Cookie Consent byPrivacyPolicies.comRecession sur parodonte fin - Eugenol

Recession sur parodonte fin

Humator t9r5wy - Eugenol
humator

18/05/2012 à 16h43

bonjour,
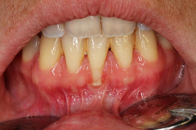
quel serait votre attitude thérapeutique sur une telle récession gingivale,avec brides et parodonte très fin.
Aux caids de la mucco (olivier & les autres), quels conseils, quelles techniques.
Comme vous pouvez le constater, le tartre est assez présent: il reviens vite malgré un brossage général plutôt bon, sauf sur cette zone.
merci

--
N.Hum

Clr xai7jc - Eugenol

 mg 0207 xwjxcl - Eugenol
Tillc

18/05/2012 à 16h56

Il semble que les papilles soient larges donc lambeau bipapillaire why not ? Voir meme un lambeau déplacé latéralement en prenant la zone sect 3.
Sinon une GEC classique mais faudra aller assez pas dans la dissection et tu en profiterais pour sectionner toutes les fibres en éventail du frein.
Le parodonte n'est pas épais mais ne semble pas si fin que ca non plus.


Img 8465 fqhxid - Eugenol
noahaxeltiger-olivier

18/05/2012 à 17h00

Tu n'as pas de GA en apical de ta recession. Mobiliser lateralement les tissus gingivaux environnant t'oblige á faire du mutipapillaire.
Pour faire plus simple, je te conseille de faire une GGL en prenant soin de preparer correctement et suffisament ton lit receveur ( comme on a vu lors de la formation a laquelle tu avais assisté). Greffon adapté et sutures réflechies sont autant de facteurs qui te permettront a mon avis de recouvrir l'ensemble de la retraction sans deuxième intervention.

Bonne chirugie.
(n'oublie pas de bien instruire ton patient sur une technique de brossage adapté, sinon le pronostic a terme restera compris apres ta chirurgie)

Amicalement
Olivier


 mg 0207 xwjxcl - Eugenol
Tillc

18/05/2012 à 17h04

Olivier je vois pas le rapport entre la classe de miller et l'utilisation d'une technique bi ou monopapillaire ?


Img 8465 fqhxid - Eugenol
noahaxeltiger-olivier

18/05/2012 à 17h09

Tillc écrivait:
---------------
> Olivier je vois pas le rapport entre la classe de miller et l'utilisation d'une
> technique bi ou monopapillaire ?

Tres simple: la gencive attachée disponible pour recouvrir une retraction provient soit en apical de la recession (auquel cas une lambeau déplacé coronairement est indiqué) soit en mesial et/ou distal de la recession ( auquel un lambeau lateralisé est indiqué). S'il n'y en a ni en apical ni en lateral la GGL est le dernier recours.


 mg 0207 xwjxcl - Eugenol
Tillc

18/05/2012 à 18h55

Bein y'en a de la gencive attachée non ?

Sans titre1 vbg8ui - Eugenol
Sans titre kkkvhs - Eugenol

Img 8465 fqhxid - Eugenol
noahaxeltiger-olivier

18/05/2012 à 21h31

Tillc écrivait:
---------------
> Bein y'en a de la gencive attachée non ?

Oui il y en a Tillc mais la technique bipapillaire pour des retractions au niveau d'incisives inférieures n'est pas aussi smple qu'au niveau d'une canine maxillaire !

Pour cette raison j'ai écrit "Mobiliser lateralement les tissus gingivaux environnant t'oblige á faire du multipapillaire"
Aussi il y a d'autres techniques plus facilement réalisables, moins complexes surtout quand on débute en muco. D'où mon commentaire : "Pour faire plus simple, je te conseille de faire une GGL"

Ensuite tout a fait d'accord avec toi, si on manie facilement le bistouri et se sent a l'aise en muco, si on veut eviter un effet rustine, le lambeau deplacé (bi)lateralement est parfaitement envisageable.

Amicalement
Bonne chirurgie
Olivier


 mg 0207 xwjxcl - Eugenol
Tillc

19/05/2012 à 00h00

tack Mr Olivier


Humator t9r5wy - Eugenol
humator

21/05/2012 à 10h50

merci à vous 2, je vous tiendrai au courant, mais ce sera probablement pour septembre.

--
N.Hum


Blocperso talon jer3sl - Eugenol
mrquentin

30/05/2012 à 12h50

est ce qu'une frenectomie atraumatique ne serait pas indiquée? il me semble que le fait de supprimer l'insertion fibreuse sur l'os tout en conservant l'épithélium provoquera, avec un pansement chirurgical, l'apparition d'un triangle de gencive keratinisée; de plus, il y aura probablement une amélioration de la récession (sans obtenir un recouvrement complet certes); cette technique étant plus facile et avec des résultats plus constants, la recommendriez vous à un praticien peu expérimenté, ou ce n'est pas du tout l'indication?


 mg 0207 xwjxcl - Eugenol
Tillc

01/06/2012 à 15h31

A mon sens ce n'est pas du tout l'indication.
Tu veux retirer quels freins ? et comment ? Ils sont trop petits, trop fin et disposés en eventailles.
Par ailleurs l'indication de la greffe dans ce cas particuliers c'est l'adjonction de GA. Tu feras ta freinectomie en meme temps


flicflac

08/06/2012 à 03h40

En GGL (?) (greffe gingivale latérale) avec 2 papilles latérales, le parodonte est fin, on devra ajouter un conjonctif enfoui...?,
avec les freins en place je préfère une GEC (greffe épithélio conjonctive) on aura alors plus de gencive kératinisé, peu d'attache musculaire (frein) et L'esthétique à cet endroit perso je m'en fou, mais ce genre de greffe peut-être pas trop mal.


Bazaruto 2007 ircsez - Eugenol
jumpingjackflash

08/06/2012 à 11h54

si tu te pose la question, ton expérience doit être en devenir
si tu rate tes papilles tu met en danger tes dents adjacentes où tu vois déjà les racines en transparence
il me semble que tu devrais faire une GGl basse sans essayer de recouvrir beaucoup et dans un deuxiéme temps tu fais un repositionnement coronaire , tu auras du matériaux pour travailler et tu consolideras les dents adjacentes par la même ocassion
tu auras pas le prix nobel(don't care) mais tu dormiras mieux et ton patient aussi


Bazaruto 2007 ircsez - Eugenol
jumpingjackflash

08/06/2012 à 12h26

Tillc écrivait:
---------------
> Bein y'en a de la gencive attachée non ?


c'est comment la cicatrisation sur photoshop?
parce que la chir c'est super tu incise au milieu du bombé et tu garde ta gencive fine
je crois que je vais me lancer dans le virtuel et je me ferais payer sous hypnose


 mg 0207 xwjxcl - Eugenol
Tillc

12/06/2012 à 19h07

Commence par te faire greffer un clown dans la bouche parce que la t'es vraiment pas marrant jumpingjack