petite question: quel est cet instrument "R25" qui a l'air magique?
Et comment l'utilise-t'on?
Ca me fait réver l'endo molaire en 30 minutes...


Gaudi parc guell lezard  ntokms - Eugenol
lezard

16/05/2012 à 10h53

Reciproc 25



endo29

16/05/2012 à 12h39

Dentair'Adam écrivait:
----------------------
> Bonjour, juste une petite question: quel est cet instrument "R25" qui a l'air
> magique?
> Et comment l'utilise-t'on?
> Ca me fait réver l'endo molaire en 30 minutes...

Comme les protapers, ca remplace le s2,f1 f2 et ça casse pas. Recherche des canaux avec le sx sur entran , ouverture largo n°3, re sx pour progresser apicalement, s1 sur endomaster pour lt, r25 sur wd silver et terminé (si le s1 ne va pas direct à l'apex un coup de r25 peut s'avérer nécessaire pour les canaux longs et courbes comme sur la 16 ci-dessus ou la lt était à 25 mm)
Evidemment contrôle de couple sur entran et endomaster et pas forcer comme un bourrin.)


Avatar medium eliwpl - Eugenol
Dentair'Adam

17/05/2012 à 01h07

Merci pour vos réponses!

Je vais y regarder de plus prêt.

Y-a t'il un couple et une vitesse de rotation préconisée?

Et donc si j'ai bien suivi, c'est de la rotation continue, pas un mouvement de rotation alternative?


endo29

17/05/2012 à 01h38

Non c'est alternatif, mais ça s'utilise pareil.


endo29

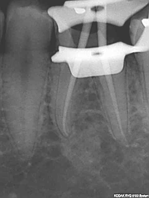
21/05/2012 à 18h09

40 mn canal palatin xxl !

R38 cz0afr - Eugenol
R32 onbv1e - Eugenol

Smile beach jgh0a1 - Eugenol
Céramik

22/05/2012 à 05h42

endo29 écrivait:
----------------
> 40 mn canal palatin xxl !

Chapeau.'


--
Céramik


Capture d  cran 2015 03 12 12.28 - Eugenol
chicot29

22/05/2012 à 10h57

Merci. 3 récapitulations s1-r25 pour arriver au bout. je n'ai jamais vu un instrument aussi efficace que le r25, on croirait une ampliation au 50, en insistant un peu il n'y a plus de racine ! )))


flodec

23/05/2012 à 02h09

endo29 écrivait:
----------------
> 40 mn canal palatin xxl !

et Rechapeau endo29
Ton matériau d'obturation est confiné dans l'endodonte, je ne vois pas de dépassement de gutta, tes cones sont bien ajustés, je ne vois pas de déchirement apical.


endo29

23/05/2012 à 13h37

samsam28 écrivait:
------------------
> qu'on le vire de nonol il mine vraiment l'ambiance sans aucun apport
> pédagogique. j'aimerais bien voir tes endos , quelques radio à poster qu'on
> prenne exemple, monsieur l'éminent endodontiste surtout pas français.

+1 l'interet c'est de faire partager ses astuces. Je ne prétend pas etre le roi de l'endo mais en ce qui me concerne j'ai trouvé une séquence qui me permet d'avoir des résultats reproductibles en un minimum de temps. Une autre 40 mn.

R17 le36fw - Eugenol
R19 maizfv - Eugenol

Manolito wom2of - Eugenol
manolito

23/05/2012 à 18h03

avec quelle technique d'obturation obtiens tu de si belles images radio?


samsam28

24/05/2012 à 00h02

endo29 écrivait:
----------------
> samsam28 écrivait:
> ------------------
> > qu'on le vire de nonol il mine vraiment l'ambiance sans aucun apport
> > pédagogique. j'aimerais bien voir tes endos , quelques radio à poster qu'on
> > prenne exemple, monsieur l'éminent endodontiste surtout pas français.
>
> +1 l'interet c'est de faire partager ses astuces. Je ne prétend pas etre le roi
> de l'endo mais en ce qui me concerne j'ai trouvé une séquence qui me permet
> d'avoir des résultats reproductibles en un minimum de temps. Une autre 40 mn.


ma réponse s'adressait à mic-taper ou tapette pas à vous, et merci pour votre partage, ça c'est du constructif. merci endo 29


Capture d  cran 2015 03 12 12.28 - Eugenol
chicot29

24/05/2012 à 00h05

manolito écrivait:
------------------
> avec quelle technique d'obturation obtiens tu de si belles images radio?
La plus simple lentulo scellement monocone, tuck back à l'apex quand même.


Logo qw3xdt - Eugenol
DDS

24/05/2012 à 00h57

Modérateur écrivait:
--------------------

> Je pense que j'irais plutôt voir Pertot ou Simon. Je les connais un peu ( un
> tout petit peu ) . C'est incroyable qu'ils m'aient proposé de passer a leur
> cabinet et même à Birmingham, qu'ils m'aient toujours motivé et jamais
> insulté....

Je suis déçu, j'ai été correspondant de Simon et maintenant de Pertot et j'ai pas eu d'invitations... Bouh !!
Y a du favoritisme...

--
Normal is not something to aspire to, it's something to get away from...


Img 3657 cwjvqm - Eugenol
alapex

24/05/2012 à 00h58

Bon , un cas clinique . Demain je mets la radio de l'endo de la 7 , mais voilà le lentulo sorti comme preuve de ma bonne fois . La 6 5 4 c'est moi . J'ai la moyenne ou je fais un procès à endo express ?

Img 0799 anzz4y - Eugenol
Img 0800 l1lho8 - Eugenol
Outt tu2qgp - Eugenol
Img 0862 yhoumt - Eugenol

Modérateur

24/05/2012 à 11h35

Sujet nettoyé et rouvert.


Capture d  cran 2015 03 12 12.28 - Eugenol
chicot29

24/05/2012 à 12h15

Thanks.


Stéphane

02/06/2012 à 18h32

DDS écrivait:
-------------
> Je suis déçu, j'ai été correspondant de Simon et maintenant de Pertot et j'ai
> pas eu d'invitations... Bouh !!
> Y a du favoritisme...
>
> --
> Normal is not something to aspire to, it's something to get away from...

Fallait demander. Maintenant c'est un peu tard !