Cookie Consent byPrivacyPolicies.comimplants courts c est bien aussi - Eugenol

implants courts c est bien aussi

Imagesca1x6rbd kwb9r6 - Eugenol
Dr Nedjat

30/05/2012 à 21h45

bonjour à tous,
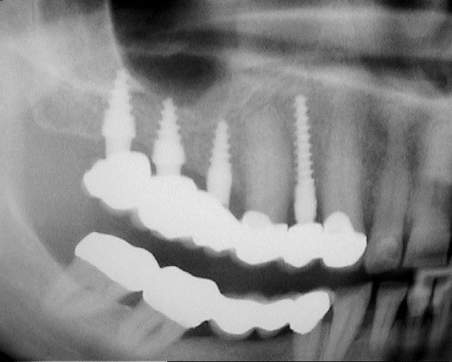
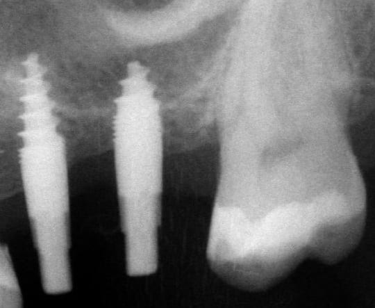
je voulais parler de ce fact pour les implants courts:minimum 4mm os vertical peut suffire (pour eviter un sinus lift externe de tatum) . dans ma pratique depuis quelques années je vois que ca marche , quelques cas cliniques des années passées.
Ma question est : quel est l´opinion des professeurs en france ? et plus généralement des praticiens francais ?

litterature sur le sujet:

1. Chen ST, Beagle J, Jensen SS, Chiapasco M, Darby I. Consensus statements and recommended clinical procedures regarding surgical techniques. Int J Oral Maxillofac Implants 2009; 24 Suppl: 272-278.
2. Pieri F, Aldini NN, Fini M, Marchetti C, Corinaldesi G.: Preliminary 2-Year Report on Treatment Outcomes for 6-mm-Long Implants in Posterior Atrophic Mandibles. Int J Prosthodont. 2012 May;25(3):279-89.
3. Esposito M, Cannizzaro G, Soardi E, Pistilli R, Piattelli M, Corvino V, Felice P.: Posterior atrophic jaws rehabilitated with prostheses supported by 6 mm-long, 4 mm-wide implants or by longer implants in augmented bone. Preliminary results from a pilot randomised controlled trial. Eur J Oral Implantol. 2012 Spring;5(1):19-33.
4. Grutter L, Belser UC. Implant loading protocols for the partially edentulous esthetic zone. Int J Oral Maxillofac Implants 2009; 24 Suppl: 169-179.
5. Albrektsson T, Branemark PI, Hansson HA, Lindstrom J. Osseointegrated titanium implants. Requirements for ensuring a long-lasting, direct bone-to-implant anchorage in man. Acta Orthop Scand 1981; 52:155-170.
6. Telleman G, Raghoebar GM, Vissink A, Meijer HJ.: Impact of platform switching on inter-proximal bone levels around short implants in the posterior region; 1-year results from a randomized clinical trial. J Clin Periodontol. 2012 Mar 29. doi: 10.1111/j.1600-051X.2012.01887.x.
7. Chen ST, Darby IB, Reynolds EC, Clement JG. Immediate implant placement postextraction without flap elevation. J Periodontol 2009; 80:163-172.
8. Zafiropoulos GG, Deli G, Bartee BK, Hoffmann O. Single-tooth implant placement and loading in fresh and regenerated extraction sockets. Five-year results: a case series using two different implant designs. J Periodontol 2010; 81:604-615.
9. Mura P. Immediate loading of tapered implants placed in postextraction sockets: Retrospective analysis of the 5-year clinical outcome. Clin Implant Dent Relat Res 2010.
10. Block MS, Mercante DE, Lirette D, Mohamed W, Ryser M, Castellon P.: Prospective evaluation of immediate and delayed provisional single tooth restorations. J Oral Maxillofac Surg 2009; 67:89-107.
11. Linares A, Mardas N, Dard M, Donos N.: Effect of immediate or delayed loading following immediate placement of implants with a modified surface. Clin Oral Implants Res 2011; 22:38-46.
12. Atieh MA, Payne AG, Duncan WJ, Cullinan MP.: Immediate restoration/loading of immediately placed single implants: is it an effective bimodal approach? Clin Oral Implants Res 2009; 20:645-659.
13. Glauser R, Ruhstaller P, Windisch S, Zembic A, Lundgren A, Gottlow J, et al.: Immediate occlusal loading of Branemark System TiUnite implants placed predominantly in soft bone: 4-year results of a prospective clinical study. Clin Implant Dent Relat Res 2005;7 Suppl 1:52-59.
14. Ravindran DM, Sudhakar U, Ramakrishnan T, Ambalavanan N: The efficicacy of flapless implant surgery on soft-tissue profile comparing immediate loading implants to delayed loading implants: A comparative clinical study. J Indian Soc Periodontol, 2010 Oct;14(4):245-51
15. Al-Juboori MJ, bin Abdulrahaman S, Subramaniam R, Tawfiq OF: Less morbidity with flapless implant. Dent Implantol Update, 2012 Apr;23(4):25-30
16. Crespi R, Capparè P, Gherlone E, Romanos GE: Immediate occlusal loading of implants placed in fresh sockets after tooth extraction. Int J Oral Maxillofac Implants. 2007 Nov-Dec;22(6):955-62
17. Crespi R, Capparé P, Gherlone E, Romanos GE : Immediate versus delayed loading of dental implants placed in fresh extraction sockets in the maxillary esthetic zone: a clinical comparative study. Int J Oral Maxillofac Implants. 2008 Jul-Aug;23(4):753-8
18. Crespi R, Capparè P, Gherlone E, Romanos G.: Immediate provisionalization of dental implants placed in fresh extraction sockets using a flapless technique. Int J Periodontics Restorative Dent. 2012 Feb;32(1):29-37
19. Romanos GE, Nentwig GH: Immediate functional loading in the maxilla using implants with platform switching: five-year results. Int J Oral Maxillofac Implants. 2009 Nov-Dec;24(6):1106-12
20. Müller CK, Thorwarth M, Chen J, Schultze-Mosgau S: A laboratory study comparing the effect of ridge exposure using tissue punch versus mucoperiosteal flap on the formation of the implant-epithelial junction. Oral Surg Oral Med Oral Pathol Oral Radiol Endod. 2012 Jan 25

1 arjs7w - Eugenol
2 lf6l3q - Eugenol
3 czi1vc - Eugenol
6 t4boim - Eugenol
11 w60toz - Eugenol
13 ymppdb - Eugenol
14 nikn16 - Eugenol
15 odigst - Eugenol
16 afrhix - Eugenol
17 dklj2b - Eugenol
22 x4qbzj - Eugenol
23 zugn6l - Eugenol
24 tyo1rt - Eugenol
4 xpehhr - Eugenol
5 cts7kc - Eugenol
12 emqr14 - Eugenol
18 ufor4y - Eugenol
19 aikqw5 - Eugenol
20 ii9jmb - Eugenol
21 paygfn - Eugenol

Imagesca1x6rbd kwb9r6 - Eugenol
Dr Nedjat

30/05/2012 à 21h56

j´ai oublié : 4mm plus 2mm( gagnés par un sinus lift interne)

7 nas6pd - Eugenol
9 brryoe - Eugenol
10 sc2jwo - Eugenol
8 rocd9x - Eugenol

003 penrd2 - Eugenol
Cingulum

30/05/2012 à 22h12

La forme de ces implants ne me semble pas très adaptée pour soulever la membrane sans la perforer.
Je préfère dans ses cas, avoir un implant dont le bout est plat, et non agressif. Je pense qu'il y a un consensus pour dire que jusqu'à 2mm dans le sinus on risque pas grand chose.
Après concernant les implants courts, quand tout va bien ça marche, quand ça se complique, ça va beaucoup plus vite... ;)

--
Dr Cingulum
-----Ancien interné----
----Attaché à l'apex----
http://www.clinic-all.fr/ formation par passion


003 penrd2 - Eugenol
Cingulum

30/05/2012 à 22h28

http://www.eugenol.com/sujets/396289-qui-a-l-experience-des-6-mm?page=1


--
Dr Cingulum
-----Ancien interné----
----Attaché à l'apex----
http://www.clinic-all.fr/ formation par passion


Imagesca1x6rbd kwb9r6 - Eugenol
Dr Nedjat

30/05/2012 à 22h42

merci pour le lien!!! :-)
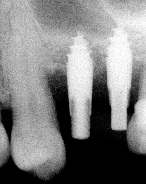
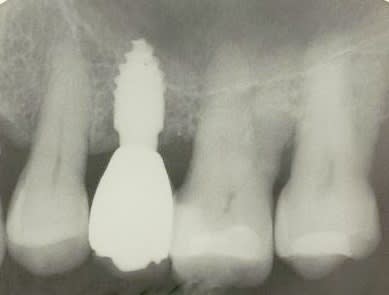
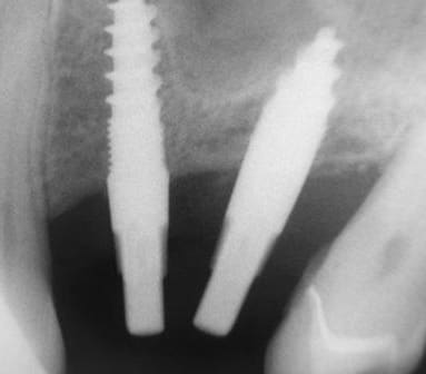
oui effectivement c est preferable des implants pas agressifs, sur la photo 7 on se rends plus compte que la pointe est plate...
tu as raison , si on est pas sur de soi ou pas expérimenté du tout c est un peu plus risqué... mais c est aussi une bonne alternative je trouve !
tu as des autres cas de toi (photo) avec implants courts? as tu déjà eu des échecs avec des implants courts ?
Merci :-)


Avatar ow44t3 - Eugenol
Chicot

30/05/2012 à 23h52


Énorme ! J'en reste baba ! Plus besoin de savoir faire de la chirurgie ...

--
;O)


Mario ycg44a - Eugenol
Mario180

31/05/2012 à 00h47

Chicot écrivait:
----------------
>
> Énorme ! J'en reste baba ! Plus besoin de savoir faire de la chirurgie ...
>
> --
> ;O)

Moi, je trouve que le plus difficile c'est même de laisser croire que je sais en faire ;)


Imagesca1x6rbd kwb9r6 - Eugenol
Dr Nedjat

31/05/2012 à 00h57

bonsoir chicot, merci ( je n ai pas compris le mot baba... :-)) . enfin dans tout les cas la chirurgie reste necessaire, je préfere juste quand cela est possible être moins invasif et proposer au patient une alternative.
La chirurgie orthopédique, chirurgie cardiaque... ont aussi des actes moins invasifs (endoscopie etc...) avec les mêmes résultats, et cela reste tout de même un acte médical et chirurgical.
Poser des implants sera toujours un acte médical/chirurgical que ce soit avec ou sans flap, avec ou sans augmentation.
La tendance il y a quelques années en Allemagne c était "un grand chirurgien = grande incision" .
Pour ma part même si je préfère le minimal invasif, on ne pourra jamais se passer à 100 % des sinus lift interne.Mais c est tout de même une satisfaction quand cela est possible de proposer une chirurgie moins lourde au patient.


merci
:-)


Imagesca1x6rbd kwb9r6 - Eugenol
Dr Nedjat

31/05/2012 à 01h25

pas d autres opinions sur les implants courts? ( le sujet c est bien cela est pas chirurgie flap vs no flap augmention vs no augmentation )


Humator t9r5wy - Eugenol
humator

31/05/2012 à 08h59

ça a l'air castoche!

peux tu me dire où me procurer ces fameux implants?

--
N.Hum


Photo pluton1b h9n4ea - Eugenol
pluton

31/05/2012 à 09h30

humator écrivait:
-----------------
> ça a l'air castoche!
>
> peux tu me dire où me procurer ces fameux implants?


C'est des implants Champions...
faut suivre un peu hum.....

http://www.eugenol.com/sujets/396436-23-implants-rehabilitation-totale?page=2

http://www.champions-implants.com/francais/


Olieve

31/05/2012 à 10h37

Cingulum écrivait:
------------------
> Après concernant les implants courts, quand tout va bien ça marche, quand ça se
> complique, ça va beaucoup plus vite... ;)


Ce n'est peut-être pas plus mal !

Franck Renouard a beaucoup publié et parlé en conférence sur les implants courts. D'après lui, toutes les contraintes bio-mécaniques se concentrent au niveau du col implantaire. Donc peu importe la longueur !


Imagesca1x6rbd kwb9r6 - Eugenol
Dr Nedjat

31/05/2012 à 10h45

pluton écrivait:
----------------
> humator écrivait:
> -----------------
> > ça a l'air castoche!
> >
> > peux tu me dire où me procurer ces fameux implants?
>
>
> C'est des implants Champions...
> faut suivre un peu hum.....
>
> http://www.eugenol.com/sujets/396436-23-implants-rehabilitation-totale?page=2
>
> http://www.champions-implants.com/francais/

effectivement c'est bien ca mais ce n'est pas quelque chose d'uniquement possible avec ces implants i, ca doit etre possible également avec d'autres marques (comme l'a précisé cingullum) il est important que le bout ne soit pas trop agressif et si on veut passer en flapless condenser avec un extenseur pas trop agressif non plus.
:-)


Imagesca1x6rbd kwb9r6 - Eugenol
Dr Nedjat

31/05/2012 à 10h51

Olieve écrivait:
----------------
> Cingulum écrivait:
> ------------------
> > Après concernant les implants courts, quand tout va bien ça marche, quand ça
> se
> > complique, ça va beaucoup plus vite... ;)
>
>
> Ce n'est peut-être pas plus mal !
>
> Franck Renouard a beaucoup publié et parlé en conférence sur les implants
> courts. D'après lui, toutes les contraintes bio-mécaniques se concentrent au
> niveau du col implantaire. Donc peu importe la longueur !

merci je ne le connaissais pas, j'ai fais une recherche rapide et j'arrive juste à charger le début d'un article qui me semble très interessant
http://www.lefildentaire.com/interviews/414-dr-franck-renouard

dommage qu'il y a un problème pour le chargement du document!!! si vous avez d'autres "sources" depuis lequel on peut le lire celq m'intéresse!


temgbait

31/05/2012 à 16h26

merci pour ces échanges. vous me donnez l'envie d'en faire.


Olieve

31/05/2012 à 17h56

Dr Nedjat écrivait:
-------------------
> merci je ne le connaissais pas, j'ai fais une recherche rapide et j'arrive juste
> à charger le début d'un article qui me semble très interessant
> http://www.lefildentaire.com/interviews/414-dr-franck-renouard

Il y a plus pertinent que le fil dentaire !

http://www.ncbi.nlm.nih.gov/pubmed/16968380
http://www.ncbi.nlm.nih.gov/pubmed/16137095
http://www.ncbi.nlm.nih.gov/pubmed/15127996
....


Imagesca1x6rbd kwb9r6 - Eugenol
Dr Nedjat

01/06/2012 à 15h31

temgbait écrivait:
------------------
> merci pour ces échanges. vous me donnez l'envie d'en faire.

merci pour ce message positif! :-)


Imagesca1x6rbd kwb9r6 - Eugenol
Dr Nedjat

01/06/2012 à 15h31

Olieve écrivait:
----------------

>
> Il y a plus pertinent que le fil dentaire !
>
> http://www.ncbi.nlm.nih.gov/pubmed/16968380
> http://www.ncbi.nlm.nih.gov/pubmed/16137095
> http://www.ncbi.nlm.nih.gov/pubmed/15127996
> ....


superbe! merci beaucoup!


flicflac

02/06/2012 à 07h31

implant court, mais de grand diamètre ( 5mm et plus ) peut-être un moindre mal.
Mais sur 10 ans, je prévois un taux de réussite de 85%, ce que je trouve inacceptable.


Imagesca1x6rbd kwb9r6 - Eugenol
Dr Nedjat

02/06/2012 à 10h17

Bonjour oui,
Avec des implants large (5mm et plus) tu as raison c'est d'ailleurs confirmé dans le liens d'olieve. Pourrais tu me donner le lien où tu as pu lire le chiffre 85% ?merci :-)

Recent publications (22) reporting an adapted surgical preparation and the use of textured-surfaced implants have indicated survival rates of short implants comparable with those obtained with longer ones. Considering implant diameter, a few publications on wide-diameter implants have reported an increased failure rate, which was mainly associated with the operators' learning curves, poor bone density, implant design and site preparation, and the use of a wide implant when primary stability had not been achieved with a standard-diameter implant. More recent publications with an adapted surgical preparation, new implant designs and adequate indications have demonstrated that implant survival rate and diameter have no relationship.
CONCLUSION:
This study demonstrates that the use of short implants may be considered for prosthetic rehabilitation of the severely resorbed maxilla as an alternative to more complicated surgical techniques.

Pour des implants plus large , le taux d'échecs augmente.

Pour mes cas, je utilise généralement des 3.5mm et lorsque qu'une stabilité primaire n'est pas atteinte avec un extenseur de 3.0 alors j'utilise du 4.5 mm mais cela est rare.


flicflac

02/06/2012 à 13h06

La conclusion que tu écris, viens de la deuxième étude.
Sur seulement 96 implants, déjà 95,8% de succès aprés 9 mois. Implant court 8.5mm je suis d'accord, et on ne sais pas la distribution des longueur ainsi que des diamètre.
Il est vrai, on peut considérer ces implants comme une solution, si on aime les remplacés. au même titre qu'aller à la chasse avec une carabine à plomb.


Olieve

02/06/2012 à 16h31

En terme de taux de réussite, il faut comparer ce qui est comparable :

-des implants courts dans un volume sous-sinusal réduit
-des implants longs dans un sinus greffé

et là il semblerait que les implants courts aient un taux de succès identique voire supérieur avec une technique chirurgicale bien moins lourde.


flicflac

03/06/2012 à 04h27

d'où viennent ces résultats, sûrement pas de Meta analyse?
Ces résultats me semblent contradictoire avec la logique, surtout dans l'os D3 D4... implants de 12mm est le gold standart.


Img 3657 cwjvqm - Eugenol
alapex

03/06/2012 à 15h24

Personnellement je trouve le Dr Nedjat très beau , les photos sont sympas et les diplômes mérités .
C'est des diplômes qu'on se donne à l'intérieur d'une association , d'accord mais c'est des trophées quand même ...)))


Imagesca1x6rbd kwb9r6 - Eugenol
Dr Nedjat

03/06/2012 à 20h36

Pour flicflac:-)

Le plus important dans un implant sont les 4 premiers millimètres crestales ( c'est pourquoi de nombreuses industries, NB, astra,Bio horizon... ont chosit de faire des implants avec des micro fissures crestales pour augmenter la surface sur ces premiers millimètres et garantir une meilleure stabilité 1aire et 2aire).La partie dans l'os spongieux est moins décisive. Dans un contexte comme celui ci le platform switching est un facteur à ne pas négliger.

Pour alapex:

Merci pour les fleurs, mais on ne se donne pas les diplômes si c'est ce que tu sous entend gentiment! j' ai mon diplôme d'état de chirurgien dentiste comme toi ( comme en france ce n'est pas offert). Ensuite je n'ai pas honte d'être à la DGZI ni à ICOI qui sont des associations reconnues et les plus anciennes de l'implantologie. Ici non plus pas de cadeau , les diplomes ne sont pas offert , il y a un "curriculum" à faire ( rien ne t'empeche d'aller demander aux diplomates ICOI si c'est un cadeau, ou de faire la démarche également) L'implantologie est venue de la clinique et pas de l'université. En 1982 seulement l'implantologie a été accepté et admise par les universités allemandes.Et en 1988 pour les Etats Unis.

je rappelle que le sujet est "implants courts"...


12